부산치아교정잘하는곳 키다리아저씨치과의 청소년 매복치아 교정
- 키다리아저씨치과

- 2025년 2월 25일
- 3분 분량
안녕하세요.
오늘 부산치아교정잘하는곳 키다리아저씨치과에서 소개해 드릴 환자분은 중학교 1학년 학생으로 나오지 못하고 있는 치아가 있어서 교정치료를 한 사례입니다.
나이 : 13세
총 교정기간 : 1년 4개월(총 16개월)
교정장치 : 데이몬 클리어 + 악궁확장장치(RPE)
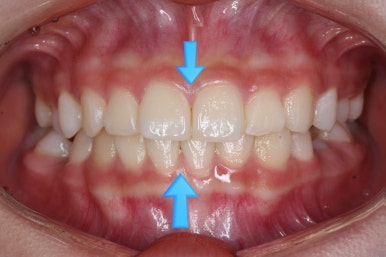
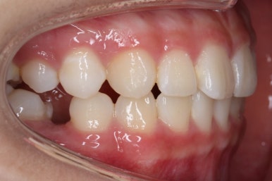
부산치아교정잘하는곳 키다리아저씨치과 처음 오셨을 때의 얼굴 모습입니다.
얼굴의 비율이라든지 돌출감 등등 전반적으로 모두 양호한 상태입니다.
다만, 웃을 때 모습만을 보면 위아래 치아의 중앙이 서로 어긋나 있는 것을 볼 수 있습니다.
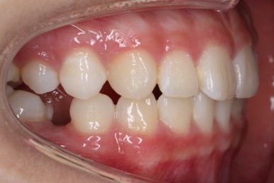
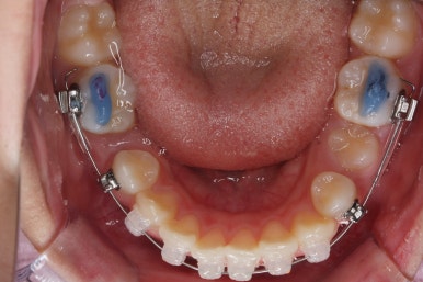
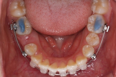
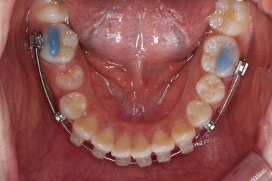
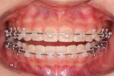
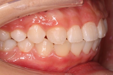
부산치아교정잘하는곳 처음 오셨을 때의 입안 모습입니다.
맨 우측 밑에 사진을 보시면 이가 하나 더 나와야 할 자리에(화살표) 앞뒤로 치아가 쓰러지면서 자리를 거의 없애버렸습니다.
따라서 이가 나올래야 나올 수가 없는 상태였습니다.
왼쪽 맨 위 사진을 보시면 아래 치열의 중앙이 한 쪽으로 쏠린 것을 알 수 있는데요. 역시 치아가 나올 자리가 없어지면서 치열이 쏠러버렸다는 것을 알 수 있습니다.

부산치아교정잘하는곳 키다리아저씨치과에 처음 오셨을 때의 X-ray 입니다.
해당 부위에 치아가 아래로 꺼져있고(가로 막혀서 나오지 못하고 있고) 주위 치아들이 기울어져 있는 것을 볼 수 있습니다.
원인 : 청소년기에 대부분의 공간문제는 "유치가 조기에 빠진 경우"
따라서 유치가 조기에 빠졌을 경우, 공간유지장치 등 다양한 조치를 취해주시는게 장기적으로 일을 줄이는 역할을 하게 됩니다.
이번 환자분의 경우, 가로막혀 있는 부위들, 즉 쓰러진 치아들만 원위치 시켜주면 치아는 잘 올라올 것이라고 판단되었고 교정장치를 붙여서 정렬하기 시작했습니다.
부산치아교정잘하는곳 키다리아저씨치과에서는 첫 분석에 매우 신경을 많이 쓰는데요.
그 중 하나가 3차원 CT영상에서 이 뿌리들의 정확한 위치를 파악하고 전반적인 턱뼈의 크기 조화를 체크합니다. 필요하면 위턱뼈를 가로로 넓혀주는 악궁확장이 필요하기도 합니다.
