부산치과교정 키다리아저씨치과의 중심선 및 덧니 개선 치료사례
- 키다리아저씨치과

- 1월 19일
- 3분 분량

"미니스크류를 이용한 투명교정장치에 관한 논문"으로 2023년도 Angle orthodontist(미국의 교정학회지) SCI 저널에 제 1저자로 게재되었습니다.
항상 공부하고 노력하는 키다리아저씨치과가 되겠습니다.
안녕하세요.
오늘 부산치과교정 키다리아저씨치과에서 소개해 드릴 환자분은 한 쪽만 덧니가 있었고, 그쪽으로 정중선(중앙선, 중심선)이 비대칭으로 치우쳐 있었던 환자분의 치료사례입니다.
나이 : 26세
총 치료기간 : 1년 9개월(총 21개월)
사용한 장치 : 자가결찰 메탈(엠파워 메탈, Empower metal) + 미니스크류
초진 시 얼굴 모습입니다.
입을 다물었을 때의 편안한 느김이나 옆 라인은 상당히 좋죠.
대신에 입을 벌렸을 때의 심미성이 떨어지는데요.
그 이유는 첫 번째 덧니 때문이고요.
두 번째는 덧니가 한 쪽에만 있어서 생기는 중앙선(정중선, 중심선)의 비대칭적인 위치 때문입니다.

