부산치아교정 키다리아저씨치과의 고난이도 교정치료 사례
- 키다리아저씨치과

- 2025년 4월 9일
- 3분 분량
안녕하세요.
오늘 부산치아교정 키다리아저씨치과에서 소개해 드릴 분은 치아가 많이 삐뚤한 분이었고 약간 돌출입도 가지고 있었으며, 매복치아도 있고 과잉치도 있었고 많이 썩어 발치가 필요한 치아도 있었던 환자분입니다.
나이 : 25세
총 치료기간 : 2년 4개월(총 28개월)
사용한 장치 : 메탈장치
부산치아교정 키다리아저씨치과에 처음 내원하셨을 당시의 얼굴 모습입니다.
옆모습을 봤을 때 약간의 돌출감과 무턱 경향이 있어요. 그보다 더 큰 문제는 웃거나 말할 때 드러나는 치열인데 단순히 치열이 삐뚤하다는 정도를 넘어 많이 상해있따는 인상을 주었어요.
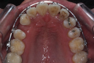
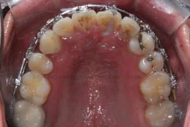
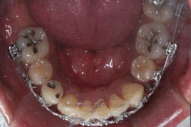
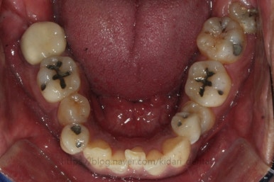
부산치아교정 키다리아저씨치과에 처음 내원 당시의 입안 모습입니다.
여러 가지 문제점이 있는데 하나씩 살펴볼게요.
치열이 많이 삐뚤하네요.
많이 삐뚠 상태에서 장기간 사용하다 보면 안좋은 방향으로 치아가 힘을 받게 되고 마모나 치아 목부분 패임이 심해집니다.
양치가 힘들어요. 양치가 힘들다 보니 세게 닦게 되고 치아 손상은 더 심해져요. 25세의 나이였는데 나이에 비해서 치아나이가 굉장히 많은거죠.
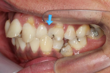
화살표 부분에 원래 송곳니가 있어야 되는데 보이질 않네요. 결손치아일 수도 있고 매복치아일 수도 있겠어요.
왼쪽 위 어금니도 한 개가 없어서 빈공간이 약간 남아있어요.
왼쪽 아래 작은 어금니는 아래쪽으로 많이 꺼져있네요.
이런 경우 X-ray 도 면밀히 관찰해 줘야 합니다.

