부산치아교정 키다리아저씨치과의 벌어진 치아교정 치료사례
- 키다리아저씨치과

- 10월 20일
- 2분 분량
키다리아저씨치과는 치과교정과 전문의(부산대 외래교수)와 통합치의학과 전문의 원장님이 상주하며 협진하는 치과입니다. 부분교정에서부터 난이도 높은 교정진료는 교정과 원장님이 진료를 하며, 임플란트, 사랑니발치, 충치치료, 틀니 등 일반진료는 통합치의학과 전문의 원장님이 진료합니다.
교정과 일반진료의 협진으로 자기치아를 최대한 아끼고 오래 쓰는 방법을 고심하며 수준 높은 진료를 제공합니다.
안녕하세요.
부산치아교정 키다리아저씨치과에서 오늘 소개해 드릴 환자분은 앞니 사이가 벌어져서 틈새를 모으길 원하셨던 환자분 입니다.
나이 : 28세
총 치료기간 :1년 5개월(총 17개월)
사용한 장치 : 자가결찰 세라믹(엠파워 클리어, Empower clear) + 미니스크류
초진 시, 얼굴 모습입니다.
입술의 옆 라인이라던지 다물었을 때의 자연스러운 느낌은 좋아요.
다만, 입을 벌렸을 때나 웃을 때 등 치아사이가 벌어져 틈새가 생겨있는 양상이었어요.
유독 우리나라는 앞니 사이 틈새를 좋지 못한 인식하는 경향이 있는 듯 해요.
마찬가지로 이번 환자분도 벌어진 앞니의 틈을 모으고 싶어 하셨어요.
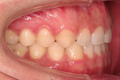
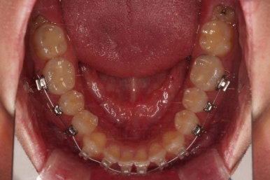
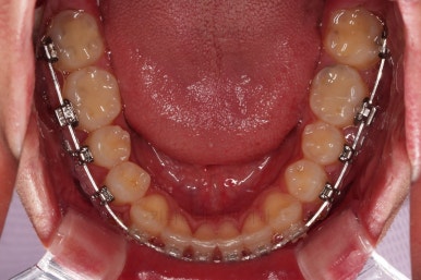
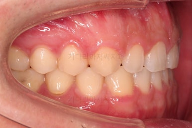
마찬가지로 초진 시, 입안의 모습이에요.
치열의 가지런한 느낌 자체는 나쁘지 않아요.
다만 윗니 앞니 사이가 벌어져 있는 양상이었고 위아래의 중앙선이 맞지 않는 상황이었어ㅛ.
이런 미세한 치열문제는 어디서 왔느냐?
바로 아랫니들이 미약하게 앞으로 밀려나와 있어서 그런거에요.
아랫니가 약간씩 앞으로 밀려 나온다.(특히 한 쪽이 더 많이 밀려나온다.) -> 아랫니를 덮고 있던 윗니 앞니가 앞으로 밀리면서 틈이 생긴다. 그리고 중앙선이 틀어진다.
원인을 찾았으니 치료는 아랫니를 뒤로 밀어주는데서부터 시작해야 돼요.
앞니가 문제이니 앞니만 부분적으로 모을 수 있는 방법은 없나요?
이런 질문들이 안된다는거죠.
윗니를 받치고 있는 아랫니의 위치 개선이 있어야 전반적인 문제점들이 좋아질 수 있어요.
라미네이트? 치아교정?
앞니가 이렇게 약간의 문제가 있다면 치아교정으로 문제를 고치는 방법과 라미네이트 등 앞니 보철치료로 개선하는 방법을 동일선상에서 설명드리는 편입니다. 각각의 장단점이 있기 때문이죠.
라미네이트는 빨리 긑난다, 치아 형태/색상이 더 예쁘게 된다는 장점이 있지만 틀어져 있는 치아 일부를 깎아내야 하며 한 번씩 보철이 탈락하거나 수년 뒤에 다시 해줘야 하는 경우도 생길 수 있다는 단점이 있죠.
치아교정은 오래 걸리고 그 기간동안 미적으로도 마이너스일 수 있는데 대신 자기 치아를 깎지 않아도 된다는 압도적인 장점이 있어요.
