부산치아교정 키다리아저씨치과의 임플란트 없이 결손치아를 개선한 치료사례
- 키다리아저씨치과

- 2025년 11월 26일
- 2분 분량
안녕하세요.
오늘 부산치아교정 소개해 드릴 환자분은 치아 1개가 결손이여서 해당 부위 임플란트를 앞두고 교정하러 내원하셨던 환자분입니다.
나이 : 28세
총 치료기간 : 1년 9개월(총 21개월)
사용한 장치 : 자가결찰 세라믹(엠파워 클리어, Empower clear) + 미니스크류

부산치아교정 초진 시, X-ray 사진입니다.
화살표 부분이 문제의 부분인데요.
치아가 상해서 빠진지 몇 년이 흐른 상태였어요.
이가 없어진 직후는 식사하는데 별로 불편감이 없고 보기에도 크게 눈에 띄지 않는 부위라 임플란트를 할 생각 없이 시간을 흘려보내셨는데요.
세월이 가면 갈수록 몇 가지 문제가 생깁니다.
이 뽑은 자리는 그대로 유지가 되지 않고 인접한 치아가 해당 공간으로 이동합니다.
맞닿는 아랫니도 치아가 없는 자리로 솟구쳐 오릅니다.
뽑힌 부위의 잇몸뼈는 치아가 없으면 급속도로 퇴축됩니다.
그래서 시간이 지날수록 단순히 임플란트를 하고 끝낼 수 있었던 케이스가 상황이 복잡해지게 되는거죠.
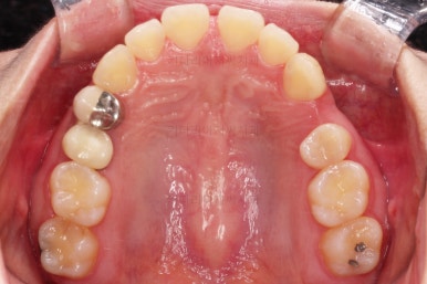
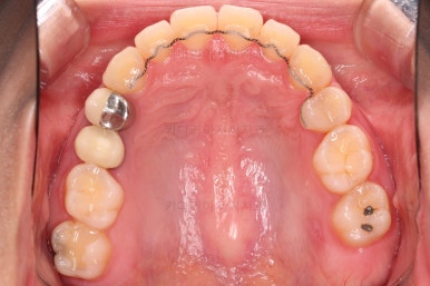
이번 환자분은 치아가 없는 자리에 뼈가 퇴축된 것은 거의 없었으나 주위 치아들이 해당 부위로 쏠리면서 앞니쪽에 틈새가 생겼는데요.
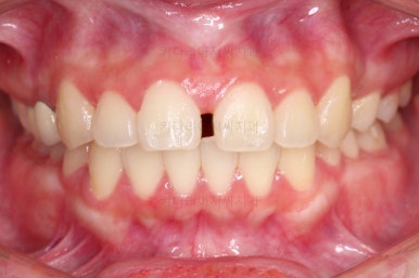
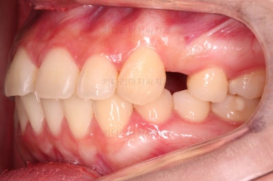
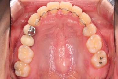
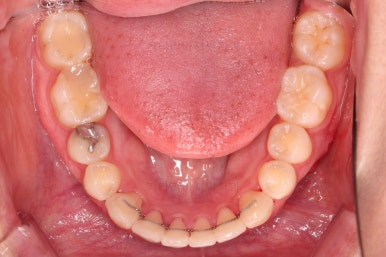
초진 시 입안의 모습을 보실게요.
결국은 앞니 사이에 틈이 생겼기 때문에 이같은 문제점을 인지하시고 내원하셨던거죠.
환자분 : "임플란트 하기 전에 앞니 틈도 모으고 싶어요."
키다리 : "임플란트 안하고 마무리를 해보실래요?"
환자분 : "네??"
치아가 없다고 모든 경우 임플란트를 치아가 없는 갯수만큼 해야 되는 건 아닙니다.
