부산치아교정잘하는곳 키다리아저씨치과의 덧니 발치 교정치료(ft. 바른이 봉사회)
- 키다리아저씨치과

- 2025년 4월 29일
- 3분 분량
안녕하세요.
오늘 부산치아교정잘하는곳 키다리아저씨치과에서 소개해 드릴 분은 덧니가 보기 싫고 어금니의 교합이 맞지 않아 교정치료를 원하셨던 분입니다.
나이 : 16세
총 치료기간 : 1년 1개월(총 13개월)
사용한 장치 : 자가결찰 세라믹(엠파워 클리어) + 미니스크류(마이크로 임플란트)
이번 환자분은 키다리아저씨치과와의 특별한 인연으로 교정치료를 시작하셨어요.
키다리아저씨치과에서는 매년 한 분씩을 선정해서 무료 교정치료 봉사활동을 하고 있는데(삼성꿈장학회 - 바른이 봉사회 연계) 처음 저랑 봉사활동으로 인연이 되었던 학생이에요.
매우 밝고 착실하고 똑똑하고 국제 정치쪽으로 관심이 많아 장차 세계의 넓은 무대에서 활약할 것 같은 학생이었어요.
올 때마다 교정치료 외에도 다양한 주제로 대화를 나눴던 기억이 납니다.
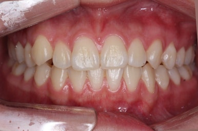
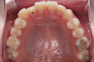
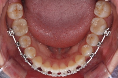
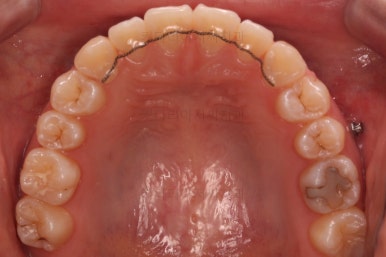
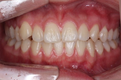
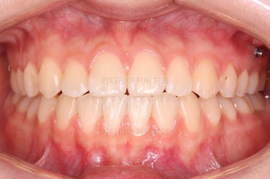
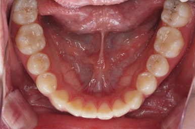
각설하고 위의 사진들은 부산치아교정잘하는곳 키다리아저씨치과에서 처음 내원하셨을 때의 사진입니다.
입매는 크게 나쁘진 않았으나 아랫입술-턱끝까지 이어지는 S라인이 너무 깊어 아랫입술이 약간 뒤집어진 형태를 보였어요.
그리고 오른쪽 위 송곳니가 덧니처럼 볼록하여 웃거나 말할 때 자신감 있게 입을 벌리지 못하고 있었어요.
아랫니는 크게 심하지 않았고 윗니 앞니쪽에 치열이 삐뚤한 것을 볼 수 있어요.
이런 경우 간혹 부분교정을 생각하고 오시는 분들도 계신데 부산치아교정잘하는곳 키다리아저씨치과의 대답은 "안됩니다!!"
실제로 저도 부분교정을 선호하긴 하지만 이번 학생의 경우는 부분교정에서 기준이 되고 축이 되어줘야 하는 송곳니의 위치가 좋지 않기 때문에 다른 치아도 안좋은 방향으로 더 틀어질 수 있기 때문이죠.
오히려 이런 경우는 부분교정을 하게 되면 치료가 산으로 가버리게 됩니다. 돌아가는 것 같더라도 전체교정이 맞는 방법이에요.
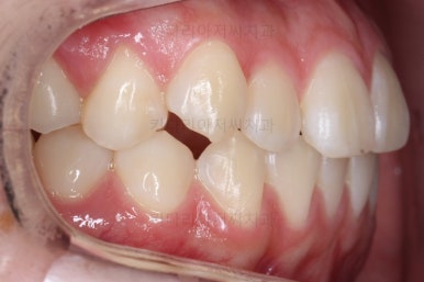
그리고 위아랫니의 중앙선도 어긋나 있는 것으로 봐서 왼쪽과 오른쪽의 교합 자체도 다르고 문제가 있음을 알 수 있었어요.
