부산치아교정치과 키다리아저씨치과에서 시행한 청소년 돌출입 발치교정 치료사례
- 키다리아저씨치과

- 4월 9일
- 3분 분량
"미니스크류를 이용한 투명교정장치에 관한 논문"으로 2023년도 Angle orthodontist(미국의 교정학회지) SCI 저널에 제 1저자로 게재되었습니다.
"2023년 대한치과 교정학회에서 표창장을 수여하였습니다."
"2023년 세계 구순구개열 학회에서 포스터 발표를 하였습니다."
항상 공부하고 노력하는 키다리아저씨치과가 되겠습니다.
안녕하세요.
오늘 부산치아교정치과 키다리아저씨치과에서 소개해 드릴 환자분은 청소년 학생으로 입이 튀어나오고 삐뚤어서 개선을 원했던 분입니다.
나이 : 15세
총 치료기간 : 1년 10개월(총 22개월)
사용한 장치 : 자가결찰 메탈(엠파워 메탈, Empower metal) + 미니스크류
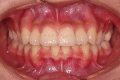
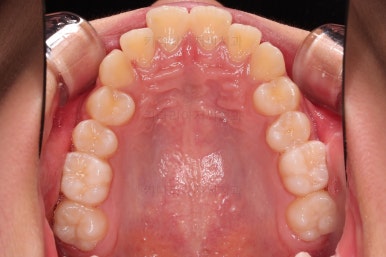
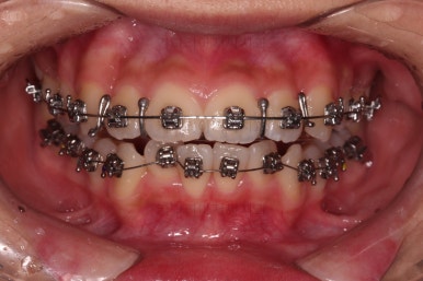
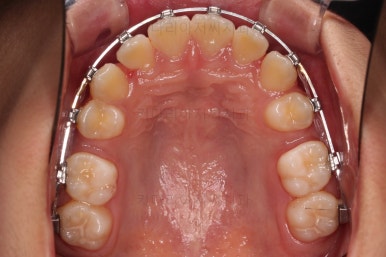
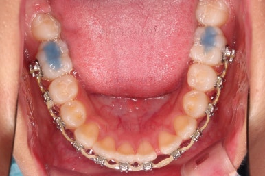
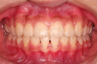
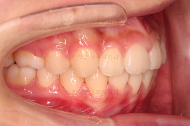
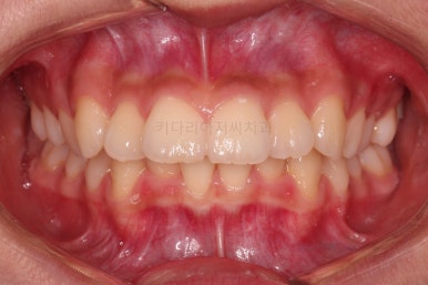
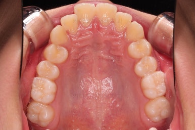
1. 초진 시 입안의 모습 평가
부산치아교정치과 키다리아저씨치과에 처음 내원했을 당시의 입 안의 모습입니다.
전반적으로 윗니가 나와있는 양상이고요.
앞니는 뻐드러져 있네요.
아래 앞니는 위로 솟구쳐 올라서 윗니 뒤쪽을 강하게 치고 있는 과개교합 양상이었고요.
위아래 앞니쪽이 삐뚤어져 있는 상태였습니다.
2. 초진 시 얼굴 모습 평가
이번 학생은 입 안의 모습에서 보시다시피, 위아랫니가 앞뒤로 차이가 많이 나는 편이었는데요.
보통은 윗니가 튀어나온 돌출이라고 생각하고 부산치아교정치과 내원을 하시지만 이번 환자분도 아래턱이 작아서 문제가 시작된 경우였습니다.
아래턱이 작다 -> 위아래 앞니가 만나지 않는다 -> 아랫니는 윗니와 만나려고 솟구쳐 오른다(과개교합) -> 앞니가 앞뒤로 멀고 과개교합이면 아랫입술이 안으로 말려 들어간다.
이렇게 교합이 얼굴모습에도 영향을 주는데요.
과개교합과 위아래 앞니의 앞뒤 차이는 아랫 입술 부위의 특징적인 형태를 만들어 냅니다. 위쪽 사진 중 옆모습 사진에 빨간색 꺽쇠표를 보시면 아랫 입술 ~ 턱끝까지 이어지는 곡선이 부드럽지 못하고 한 번 깊게 꺾여 있는 것을 볼 수 있는데요.
이러한 점이 특징이죠.
어릴 때 혹은 성장기 때 교정을 해주면 이러한 입술 모양도 일부 개선이 되고요.
