부산투명교정 키다리아저씨치과에서 인비절라인을 이용해 거미스마일과 돌출입을 비발치교정한 치료사례 (feat. 충치치료)
- 키다리아저씨치과

- 2025년 9월 29일
- 3분 분량
키다리아저씨치과는 치과교정과 전문의(부산대 외래교수)와 통합치의학과 전문의 원장님이 상주하며 협진하는 치과입니다. 부분교정에서부터 난이도 높은 교정진료는 교정과 원장님이 진료를 하며, 임플란트, 사랑니발치, 충치치료, 틀니 등 일반진료는 통합치의학과 전문의 원장님이 진료합니다.
교정과 일반진료의 협진으로 자기치아를 최대한 아끼고 오래 쓰는 방법을 고심하며 수준 높은 진료를 제공합니다.
안녕하세요.
오늘 부산투명교정 키다리아저씨치과에서 소개해 드릴 환자분은 돌출입과 거미스마일을 인비절라인 장치를 통해 개선하신 환자분입니다.
나이 : 12세
총 치료기간 : 2년 6개월(총 30개월)
사용한 장치 : 인비절라인(투명교정장치) + 미니스크류 + 악궁확장장치(RPE)
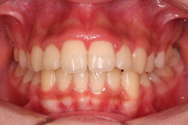
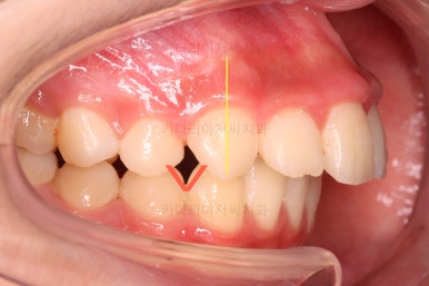
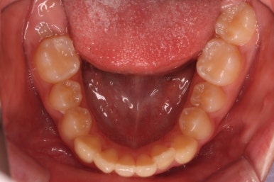
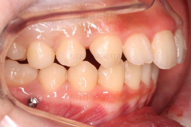
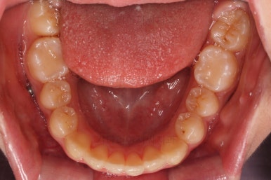
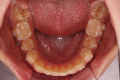
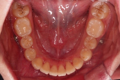
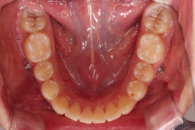
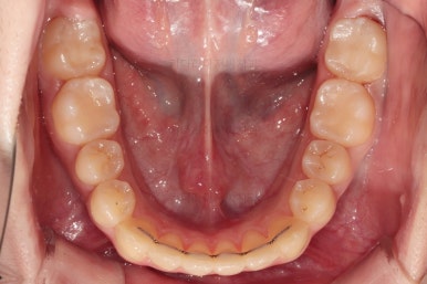
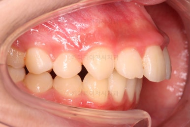
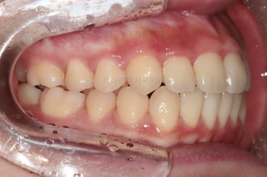
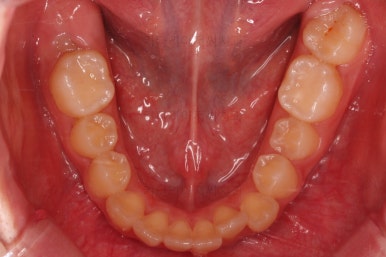
초진 시, 입안의 모습입니다.
얼핏보면 삐뚤한 느낌은 별로 없고, 가지런한 편이에요.
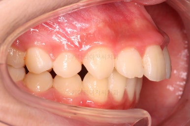
하지만 옆으로 돌려보면 교합이 좋지 못한 것을 알 수 있는데요.
노란색 선으로 표시한 치아가 송곳니인데요.
원래 송곳니의 위치는 아랫니의 V자로 표시한 곳에 위치해야 돼요. 이렇게 치아:치아 1:1로 맞닿는 교합은 별로 좋지 못해요.
치아 마모도 많이 되고 잇몸도 잘 상하고 씹는 효율도 떨어지게 돼요.
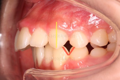
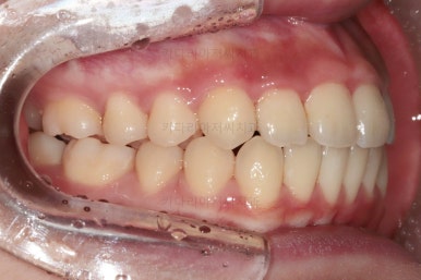
즉, 이번 환자분은 전반적으로 위아래 치열이 앞뒤로 차이가 났습니다.
그 정도만큼 앞니도 튀어나온 상태였고요.
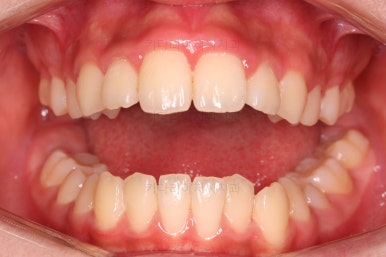
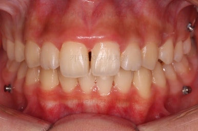
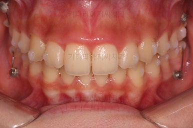
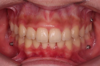
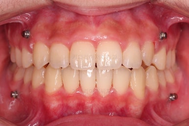
마찬가지로 초진 시 얼굴 모습입니다.
