부산클리피씨교정 키다리아저씨치과에서 시행한 돌출입 발치교정 치료사례
- 키다리아저씨치과

- 1월 9일
- 2분 분량

"미니스크류를 이용한 투명교정장치에 관한 논문"으로 2023년도 Angle orthodontist(미국의 교정학회지) SCI 저널에 제 1저자로 게재되었습니다.
항상 공부하고 노력하는 키다리아저씨치과가 되겠습니다.
안녕하세요.
오늘 부산클리피씨교정 키다리아저씨치과에서 소개해 드릴 환자분은 돌출입으로 고민이셨던 분입니다.
나이 : 20세
총 치료기간 : 2년 3개월(총 27개월)
사용한 장치 : 자가결찰 세라믹(엠파워 클리어, Empower clear) + 미니스크류
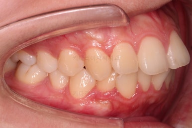
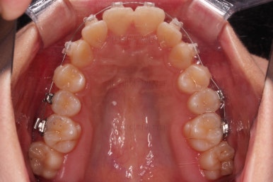
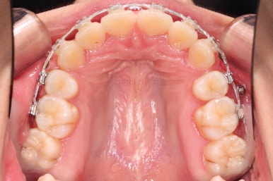
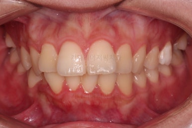
초진 시 입안의 모습입니다.
전반적으로 약간씩 삐뚠 양상이고요. 위아랫니 각각이 배열되어 있는 U자의 형태가 매우 좁은 양상이죠.
그래서 그런지 앞니가 유달리 더 나와보이는 상황이었습니다.
마찬가지로 초진 시 얼굴 모습입니다.
한 눈에 봐도 돌출입이 느껴집니다.
돌출의 기준?
코/턱끝에 비해 입술이 나와있고요.
코에서 윗입술까지 이어지는 각도(비순각)가 작습니다.
다물었을 때 입술 및 턱끝 근육이 매우 힘이 들어가서 턱끝은 일명 "호두주름" 혹은 "복숭아씨주름"이 들어가서 더 무턱처럼 보입니다.
코밑~턱끝까지 이어지는 곡선이 완만하지 않고 볼록볼록 하죠.
이 분은 돌출이라고 평가되는 모든 부분을 다 갖고 있었고, 그에 따라 무턱 느낌도 굉장히 많이 났었습니다.
발치교정
턱뼈에 비해 넘치는 치아를 갖고 있으니 치아는 튀어나올 수 밖에 없고 비발치로 억지로 욱여넣으면 오히려 삐뚤어지는 재발이나 잇몸 손상이 더 많아집니다.
이번 환자분은 고민의 여지 없이 부산클리피씨교정 발치교정입니다.
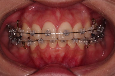
이번 환자분이 선택하신 장치는 자가결찰 세라믹 장치의 한 종류인 엠파워 클리어 입니다.
일반적으로 클리피씨가 가장 유명한 장치이며, 거의 똑같은 장치라고 보시면 됩니다.
클리피씨는 일본회솨, 엠파워는 미국회사 제품입니다.
장치 부착 직후의 얼굴모습인데요.
돌출입이 더 나왔네요.
장치 때문에 입이 나오는 정도는 사람마다 매우 달라서 어떻게 보면 해봐야 아는 부분이 가장 큽니다.
적절한 시점에 발치를 하고요.
치아를 가지런하게 합니다.
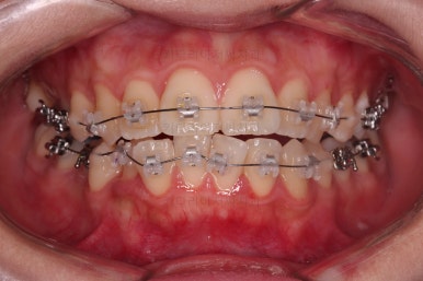
