부산치아교정치과 키다리아저씨치과의 비발치 덧니 교정 치료사례
- 키다리아저씨치과

- 1월 29일
- 3분 분량

"미니스크류를 이용한 투명교정장치에 관한 논문"으로 2023년도 Angle orthodontist(미국의 교정학회지) SCI 저널에 제 1저자로 게재되었습니다.
항상 공부하고 노력하는 키다리아저씨치과가 되겠습니다.
안녕하세요.
오늘 부산치아교정치과 키다리아저씨치과에서 소개해 드릴 환자분은 덧니가 있어 고민인 환자분을 비발치로 치료한 사례입니다.
나이 : 21세
총 치료기간 : 1년 11개월(총 23개월)
사용한 장치 : 엠파워 세라믹 + 메탈, 미니스크류
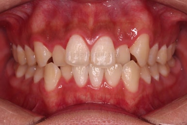
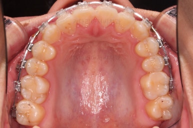
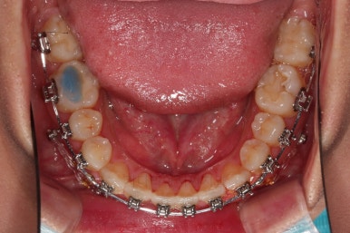
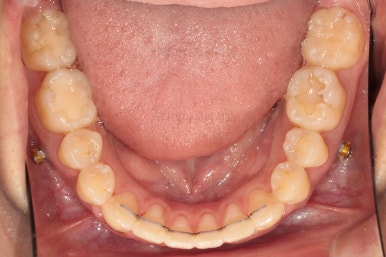
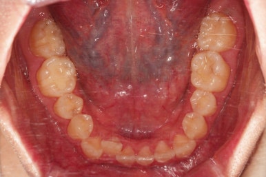
부산치아교정치과 초진 시 입안의 모습입니다.
앞니쪽이 위아래 모두 삐뚠 상태였고요.
왼쪽은 덧니로 툭 튀어나가 있고, 상대적으로 작은 앞니는 안으로 말려 들어가 아랫니와도 거꾸로 물리는 상태였습니다.
부분교정? 전체교정?
어금니도 물론 약간 삐뚤긴 하지만 앞니만큼 심한 상태는 아니었고 맞물리는 기능도 큰 불편함은 없으신 상태였습니다.
그렇다면 이런 경우는 부분교정으로 개선 가능할까요?
대답은 No 입니다.
이번 케이스는 부분이냐 전체이냐의 선택의 문제라기 보다는 부분교정은 안되는 케이스인데요.
왜 부분교정은 안되느냐?
송곳니의 위치가 좋지 않다. : 부분교정은 송곳니가 기준이 되어서 앞니를 가지런하게 하는 원리인데 송곳니 위치가 잘못되어 있으면 함께 틀어지게 돼요. 이런 경우 송곳니까지 위치를 조절해야 하는데, 뒤쪽 치아들까지 장치를 부착해줘야 되죠. 당연히 뒤쪽까지 붙이는 상황은 부분교정이 아닙니다.
공간부족 : 공간이 많이 부족한 경우, 치간삭제 등을 통해 부분교정을 진행하고 있지만 그 범위를 넘어서서 많이 삐뚠 경우는 앞니가 현 상태보다 튀어나가거가 뻗친 느낌으로 마무리될 수 있습니다.
부산치아교정치과 초진 시 얼굴 모습입니다.
웃거나 말할 때 드러나는 치열의 느낌이 좋지 못하죠.
입을 다물었을 때 약간 입매가 볼록한 느낌이 없지않아 있지만 돌출이라고 보긴 힘들고 자연스러운 양상입니다.
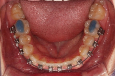
장치를 처음 부착했고요.
이번 환자분이 선택한 장치는 윗니는 세라믹 자가결찰인 엠파워 클리어, 아래는 메탈 자가결찰인 엠파워 메탈입니다. 둘 다 같은 회사의 같은 세팅의 장치이므로 혼용이 가능하죠. 대신 비용은 좀 더 줄일 수 있습니다.
비발치 교정
이번 환자분은 당연히 비발치 교정입니다.
발치할 만큼 공간이 부족한 것도 아니고 입이 튀어나온 것도 아니거든요.
그렇다고 공간 확보를 위해 인접면 삭제(치간삭제)나 악궁확장을 시행하는 것도 아닙니다.
그러면 무조건 입이 튀어나오거나 앞니가 뻗칠까요?
그렇지도 않습니다.
뭔가 마법 같죠?
오히려 입매를 들어가게도 할 수 있습니다.
바로 미니스크류를 이용해서 후방이동을 하기로 했는데요.
중간평가 후 원하는 만큼만 입을 넣어보기로 했습니다.
치간삭제나 악궁확장은 비발치 교정이라고 필수는 아닙니다.
