부산치과교정 키다리아저씨치과의 과개교합 및 벌어진 치아교정 치료사례
- 키다리아저씨치과

- 2025년 12월 15일
- 3분 분량

"미니스크류를 이용한 투명교정장치에 관한 논문"으로 2023년도 Angle orthodontist(미국의 교정학회지) SCI 저널에 제 1저자로 게재되었습니다.
항상 공부하고 노력하는 키다리아저씨치과가 되겠습니다.
안녕하세요.
오늘 부산치과교정 키다리아저씨치과에서 소개해 드릴 환자분은 아래턱이 작고 과개교합이며 치아 사이가 벌어져 교정하고 싶어 하셨던 분입니다.
나이 : 21세
총 치료기간 : 1년 4개월(총 16개월)
사용한 장치 : 자가결찰 세라믹(엠파워 클리어, Empower clear) + 미니스크류
부산치과교정 초진 시 얼굴모습 입니다.
아래턱이 작아 약간의 무턱느낌, 그래서 오는 돌출감 정도를 제외하고는 특별히 교정을 할 만한 이유가 없네요.
얼굴 모습도 입을 다물기 많이 힘든 느낌도 아니라서 굳이 개선 안해도 되는 정도였고요.
대신 웃을 때 모습을 유심히 보시면 치아 사이사이에 틈새가 있는 것을 볼 수 있어요.
이 점이 환자분이 고치고자 하셨던 부분이고요.
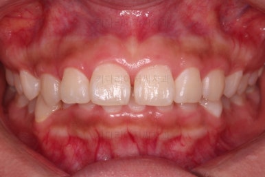
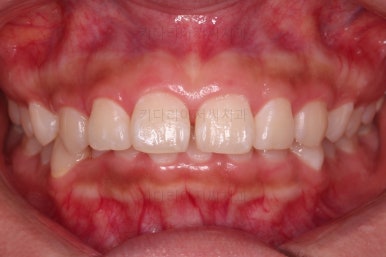
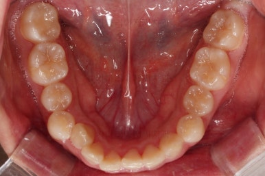
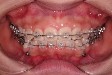
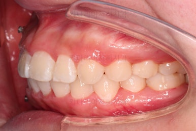
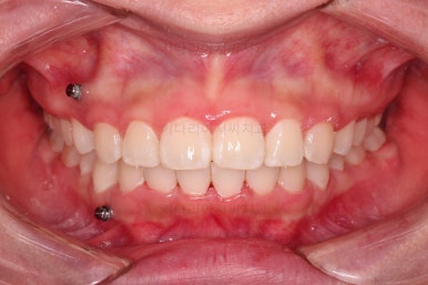
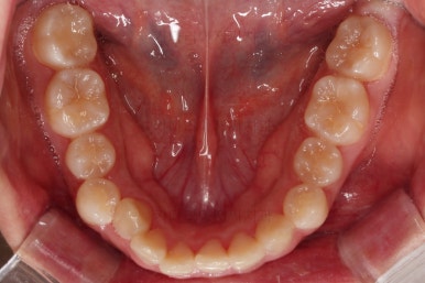
마찬가지로 부산치과교정 초진 시 입안의 모습입니다.
이제 문제점들이 많이 보이네요.
문제는 아래턱이 작아서 시작되었는데요.
아래턱이 작다. -> 위아래 앞니가 앞뒤로 멀다. -> 앞니가 만나지 않아야 하는데(치아는 서로 맞닿으려는 특성이 있으므로) 아랫니가 솟구쳐 오른다. -> 과개교합 -> 씹는 힘이 작용하여 아랫니가 솟구쳐 오르다 못해 윗니를 강하게 쳐서 윗니 사이가 벌어지게 된다.
치열의 변형은 뭔가의 원인과 뭔가의 스토리가 있기 마련인데요.
이 분은 아래턱이 작은 부정교합 + 씹는 힘 두 가지가 복합적으로 작용하면서 과개교합을 만들고 과개교합이 악화되면서 치아 사이 틈새도 만든 경우였어요.
과개교합의 개선
과개교합을 개선하려면 어떻게 하면 될까요? 위아래 앞니를 덜 겹치게 멀어지게 만들어야 하는데요.
위 앞니를 위로 올린다?
아래 앞니를 아래로 내린다?
위 어금니를 아래로 내린다.(상대적으로 위 앞니가 올라가는 효과)
아래 어금니를 위로 올린다.(상대적으로 아래 앞니를 내리는 효과)
과연 어떤 방법이 이번 환자분에게 적합할까요?
