부산치아교정추천 키다리아저씨치과의 비수술 + 비발치 + 주걱턱 반대교합 치료사례
- 키다리아저씨치과

- 2025년 9월 11일
- 3분 분량
안녕하세요.
오늘 부산치아교정추천 소개해 드릴 환자분은 주걱턱에 앞니가 거꾸로 물린다는 점 때문에 교정치료를 원하셨던 환자분입니다.
나이 : 23세
총 치료기간 : 1년 2개월(총 14개월)
사용한 장치 : 자가결찰 세라믹(엠파워 클리어, Empower clear) + 미니스크류
부산치아교정추천 키다리아저씨치과에 처음 오셨을 때의 얼굴 모습입니다.
앞에서 봤을 때도 옆에서 봤을 때도 아랫입술 ~ 턱끝까지 이어지는 부위가 앞으로 튀어나와 보여요.
웃거나 입을 벌렸을 때는 아래 앞니가 윗니보다 앞에 나와있는 소위 말하는 반대교합 상태였어요.
아래턱뼈 자체가 약간 정상범주보다 커서 앞으로 튀어나와있는 주걱턱인데요.
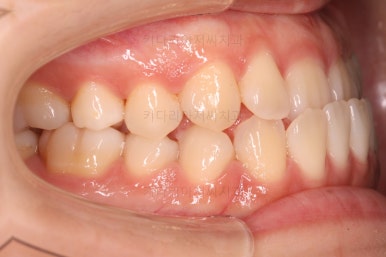
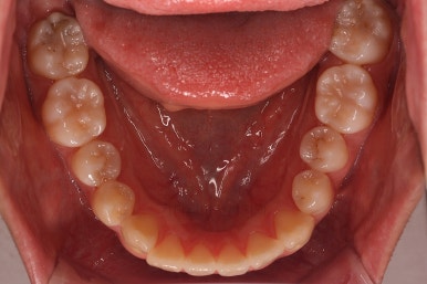
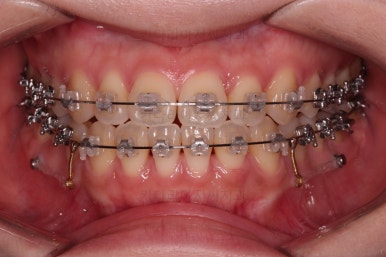
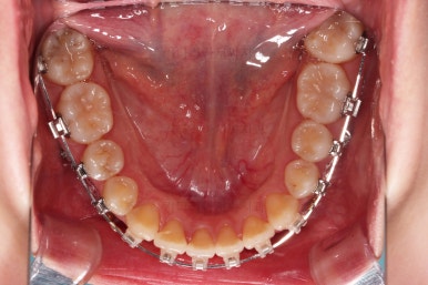
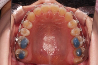
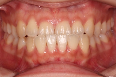
마찬가지로 부산치아교정추천 초진 때의 입안 모습입니다.
앞니가 거꾸로 물리는게 단순히 보기에만 좋지 않은가? 그렇지 않아요.
반대교합의 경우 무엇이 안좋나요?
원래는 앞니가 앞에, 아랫니가 뒤에 있어야 합니다. 그래서 구조상 아랫니는 밖에서 안으로 가해지는 힘에 버티기 좋게 생겼어요. 그런데 아랫니가 윗니보다 앞에 있으면 안에서 밖으로 밀어내는 힘을 지속적으로 받고 그러다보면 아랫니 주위 잇몸이 내려가고 약해져요. 이번 환자분의 경우도 아래 앞니 부분이 치아가 길다고 느껴지실텐데요. 잇몸이 내려앉아서 그런거에요.
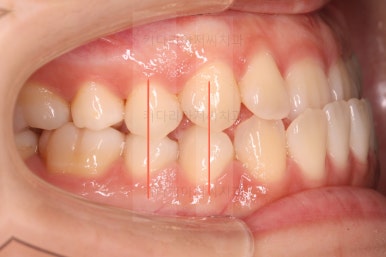
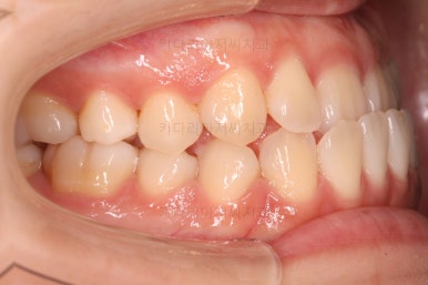
앞니가 거꾸로 물린다는 건 앞니만의 문제가 아니에요. 뒤쪽 어금니들도 위치관계가 좋지 못하다는 뜻인데요. 이번 환자분도 구강내 측면사진을 보시면 치아와 치아가 1:1로 부딪히고 있는게 보이실거에요. 원래는 윗니-아랫니가 지그재그로 서로서로 바껴서 껴들어가야하는데 그렇지 못해요. 이 상태에서는 마찬가지로 잇몸이 내려간다거나 치아가 많이 닳는 등의 문제가 생겨요.
그래서 당연히 미적인 부분도 있겠지만 장기적인 치아 수명이라던지 기능적 측면에서도 치아교정치료는 추천돼요.
치료 계획? : 비수술, 비발치 교정
주걱턱의 양상이 심할 경우, 혹은 얼굴모습까지 드라마틱하게 바꿔주고 싶다면 수술교정, 흔히 알고 계신 양악수술을 동반해서 교정치료를 하는게 적합해요.
하지만 이번 환자분의 경우는 교합을 맞추는데 중점을 두셨고 교정만으로도 충분히 교합을 맞출 수 있을 것이라는 판단으로 "비수술" 교정을 하기로 했어요.
