연산동교정치과 키다리아저씨치과의 비발치 덧니교정 치료사례
- 키다리아저씨치과

- 2025년 12월 26일
- 2분 분량

"미니스크류를 이용한 투명교정장치에 관한 논문"으로 2023년도 Angle orthodontist(미국의 교정학회지) SCI 저널에 제 1저자로 게재되었습니다.
항상 공부하고 노력하는 키다리아저씨치과가 되겠습니다.
안녕하세요.
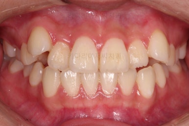
오늘 연산동교정치과 키다리아저씨치과에서 소개해 드릴 환자분은 덧니때문에 교정하고자 하셨던 분입니다.
나이 : 19세
총 치료기간 : 1년 1개월(총 13개월)
사용한 장치 : 자가결찰 세라믹(엠파워 클리어, Empower clear) + 미니스크류
연산동교정치과 키다리아저씨치과에서 초진 시 얼굴 모습입니다.
입을 다물었을 때의 편안한 느낌 좋고, 옆라인도 양호합니다.
약간의 주걱턱 느낌이 있긴 하지만(코밑 ~ 턱끝까지 이어지는 라인이 약간 전하방을 향하죠.)
정상범주라고 볼 수 있어요.
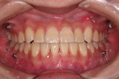
다만, 웃을 때 치열이 삐뚤다 보니 활짝 못 웃게 되고 드러나는 치열이 심미적이지 못하네요.
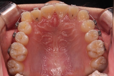
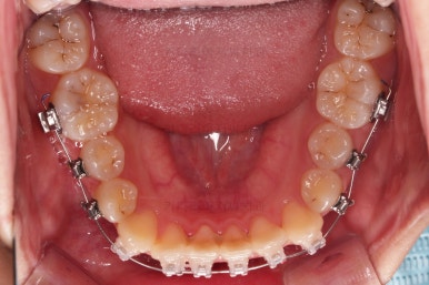
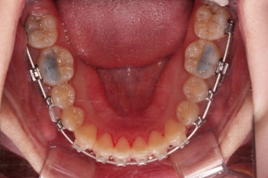
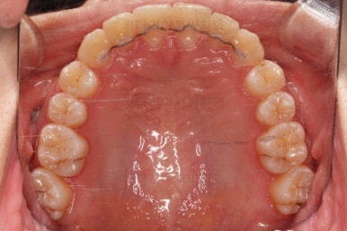
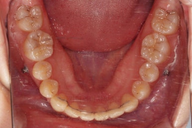
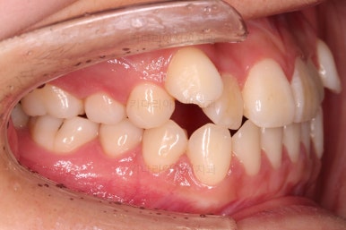
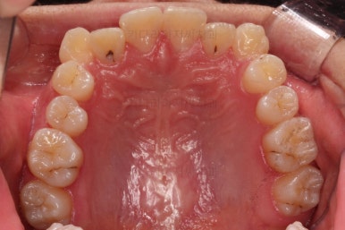
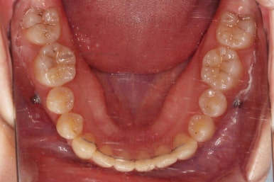
입 안을 보면 밑에 치열이나 다른 부분은 비교적 양호한데 유달리 윗니 송곳니만 위치가 좋지 못하네요.
비발치
이번 환자분은 보기에는 송곳니가 덧니라 많이 삐뚤어 있는 것 같지만 치료는 비발치, 즉 발치 없이 진행했는데요.
자칫하면 비발치 시 입이 튀어나오는 경우가 있어요.
삐뚤다는 건 자리가 부족하다는 뜻인데 부족한 자리를 확보 안해주고 억지로 가지런하게 하다보면 치아가 앞으로 튀어나오게 되거든요.
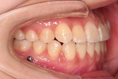
그래서 비발치로 하더라도 본인이 만족할만한 수준까지 입이 나오지 않도록 미니스크류를 병행해서 사용하여 통째로 뒤로 당겨주기로 했습니다.
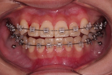
이번에 사용한 장치는 엠파워 클리어라고 하는 자가결찰 세라믹 장치인데요.
철사를 잡아주는 뚜껑이 브라켓에 달려있어 스스로(자가) 철사를 잡을 수 있는(결찰) 장치라는 뜻인데요. 대표적으로는 클리피씨라고 하는 장치가 있습니다. 클리피는 일본장치, 엠파워는 미국장치라는 차이점만 있고 큰 틀에선느 동일한 장치라고 볼 수 있습니다.
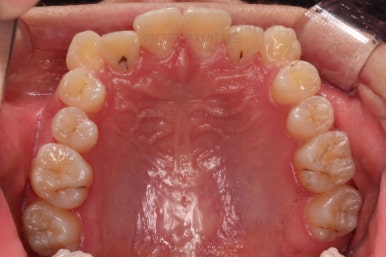
충치가 곳곳에 보이는데요.
성인들은 충치가 멈춰있는 정지우식일 가능성도 있으며 크기가 현재 크지 않고 향후 변화되지 않는다면 그대로 두기도 합니다.
이번 환자분도 교정치료에 방해되는 부분이나 급해보이는 추료만 우선 진행하고 교정 중에 충치가 커지는지 증상이 생기는지 관찰해 보기로 했습니다.