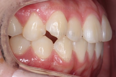
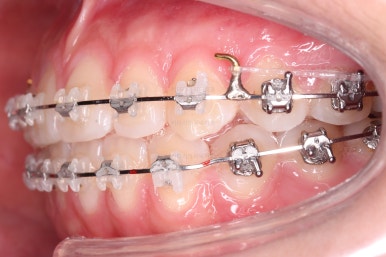
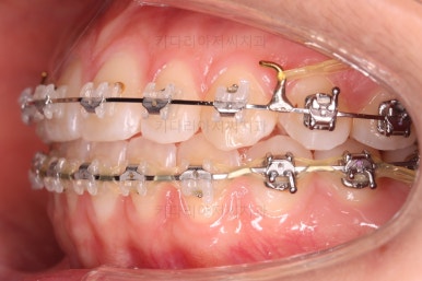
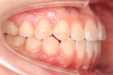
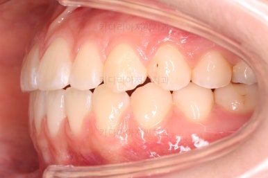
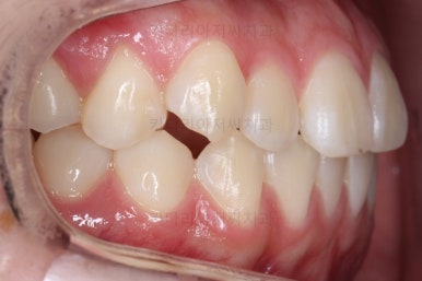
각각 왼쪽, 오른쪽의 교합의 모습입니다.
가장 좋은 교합은 위아래 치아들이 지그재그로 톱니바퀴 물리듯이 맞아들어가야 하는데 오른쪽 사진들 보면 중간중간 빈틈도 많이 보여요.
이런 교합은 장기적으로 치아 수명을 단축시킬 수 있습니다.
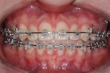
장치를 부착한 직후츼 사진입니다.
장치를 따라 걸려있는 철사의 형태를 보면 생각보다 많이 틀어져 있었구나 하고 느껴지게 되실거에요.
이번에 부착한 장치는 엠파워 클리어라고 하는 자가결찰 세라믹장치 입니다.(아마 이 장치 나올 때마다 설명드리는 것 같은데) 매우 유명한 클리피씨라고 하는 장치와 같은 컨셉의 장치입니다.
단지 제조 회사가 다를 뿐이죠.
(엠파워는 미국장치, 클리피씨는 일본장치)
술자의 선호도에 따라 장치가 선택되는데 클리피씨 보다는 부산치아교정잘하는곳인 키다리아저씨치과에서는 엠파워를 약간은 더 선호하고 있습니다.
왼쪽은 장치 부착 전, 오른쪽은 부착 후 모습입니다.
뭐가 전후인지 모를 정도로 장치를 부착한 이 후에도 입이 거의 튀어나오지 않는 타입의 환자분이었어요. 어떤 분은 같은 장치를 부착해도 입이 굉장히 많이 튀어나오는 경우가 있고 사람마다 차이가 굉장히 큽니다.
장치를 부착했을 때의 웃는 모습의 느낌입니다.
세라믹 장치이다 보니(물론 교정하는 건 누가봐도 표기는 나요) 멀리서 보면 상당히 심미적이랍니다.
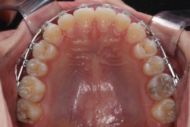
부산치아교정잘하는곳 키다리아저씨치과에서 치료를 시작한지 3개월째의 모습입니다.
솔직히 이정도만 해도 만족하시고 치료를 종료해달라는 분도 있긴 있어요.
하지만 교정치료를 시작한 이유가 앞니 가지런하게 하는 것도 있지만 왼쪽, 오른쪽 교합을 맞추는 것에도 있기 때문에 지금부터는 맞지 않는 교합에 초점을 두었어요.
