부산치아교정 키다리아저씨치과의 벌어진 치아교정 치료사례
- 키다리아저씨치과

- 1월 6일
- 2분 분량

"미니스크류를 이용한 투명교정장치에 관한 논문"으로 2023년도 Angle orthodontist(미국의 교정학회지) SCI 저널에 제 1저자로 게재되었습니다.
항상 공부하고 노력하는 키다리아저씨치과가 되겠습니다.
안녕하세요.
오늘 부산치아교정 키다리아저씨치과에서 소개해 드릴 환자분은 앞니가 삐뚤고, 치아 사이에 벌어진 틈새를 교정으로 개선하고자 했던 분입니다.
나이 : 25세
총 치료기간 : 1년 7개월(총 19개월)
사용한 장치 : 자가결찰 세라믹 + 메탈, 미니스크류
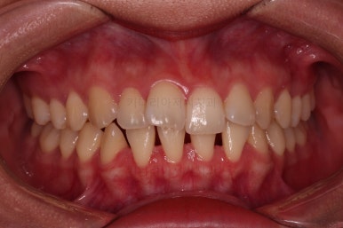
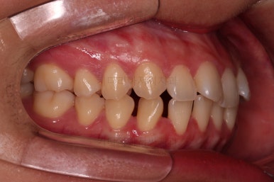
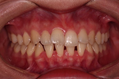
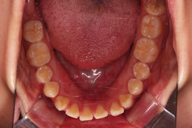
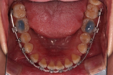
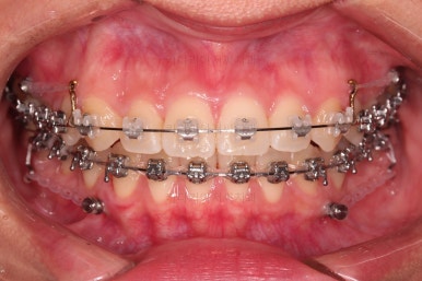
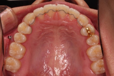
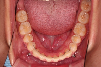
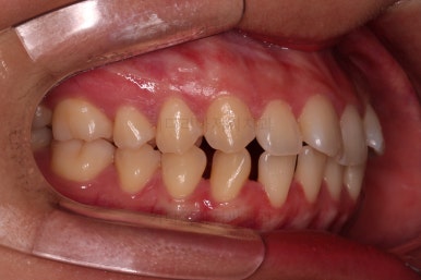
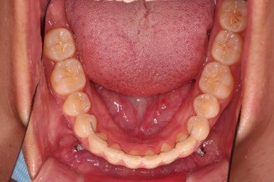
초진 시 입안의 모습입니다.
치열이 많이 삐뚠 것은 아니지만 앞니쪽이 삐뚤어 있고요. 아랫니 사이사이에 고루 틈새가 있네요.
윗니는 삐뚤고(공간부족), 아랫니는 틈새가 있다면(공간 과잉) 그 부조화는 부정교합을 의미합니다.
어금니 교합이 전반적으로 아랫니가 뒤로 빠져있는 교합이어서 맞물림이 좋지 못한 상태였어요.
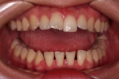
마찬가지로 초진 시 얼굴 모습입니다.
웃을 때 틈새가 있는 아랫니는 거의 보이지 않는 편이라 심미적으로 앞니가 약간 삐뚠 것 말고는 큰 문제 없어보이고요.
옆라인도 굉장히 양호합니다.
그래서 굉장히 어려운 치료입니다.
양호하기 때문에 치료가 어렵다?!
이번 치료는 틈새를 모아야 되는데요.
일반적으로 앞니~어금니까지 틈을 조아주게 되면 앞니가 뒤로 들어가는 방향으로 치아가 움직이는데요.
이번 환자분은 아랫니만 틈이 있었기 때문에 아래 앞니만 뒤로 도망갈 수 있겠죠.
더군다나 입매도 양호한데 입이 더 뒤로 들어가면 얼굴모습이 망가져요.
따라서 이번 치료는 틈을 조여주긴 하는데 어금니를 당겨와야하는 케이스였습니다.
일반적으로 조이는 방법보다는 어금니만 당겨오는 것이 훨씬 테크닉적으로 힘들고 시간도 많이 걸리는 부산치아교정 치료입니다.
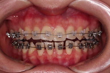
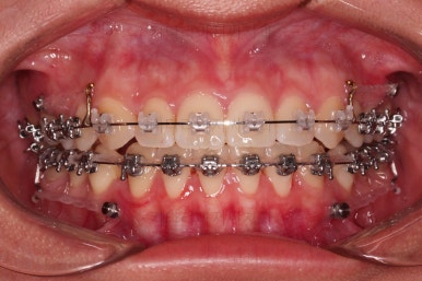
장치를 부착했는데요.
윗니는 웃을 때 더 많이 보이기 때문에 세라믹 장치를 선택하셨고, 아랫니는 거의 안보이는 타입이셔서 메탈장치로 부착을 했습니다.
위아래 둘 다 자가결찰 장치였고요.
동일 회사의 장치였으며 단지 재질만 메탈이냐 세라믹이냐의 차이가 있었던거죠.
이렇게 위아래는 설측이든 뭐든 메탈이든 세라믹이든 마음대로 섞을 수 있습니다.
교정장치 부착 직후의 얼굴 모습입니다.
