부산치아교정비용 키다리아저씨치과에서 시행한 임플란트, 부분교정 치료사례
- 키다리아저씨치과

- 2일 전
- 3분 분량
"미니스크류를 이용한 투명교정장치에 관한 논문"으로 2023년도 Angle orthodontist(미국의 교정학회지) SCI 저널에 제 1저자로 게재되었습니다.
"2023년 대한치과 교정학회에서 표창장을 수여하였습니다."
"2023년 세계 구순구개열 학회에서 포스터 발표를 하였습니다."
항상 공부하고 노력하는 키다리아저씨치과가 되겠습니다.
안녕하세요.
오늘 부산치아교정비용 키다리아저씨치과에서 소개해 드릴 환자분은 어금니가 없어서 임플란트를 앞두고 해당 부분 임플란트를 위한 교정을 진행했던 분이며, 더불어 아래 앞니쪽이 삐뚤어 부분교정을 하셨던 분입니다.
나이 : 34세
총 치료기간 : 부분교정 7개월 + 임플란트 1년
사용한 장치 : MTA 부분교정장치 + 미니스크류
1. 초진
초진 시 얼굴 모습입니다.
옆라인이라던지 입을 다물었을 때의 모습은 매우 예쁘시고요.
웃을 때 앞니가 약간 삐뚤어 있지만 굳이 교정해야 될 정도는 아니며 본인도 나쁘게 생각하지 않으셨습니다.
즉, 얼굴모습만 봐서는 교정할 이유가 전혀 없으신 분인데요.
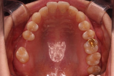
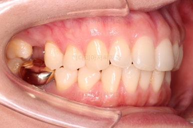
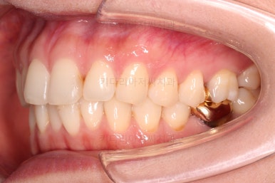
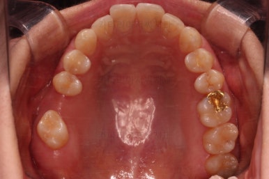
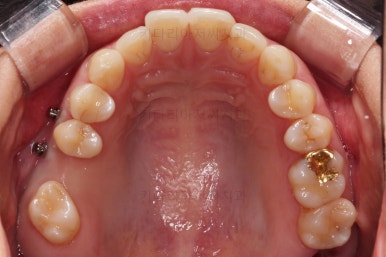
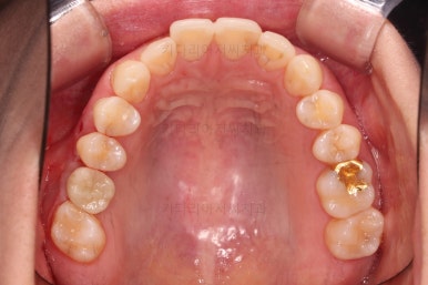
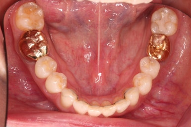
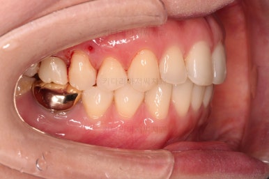
마찬가지로 부산치아교정비용 초진 시 입안의 모습입니다.
아랫니가 많이 보이지 않는 타입이라서 잘 몰랐는데 입안을 관찰해 보니 아래 앞니가 삐뚤어 있네요.
이 부분도 꼭 교정해야 될 정도는 아니여서 선택의 문제라고 할 수 있는데요.
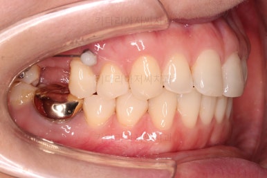
어금니가 문제였습니다.
윗니 어금니가 하나 없는 상태였고요.
어금니가 없이 지낸지 꽤 시간이 흐른터라 뒤쪽 어금니가 앞으로 쓰러져 공간을 잠식하고 있었습니다.
물론 현재 모습대로 임플란트를 할려면 할 수 있지만 장기적으로 쓰러진 치아를 계속 사용하는게 치아수명에 바람직 하지 않죠.
임플란트도 원래 들어가야 할 어금니의 크기보다 많이 장가서 기능적으로 좋지 못하고요.
2. 치료계획