그리고 어쨌든 아랫니를 뒤로 많이 당겨와야 하는데 그 양이 많거나 치열이 많이 삐뚤다면 특정 치아를 몇 개 뽑아야 하는 경우가 있는데 이번 환자분의 경우는 이도 뽑지 않고 "비발치"로 진행하기로 했어요.
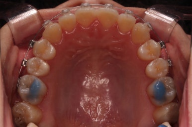
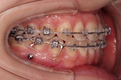
미니스크류(미니 임플란트)
이처럼 힘든 케이스인 주걱턱 반대교합 교정을 비수술, 그것도 비발치 치료가 가능한 것은 바로 미니스크류라고 하는 장치 때문인데요.
사진에 보이는 화살표 부위가 "미니스크류" 인데요.
이런 샘플 사진을 보여드리면 환자분들의 반응은 한결 같아요.
"끔찍해요. 아프지 않나요?, 언제까지 해야 하나요?, 잇몸에 구멍이 뚫리거나 해가 되지 않나요?"
치아가 없을 때 하는 "임플란트"의 아주 작은 미니 버전이라고 보시면 됩니다.
임플란트를 했다고 해당 부위가 계속 아프다거나 이물감이 느껴지진 않아요. 자기 치아처럼 자연스럽게 사용하신단 말이죠.
미니 임플란트는 훨씬 작은 거라서 당연히 무서워하실 필요가 없답니다.
이런 미니스크류가 있기 때문에 비수술, 비발치가 가능한 것이라고 설명 드리면 대부분 납득을 하세요.
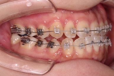
우선 교정장치를 부착했어요.
환자분이 선택하신 장치는 엠파워 클리어라고 하는 자가결찰 세라믹 장치입니다.
흔히들 알고 계신 "클리피씨" 장치와 같은 유형의 장치라고 보시면 됩니다.
제조사만 일본(클리피씨)이냐 미국(엠파워)이냐의 차이가 있는거죠.
아랫니를 본격적으로 당겨주기에 앞서 가지런하게 하는 단계부터 진행해요.
충분히 가지런하게 되었다면 이제 아랫니를 뒤로 계속 당겨줘요.
앞서 설명 드렸던 미니스크류를 이용해서 당겨주는거죠.
물론 맨 뒤에 차지하고 있는 사랑니는 뽑아야 한답니다.
교합이 맞아질 때까지 혹은 약간 더 아랫니를 뒤로 당겨줘요.
적절한 수준이 되면 디테일을 조절해주고 마무리를 하게 됩니다.
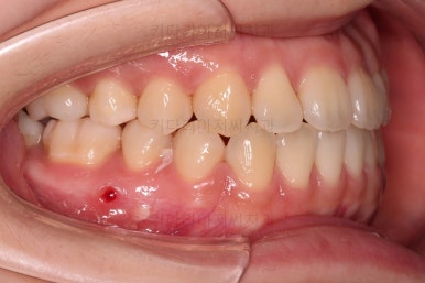
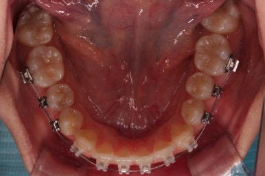
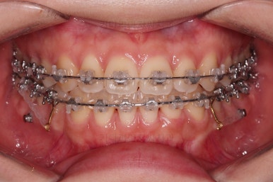
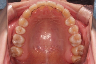
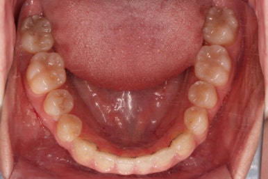
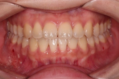
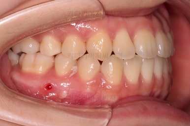
마무리 후의 입안 모습입니다.
반대교합은 완벽히 개선되었고 어금니의 맞물림도 위아래가 서로서로 지그재그로 맞물려 들어가는 관계가 맞춰졌어요.
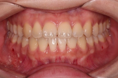
마무리 후의 웃는 모습입니다.
주걱턱 느낌도 많이 사라지고 미소도 훨씬 좋아졌어요.
전후 사진을 비교해 볼게요.
전후사진 입니다.
치열만 움직였는데도 주걱턱의 느낌이 많이 좋아졌지요.
아랫입술과 입술 아랫부분이 살짝 뒤로 들어간 점, 웃을 때 아랫니 위주가 아니라 윗니 위주로 보이게 되었다는 점 등에서 주걱턱의 느낌이 많이 개선되었어요.
앞니와 어금니 교합도 당연히 좋아졌고요.
치료기간도 총 14개월로 굉장히 짧은 기간 안에 교정이 마무리 되었답니다.
이상 미니스크류를 이용하여 비수술, 비발치로 주걱턱 및 반대교합을 개선한 부산치아교정추천 치료사례였습니다.
키다리아저씨치과에 오시는 길은 연제구 연산동 연산역 17번출구 바로 앞 건물 5, 6층입니다.
치과교정과 전문의(부산대 외래교수)와 통합치의학과 전문의(서울대학교 졸업) 2명이 상주하며 교정치료와 일반치과치료를 협진하여 진료합니다.
<위 사진은 환자분의 동의를 구한 후 공개하는 사진자료입니다. 사진은 과장이나 조작이 없는 원본사진입니다. 교정치료로 인한 부작용으로는 치근흡수, 충치, 치아변색, 실활 등이 있을 수 있으며, 치료 전후 사진은 의료법 제 23조, 제 56조에 의거하여 게재합니다. 개인의 상태에 따라 치료결과는 달라질 수 있으므로, 교정전문의와 상의를 요합니다.>



































































































댓글