철저한 분석을 통해서 윗니-아랫니 비율이 맞지 않다거나 기타 등등의 이유가 있을 때만 치간삭제를, 위턱과 아래턱의 폭이 조화롭지 않을 때만 악궁확장을 시행합니다.
공간확보를 위해서 무조건 이 두 가지를 시행한다?
잘못된 치료입니다.
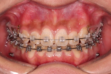
장치 부착 직후의 얼굴 모습인데요.
세라믹-메탈을 섞은 모습과 장치 부착 후 약간이나마 달라지는 입매 참고해 주세요.
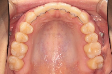
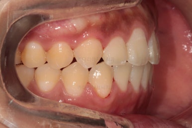
초기 6개월 이내에 어느 정도 치열이 가지런해 졌네요.
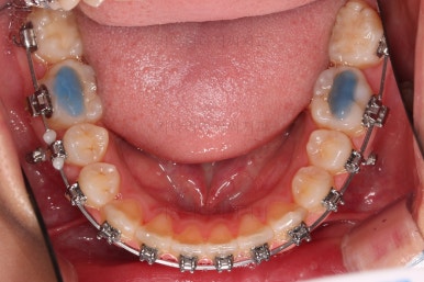
중간평가 들어갑니다.
앞니가 많이 뻗쳤나요?
그렇지 않죠.
대신 처음에는 삐뚤어서 가려져 있던 부정교합이 드러나면서 최소한 윗니는 교합을 위해 후방이동이 필요한 상황이긴 했습니다.
이 시점의 얼굴 모습인데요.
가지런한 치열의 느낌 좋고요.
옆라인도 비발치라고 입이 많이 나온 느낌은 아니죠.
현 시점에서의 옆모습 처음과 비교해 볼게요.
큰 차이 없죠?
대신 약간 나왔다면 나왔다고 느낄 수 있을 정도이긴 합니다.
어쨌든 윗니는 뒤로 밀어줘야 교합이 맞아지기 때문에 미니스크류를 이용해서 약간이나마 뒤로 밀어주기로 했고 + 하는 김에 입매를 전체적으로 들어가게 하기로 했습니다.(처음보다 더 들어가게)
미니스크류를 식립을 하고요.
뒤로 뒤로 당겨줍니다.
만족하실 때까지 당겨줍니다.
교합도 신경 써주고요.
얼굴모습도 꾸준히 체크해 주고요.
적절한 수준에서 상의 나눈 후 종료하기로 했습니다.
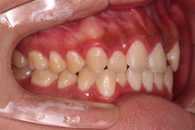
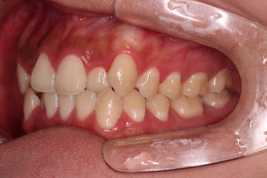
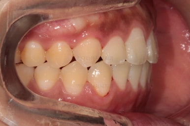
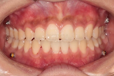
치열의 고른 느낌 좋고요.
덧니, 교합, 중앙선 등 모든게 좋아졌네요.
부산치아교정치과 전후 비교해 보겠습니다.
교합, 맞물림, 중앙선, 덧니, 입매, 앞니위치 및 각도 모든게 잘 마무리 되었습니다.
비발치로 오히려 입이 들어가게(악궁확장이나 치간삭제(공간확보의 목적) 없이도) 할 수 있었던 부산치아교정치과 좋은 치료였습니다.
이상 미니스크류를 이용해 비발치로 덧니를 개선하면서 입매도 오히려 뒤로 넣어주었던 부산치아교정치과 치료사례였습니다.
부산 연산동 교정치과 키다리아저씨치과에 오시는 길은 연제구 연산동 연산역 17번출구 바로 앞 건물 6층입니다.
치과교정과 전문의(부산대 외래교수)가 상주하며 교정치료 합니다.
<위 사진은 환자분의 동의를 구한 후 공개하는 사진자료입니다. 사진은 과장이나 조작이 없는 원본사진입니다. 교정치료로 인한 부작용으로는 치근흡수, 충치, 치아변색, 실활 등이 있을 수 있으며, 치료 전후 사진은 의료법 제 23조, 제 56조에 의거하여 게재합니다. 개인의 상태에 따라 치료결과는 달라질 수 있으므로, 교정전문의와 상의를 요합니다.>















































































































































댓글