부산프리올소 키다리아저씨치과의 앵글씨 3급 부정교합 어린이의 반대교합 치료사례
- 키다리아저씨치과

- 2025년 12월 9일
- 3분 분량

"미니스크류를 이용한 투명교정장치에 관한 논문"으로 2023년도 Angle orthodontist(미국의 교정학회지) SCI 저널에 제 1저자로 게재되었습니다.
항상 공부하고 노력하는 키다리아저씨치과가 되겠습니다.
안녕하세요.
오늘 부산프리올소 키다리아저씨치과에서 소개해 드릴 환자분은 반대교합과 개방교합인 앵글씨 3급 부정교합의 어린이였고, 프리올소 장치로 개선했던 사례입니다.
나이 : 7세
총 치료기간 : 총 1년 10개월 사용(총 22개월)
사용한 장치 : 프리올소
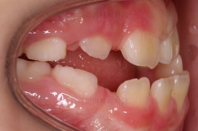
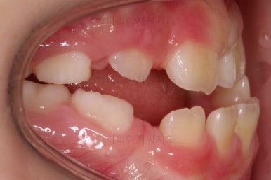
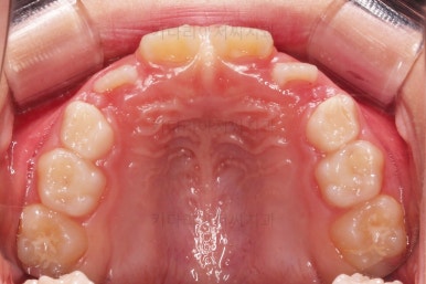
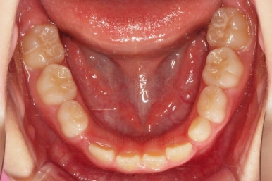
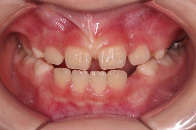
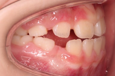
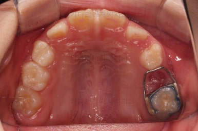
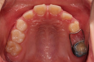
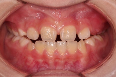
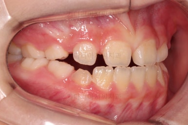
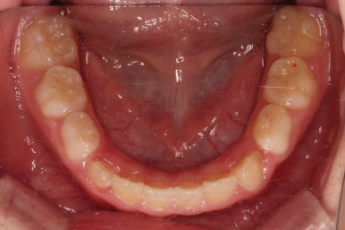
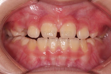
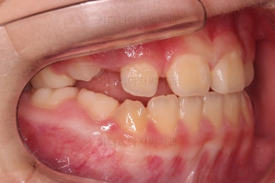
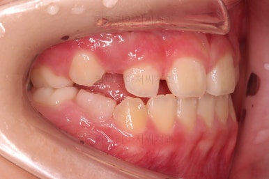
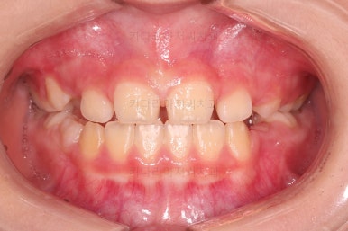
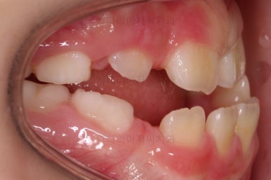
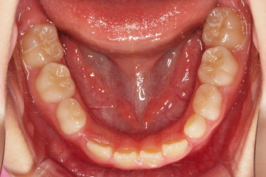
초진 시 입안의 모습입니다.
아래쪽 치열이 전반적으로 윗니보다 앞쪽에 위치한 전형적인 앵글씨 3급 부정교합인데요.
어금니에서부터 앞니까지 아랫니가 윗니보다 앞쪽에 위치하네요.
특히 앞니는 아랫니가 윗니보다 나와있는 "반대교합" 상태였고요.
또한 위아래로 겹침이 없고 떠있는 "개방교합" 상태였어요.
즉, 앵글씨 3급 부정교합 - 반대교합 - 개방교합 등 굉장히 복합적인 교합의 문제를 가진 환자였습니다.