성인이 되어서 하면 교합을 고쳐놔도 일부 이런 느낌은 남게 됩니다.
만약 이 학생이 훨씬 더 어릴 때 내원을 했다면, 아래턱을 약간 앞으로 키워주는 성장교정치료를 시도해봤을법 했을겁니다.
3. 치료목표 및 계획의 수립
이번 환자분은 입이 나온 것이 아니라 아래턱이 작아서 생기는 상대적인 문제점들이었지만 아래턱을 키울 수 있는 시기는 지났기 때문에 결국 윗니를 뒤로 넣으면서 작은 아래턱에 맞춰 교합을 형성할 수 밖에 없었는데요.
이런 경우, 입이 튀어나와 보이지만 가급적이면 입을 적게 넣어야 하는 케이스입니다.
윗니를 뒤로 통째로 밀어넣는 방법도 있지만, 이번 환자분은 전반적인 골격이 작은 편으로 활용할 공간이 거의 없었기 때문에 발치를 택할 수 밖에 없었습니다.
✅ 편악 발치(2개 발치) vs 양악 발치(4개 발치)
일반적인 발치교정은 발치를 4개 하는 것이 가장 흔한데요.
이번 환자분은 윗니만 총 2개를 발치하는 편악발치교정을 진행했습니다.
아이러니하게도 부정교합이 심하면 심할수록 2개만 뽑을 확률이 높고, 부정교합이 덜할수록 4개 뽑을 확률이 높아집니다.
왜냐하면 이번 환자분도 아랫니까지 발치를 하게 되면 아래 앞니도 저 멀리 뒤로 도망가 버리기 때문에 윗니 앞니가 뒤로 들어가야 할 양이 어마어마하게 많아지기 때문이죠.
따라서 아래 앞니는 뒤로 거의 넣지 않는 선에서 윗니만 뒤로 넣으면서 아래 앞니 기준으로 교합을 설정하기로 했습니다.
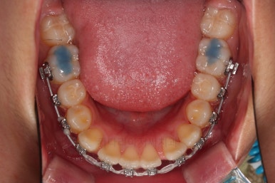
4. 치료 과정 및 경과
우선 윗니만 장치를 부착했습니다.
순서는 윗니 장치 부착 후 발치를 하고, 가지런하게 된 뒤에, 과개교합 개선을 위한 특별한 장치가 들어가면서 아랫니에도 브라켓을 부착하기로 정했습니다.
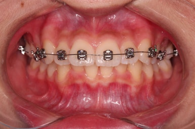
이번 환자분이 선택한 장치는 엠파워 메탈이라고 하는 자가결찰 금속 브라켓입니다.
메탈 브라켓이라고 다 구식의 안좋은 장치가 아닙니다.
"자가결찰" 브라켓이면 모두 우수한 성능의 장치인데요.
철사를 잡아주는(결찰) 캡이 브라켓에 달려 있어 스스로 묶을 수 있는(자가) 브라켓입니다.
즉, 세라믹 중에서도 자가결찰인 것이 있고 아닌 것이 있으며, 메탈 중에서도 자가결찰인 것이 있고 아닌 것이 있습니다.
장치를 부착한 직후의 얼굴 모습 변화와 장치가 보이는 느낌을 한 번 봐주시고요.
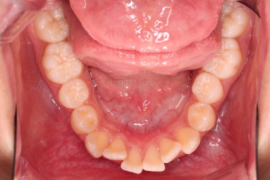
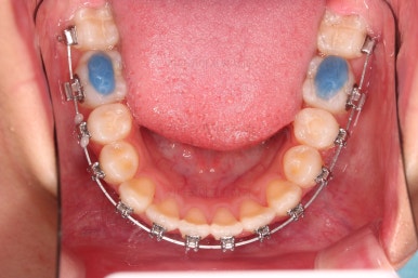
윗니가 가지런해진 뒤에는 부산치아교정치과 키다리아저씨치과에서는 ABP라고 하는 장치를 사용해 주면서 아랫니에도 브라켓을 부착합니다.
깊게 물리는 과개교합을 개선하기 위함인데요.
과개교합을 개선하기 위해서는 미니스크류를 사용하기도 하고 ABP를 사용하기도 하며, 윗니 앞니를 코 방향으로 밀어넣기도 합니다.
얼굴모습과 교합을 생각해서 각 케이스마다 모두 다른 방법을 적용해야 하므로 일관된 공식이 있는 것이 아닙니다.
이번 환자분은 ABP의 사용이 가장 적합했던 케이스였습니다.
ABP를 사용하지 않고도 과개교합이 매우 좋아졌고요.
위아래 치열이 매우 고르게 되었으며, 이제부터는 발치공간을 줄여나가면서 교합을 맞춰 나가면 됩니다.
이번 환자분 같이 편악발치의 경우에는 윗니에만 발치 공간이 있고, 치아 사이즈의 부조화가 생겨서 발치 공간이 남거나 다 모아놔도 추후 재발이 되는 경우가 많습니다.
