연산동교정치과 키다리아저씨치과의 앞니 결손치아 교정(임플란트 없이) 치료사례
- 키다리아저씨치과

- 2025년 11월 5일
- 3분 분량
안녕하세요.
오늘 연산동교정치과 키다리아저씨치과에서 소개해 드릴 환자분은 앞니 치아 2개가 없어서(결손치아) 교정치료를 시작하셨던 분입니다.
나이 : 31세
총 치료기간 : 3년 2개월(총 38개월)
사용한 장치 : 자가결찰 세라믹 + 자가결찰 메탈 + 미니스크류
초진 시 얼굴 모습입니다.
앞모습에서는 안면 비대칭이 조금 눈에 띄고요. 입술선이 많이 기울어 있네요. 입술선이 기운 만큼 치열의 기울기도 보이고요.
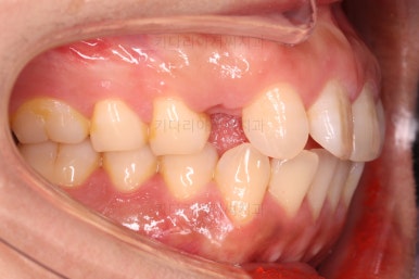
옆라인을 보면 심하진 않으나 돌출감이 느껴지고요.
45도 각도로 웃는 모습을 보면 이 분이 왜 교정치료를 원하셨나 이유를 알 수 있스빈다.
앞니가 2개 부족했어요. 그래서 틈새가 있었고요.
다시 앞모습 웃는 모습을 보면 뭔가 어색함이 보일텐데요.
바로 앞니가 없는 자리로 송곳니가 위치하니까 특유의 뾰족한 치아 형태가 어색해 보여요.
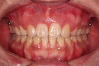
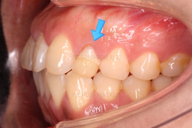
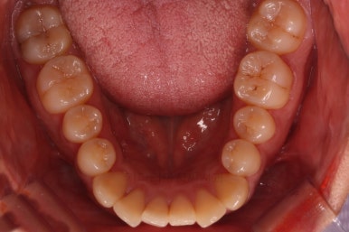
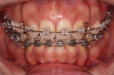
연산동교정치과 초진 시 입안의 모습입니다.
화살표로 표시해 둔 치아는 유치인데요.
상태가 좋지 못하여 발치가 필요한 상황이었습니다.(유치도 오래오래 잘 쓰시는 분들도 있답니다.)
이 분은 앞니 4개 중에 2개가 없는 상황이었고(작은앞니), 송곳니가 그 자리를 대신해서 앞니 자리로 와있었어요.
결손치아 부위는 임플란트??
이가 없으면 임플란트를 해야 한다고 당연히 생각하실 수 있는데요.
이번 환자분은 치아가 없는 자리를 모아서 임플란트 없이 개선하고자 했어요.
대신, 아랫니도 2개 추가로 발치를 해서 치아 갯수를 맞추고 공간을 닫을 때 입을 넣는 방향으로 진행하기로 하였습니다.
그리고 송곳니를 앞니 위치에 사용해야 했기 때문에 생길 수 있는 점들을 수용하셔야 한다고 안내드렸어요.
송곳니를 앞니 대신 사용한다?
앞니는 납작하고 사각형에 가까운데 송곳니는 뾰족하고 둥글고 뚱뚱해요. 앞니 대신 사용할 때 어떤 점이 문제일까요?
시각적으로 뾰족해보인다는 점은 약간 다듬어서 덜 뾰족하게 보이게 하거나 괜찮다면 그냥 사용하시게 해요. 미적인 기준이 높으시다면 교정치료 끝나고 보철치료(라미네이트 등)를 하게 됩니다.
앞면이 편평하지 않고 둥글어요. 그래서 옆 치아보다 나와보인다거나 들어가보일 수 있어서 본인이 원하는 느낌을 찾을 때까지 조절해줘야 돼요.
두께가 뚱뚱해서 아랫니랑 먼저 걸리는 교합의 문제가 생길 수 있어요. 적절하게 다듬을 수도 있고, 높이조절을 잘 해서 잘 안걸리게 해줄 수도 있어요.
치료기간이 많이 걸려요. 앞니 자리로 송곳니를 당겨오거나 앞니 위치에 이미 있는 송곳니를 뒤로 밀어야 되기 때문에 시간이 많이 걸려요. 송곳니는 뿌리가 매우 길고 힘이 세기 때문이죠.
잇몸, 잇몸뼈를 잘 체크해야 해요. 앞니 부분은 잇몸뼈가 얇은데 두꺼운 송곳니를 위치 시켜야 되기 때문에 자칫하면 잇몸 퇴축이 올 수 있어요.
모든 점들을 감안하고 연산동교정치과 치료에 들어갔습니다.