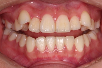
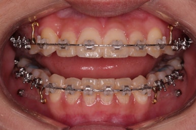
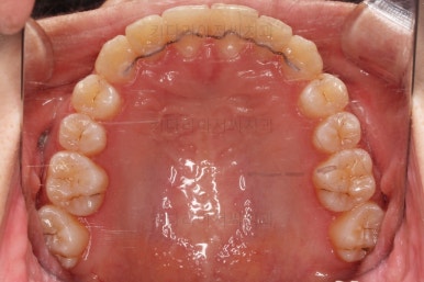
연산동교정치과 교정장치 부착 직후의 모습입니다.
장치가 보이는 느낌이나 입매가 바뀌는 느낌 참고 바랍니다.
이번 환자분은 교정장치를 부착했다해도 거의 입매가 바뀌지 않는 분입니다.
매우 급속도로 가지런해지고 있죠?
대신에 초기 단계에서는 가지런하게 하는데만 초점을 맞추게 되는데 앞니가 뻗치거나 송곳니가 양옆으로 벌어져 보이는 양상을 보입니다.
이제부터는 미니스크류를 이용해서 치열을 뒤로 잡아당겨 주면서 뻗침이나 벌어져 보이는 형태를 개선해 줍니다.
점점 느낌이 좋아지는 걸 볼 수 있죠?
중간중간 얼구랏지능ㄹ 보며 함께 치료 목표에 대한 대화를 나누게 됩니다.
입매 괜찮은지, 배열된 느낌, 뻗친 느낌 등등
개선하고 싶은 부분, 개선하려면 추가로 필요한 기간이나 장치 등을 말씀 나누면서 결과를 타협해 나갑니다.
모든 사람 몸ㅁ은 100점은 있을 수 없기 때문에 그리고 1~2점 점수 높이려고 시간을 무한정 쓸 수는 없기 때문에 협의해 나가는 과정이 중요하죠.
이번 환자분은 약간의 뻗친 느낌이 없지 않았지만 현재로도 맍고하셨고 얼른 끝내고 싶어하셔서 필수적으로 해야 되는 부분만 추가로 마무리 과정에서 잡아주고 치료를 종료하게 됩니다.
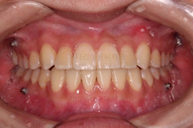
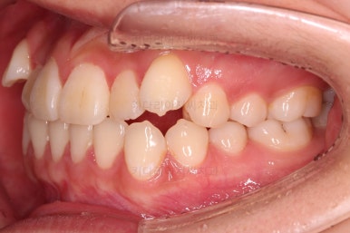
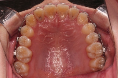
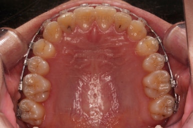
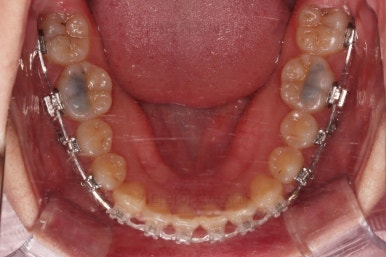
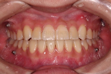
덧니가 완전히 개선디ㅗ었고 필요한 충치치료도 부분적으로 진행했고요.
중앙선이나 교합도 양호하게 마무리 했습니다.
환자분이 원하는 포인트들이 다 개선되었고요.
웃을 때 보이는 느낌도 많이 좋아졌네요.
옆라인도 입이 안나오게 비발치 교정 마무리 잘 되었고요.
묘하게 옆라인의 곡선이 더 예뻐졌죠?
충치도 틀린그림 찾기 수준으로 진짜 필요한 몇 개만 치료를 하고 연산동교정치과 마무리를 했습니다. 어차피 유지관리 체크를 꾸준히 내원하실 거기 때문에 지켜보기로 했습니다.
이상 미니스크류를 이용해 비발치로 덧니 치아를 교정치료한 사례였습니다.
부산 연산동 교정치과 키다리아저씨치과에 오시는 길은 연제구 연산동 연산역 17번출구 바로 앞 건물 6층입니다.
치과교정과 전문의(부산대 외래교수)가 상주하며 교정치료 합니다.
<위 사진은 환자분의 동의를 구한 후 공개하는 사진자료입니다. 사진은 과장이나 조작이 없는 원본사진입니다. 교정치료로 인한 부작용으로는 치근흡수, 충치, 치아변색, 실활 등이 있을 수 있으며, 치료 전후 사진은 의료법 제 23조, 제 56조에 의거하여 게재합니다. 개인의 상태에 따라 치료결과는 달라질 수 있으므로, 교정전문의와 상의를 요합니다.>



















































































































댓글