치아가 튀어나와서 입을 다물기가 힘들어요. 입술/턱끝에 힘이 들어가고 주름이 가서 돌출감이나 무턱의 느낌이 매우 심해 보여요.
턱끝의 이런 느낌을 환자분들은 "호두주름", "복숭아씨 주름" 이라고 표현하더라고요.
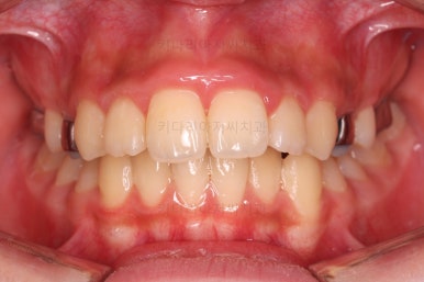
또 다른 문제는 웃을 때 잇몸이 굉장히 많이 보인다는 점인데요.
거미스마일(Gummy smile) 혹은 잇몸웃음이라고 표현한답니다.
발치 vs 비발치
과연 이번 환자분의 치료에서 발치를 했을까요? 비발치였을까요?
발치를 하는 기준은 얼마나 삐뚤어졌나, 얼마나 돌출입이냐 등을 전반적으로 파악해서 하는데요.
이번 환자분은 비발치교정!! 으로 진행했답니다.
아직 끝나지 않은 성장기를 적절히 이용하고 장치 구성을 적절히 하면 비발치로도 적절한 결과를 만들 수 있을 것 같았거든요.
장치는 인비절라인(투명교정장치)을 선택하셨어요.
인비절라인 치료 중 난이도 최고의 케이스
말그대로 인비절라인으로 하기에는 난이도가 굉장히 높은 상황이었어요.
좀잇다 나오겠지만 악궁확장도 해야했고 위아래 앞뒤 미니스크류도 많이 써야 하는 상황에서 적절히 장치구성을 하는건 쉬운 일이 아니죠.
그래도 그건 부산투명교정 키다리아저씨치과에 난이도가 높은거고 환자분은 투명교정으로 한다는 점에서 만족도가 생기는 거에요.
우선 인비절라인 장치를 시뮬레이션 합니다.
미국 본사와 상의하여 치료계획을 세웁니다.
인비절라인이라고 다 같은 인비절라인이 아니에요. 결과물이 다 같지 않아요.
이곳에서 하든 저곳에서 하든 인비절라인이라고 다 같은 결과가 나오는게 아닙니다.
치료하는 의사의 치료계획과 방형성과 적절한 기타 장치의 셋팅이 잘 버무려져야 좋은 결과가 나오는데요.
치료계획은 치과의사마다 모두 다르기 때문에 당연히 치과마다 결과도 차이나게 돼요.
이번 환자분은 악궁확장 + 비발치 + 돌출입교정 + 거미스마일교정을 동시에 해결해야 했기에 치료계획 수립을 굉장히 고심있게 했어요.
총 장치는 40개 정도로 구성이 되었고 진행해가면서 치열이 후방이동을 하도록 계획을 세웠답니다.
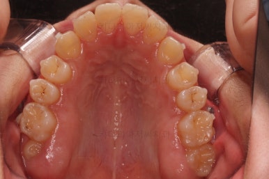
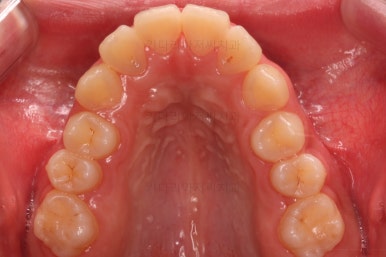
우선 악궁확장을 했어요.
악궁확장은 단순히 많이 삐뚤다고하는게 아니에요. 기준이 명확해야 하는데요.
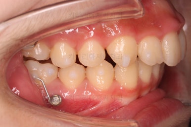
이후에 치열을 뒤로 당기기 위한 미니스크류도 적절히 식립을 하고요.
인비절라인을 배송 받아 장치를 사용합니다.
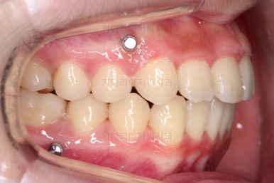
우측 위 사진이 장치 착용 사진인데요. 투명교정장치답게 거의 보이지 않는 것을 알 수 있어요.
그리고 장치 때문에 입이 더 나온다거나 이물감이 느껴지지도 않지요.
식사나 양치할 때 빼고 할 수 있는 점에서 구강위생에도 좋아요.
다만 잘 껴야한다는 단점 아닌 단점이 있어서 잘 낄 수 있는 분들한테는 매우 좋은 장치입니다.
미니스크류를 적절히 활용하고 인비절라인으로 후방이동 및 치아배열을 해주니 교합이 점점 좋아지고 있어요.
앞뒤로 멀었던 위아랫니가 제 위치를 서서히 찾아가고 있네요.