파노라마 X-ray 사진 입니다.
사랑니가 굉장히 위쪽으로 묻혀 있어요. 이렇게 묻혀 있는 사랑니는 사실상 그냥 놔둬도 괜찮아요.
과잉치가 보이네요. 앞니 사이에 과잉치는 굉장히 빈번한데 주위 치아에 안좋은 영향을 줄 때는 뽑는게 좋아요. 이번 환자분은 뽑기로 했어요.
입 안에서 보이지 않던 송곳니가 여기 있었네요. 송곳니는 굉장히 중요한 치아라서 왠만하면 살려 쓰는게 가장 좋긴한데요. 위치랑 다른치아와의 관계 등을 고려해서 뽑을지, 꺼내쓸 지를 결정해야 돼요.
송곳니 부위를 좀 더 정밀하게 CT 사진을 찍었어요.
매복치아를 꺼낼 수 있는 기능성, 주위치아가 오히려 손상 받지 않을지, 총 치료기간 등을 고려했을 때 이번에는 발치하기로 결정했어요.
돌출입을 개선할 때 일반적으로 작은 어금니를 발치교정 하는데, 이번의 경우 작은 어금니 대신 송곳니를 발치했다고 치면 되니까요.
매복치아를 꺼내서 쓸 수만 있다면 꺼내는게 가장 좋으나 이번의 경우는 아니였던 거지요.
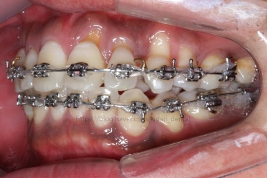
자, 이제 뽑을 치아는 뽑고 준비과정이 끝나면 교정장치를 부착해서 가지런하게 하기 시작합니다.
이번에 부산치아교정 사용한 장치는 일반 메탈장치입니다.
역사가 가장 오래된 장치지요. 요즘은 선호도가 많이 떨어지긴 했는데 여전히 좋은 장치랍니다.
키다리아저씨치과에서는 특정 장치를 권해드리지 않아요.
각 장치마다 장단점이 있으니깐요. 충분히 장단점 설명드리고 기호에 따라 선택하시게끔 해요.
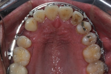
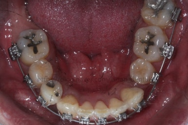
치료 시작 3개월째의 모습입니다.
서서히 가지런해지는 느낌이 드시나요?
화살표를 보면 작은 어금니 하나가 아래로 꺼져있는데, 이 녀석 때문에 애를 먹었네요. 훨씬 치료가 빨리 끝날 수 있었는데 이 치아가 워낙 잘 안움직이는 바람에 2년 개월정도로 치료기간이 많이 걸린 편이었어요.
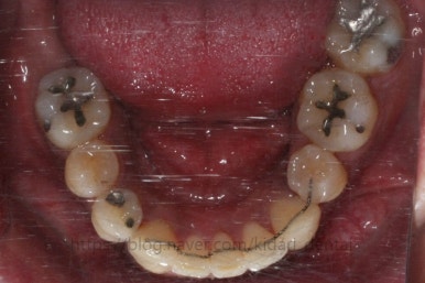
치료 8개월째의 모습입니다.
이제 얼핏 보면 매우 가지런해졌어요. 이 뽑은 자리도 많이 남지 않았고 왼쪽 위 송곳니가 없지만 그리 표시도 많이 나지 않네요.
대신 위쪽 아래 작은 어금니가 애를 먹이고 있어요. 낚시줄처럼 부여매고 끌어올리는게 보이실거에요.
뼈에 단단히 붙어 안움직이는 경우를 "유착치아"라고 표현하는데, 유착치아라면 해당 치아를 움직이는 것을 포기했어야 했어요.
그래도 조금씩이라도 움직이고 있어서 계속 시도했습니다.
치료 1년 째의 모습입니다.
앞선 모습과 큰 차이가 없는 듯 하죠?
다른 치아는 어떻게 보면 움직임을 멈춘 상태입니다. 오로지 치료는 화살표 치아를 움직이는데 온 힘을 쏟는 중이에요. 이 치아가 제 위치를 잡아야 남아 있는 틈을 모으든 교합을 맞추든 다음 진도를 나갈 수 있기 때문이지요.
치료 1년 5개월째의 모습입니다.
작은 어금니가 어느 정도 올라왔다고 판단되어, 본격적으로 틈을 줄이기 시작했어요.
오른쪽 아래 맨 뒤어금니는 예후가 불량하여 살려쓰기 힘들다고 판단이 되어 발치했어요. 추후에 임플란트를 하셔야 합니다.
부산치아교정 키다리아저씨치과에서 치료를 시작한지 2년 경과시 모습입니다.
이 뽑은 틈도 어느 정도 다 닫혀가고, 애를 먹이던 왼쪽 아래 작은 어금니도 많이 좋아졌어요.
여전히 약간은 불만족스러워 갖가지 방법을 동원해서 바로 잡아주고 있어요.
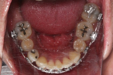
2년 2개월째 이빈다.
이제 거의 다 되어간다고 보면 되겠고, 좀 더 디테일한 마무리를 하고 끝내면 되겠습니다.
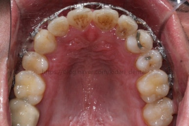
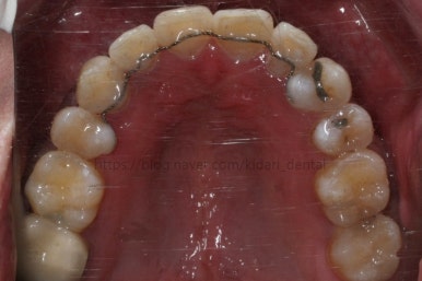
드디어 치료 종료시의 모습입니다. 2년 4개월 걸렸네요.
앞니 안쪽에는 유지철사를 붙여주었고요. 임플란트가 필요한 부위랑 맞닿은 부분은 치열이 움직이지 않도록 철사로 잡아주었어요.(오른쪽 어금니 부위)
삐뚤었던 치아들이 가지런해졌습니다.
왼쪽 송곳니를 발치했지만 별로 표시가 안나게 마무리를 했습니다.
많이 썩은 치아들은 다 뽑았고, 틈새도 다 다물어졌습니다.
원래 패여 있던 부위는 완벽하게 만들기는 힘들지만 앞으로 관리를 잘해주시면 이 모습 그대로 오래 사용하실 수 있으실거에요.
전후 비교해보겠습니다.
얼굴 모습의 변화입니다.
웃는 모습이 정말 좋아지셨습니다. 치아가 많이 안좋아서 돌출입을 적극적으로 개선하지 못했지만 할 수 있는데 까지는 입을 넣어드렸습니다.
부산치아교정 후 많이 좋아지셨습니다.
이상 부산치아교정 키다리아저씨치과에서 시행한 고난이도 교정치료(삐뚤한 치아, 덧니, 과잉치, 매복치, 돌출입, 결손치아) 사례였습니다.
키다리아저씨치과에 오시는 길은 연산역 17번출구 바로 앞 건물 5, 6층입니다.
치과교정과 전문의(부산대 외래교수)와 치과보철과/통합치의학과 전문의(부산대 외래교수) 2명이 상주하며 교정치료와 일반치과치료를 협진하여 진료합니다.
<위 사진은 환자분의 동의를 구한 후 공개하는 사진자료입니다. 사진은 과장이나 조작이 없는 원본사진입니다. 교정치료로 인한 부작용으로는 치근흡수, 충치, 치아변색, 실활 등이 있을 수 있으며, 치료 전후 사진은 의료법 제 23조, 제 56조에 의거하여 게재합니다. 개인의 상태에 따라 치료결과는 달라질 수 있으므로, 교정전문의와 상의를 요합니다.>






















































































































댓글