부산콤비교정 설측교정 키다리아저씨치과의 결손치아 치료사례 (feat. 신경치료)
- 키다리아저씨치과

- 2025년 9월 25일
- 3분 분량
키다리아저씨치과는 치과교정과 전문의(부산대 외래교수)와 통합치의학과 전문의 원장님이 상주하며 협진하는 치과입니다. 부분교정에서부터 난이도 높은 교정진료는 교정과 원장님이 진료를 하며, 임플란트, 사랑니발치, 충치치료, 틀니 등 일반진료는 통합치의학과 전문의 원장님이 진료합니다.
교정과 일반진료의 협진으로 자기치아를 최대한 아끼고 오래 쓰는 방법을 고심하며 수준 높은 진료를 제공합니다.
안녕하세요.
오늘 소개해 드릴 환자분은 치아가 삐뚤하고 어금니가 하나 결손인 예비신랑으로 설측교정으로 치료하고 싶어하셨던 분입니다.
나이 : 35세
총 치료기간 : 2년 8개월(총 32개월)
사용한 장치 : 설측교정장치 + 미니스크류
초진 시 얼굴 모습입니다.
약간 하관이 길어보이는 주걱턱의 느낌이 있으나 수술할 만큼 나쁘지 않고 자연스러운 모습입니다.
웃거나 말할 때 드러나는 치열의 모습이 삐뚠 상태였어요.
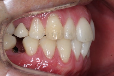
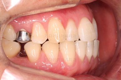
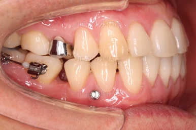
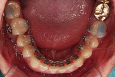
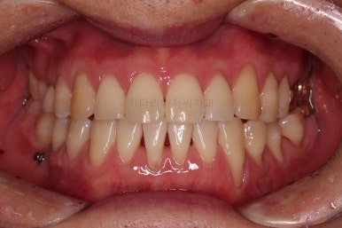
마찬가지로 초진 시의 입 안의 모습입니다.
전반적으로 삐뚤삐뚤한 상태였어요.
부정교합으로 인해서 잇몸이 많이 내려가 있고 치아 손상이 많아요.
부정교합을 개선해 줘야 하는 이유가 단순히 시각적인 측면, 위생적인 측면도 있지만 이렇게 잇몸의 퇴축도 예방하기 위한 측면도 있어요.
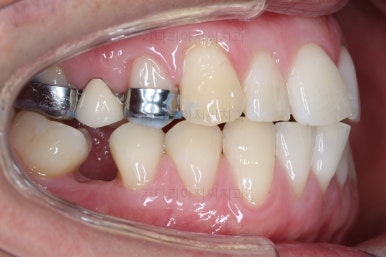
또 다른 문제점으로는 아래쪽 어금니 하나가 상해서 뿌리만 남아있는 상태였습니다.
위아래 잇몸뼈(악궁)의 크기가 맞지 않아 아래 어금니가 윗니보다 바깥으로 튀어나가 있는 상태였어요.

결손치아, 임플란트? vs 공간폐쇄?
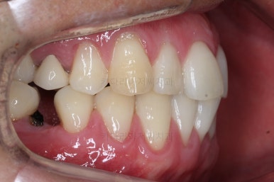
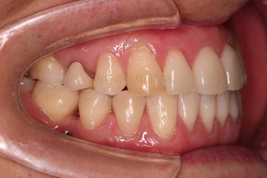
아래쪽 어금니 하나가 없는데요 대신 맨 뒤의 사랑니까지 양호한 형태로 유지가 잘 되어 있네요.
사랑니를 뽑고 공간을 확보하여 임플란트를 한다 vs 2. 사랑니까지 앞으로 당겨와서 공간을 닫아버린다.(임플란트 없이)
각각의 장단점이 있어서 충분히 고지를 드리고 환자분께 선택하도록 했어요.
환자분은 사랑니까지 앞으로 당겨와서 공간을 닫고 임플란트 없이 마무리를 하고자 하셨습니다.