교정장치가 보이지 않지만 교정 중이랍니다😄
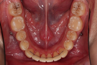
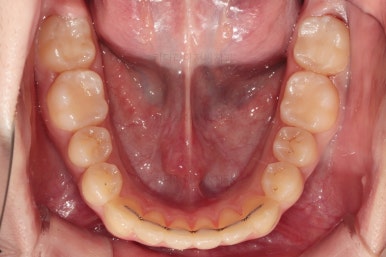
교정이 끝났어요.
총 40여 개의 장치를 1년 정도 사용했는데요.
교합도 처음보다 많이 좋아졌네요. 아직 약간 엉성한 부분은 있지만요.
얼굴모습이에요.
좋아진 것 같지만 뭔가 좀 아쉽죠.
입도 약간 더 들어갔으면 좋겠고 아직 거미스마일도 남아있네요.
2번째 치료
인비절라인은 첫번 째치료계획에서 치료가 종료되는 경우는 그냥 없다고 보시면 돼요.
어떠한 다양한 변수들로 100% 치료계획대로 안나오는데요.
그래서 인비절라인사에서도 첫 치료계획 시점 이 후 5년간은 무한정으로 장치를 재제작해줘요.
이번 환자분도 아쉬운 부분을 더 수정하고자 치료계획을 또 세웠어요.
적절하게 미니스크류의 위치도 조절해 주고요.
새로운 치료계획에 맞는 새로운 방식으로 치료를 계속해 나갑니다.
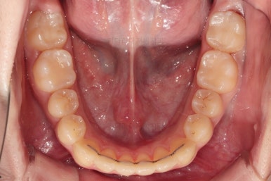
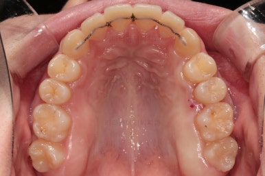
몇 번의 재치료를 거쳐 2년 반 만에 치료를 마무리 했어요.
교합도 양호하고 치열의 느낌도 굉장히 좋아요.
입을 다물었을 때 편안한 느낌도 매우 좋아졌고요.
(특징적인 아랫입술의 두툼한 양상은 환자분의 입술 특징이라 어떻게 하긴 힘들었어요.)
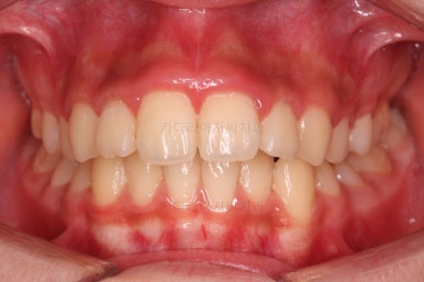
웃을 때의 거미스마일도 매우 좋네요.
장치를 제거한 뒤, 맨 뒤 어금니 등 충치드링 보여 충치치료를 병행했어요.
저희 키다리아저씨치과는 충치치료와 교정치료를 병행하기 때문에 환자분들이 매우 편해 하시는데요.
만약 교정과 충치치료가 서로 다른 치과에서 이루어졌다면 본 뜨는 과정 혹은 장치를 재제작하는 과정에서 여러 치과를 왔다갔다 해야 하는 번거로움이 생기게 된답니다.
전후사진을 비교해 볼게요.
인비절라인으로 비발치 + 돌출 + 거미스마일 + 2급 부정교합 개선 등 매우 복합적이고 힘든 케이스를 만족할만한게 치료를 했어요.
웃는 모습이 너무나 예뻐졌네요.
부산투명교정 키다리아저씨치과도 환자분도 보호자분도 모두 만족한 치료였습니다.
간혹 같은 사람 맞냐는 질문을 받는데요.
같은 사람 맞습니다.
오른쪽 볼에 작은 점이 특징적이네요😄
이상 악궁확장장치 + 미니스크류 + 부산투명교정 인비절라인을 이용해서 돌출입, 거미스마일을 비발치로 치료한 치료사례였습니다.
키다리아저씨치과에 오시는 길은 연제구 연산동 연산역 17번출구 바로 앞 건물 5, 6층입니다.
치과교정과 전문의(부산대 외래교수)와 통합치의학과 전문의(서울대학교 졸업) 2명이 상주하며 교정치료와 일반치과치료를 협진하여 진료합니다.
<위 사진은 환자분의 동의를 구한 후 공개하는 사진자료입니다. 사진은 과장이나 조작이 없는 원본사진입니다. 교정치료로 인한 부작용으로는 치근흡수, 충치, 치아변색, 실활 등이 있을 수 있으며, 치료 전후 사진은 의료법 제 23조, 제 56조에 의거하여 게재합니다. 개인의 상태에 따라 치료결과는 달라질 수 있으므로, 교정전문의와 상의를 요합니다.>































































































































































댓글