중앙선, 정중선, 중심선은 어디로 맞추는게 좋냐?
인중에서 윗입술이 꺾인 곳과 윗니의 중앙이 비슷하면 좋고요.
당연히 윗니와 아랫니의 중앙이 비슷하면 좋습니다.
그런데 모든 사람을 이렇게 맞출 수 있느냐? 라고 물으신다면 No 입니다.
골격의 비대칭, 좌우의 치아 사이즈 및 위아래 치아크기 비율 등 모든 조건이 100% 맞아 떨어지면 중심선이 딱 맞아질 수 있는데요.
그렇지 못한 경우가 대부분이며, 우선은 어금니 교합을 맞추고 자연스러운 정상범주로 중앙선을 설정하게 됩니다.
그래서 정중선이라는 것은 딱 일치가 아니라 +-2~3mm정도는 정상이라고 보는거죠.
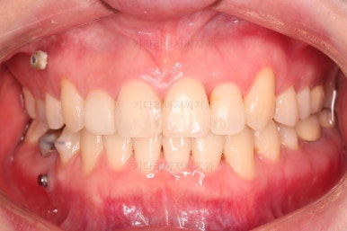
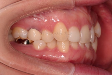
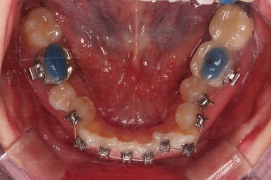
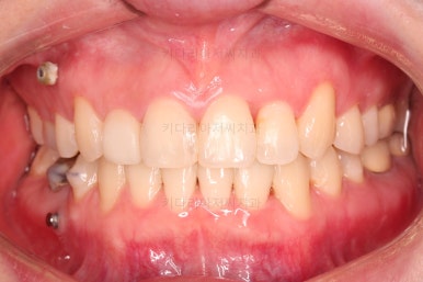
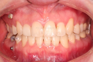
부산치과교정 키다리아저씨치과 초진 시 입안의 모습입니다.
확연히 좌우의 삐뚤어진 정도가 차이나죠.
덧니도 좌측(사진에서 보면 오른쪽) 위아래만 있는 상태고요.
좌측으로 삐뚤어져서 앞니도 좌측으로 쏠려 있는 상태였습니다.
발치교정, 그런데 2개
일반적으로 발치를 4개 해줍니다.
삐뚤어진 양, 뒤로 밀어야 되는 양, 돌출의 정도 등 모든 것을 종합적으로 판단해 줘야 되는데요.
보통은 위아래좌우 1개씩 총 4개를 뽑아야 교합이나 균형에 해가 되지 않는데요.
이번 환자분은 이미 균형이 틀어져 있는 상태였기 때문에 반대쪽으로 균형을 맞춰주기 위해서 반대쪽만 위아래로 발치를 하게 되었습니다.
더군다나 입매도 양호했기 때문에 가급적이면 최소한으로 발치를 해서 입이 들어가지 않도록 해줘야 했죠.
그러면 발치 안하고는 개선할 방법이 없었을까?
중앙선이 틀어진 반대방향으로 쭈욱 뒤로 밀거나 치아 사이를 다듬어야 하는데, 개선해야 될 양을 만들어내기가 힘들었고 오히려 기간적으로도 더 많이 걸리는 상황이었으며, 결과물도 100% 만족하기 힘들어서 발치교정으로 진행하게 되었습니다.
이번 환자분이 선택하신 장치는 엠파워 메탈이라는 자가결찰 금속장치인데요.
메탈장치라고 모두 구세대의 장치가 아니라 "자가결찰"인지 유무가 더 중요합니다.
즉, "자가결찰" 메탈이 "비 자가결찰" 세라믹보다 훨씬 우수한 장치입니다.
이렇게 젊은 여성분들도 메탕 장치를 많이 선택하시고요.
세람기이든 뭐든 교정하는게 뻔히 보이기 때문에 메탈을 부착한다고 해서 굳이 미적으로 더 마이너스이냐? 꼭 그런건 아닌 것 같습니다.
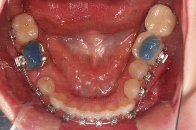
발치는 주로 장치 셋팅이 된 이후에 하게 되고요.
발치 공간이 줄어드는만큼 덧니가 가지런하게 될 공간이 생긴다고 보면 됩니다.
교정은 공간, 자리싸움 입니다.
치아가 가지런해지면서 이 뽑은 자리는 급속도로 줄어듭니다.
많이 삐뚤었던 앞니도 점점 좋아지는게 보이죠.
발치공간이 모두 닫히기 전에 얼굴모습에 대한 중간평가를 합니다.
입매가 너무 들어가거나 덜 들어가고 있진 않은지, 개선하고자 했던 중앙선은 마음에 드는지, 혹은 새롭게 고치고 싶은 무언가가 생겼다거나 등등
전반적으로 부산치과교정을 만족스럽게 진행 중입니다.
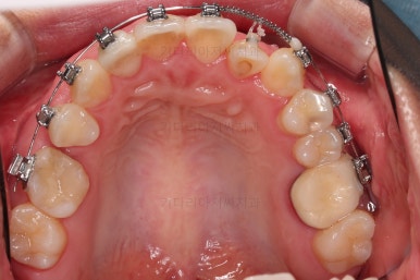
중간평가 이후 남아있는 공간은 일부 어금니를 앞으로 당겨오면서 개선하기로 했습니다.
미니스크류를 이용해 주었고요.
그래야 중심선이나 입매에 더 도움이 되기 때문이죠.
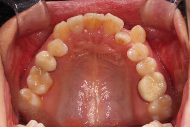
적절하게 디테일을 손보고 마무리를 합니다.
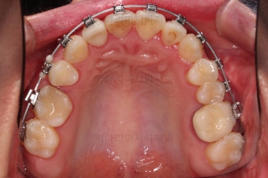
중간중간 보철된 치아도 있고, 위아래의 중앙선까지 100% 맞기는 힘든 상황이었지만 가급적이면 매우 잘 맞춰 드렸고요.
교합이라던지 가지런한 느낌도 좋네요.
우측만 위아래 뽑았지만 기능에는 문제 없이 교합을 마무리 했습니다.
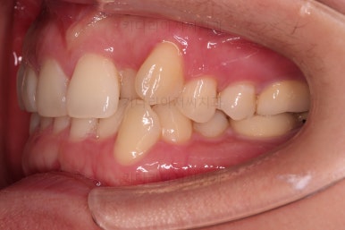
부산치과교정 전후사진을 비교해 볼게요.
발치교정이라고 입매가 들어간 것도 아니고 오히려 더 예뻐졌죠?
중심선도 원하시는만큼 갖추었고, 가지런한 느낌도 좋고요.
21개월만에 전반적으로 매우 만족할만한 치료 결과를 얻었습니다.
이상 미니스크류와 비대칭적 발치를 통해 중심선(정중선, 중앙선)의 비대칭과 덧니를 개선한 부산치과교정 치료사례였습니다.
부산 연산동 교정치과 키다리아저씨치과에 오시는 길은 연제구 연산동 연산역 17번출구 바로 앞 건물 6층입니다.
치과교정과 전문의(부산대 외래교수)가 상주하며 교정치료 합니다.
<위 사진은 환자분의 동의를 구한 후 공개하는 사진자료입니다. 사진은 과장이나 조작이 없는 원본사진입니다. 교정치료로 인한 부작용으로는 치근흡수, 충치, 치아변색, 실활 등이 있을 수 있으며, 치료 전후 사진은 의료법 제 23조, 제 56조에 의거하여 게재합니다. 개인의 상태에 따라 치료결과는 달라질 수 있으므로, 교정전문의와 상의를 요합니다.>






























































































































댓글