사직동교정치과 키다리아저씨치과의 돌출입 덧니 교정 치료사례
- 키다리아저씨치과

- 2025년 9월 22일
- 3분 분량
키다리아저씨치과는 치과교정과 전문의(부산대 외래교수)와 통합치의학과 전문의 원장님이 상주하며 협진하는 치과입니다. 부분교정에서부터 난이도 높은 교정진료는 교정과 원장님이 진료를 하며, 임플란트, 사랑니발치, 충치치료, 틀니 등 일반진료는 통합치의학과 전문의 원장님이 진료합니다.
교정과 일반진료의 협진으로 자기치아를 최대한 아끼고 오래 쓰는 방법을 고심하며 수준 높은 진료를 제공합니다.
안녕하세요.
오늘 사직동교정치과 키다리아저씨치과에서 소개해 드릴 환자분은 덧니와 돌출입이 고민이셨던 고등학생 환자분입니다.
나이 : 17세
총 치료기간 : 2년 6개월(총 30개월)
사용한 장치 : 자가결찰 금속(엠파워 메탈, Empower metal) + 미니스크류
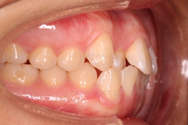
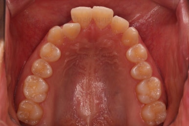
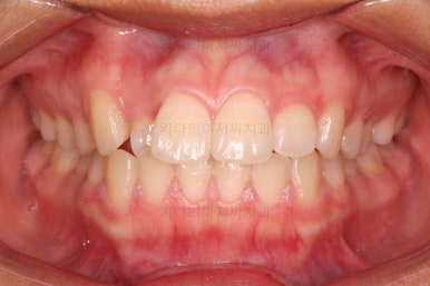
초진 시 입안의 모습이에요. 치열이 많이 나쁜 편은 아니고 앞니쪽이 조금 삐뚤어져 있네요.
특히 윗니 작은 앞니 하나가 아랫니보다 안으로 쑥 들어가 있어서 옆에 있는 송곳니가 덧니처럼 보여요.
덧니를 고치고 싶어요.
라고 대부분 말씀 들을 하시지만 실제로 입 안을 보면 송곳니(덧니)가 많이 튀어나가 있기 보다는 옆에 있는 작은 앞니가 쏙 들어가서 상대적으로 튀어나와 보이는 경우가 대부분이에요.
이래나 저래나 덧니처럼 보이는 건 마찬가지이고, 공간을 확보하여 가지런하게 해줘야 하는 것도 사실이지만요.
마찬가지로 초진 시의 얼굴 모습이에요.
덧니로 인해 웃을 때 입모양이 어색해 보이네요.
입을 다물었을 때는 많이 심하진 않지만 돌출감이 있었어요.
환자분은 기왕 하는김에 돌출갇모 개선하고 싶어 하셨어요.
발치 vs 비발치
치료계획을 2개를 제시해 드려요.
가지런하게 하고 지금보다 약간만 들어가도 괜찮다 하면 비발치도 가능하다. 하지만 전후 변화를 많이 느끼고자 한다면 발치교정으로 가야한다.
치료 선택은 본인이 직접 하기는게 민족도가 가장 높은 방법이고, 가상의 치료결과에 대한 시뮬레이션을 함께 보여드리면 선택하기가 수월합니다.
다만, 이번 환자분의 경우
입을 넣어도 입이 많이 안들어갈거에요.
입술이 굉장히 두툼하신 편이에요. 앞에서 봤을 때 입술의 위아래 길이가 두툼하다는게 아니라 옆에서 봤을 때 앞뒤로 두툼한 편이었어요. 말그대로 피부나 살의 두께인거죠.
두툼한 입술의 경우, 치아가 뒤로 많이 들어가더라도 입술은 치아가 들어간 양의 50%도 채 들어가지 않아요.
잘못하면 원하는 입매를 만들고자 하다가 치아가 저 멀리 뒤로 쑥 들어가 있는 경우도 있으니 미리 잘 설명드려야 해요.
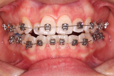
이번 환자분이 선택하신 장치는 엠파워 메탈이라고 하는 자가결찰 금속장치에요.
철사를 잡아주는(결찰) 뚜껑이 장치에 달려있는 (자가)장치이며, 재질이 금속인 장치에요.
금속 장치는 가장 튼튼하고 부피도 작고 비용도 저렴하다는 장점이 많은 장치입니다.
장치 부착 직후의 느낌을 참고해 주세요.
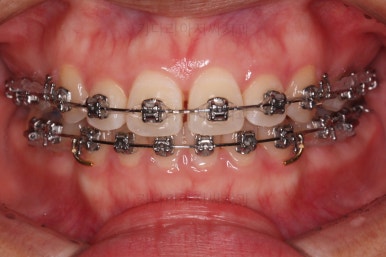
적절한 시기에 발치를 하고요.