이번 환자분의 경우는 치아 결손 부위의 잇몸뼈도 양호했고 공간도 그리 크진 않았으며 윗니는 갯수가 1개 부족해도 교합을 맞추는데 문제가 거의 없기 때문에 시간이 좀 더 들더라도 임플란트 없이 앞니 사이 틈과 결손부위 틈새를 모아보기로 했어요.
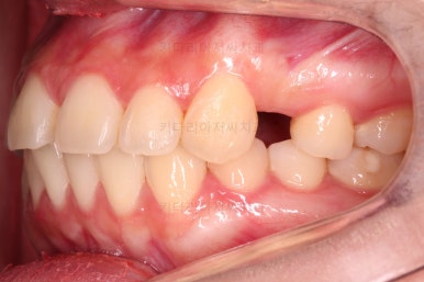
초진 시 얼굴모습인데요.
옆라인 예쁘고 입술을 다물었을 때 편안한 입술 느낌도 좋았어요.
다만 치아 사이 틈새가 벙러져 미적으로 좋지 못한 상황이었고요.
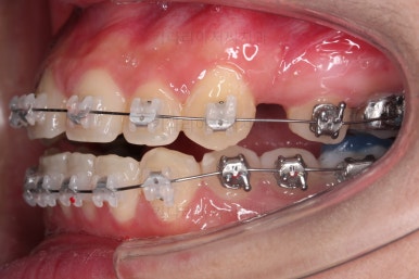
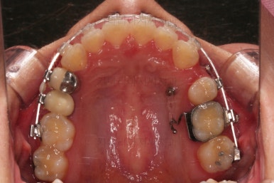
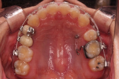
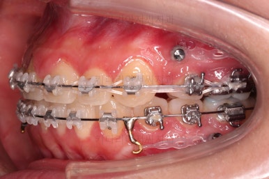
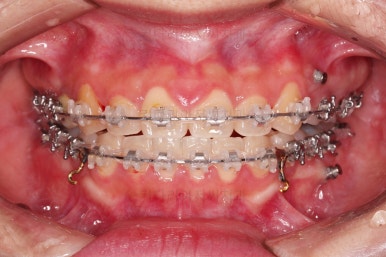
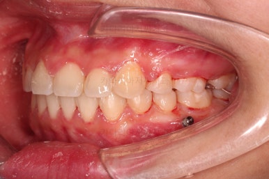
우선 장치를 부착했습니다.
이번에 선택한 장치는 엠파워 클리어라고 하는 자가결찰 세라믹 장치인데요.
흔히 아시는 클리피씨 장치와 같은 분류의 장치입니다. 클리피는 일본, 엠파워는 미국 제조사라는 차이가 있지만 큰 틀에서는 세라믹 바디에 금속 클립이 달린 거의 동일한 장치라고 보시면 됩니다.
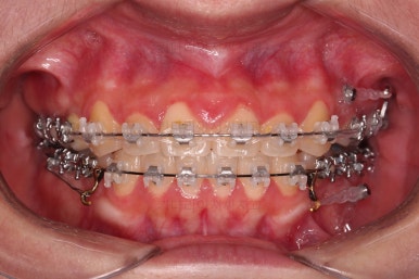
장치 부착 직후의 모습인데요.
장치가 보이는 느낌이나 옆라인의 변화 양상은 참고해 주세요.
옆라인은 입이 많이 튀어나오는 분도 있고 거의 변화가 없는 분도 있는데 이 분이 거의 중간 정도 변하시는 느낌입니다.
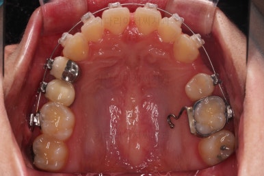
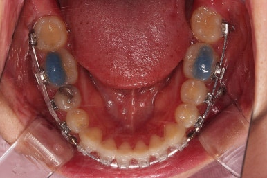
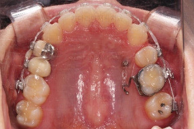
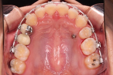
부산치아교정 이번 치료의 핵심인데요.