물론 선택은 환자분의 몫입니다. ^^
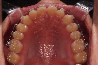
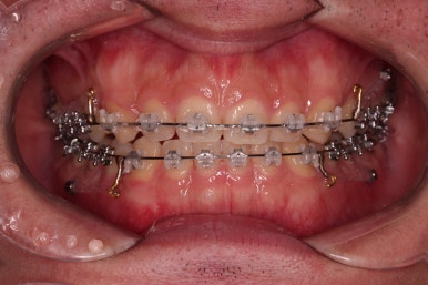
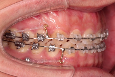
교정장치를 부착했어요.
이번에 환자분께서 선택한 장치는 엠파워 클리어라고 하는 자가결찰 세라믹 장치에요. 철사를 잡아주는(결찰) 클립이 장치 자체에 달린(자가) 브라켓이라는 뜻인데요.
흔히 클리피씨, 클리피씨 교정이라고 많이들 알고 계시더라고요.
클리피씨도 큰 틀에서 자가결찰 세라믹 장치의 일종이고 이번에 부산치아교정 키다리아저씨치과에서 사용한 장치는 엠파워 클리어라고 하는 장치입니다.
클리피는 일본, 엠파워는 미국, 제조사 차이이지 같은 부류의 장치입니다.
치열을 가지런하게 정렬한 뒤, 아랫니를 뒤로 당기면서 윗니의 중앙선도 개선하기 위해 미니스크류를 잇몸뼈에 식립했어요.
미니스크류가 있었기 때문에 부산치아교정 고난이도 치료를 좀 더 수월하게 할 수 있답니다.
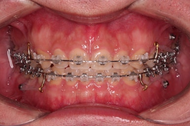
반복해서 아랫니를 뒤로 당겨주고, 비대칭적으로 당겨주어 중앙선도 맞춰 나갑니다.
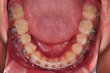
디테일을 좀 더 맞춰주고 틈이 다시 벌어지지 않는지를 여유를 두고 충분히 확인 후, 치료를 종료하게 됩니다.
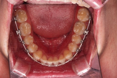
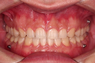
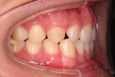
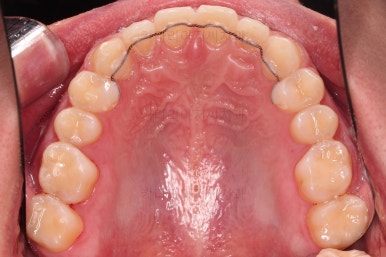
치료 종료시의 모습입니다.
치열의 가지런한 느낌도 좋고 벌어짐 없이 연속으로 붙어 있어 심미적으로 많이 개선이 되었네요.
교합도 잘 맞고, 치열도 가지런하며 틈새도 다 모아졌어요.
중앙선도 잘 맞아졌고요.
부산치아교정 전후 사진을 비교해 볼게요.
치열, 교합, 틈새, 중앙선 모두 개선이 되었고요.
원래 양호했던 입매라던지 입술을 다물었을 때의 느낌은 여전히 좋고요.
(굳이 따지자면 아랫니들을 뒤로 밀었기 때문에 아랫입술~턱끝까지 이어지는 S라인이 좀 더 살아나면서 예뻐졌다고 볼 수 있는데, 아마 키다리아저씨치과만 보이는 거겠죠? ㅎㅎ)
비교적 짧은 시간동안 만족스러운 부산치아교정 치료였습니다.
이상 앞니 사이가 벌어져 틈새가 있었던 환자분의 미니스크류를 이용한 부산치아교정 치료사례였습니다.
키다리아저씨치과에 오시는 길은 연제구 연산동 연산역 17번출구 바로 앞 건물 5, 6층입니다.
치과교정과 전문의(부산대 외래교수)와 통합치의학과 전문의(서울대학교 졸업) 2명이 상주하며 교정치료와 일반치과치료를 협진하여 진료합니다.
<위 사진은 환자분의 동의를 구한 후 공개하는 사진자료입니다. 사진은 과장이나 조작이 없는 원본사진입니다. 교정치료로 인한 부작용으로는 치근흡수, 충치, 치아변색, 실활 등이 있을 수 있으며, 치료 전후 사진은 의료법 제 23조, 제 56조에 의거하여 게재합니다. 개인의 상태에 따라 치료결과는 달라질 수 있으므로, 교정전문의와 상의를 요합니다.>



























































































































댓글