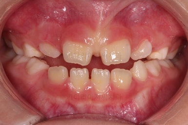
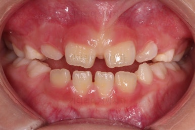
얼굴모스빙ㄴ데요.
심한 주걱턱의 느낌은 아니지만 아이의 얼굴 비율보다는 하관이 발달하고 나온 양상, 웃거나 말할 때 바대교합인 친구들 특유의 "아랫입술이 튀어나오는 미소"를 보였어요.
소아교정 치료시기의 원칙 : "앞니 반대교합은 발견 즉시 개선해줘야 한다."
앞니가 거꾸로 물려있으면 교합의 기능에도 좋지 못하지만 장기적으로 성장기를 거치면서 좋지 못한 교합이 아래턱의 위치를 좋지않은 방향으로 밀어내어 보다 더 주걱턱으로 자라나게 만드는데요. 그래서 앞니가 나오는 만 6세 시기부터 적극저으로 관찰하여 반대교합은 즉시 고쳐주는 것이 좋습니다.
치료방법? : facemask, 프랑켈, 프리올소, 2x4 ....
앵글씨 3급 부정교합을 개선하는 치료장치는 굉장히 많은데요.
기준은 골격의 부조화 정도, 혀/입술 등의 근기능, 기타 키다리치과만의 분석법 등을 포괄적으로 고려하여 장치를 사용하게 됩니다.
간혹 어떤 보호자분께서는 특정 장치를 사용하고 싶다고 오시느데요.
사실상 환자분이나 보호자분이 선택할 수 있는 선택지는 그리 넓지는 않고, 해당 치료법과 비슷한 카테고리의 다른 장치는 선택의 여지가 있긴 합니다.
골연령(성장판 검사)과 골격 분석
성장판 검사를 통해 골연령을 예측하는데요.
저희 부산프리올소 키다리아저씨치과는 좀 더 세부적인 나이까지 알 수 있도록 Greulich-Pyle법을 이용해서 나이를 추정하고요. 치료가 가능한 적절한 나이에 치료를 들어갑니다.
또한 골격 분석을 하여 골격이 문제인지, 골격의 문제라도 단순히 앞뒤로의 문제인지 폭이나 높이의 문제는 없는지 등등 포괄적으로 분석합니다.
골격의 부조화가 심한 경우, facemask를 사용합니다.
이번 환자분이 사용하게 된 장치는 프리올소라는 장치인데요.
골격의 부조화가 크게 심하지 않을 때 + 치열도 어느정도 잡아주면서 혀/입술/볼근육 등 근기능의 연습이 함께 필요할 때 추천되는 장치인데요.
잘 때 + 자기 전 1~2시간을 사용하게 됩니다.
이제부터 부산프리올소 키다리아저씨치과의 역할은 장치를 잘 사용하게끔 독려하고, 주기적으로 내원하게 하여 문제점이나 약간씩의 장치 수정을 해주게 되고요.
치료는 본인이 얼마나 잘 끼느냐에 따라 달라지게 됩니다.
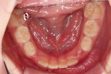
장치 사용 4달째 모습입니다.
벌써 개방교합이 개선되고 있고, 반대교합도 많이 좋아져서 거의 위아래 앞니가 비슷한 위치까지 왔네요.
왼쪽 하단 사진의 어금니에 있는 금속성 장치는 band & loop(밴드 앤 루프)라고 하는 공간유지장치인데요. 오래 써야하는 유치가 일찍 빠지는 바람에 그 공간을 잡아두는 장치입니다.
치료 9개월째입니다.
앞니끼리 거의 겹칠 정도로 개방교합은 거의 개선되어가고요. 윗니도 아랫니 보다 살짝 앞으로 나오기 시작했네요.
적극적으로 좀 더 사용하면 훨씬 개선될 것 같은데 문제는 이쯤 되면 협조도가 떨어지기 시작합니다.
스스로도 어느 정도 만족하는 것도 있거니와 일반적인 철사교정처럼 한 달 한 달 변화가 눈에 띄는게 아니라 긴시간 지나고 보면 변하게 되는 장치이다보니 동기부여도 서서히 떨어지는거죠.