결손 부위에 미니스크류를 이용해서 뒤쪽 어금니들을 결손 부위로 앞으로 앞으로 계속 당겨줍니다.
얼굴모습에서의 중앙선도 지속저으로 체크하면서 한 쪽으로 치우침 없이 마무리를 해야 하고요.
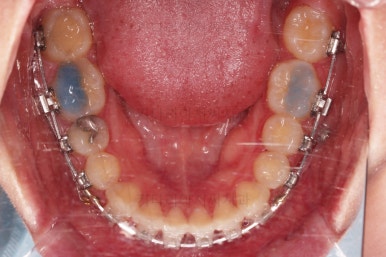
틈새가 줄어들 때 까지 같은 작업을 반복합니다.
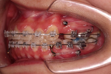
점점 틈새가 붙어가는게 보이죠?
계속 반복합니다.
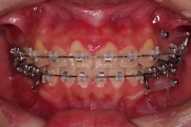
틈새는 거의 다 붙어가는데 교합이나 중앙선 등을 위해 추가적으로 밀고 당기기를 해줍니다.
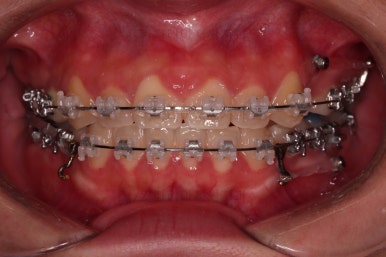
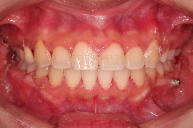
디테일을 좀 더 맞추고 부산치아교정 마무리를 합니다.
치아 갯수 및 사이즈 문제로 위아래의 정중선은 100% 일치시키긴 힘들지만 가능한 선에서 최대한 맞추었고요.
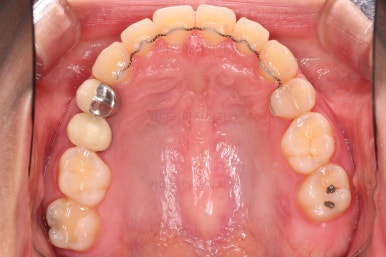
윗니가 1개 없는 상태에서의 교합도 잘 맞추고 마무리를 했습니다.
다시 틈새가 벌어지지 말라고 유지철사를 붙여주었고요.
물론 약간 다시 벌어질 수는 있으나 그 정도는 처음에 비하면 아무 문제도 아닌 정도죠.
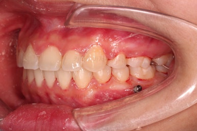
전후 비교해 볼게요.
임플란트 하러 오신 분을 임플란트 없이 마무리 했고요.
젊으신 나이에 임플란트를 하기 보다는 약간의 시간을 더 투자해서 이렇게 마무리를 하는게 여러모로 합리적인 치료였습니다.
환자분이나 부산치아교정도 만족스러운 치료였습니다.
이상 미니스크류를 이용해 결손치아로 인해 생긴 틈새를 임플란트 없이 교정치료로 개선했던 부산치아교정 사례였습니다.
키다리아저씨치과에 오시는 길은 연제구 연산동 연산역 17번출구 바로 앞 건물 5, 6층입니다.
치과교정과 전문의(부산대 외래교수)가 상주하며 교정치료 합니다.
<위 사진은 환자분의 동의를 구한 후 공개하는 사진자료입니다. 사진은 과장이나 조작이 없는 원본사진입니다. 교정치료로 인한 부작용으로는 치근흡수, 충치, 치아변색, 실활 등이 있을 수 있으며, 치료 전후 사진은 의료법 제 23조, 제 56조에 의거하여 게재합니다. 개인의 상태에 따라 치료결과는 달라질 수 있으므로, 교정전문의와 상의를 요합니다.>























































































































댓글