이번 환자분은 장치로 인해 입이 많이 튀어나오는 타입이었습니다. 입을 다물기가 불편해져서 입술 모양 자체가 매우 어색해졌는데요.
이렇게 입이 나오거나 불편해지는 느낌은 사람마다 매우 다르고 이번 환자분이 차이가 심한 편이라고 보시면 됩니다.
우선 가지런하게 하는 작업을 했고요.
교합을 맞춰야 하기 때문에 윗니는 통째로 약간 뒤로 밀어줍니다.
아랫니는 앞니가 더이상 뒤로 들어가지 않도록 어금니를 앞으로 당기는 셋팅을 해줍니다.
그래서 위아래 좌우 모두 다른 용도로 미니스크류가 식립되었고요.
각각의 방향으로 계속 당겨줍니다.
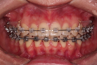
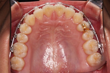
윗니의 배열과 위치는 거의 완성이 되었고요.
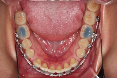
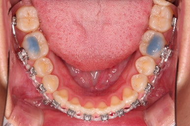
아래는 아직 틈이 많이 보이죠.
어금니를 부산치아교정 통해 계속 앞으로 당겨줍니다.
이번 부산치아교정 치료의 핵심 중 하나가 얼굴모습을 헤치지 않는다. 거의 입매를 변화시키지 않는다 였기 때문에 얼굴모습도 중간중간 확인을 해줍니다.
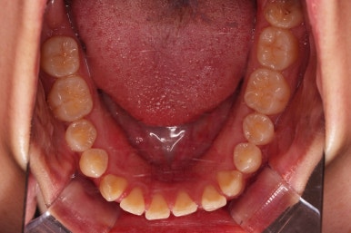
아랫니 틈은 거의 없어졌네요.
대신 여러 교합적인 이유로 아랫니를 좀 더 앞으로 당겨주긴 해야 합니다.
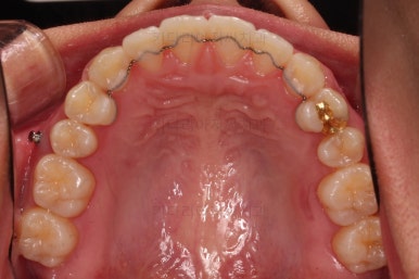
이제 마무리를 해봅니다.
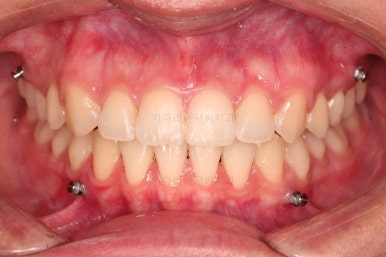
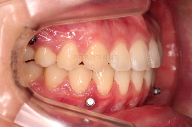
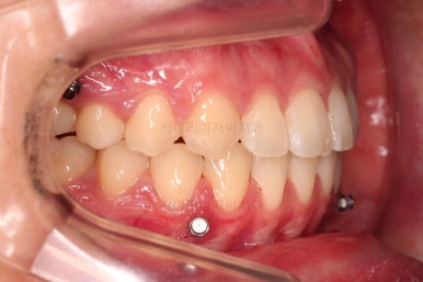
교합 양호하고 치아 사이 틈새도 잘 모아졌습니다.
특히나 틈새가 있었던 환자분의 교정치료는 재발을 할 우려가 크므로 원인 요소가 되는 부분들을 잘 찾고 개선해주며 유지장치도 좀 더 광범위하게 부착해 줍니다.
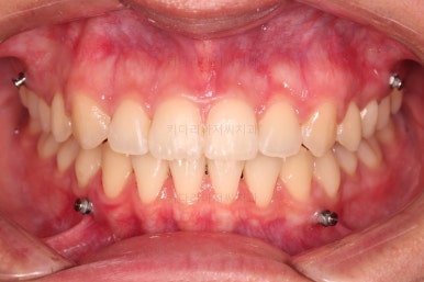
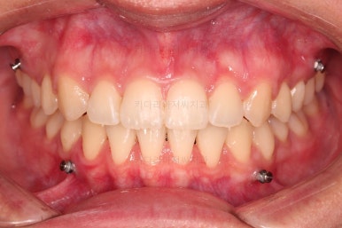
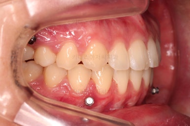
이제 부산치아교정 전후 비교를 해볼게요.
틈새가 예쁘게 모아졌고요.
교합도 좋아졌고, 앞니도 가지런해졌네요.
당연히 얼굴 모습도 마이너스 없이 예쁘게 마무리가 잘 되었습니다.
이상 미니스크류를 이용해 어금니를 전방으로 당겨오면서 틈새를 모아주었던 부산치아교정 치료사례였습니다.
부산 연산동 교정치과 키다리아저씨치과에 오시는 길은 연제구 연산동 연산역 17번출구 바로 앞 건물 6층입니다.
치과교정과 전문의(부산대 외래교수)가 상주하며 교정치료 합니다.
<위 사진은 환자분의 동의를 구한 후 공개하는 사진자료입니다. 사진은 과장이나 조작이 없는 원본사진입니다. 교정치료로 인한 부작용으로는 치근흡수, 충치, 치아변색, 실활 등이 있을 수 있으며, 치료 전후 사진은 의료법 제 23조, 제 56조에 의거하여 게재합니다. 개인의 상태에 따라 치료결과는 달라질 수 있으므로, 교정전문의와 상의를 요합니다.>































































































































댓글