최대한 다독여가며 장치를 더 사용하게끔 하지만 스스로 빼고끼는 장치이다 보니 약간의 한계에 부딪히기 시작했어요.
15개월 째 사진, 진전이 거의 없네요.
얼굴모습 확인해 주고요.
턱뼈를 직접적으로 조절해 주는 장치는 아니지만 골격의 형태가 아이얼굴처럼 자연스러워지고 있네요.
치료 20개월, 조금 더 독려하여 하는김에 빠진 유치 부분의 영구치가 좀 더 올라올 때까지 사용하고 종료하기로 했답니다.
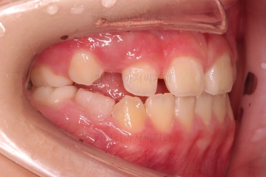
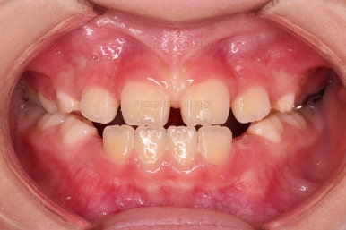
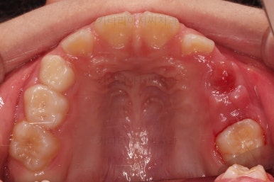
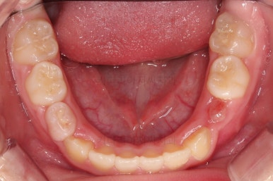
치료 22개월 째 종료시점의 사진입니다.
일반적으로 치아나 골격에 직접 힘을 주는 장치이다 보니 치료속도가 느려요. 간접적으로 힘을 주고 치아 주위의 근육이나 혀 등을 훈련시켜주는 장치이다 보니 그런데요.
그래도 이번 환자분은 영구치 맹출 시점과 겹쳐서 일반적인 부산프리올소 치료보다는 오래 걸린 편이었습니다.
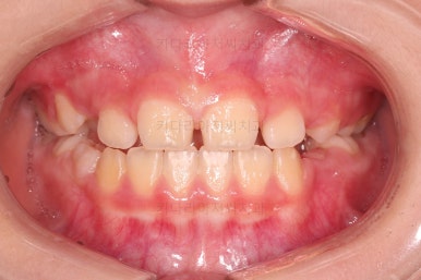
전후 비교해 볼게요.
교합도 좋아졌고 앞니 관계(반대교합, 개방교합)도 개선이 잘 되었어요.
얼굴모습도 특유의 아래턱 부위가 길어보이고 나와보이던 느낌이 완벽히 개선되었네요.
웃는 모습도 참 예뻐졌고, 이제는 약간의 주걱턱 느낌도 전혀 보이지 않습니다.
향후에는 주의해야 하고 지켜봐야 할 몇 가지 포인트 위주로 지속적으로 체크해 나가면 될 듯 합니다.
오랜 기간이지만 잘 껴주어서 효과가 좋았고 만족스러웠던 치료였습니다.
이상 부산프리올소 장치를 이용해 앵글씨 3급, 반대교합, 개방교합(오픈바이트)을 개선한 어린이/소아 교정치료 사례였습니다.
키다리아저씨치과에 오시는 길은 연제구 연산동 연산역 17번출구 바로 앞 건물 6층입니다.
치과교정과 전문의(부산대 외래교수)가 상주하며 교정치료 합니다.
<위 사진은 환자분의 동의를 구한 후 공개하는 사진자료입니다. 사진은 과장이나 조작이 없는 원본사진입니다. 교정치료로 인한 부작용으로는 치근흡수, 충치, 치아변색, 실활 등이 있을 수 있으며, 치료 전후 사진은 의료법 제 23조, 제 56조에 의거하여 게재합니다. 개인의 상태에 따라 치료결과는 달라질 수 있으므로, 교정전문의와 상의를 요합니다.>


































































































































댓글