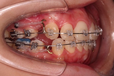
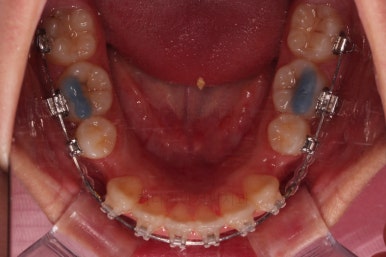
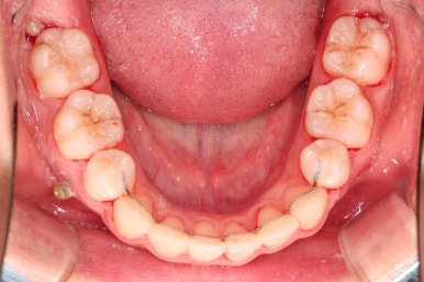
유심히 보시면 윗니 어금니쪽 잇몸에 조그마한 나사가 보이죠?
이게 바로 미니스크류라고 하는 장치인데요.
치아를 당기는 양, 방향, 높낮이 조절 등 매우 다양한 조절을 가능하게 해서 난이도 높은 치료를 정교하게 할 수 있게 합니다
저희 부산클리피씨교정 환자분들 중 거의 7~80$에서 미니스크류가 사용 됩니다.
이 시점에서 얼굴모습으로 중간평가를 하게 됩니다.
중앙선, 기울기, 돌출감, 앞니각도 등 그냥 진행되었을 때의 상황과 환자분이 고치고 싶은 부분들을 적절하게 반영하여 향후 치료계획을 재정비합니다.
계획과 환자분의 니즈가 적절히 맞았기 때문에 무난히 치료를 마무리 해 나갑니다.
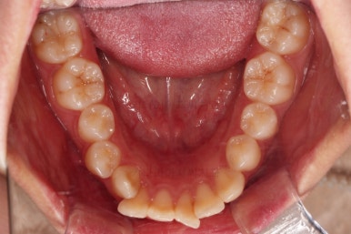
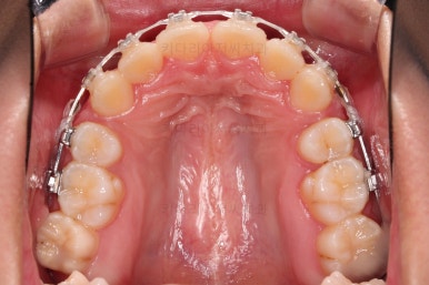
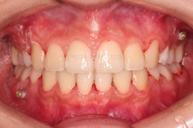
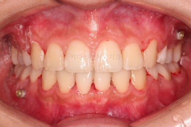
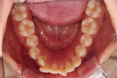
치료 종료 후의 입 안의 모습입니다.
가지런한 느낌, U자 형태, 앞니 각도, 중앙선 등 매우 잘 맞춰졌습니다.
부산클리피씨교정 전후 비교해 볼게요.
만족할 만한 입매 개선이 되었고, 치열이나 교합은 나무랄데가 없네요.
무엇보다 웃는 모습이 환해졌고, 입을 다물었을 때의 편안한 느낌이 매우 좋아졌습니다.
이상 자가결찰 세라믹 장치를 이용해서 돌출이 발치교정을 시행한 부산클리피씨교정 치료사례였습니다.
부산 연산동 교정치과 키다리아저씨치과에 오시는 길은 연제구 연산동 연산역 17번출구 바로 앞 건물 6층입니다.
치과교정과 전문의(부산대 외래교수)가 상주하며 교정치료 합니다.
<위 사진은 환자분의 동의를 구한 후 공개하는 사진자료입니다. 사진은 과장이나 조작이 없는 원본사진입니다. 교정치료로 인한 부작용으로는 치근흡수, 충치, 치아변색, 실활 등이 있을 수 있으며, 치료 전후 사진은 의료법 제 23조, 제 56조에 의거하여 게재합니다. 개인의 상태에 따라 치료결과는 달라질 수 있으므로, 교정전문의와 상의를 요합니다.>



































































































































댓글