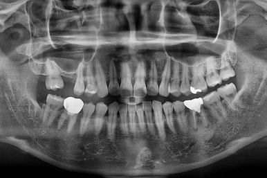
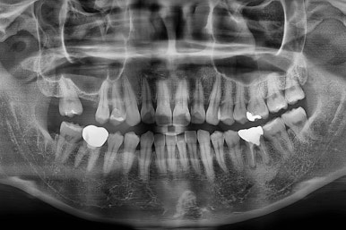
X-ray로 봤을 때 빈 공간에는 여러 가지 문제가 있었는데요.
뒷니가 쓰러졌다.
공간이 잠식 당했다.
어금니 위쪽 공기주머니가 잇몸뼈를 갉아먹으면서 잇몸뼈가 매우 얇아져있다.
치아가 빠지게 되면 보통 즉시 임플란트를 하시기를 권유드리는데 만약 문제를 방치한다면 다음과 같은 문제가 생깁니다.
해당 공간의 잇몸뼈가 내려 앉거나 윗니 어금니의 경우 공기주머니가 잇몸뼈를 갉아먹습니다.
1번의 이유로 뼈 이식 양이 많아집니다.
앞뒤 치아가 해당 공간으로 쓰러집니다.
쓰러진다는 것은 해당 부분의 공간이 줄어든다는 뜻으로 임플란트를 본래 크기로 못하거나 아예 불가능한 경우도 생깁니다.
앞뒤 치아가 쓰러지면 쓰러진 치아는 마치 기울어진 못에 망치질을 하는 효과가 발생해서 장기적으로는 수명이 짧아집니다.
간혹 맞물리는 치아(윗니가 없으면 해당 위치의 아래치아)가 솟구쳐 올라 솟구쳐 오른만큼 깎아야 되거나 교정치료가 필요할 수 있습니다.
그래서 이가 없어지면 빨리 해결하는게 문제를 키우지 않는 방법입니다.
이번 환자분의 부산치아교정비용 치료계획은 크게 두 가지였는데요.
임플란트를 위한 어금니 부분교정 + 삐뚤어진 아래 앞니 부분교정
거의 대부분의 상황에서 어금니 부분교정은 미니스크류가 사용되는 경우가 많습니다.
3. 교정치료 비용, 가격
Q. 교정 비용은 얼마인가요?
간혹 이렇게 문의 주시는 경우가 많은데요.
참 난감합니다.
어떤 케이스인지, 전체 or 부분교정인지, 어떤 장치를 원하시는지 정보가 아무 것도 없어서 정확한 답변을 드리기가 어려운 경우가 많습니다.
예를들어 미용실에 가더라도 커트인지, 펌인지, 염색인지, 심지어 커트도 앞머리만 자르는지, 전체 다 자르는지, 펌이냐 염색도 아주 다양한 시술이 있고, 클리닉이 들어가는지 등등 매우 다양한 조합이 나올 수 있다는 점을 감안해 주시면 좋겠습니다.
가장 좋은 것은 직접 부산치아교정비용을 알아보시기 위해 내원해주시어 간단하게라도 보고 상담을 나누는게 가장 좋고 그게 아니라면 최대한 구체적으로 질문 주시는 편이 그나마 실제와 오차를 줄이는 방법입니다.
일반적인 전체 교정의 경우 400~500에서 700~800만원까지 매우 다양한데요.
이는 난이도, 교정장치 등에 따라 달라집니다.
부분교정의 경우 위만 하느냐/아래만 하느냐/둘 다 하느냐, 혹은 어떤 장치를 쓰느냐에 따라 100만원 후반에서 300~400만원까지도 비용이 나올 수 있습니다.
이번 환자분은 어금니 부분교정 + 아래 앞니 부분교정 + 추후에 임플란트까지 진행하신 경우였습니다.
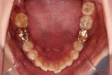
4. 치료경과
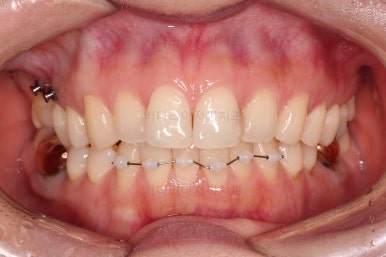
이번 환자분이 선택한 앞니 부분교정 장치는 MTA라는 장치인데요.
부분교정에 좀 더 특화된 부피가 작고 심미적인 장치입니다.
물론 철사는 들어가고요.
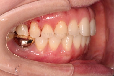
어금니쪽은 쓰러진 어금니를 원위치 시키기 위해서 미니스크류를 식립하여 준비작업을 해줍니다.
장치 부착 직후의 얼굴모습인데요.
원래도 아랫니가 많이 보이지 않는 타입이셨는데 슬쩍 보이는 교정장치도 거의 눈에 뜨지 않는 모습입니다.
옆모습은 거의 차이 없다시피 하고요.
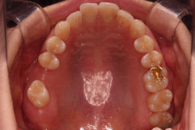
어금니 위치 조절을 계속 해주고요.
아래 앞니는 부분교정에 필수인 치간삭제를 병행하면서 많이 가지런해지고 있습니다.