앞니의 덧니 느낌은 벌써 많이 좋아졌네요.
앞으로는 이 뽑은 자리를 줄여가며 입 넣기를 반복합니다.
점점 이 뽑은 자리가 줄어가네요.
이 쯤 됨녀 중간평가를 해줘요.
자연스레 자리를 없애고 마무리를 할 것인지, 그것 보다 훨씬 더 많이 넣어볼 것인지, 아니면 오히려 앞으로 뺄지 말이죠.
처음보다 입매도 많이 좋아졌지만 환자분은 기왕 하는김에 되는데까지 맥시멈으로 많이 입을 넣어보고 싶다고 하시더라고요.
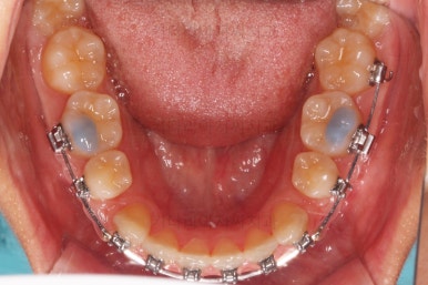
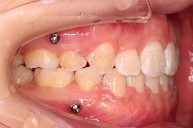
원하시는 목표량은 이 뽑은 자리로 앞니를 다 넣어도 안될 듯 하여 추가로 사랑니 발치를 하고 미니스크류를 이용해서 더 넣어보기로 했어요.
위아래 좌우 모두 사랑니도 발치를 하고 네 군데 모두 미니스크류를 하여 최대한 당겨보기로 하였습니다.
이 쯤 되면 좋은 듯 한데, 그래도 아쉬운가 봅니다.
그래서 사직동교정치과 더 넣어보기로 했어요.
아무래도 입술이 두툼하신터라 표시가 그렇게 많이 안나는 점이 아쉬웠나 봐요.
그래서 일반적인 발치치료보다 치료기간이 늘어났어요.
고등학생이다 보니 중간중간 약속도 잘 못지키기도 했었고요.
최대한 더 넣어보고 적절한 시기에 치료를 종료하기로 했습니다.
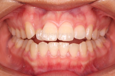
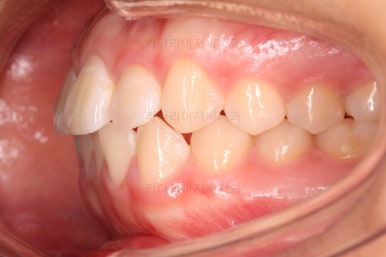
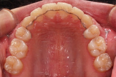
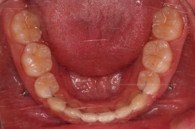
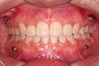
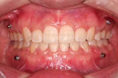
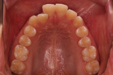
치열이 매우 바르게 되었고 교합도 양호하며 뻗쳐 있던 앞니 각도도 좋아졌네요.
돌출의 느낌도 처음보다 많이 좋아졌어요.
웃을 때 보이는 치열의 느낌도 좋고요.
전후 사진을 비교해 볼게요.
입술의 두께로 인한 돌출감 개선에 약간은 한계가 있었지만 그래도 본인이 만족한 수준에서는 돌출감을 개선했고 치열도 매우 가지런하게 마무리를 할 수 있었답니다.
이상 미니스크류와 발치교정을 통해 돌출입과 덧니를 개선한 사직동교정치과 교정치료 사례였습니다.
키다리아저씨치과에 오시는 길은 연제구 연산동 연산역 17번출구 바로 앞 건물 5, 6층입니다.
치과교정과 전문의(부산대 외래교수)와 통합치의학과 전문의(서울대학교 졸업) 2명이 상주하며 교정치료와 일반치과치료를 협진하여 진료합니다.
<위 사진은 환자분의 동의를 구한 후 공개하는 사진자료입니다. 사진은 과장이나 조작이 없는 원본사진입니다. 교정치료로 인한 부작용으로는 치근흡수, 충치, 치아변색, 실활 등이 있을 수 있으며, 치료 전후 사진은 의료법 제 23조, 제 56조에 의거하여 게재합니다. 개인의 상태에 따라 치료결과는 달라질 수 있으므로, 교정전문의와 상의를 요합니다.>















































































































































댓글