신경치료 혹은 보철(크라운) 치료 된 치아도 교정치료가 가능한가요?
생각보다 많은 환자분들이 궁금해 하시는 내용인데요.
정답은 가능하다 입니다.
위의 X-ray에서 문어다리처럼 치아 뿌리쪽이 새하얗게 보이는 것이 신경치료 된 치아인데요.
신경치료는 치아뿌리 내부의 신경관을 치료하는 거라 치아뿌리 겉면과 잇몸뼈 사이에서 일어나는 치아교정과는 무방하답니다.
매우 드문 경우로 치아와 잇몸뼈가 엉겨 붙어있는(유착) 경우도 있지만 말그대로 매우매우 드문 경우랍니다.
악궁확장, 성인은 모두 미니스크류를 이용한 악궁확장을 해야 할까요?
이번 환자분은 위아래의 폭이 맞지 않아 위턱뼈의 가로폭을 넓혀주는 악궁확장을 먼저 했는데요.
예전은 만으로 15세만 넘으면 악궁확장이 안된다. 미니스크류를 이용한 악궁확장을 해야 한다 등 많았지만 여러 가지 이론적 베이스로(부산콤비교정 키다리아저씨치과 원장님이 다수 논문을 쓰셨답니다 ^^) 다양한 검사를 하여 성인에서도 미니스크류를 이용하지 않고 악궁확장을 하는 경우가 상당히 많답니다.
이번 환자분도 미니스크류 없이 악궁확장을 하여 치료를 진행했어요.
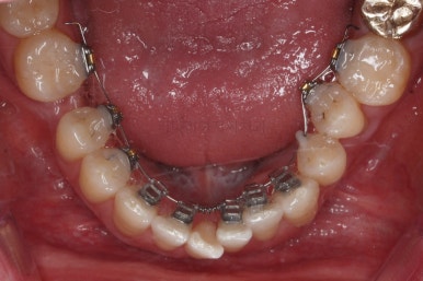
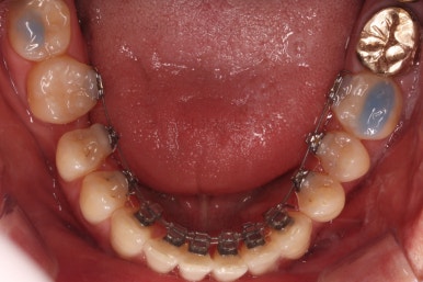
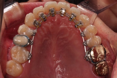
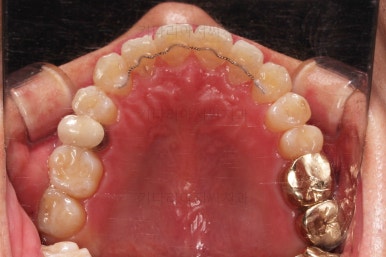
설측교정 장치를 부착했습니다.
아랫니는 위턱뼈를 확장하는동안 먼저 배열하고 있었고, 윗니는 악궁확장 이 후 장치를 부착하여 가지런하게 하고 있어요.
교정 중인 얼굴 모습입니다.
설측 교정의 압도적인 장점
설측교정은 불편한 점 및 단점도 매우 많지만 압도적 장점이라고 한다면 인비절라인보다도 심미적이에요.
인비절라인은 어태치먼트라고 하는 볼록볼록한 부착물들을 치아표면에 부착해야해서 아주 미세하게 들여다 보면 약간의 어색한 느낌 그리고 장치를 낀 상태에서의 표면 성향 때문에 약간의 이질감이 있는데 반해 설측교정은 아예 안보입니다.
아무것도 안보여요.
그래서 어떻게 보면 현존하는 교정장치들 중 가장 심미적이라고 볼 수 있죠.