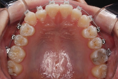
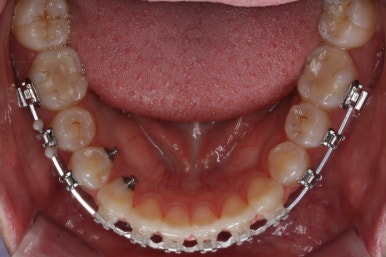
추가로 사용한 장치는 바로 미니스크류(마이크로 임플란트) 장치입니다. 화살표를 보시면 잇몸뼈에다가 매우 작은 크기의 스크류를 식립해서 전체 치열을 밀고 당기고 해주는 거에요.
보시다시피 왼쪽 치열들의 교합이 뭔가 틈새가 많고 정확하지 않기 때문에 해당 부분에 미니스크류를 해서 교합을 맞춰주기로 했답니다.
아직 위아래 중앙선도 어긋나 있고, 교합도 아직은 미흡하네요.
계속 당겨주고 비대칭을 맞춰주고 하게 됩니다.
미니스크류를 이용해서 전체 치열을 움직인지 6개월 정도 지난 시점입니다.
교합도 많이 좋아졌고 자연스럽게 중앙선도 맞아졌어요.
미묘한 치열의 사이즈 문제라든지 턱뼈의 비대칭 때문에 맞지 않는 중앙선은 그대로 놔두기도 하지만 왠만하면 잘 맞도록 하는게 좋겠죠?
이제는 디테일한 마무리만 좀 더 하고 치료를 종료하기로 했습니다.
교합도 안정되는 것을 확인했고, 치열도 만족할 수준으로 디테일한 정리를 해줬어요.
왼쪽이 치료 초기의 교합 모습, 오른쪽이 치료 마무리 시점의 교합입니다.
빈틈이 많았던 교합이 많이 개선된 것이 보이시죠?
이러한 이유 때문에 전체교정이 필요했답니다.
약간의 정리 후, 마무리를 하였습니다.
총 치료기간은 13개월이 걸렸네요.
부산치아교정잘하는곳 키다리아저씨치과에서 치료한 이번 환자분의 전후 비교입니다.
왼쪽이 치료 전, 오른쪽이 치료 후 모습입니다.
덧니가 가지런해졌고 교합이 좋아졌으며 중앙선도 잘 맞아졌어요.
마찬가지로 치료 전후의 얼굴모습 비교입니다.
웃는 모습이 굉장히 환해졌어요.
옆모습에서 아랫입술 아래족에 푹 들어갔던 S라인도 좀 더 완만하게 펼쳐졌어요. 훨씬 예뻐졌네요.
이상 부산치아교정잘하는곳 봉사활동을 통해 인연이 맺어졌던 덧니교정치료 사례였습니다.
키다리아저씨치과에 오시는 길은 연제구 연산동 연산역 17번출구 바로 앞 건물 5, 6층입니다.
치과교정과 전문의(부산대 외래교수)와 치과보철과/통합치의학과 전문의(부산대 외래교수) 2명이 상주하며 교정치료와 일반치과치료를 협진하여 진료합니다.
<위 사진은 환자분의 동의를 구한 후 공개하는 사진자료입니다. 사진은 과장이나 조작이 없는 원본사진입니다. 교정치료로 인한 부작용으로는 치근흡수, 충치, 치아변색, 실활 등이 있을 수 있으며, 치료 전후 사진은 의료법 제 23조, 제 56조에 의거하여 게재합니다. 개인의 상태에 따라 치료결과는 달라질 수 있으므로, 교정전문의와 상의를 요합니다.>







































































































































댓글