이번 환자분은 위턱뼈가 좁은편이었고, 위턱뼈가 좁으면 콧속도 좁아서 코로 호흡하는데 문제가 있었으며 연쇄적으로 혀의 위치도 좋지 못하여 턱뼈의 성장에도 부정적인 영향을 주는 경우가 많습니다.
따라서 교정치료에 앞서 위턱은 가로로 넓혀주는 악궁확장장치(RPE)를 시행하기로 했습니다.
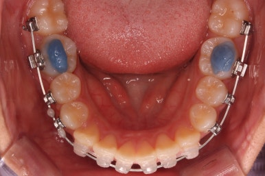
아래쪽이 더 시급하므로 브라켓 부착을 하여 가지런히 하기 시작했고 위쪽은 악궁확장장치를 입천장에 하여 위턱뼈를 가로로 넓혀주기 시작합니다.
악궁확장장치는 총 4-6개월 정도 부착하고 있으며 그 이후에는 입안에서 제거하게 됩니다.
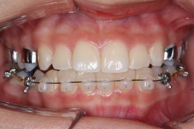
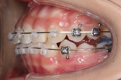
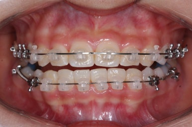
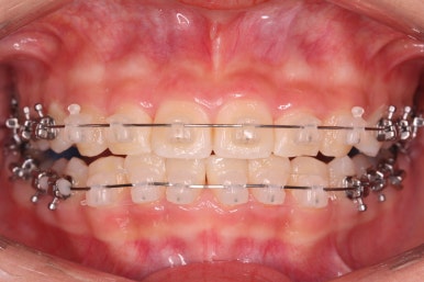
윗니에도 이제 장치를 모두 붙였습니다. 아래쪽은 어느 정도 가지런해지고 나면 부족한 자리를 만들어주기 시작합니다.
부산치아교정잘하는곳 키다리아저씨치과에서 이번 환자분에 사용한 장치는 데이몬 클리어라고 하는 세라믹 자가결찰 장치입니다. 세라믹 자가결찰 장치 중에서 철사를 잡아주는 CAP 부위까지 세라믹으로 되어있어 가장 심미적인 장치라고 볼 수 있습니다.
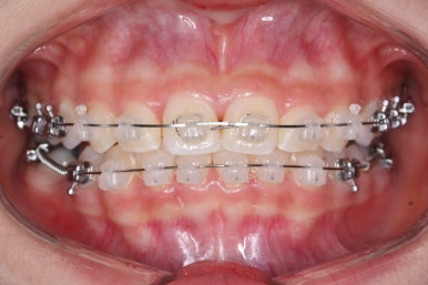
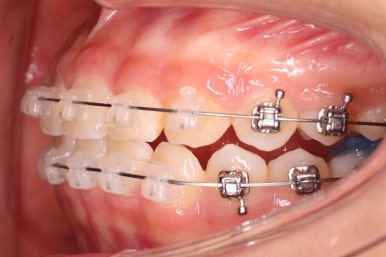
장치 부착 후 얼굴 모습 보여드리겠습니다.
특히 웃을 때 철사 이외에는 장치가 크게 눈에 띄지 않아서 심미성을 원하시는 분들이 많이 선택을 하는 장치입니다.
다만, 약간 부피감이 있다보니 장치 부착 후 약간 입술 돌출감이 느껴지기도 하는데요. 장치 부착 전후로 옆모습을 비교해보겠습니다.
장치의 부피감으로 인해 약간의 돌출되는 느낌은 느껴지지만 그에 비해 압도적으로 치아색에 가까운 장점도 있어 장단점을 비교해보시고 장치를 선택하시면 되겠습니다.
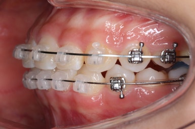
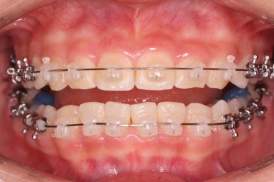
예상한대로 자리만 충분히 마련해주니 그동안 나오지 못하고 막혀있던 치아가 슬그머니 고개를 내밀고 있습니다.
좀 더 기다렸다가 좀 더 올라오면 장치를 부착해서 정리해주기만 하면 되겠습니다.