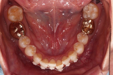
진행상황을 X-ray로도 확인해 줍니다.
아랫니 부분교정이 끝났고요.
어금니도 원위치로 많이 갔네요.

아랫니 부분교정과 어금니 부분교정은 비교적 조기에 끝났으나(7개월) 임플란트가 생각보다 오래 걸렸습니다.
적절한 공간 확보 이후 해당 부분의 뼈가 너무 얇아 임플란트를 하기에 부적절했던거죠.
상악동 거상술 + 골이식을 광범위하게 꽤 많은 양을 하고, 한참을 기다립니다.
이후에 적절한 시기에 임플란트 식립을 하고 보철을 하고 마무리를 합니다.
5. 마무리
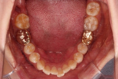
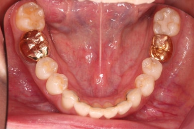
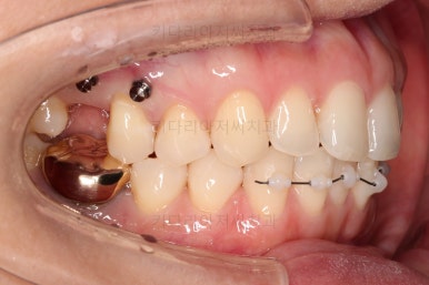
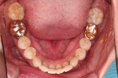
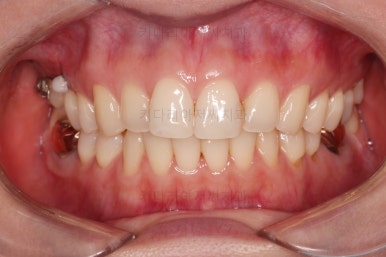
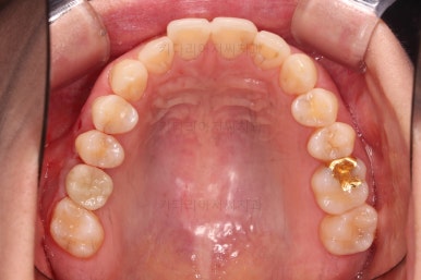
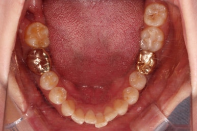
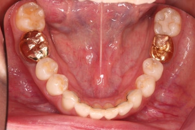
치료 종료시의 모습인데요.
임플란트가 잘 들어갔고 아래 앞니도 원하는 모습으로 잘 배열이 되었습니다.
부산치아교정비용 전후 비교해 볼게요.
치료기간은 임플란트의 안정성 때문에 길어지긴 했으나 사실상 내원횟수는 그리 많지 않으셨고, 교정장치가 눈에 보이는 기간은 7개월정도 밖에 안되었기 때문에 크게 문제되지는 않았던 것 같습니다.
여러 가지가 다 잘 마무리 되었습니다.
이상 아래 앞니 부분교정 및 임플란트를 위한 어금니 부분교정 이후 임플란트까지 완성한 치료사례였고 부산치아교정비용과 가격도 대략 알아보는 시간이었습니다.
부산 연산동 교정치과 키다리아저씨치과에 오시는 길은 연제구 연산동 연산역 17번출구 바로 앞 건물 6층입니다.
치과교정과 전문의(부산대 외래교수)가 상주하며 교정치료 합니다.
<위 사진은 환자분의 동의를 구한 후 공개하는 사진자료입니다. 사진은 과장이나 조작이 없는 원본사진입니다. 교정치료로 인한 부작용으로는 치근흡수, 충치, 치아변색, 실활 등이 있을 수 있으며, 치료 전후 사진은 의료법 제 23조, 제 56조에 의거하여 게재합니다. 개인의 상태에 따라 치료결과는 달라질 수 있으므로, 교정전문의와 상의를 요합니다.>

































































































댓글