부산치아교정 키다리아저씨치과에서 시행한 미세돌출 비발치교정 사례
- 키다리아저씨치과

- 2025년 4월 23일
- 3분 분량
안녕하세요.
오늘 부산치아교정 키다리아저씨치과에서 소개해 드릴 환자분은 미세돌출과 앞니 벌어짐을 고치고 싶어하셨떤 분입니다.
나이 : 33세
총 치료기간 : 2년 4개월(총 28개월
사용한 장치 : 자가결찰 세라믹(엠파워 클리어, Empower clear)
키다리아저씨치과에 처음 내원하셨을 때의 얼굴 모습입니다.
입을 다물었을 때의 모습은 크게 나쁘지 않아요. 굳이 따지자면 아주 약간 돌출감이 있다는건데요.
코도 낮은편이 아니고 해서 돌출감은 환자분의 판단에 맡기기로 했습니다. 입을 넣고자 하신다면 넣어드리고 괜찮다 하시면 그대로 두기로 말이죠.
이런 경우를 "미세돌출"이라고 표현을 많이 하시던데 정식 용어는 아니긴 합니다. 어쨌든 의미는 잘 통하는 단어이니 미세돌출이라고 할게요.
웃거나 말하는 모습에서는 몇 가지 문제점들이 있었어요.
앞니가 뻐드러져 보인다.
치아 사이에 틈이 보인다.
치아 사이 특히 앞니 두 개 사이에 틈이 있으면 우리나라에서 복이 나간다는 미신이 있을 정도로 미적으로 좋지 못하게 여기는 경향이 있는데요.
이번 환자분도 이 치아 사이 틈새를 매우 보기 싫어하셨어요.
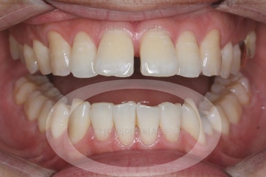
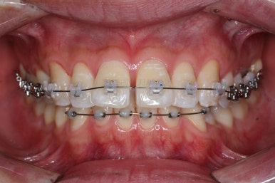
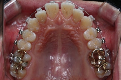
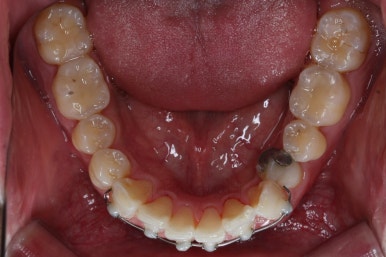
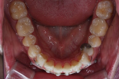
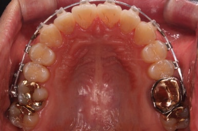
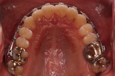
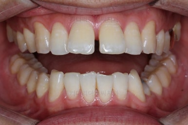
마찬가지로 부산치아교정 키다리아저씨치과에 처음 내원하셨을 당시의 입 안 모습입니다.
앞니가 뻐드러져 있는게 보이실 거에요. 뻐드러져 있다보니 아랫니보다 앞으로 많이 튀어나가 있어 씹는 기능도 잘 안됩니다.
그리고 앞니 둘 사이의 틈이 많이 보입니다.
이렇게 된 대표적인 이유는 오른쪽 맨 위 사진에서 동그라미 부분을 보시면 되는데요. 아래 앞니 부분만 솟구쳐 있는 것을 볼 수 있습니다. 솟구쳐 있는 아래 앞니가 윗니를 점점 더 앞으로 밀어내면서 틈새를 만들고 있는 상황이었어요.
그래서 치료계획은 우선 아래 앞니를 밑으로 제위치 시켜주는 것이 핵심이었어요. 이것이 제대로 되지 않으면 위 앞니는 절대 좋아질 수 없는 상황이었습니다.
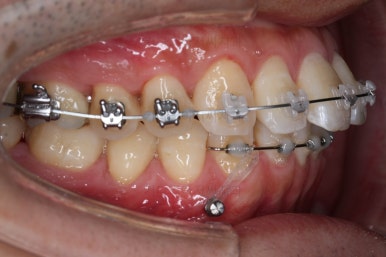
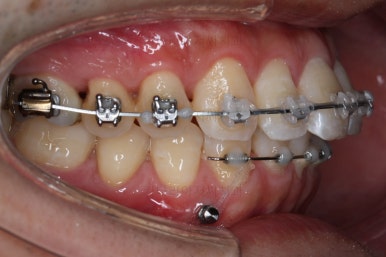
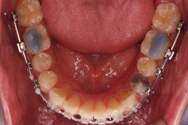
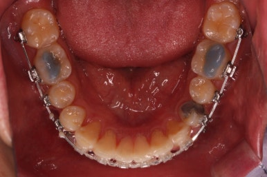
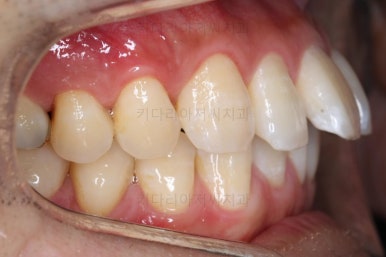
부산치아교정 처음 장치를 부착한 모습입니다.
솟구쳐 있는 아래 앞니가 치료의 핵심이라고 말씀을 드렸는데 문제는 솟구쳐 있다보니 교정장치도 제대로 부착이 힘든 상황이었어요.
변칙적으로 부피가 작은 장치를 부착했어요.
왼쪽은 장치 부착 전, 오른쪽은 부착 후 옆모습입니다.
이번에 사용한 장치는 엠파워 클리어라고 하는 자가결찰 세라믹 장치 중 하나를 사용했습니다.