굉장히 디테일한 치료계획과 수행이 중요합니다.
이번 환자분도 다양한 테크닉으로 편악발치이지만 공간이 잘 줄어들 수 있게끔 치료해 나갑니다.
입매, 웃을 때의 입술선과 치열의 조화 등을 체크해줍니다.
디테일한 마무리를 하고 종료합니다.
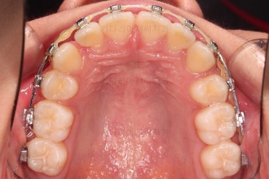
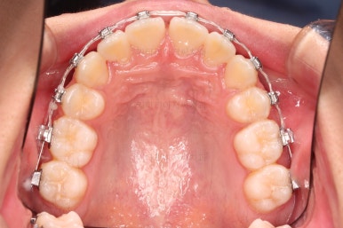
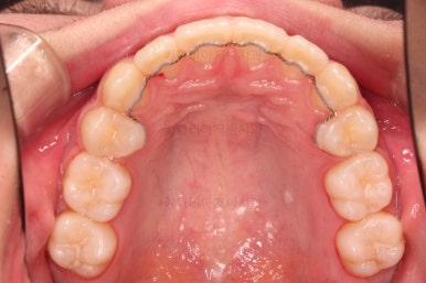
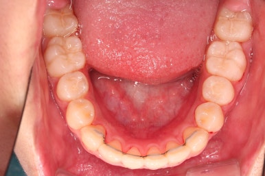
5. 마무리와 종료
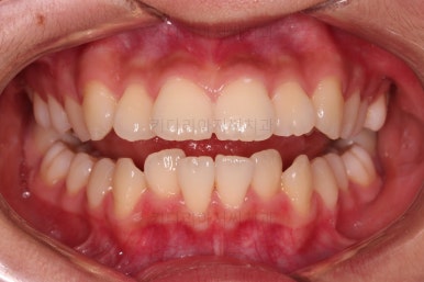
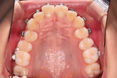
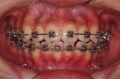
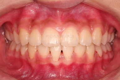
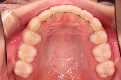
부산치아교정치과 키다리아저씨치과에서 마무리한 입안의 모습입니다.
가지런하게 잘 정렬이 되었고요.
윗니만 발치한 편악발치교정이지만 틈새 없이 공간이 닫혔으며 교합도 잘 맞습니다.
간혹 윗니만 발치를 해서 윗니만 갯수가 적어 교합에 문제가 되지 않나요? 라는 질문을 하시는 경우가 있는데요.
윗니 아랫니는 1:1로 대응 되는게 아니라 지그재그로 서로 엇갈려 있기 때문에 특히 윗니는 하나 모자라도 교합에 전혀 문제 되지 않습니다.
6. 전후 비교 사진
위아랫니가 가지런하게 보기 좋게 배열이 되었고요.
아랫니까지 윗니를 넣음으로써 튀어나와 보이던 앞니의 느낌이 좋아졌습니다.
물론 작은 아래턱에 맞춰 윗니를 뒤로 집어넣어야 해서 자칫 지나치게 들어간 입이 될까 염려되는 조심스러운 케이스였지만, 편악발치를 통해 최소한으로 입을 넣으면서 굉장히 조화롭게 잘 마무리 했습니다.
웃을 때 보이는 앞니의 느낌과 위치가 참 좋아졌네요.
옆 라인도 움푹 들어가 있던 아랫입술 아랫 부분이 완만하게 펼쳐지면서 입매도 많이 좋아졌습니다.
이상 편악발치를 통한 돌출되어 보이던 앞니를 개선한 돌출입, 과개교합 교정치료 사례였습니다.
부산 연산동 교정치과 키다리아저씨치과에 오시는 길은 연제구 연산동 연산역 17번출구 바로 앞 건물 6층입니다.
치과교정과 전문의(부산대 외래교수)가 상주하며 교정치료 합니다.
<위 사진은 환자분의 동의를 구한 후 공개하는 사진자료입니다. 사진은 과장이나 조작이 없는 원본사진입니다. 교정치료로 인한 부작용으로는 치근흡수, 충치, 치아변색, 실활 등이 있을 수 있으며, 치료 전후 사진은 의료법 제 23조, 제 56조에 의거하여 게재합니다. 개인의 상태에 따라 치료결과는 달라질 수 있으므로, 교정전문의와 상의를 요합니다.>













































































































































댓글