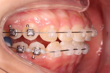
부산치아교정잘하는곳 키다리아저씨치과에서는 치아가 올라오자마자 장치를 부착하여 가지런하게 해줍니다. 이제 어느 정도 큰 그림은 그려졌다고 보시면 되겠습니다.
어느 정도 큰 그림이 그려졌으면 중앙선이라든지 치아의 디테일한 면을 더 수정하고 마무리하게 되겠습니다.
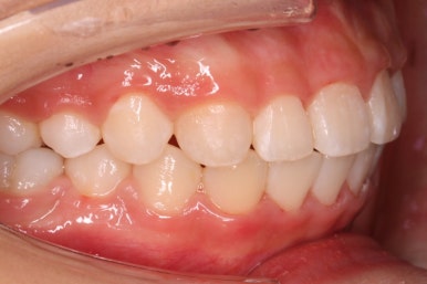
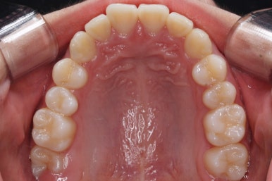
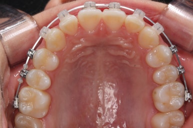
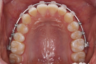
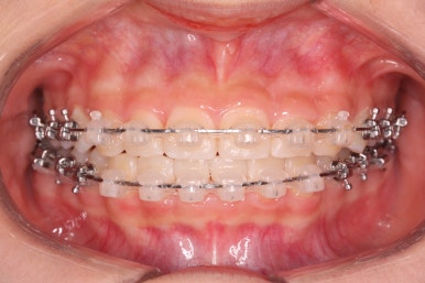
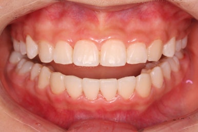
치료 종료 후의 모습입니다.
치아들이 가지런하게 되었고, 나오지 못하던 치아도 잘 나와서 가지런해졌습니다.
해당 부위 앞뒤로 쓰러져 있던 치아들도 축이 바로 잡혔고, 자연스레 위-아래 치아의 중앙선도 맞아졌습니다.
부산치아교정잘하는곳 키다리아저씨치과에서 이번 청소년 환자분께 치료하느라 소요된 기간은 총 16개월이였습니다.
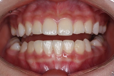
치료 종료 후의 모습입니다.
얼굴 모습의 큰 변화 없이 양호한 모습 그대로 마무리가 되었고, 웃을 대 위아래 치아의 중앙이 안맞았던 부분도 개선되었습니다.
치아가 잘 올라온 것을 볼 수 있습니다.
이제 전후 비교입니다.
16개월만에 굉장히 좋아진 모습입니다.
처음에는 얼굴모습의 비율, 돌출감 등 매우 양호했기 때문에 그 모습 그대로 유지하면서 원하는 목표를 달성할 수 있었습니다.
이상 부산치아교정잘하는곳 키다리아저씨치과에서 비발치 악궁확장장치를 이용해 매복치아를 교정한 사례였습니다.
키다리아저씨치과에 오시는 길은 연산역 17번출구 바로 앞 건물 5, 6층입니다.
치과교정과 전문의(부산대 외래교수)와 치과보철과/통합치의학과 전문의(부산대 외래교수) 2명이 상주하며 교정치료와 일반치과치료를 협진하여 진료합니다.
<위 사진은 환자분의 동의를 구한 후 공개하는 사진자료입니다. 사진은 과장이나 조작이 없는 원본사진입니다. 교정치료로 인한 부작용으로는 치근흡수, 충치, 치아변색, 실활 등이 있을 수 있으며, 치료 전후 사진은 의료법 제 23조, 제 56조에 의거하여 게재합니다. 개인의 상태에 따라 치료결과는 달라질 수 있으므로, 교정전문의와 상의를 요합니다.>





































































































































































댓글