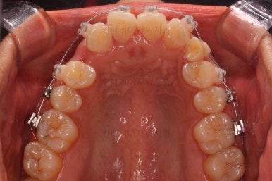
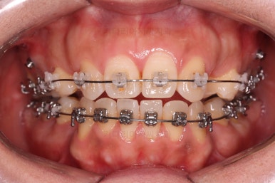
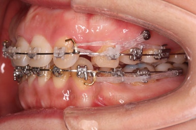
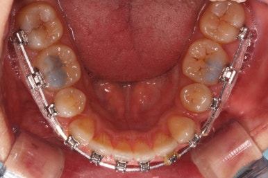
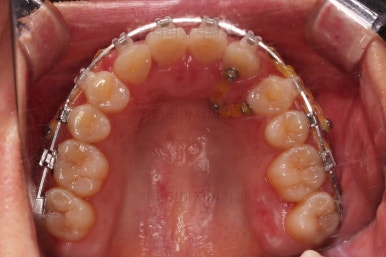
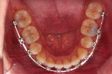
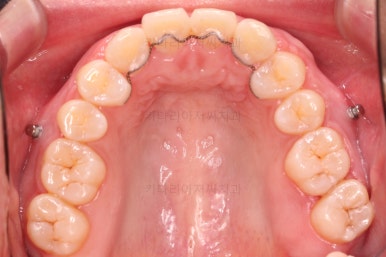
윗니는 눈에 덜 보이는 세라믹 장치를 사용했고, 아랫니는 잘 보이지 않아 튼튼하고 저렴한 메탈장치로 구성했어요.
남아있던 유치도 뽑고 아랫니도 추가로 발치를 했어요.
가지런하게 하는 작업을 초반 몇 개월 이내에 마치고요.
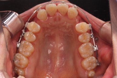
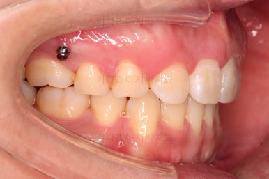
필요한 미니스크류도 구성을 마쳤어요.
이 뽑은 자리를 당겨줍니다.
입매, 비대칭, 기울기, 중앙선, 돌출감 등 여러 가지 얼굴모습도 함께 확인을 해주고요.
예상했던 것처럼 특정 부위가 잘 움직이지 않네요.
강해도 너무 강한 송곳니였어요.
기간은 아주 오래봐야 될 듯 했습니다.
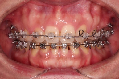
치열의 기울기, 틈이 모이지 않게 병행하는 교합의 원인들 등을 하나씩 개선하면서 점점 발치공간을 줄여나갑니다.
공간을 다 모으는데 시간이 매우 오래 걸렸어요.
앞니대신 송곳니를 사용하는게 이렇게나 힘든 치료입니다 ㅎㅎ
앞서 말씀드린대로 송곳니를 그래도 자연스럽게 앞니처럼 보이게 하기 위해서 특히나 각도와 앞뒤 포지선을 잘 맞춰줘야 하는데요.
이 때 환자분과 매우 많은 대화를 나눴던 기억이 나네요.
물론 이상적인 위치가 있긴 하지만 환자분이 원하는 바를 최대한 반영해야 되기 때문이죠.
그렇게 조절에 조절을 거듭하고 치료를 마루리 합니다.
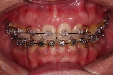
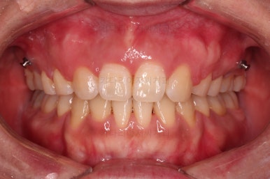
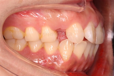
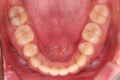
치아가 결손이었지만 임플란트 없이 잘 마무리 했고요.
송곳니를 앞니대신 위치시켰지만 처음에 비해서 어색함 없이 가지런하게 되었어요.
디테일한 송곳니의 각도 위치 등도 만족스럽게 마무리가 되었고요.
돌출입, 경사진 치열의 기울기 등도 많이 좋아졌어요.
이상 연산동교정치과 앞니 2개가 결손이었던 환자분을 임플란트 없이 송곳니를 앞니로 대체해 치료했던 사례였습니다.
키다리아저씨치과에 오시는 길은 연제구 연산동 연산역 17번출구 바로 앞 건물 5, 6층입니다.
치과교정과 전문의(부산대 외래교수)가 상주하며 교정치료 합니다.
<위 사진은 환자분의 동의를 구한 후 공개하는 사진자료입니다. 사진은 과장이나 조작이 없는 원본사진입니다. 교정치료로 인한 부작용으로는 치근흡수, 충치, 치아변색, 실활 등이 있을 수 있으며, 치료 전후 사진은 의료법 제 23조, 제 56조에 의거하여 게재합니다. 개인의 상태에 따라 치료결과는 달라질 수 있으므로, 교정전문의와 상의를 요합니다.>



































































































































댓글