대신 단점도 많긴 하답니다. ^^
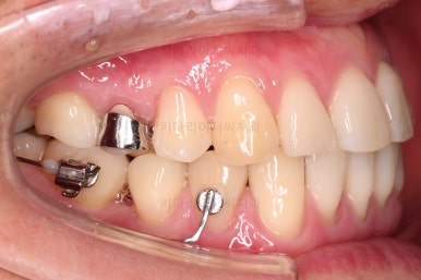
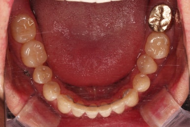
오른쪽 위아래 사진을 보시면 어금니가 결손된 자리를 통해서 뒤쪽 어금니와 사랑니까지 당겨오는 중입니다.
미니스크류를 이용해서 이렇게 난이도 높은 치료도 가능해요.
점점 틈을 줄이는데 초점을 맞추고요.
부족한 교합 등은 부가적인 장치와 다양한 방법으로 디테일을 맞춰 나갑니다.
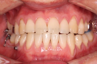
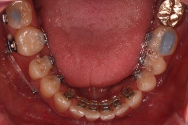
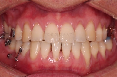
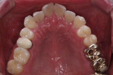
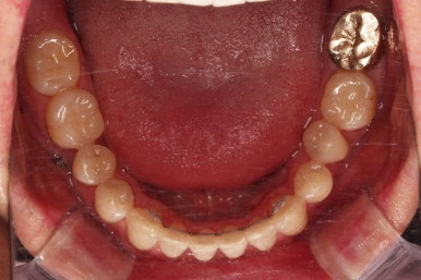
치료가 종료되었어요.
총 2년 8개월이 걸렸습니다.
설측교정 자체가 초반에 준비과정이 한 달여 걸리고, 악궁확장도 설측으로 하는데다 악궁확장장치를 3~4개월 유지한 뒤에 윗니는 설측교정장치가 들어갈 수 있었던 터라 그리고 사랑니까지 앞으로 당겨오는 고난이도 치료를 했던 터라 치료기간은 많이 걸린 편인데요.
결혼을 준비하던 예비신랑인 환자분도 어차피 겉으로 보이지 않아 치료기간에 크게 개의치 앖으셨습니다.
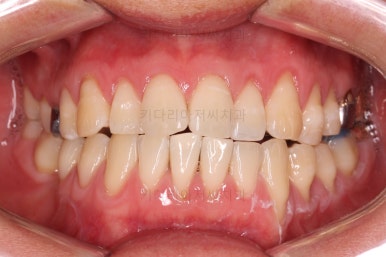
치료 후 웃는 모습도 매우 가지런한 치열의 모습이 되었네요.
부산콤비교정 전후 사진을 비교해 볼게요.
치열도 매우 가지런해졌고, 결손 공간도 임플란트 없이 잘 마무리되었네요.
교합이나 중앙선도 잘 맞춰졌고요.
아랫니를 약간 위로 당긴터라 아랫입술 부위의 옆라인도 조금은 더 좋아졌습니다.
이상 결손치아가 있었고 치열이 삐뚤었던 예비신랑 환자분을 설측교정장치를 이용해 부산콤비교정 교정치료한 사례였습니다.
키다리아저씨치과에 오시는 길은 연제구 연산동 연산역 17번출구 바로 앞 건물 5, 6층입니다.
치과교정과 전문의(부산대 외래교수)와 통합치의학과 전문의(서울대학교 졸업) 2명이 상주하며 교정치료와 일반치과치료를 협진하여 진료합니다.
<위 사진은 환자분의 동의를 구한 후 공개하는 사진자료입니다. 사진은 과장이나 조작이 없는 원본사진입니다. 교정치료로 인한 부작용으로는 치근흡수, 충치, 치아변색, 실활 등이 있을 수 있으며, 치료 전후 사진은 의료법 제 23조, 제 56조에 의거하여 게재합니다. 개인의 상태에 따라 치료결과는 달라질 수 있으므로, 교정전문의와 상의를 요합니다.>


























































































































댓글