여러 번 누누히 말씀을 드렸지만 자가결찰 세라믹 장치는 대표적으로 엠파워 클리어, 데이몬 클리어, 클리피씨 등이 있어요. 의사와 당사자간의 상의하에 기호에 맞게 사용하시면 된답니다.
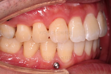
교정장치를 부착했다 해서 이 분은 입이 크게 더 나오지 않는 분이었어요.
환자분이 원하신 치료의 부위는 위 앞니이지만 치료의 핵심 키는 아래 앞니에 있어요.
사진에서 화살표를 보시면 미니스크류(마이크로 임플란트)라고 하는 장치인데요. 이를 이용해서 아래 앞니를 밑으로 계속 당겨줘요.
윗니와 간섭이 없을 때까지 말이죠.
계속 아래로 아래로 당겨줍니다.
그러면서 간섭이 없어지는 만큼 윗니 앞니를 조여주게 되면 틈새가 점점 없어지게 된답니다.
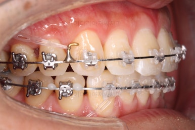
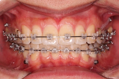
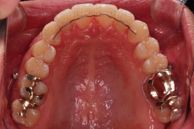
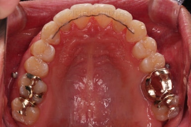
어느 정도 아래 앞니가 많이 개선되었다고 판단되었고 아랫니의 장치도 바꿔 부착하고 어금니까지도 장치가 들어갔어요.
윗니는 본격적으로 미세돌출 개선을 위해 뒤로 당겨주기 시작했습니다.
마찬가지로 윗니도 미니스크류를 어금니쪽에 식립했어요.
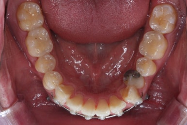
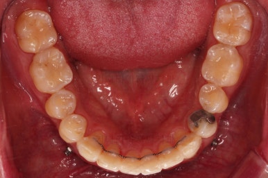
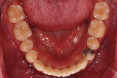
왼쪽과 오른쪽 사진을 비교해 보시면 아래 앞니가 확실히 아래로 내려간 것을 볼 수 있습니다.
뒤쪽의 어금니 레벨이랑 비슷해졌어요.
가장 치료의 키가 되던 아래 앞니는 부산치아교정 개선이 다 되었기 때문에 이제는 환자분의 원래 치료 목적에 집중해 줍니다.
뻐드러진 앞니 각도를 바로 세우고 미세돌출을 개선하기 위해 윗니를 계속 뒤로 당겨줍니다.
얼굴 모습에 대한 중간평가를 시행해요.
특히 돌출감에 대한 치료를 할 때는 너무 많이 혹은 너무 적게 들어가지 않는지 수시로 체크가 필요합니다.
이런 작업을 제대로 하지 않는다면 너무 많이 들어가서 역교정을 하거나 재교정을 해야 하는 사례가 발생하게 됩니다.
환자분은 이정도 입매에서 약간만 더 들어가고 마무리를 하고 싶어하셨고 의사를 반영하여 서서히 부산치아교정 마무리과정에 들어가기로 했습니다.
중앙선과 교합적인 측면만 더 개선하고 마무리를 하기로 하였습니다.
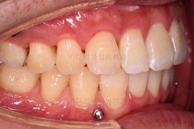
치료 종료 시의 모습입니다.
치아배열, 교합, 중앙선, 치아각도 등등 모두 만족스럽게 부산치아교정 마칠 수 있었어요.
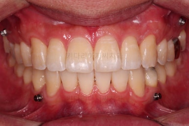
마찬가지로 부산치아교정 키다리아저씨치과에서 치료를 마무리한 시점의 얼굴 모습입니다.
이제는 돌출감이 전혀 느껴지지 않아 미세돌출이 개선이 되었고 웃거나 말할 때 드러나는 치열이 굉장히 예쁘게 정리가 되었습니다.
각도도 좋고 틈새도 없어졌어요.
전후 사진을 비교해 보겠습니다.
왼쪽이 치료 전, 오른쪽이 치료 후 모습입니다.
비교해 보니 매우 좋아졌지요?
치료의 키 포인트였던 아래 앞니도 매우 잘 개선이 되었습니다.
환자분이 원하셨던 포인트들이 모두 개선이 되어 만족도 높게 치료를 종료할 수 있었어요.
이상 부산치아교정 키다리아저씨치과에서 시행한 미세돌출, 과개교합, 벌어진 앞니의 비발치 교정치료 사례였습니다.
키다리아저씨치과에 오시는 길은 연제구 연산동 연산역 17번출구 바로 앞 건물 5, 6층입니다.
치과교정과 전문의(부산대 외래교수)와 치과보철과/통합치의학과 전문의(부산대 외래교수) 2명이 상주하며 교정치료와 일반치과치료를 협진하여 진료합니다.
<위 사진은 환자분의 동의를 구한 후 공개하는 사진자료입니다. 사진은 과장이나 조작이 없는 원본사진입니다. 교정치료로 인한 부작용으로는 치근흡수, 충치, 치아변색, 실활 등이 있을 수 있으며, 치료 전후 사진은 의료법 제 23조, 제 56조에 의거하여 게재합니다. 개인의 상태에 따라 치료결과는 달라질 수 있으므로, 교정전문의와 상의를 요합니다.>







































































































































































댓글