주의할 점은 위 앞니를 위로 올리는 건 웃는 모습을 고려해야 하고요. 나머지 방법들은 옆모습을 고려해야 해요.
아마 이렇게 정교하고 디테일하게 판단하는 의사를 만나기 쉽지 않을겁니다.
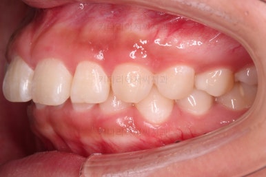
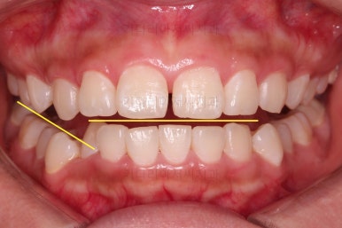
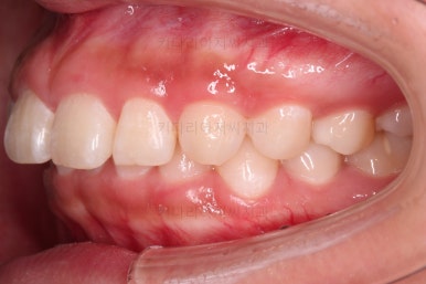
어쨌든 이번 환자분은 살짝 벌린 모습을 보면 아래 어금니~앞니까지 일직선으로 이어지는게 아니라 송곳니부터 갑자기 위로 솟구치죠?
우선은 아랫니 높낮이를 편평하게 맞춰줘야 합니다.
앞니를 내리든, 어금니를 올리든.
이번 환자분은 아래턱도 작은 분이라 아래 앞니를 아래로 내리기로 결정했어요.
(아래턱이 작기 때문에 앞니를 내린다고요? 이 부분은 이해하시기 어려우실거라 자세한 설명은 생략합니다. ^^)
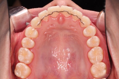
윗니는 장치를 부착해서 가지런하게 하고요.
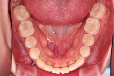
아랫니는 앞니부터 내리는 과정을 진행합니다.
미니스크류가 반드시 필요한 과정이고요.
이번 환자분은 선택하신 장치가 클리피씨와 같은 자가결찰 세라믹의 한 종류인 엠파워 클리어라고 하는 장치를 선택하셨어요.
아마도 철사로 교정하시는 분들 중 가장 많은 비율이 이 장치를 선택하실 건데요.
메탈보다 심미적이며 가장 심미적인 데이몬 보다는 가격이 저렴하기 때문일거에요.
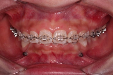
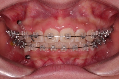
장치 부착 직후의 얼굴모습 참고해 주시고요.
이번 환자분은 장치 부착했다고 입이 그렇게 많이 나오는 편은 아니었어요.
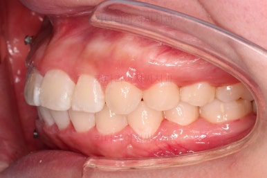
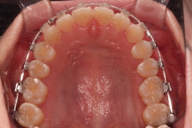
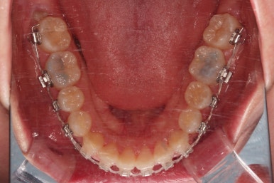
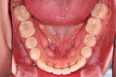
아래 앞니가 굉장히 많이 내려왔네요.
원하는만큼 100% 아래 앞니가 내려오기 전까지는 어금니에 장치를 부착하면 안되요. 원했던 방향이 아니라 다른 부작용이 생길 수 있기 때문이죠.
과개교합이 개선되어야 비로소 윗니 사이 틈새를 고칠 수 있어요.
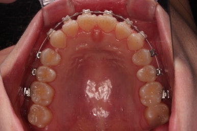
윗니는 서서히 틈을 줄여 나갑니다.
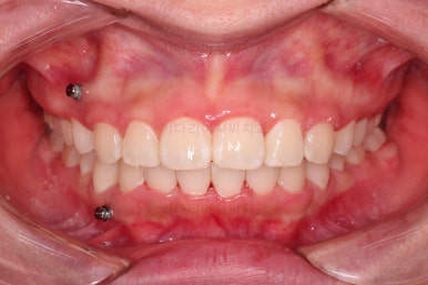
얼굴모습 확인해 주고, 개선 원하시는 부분도 반영합니다.
원래 있었던 부분인데, 환자분도 눈치 못챘고 아마 여러분도 눈치 못채셨을 법한 내용인데요.
웃을 때 치열이 기울여보여요. (환자분 기준) 오른쪽 치열이 아래로 내려와 보이죠.
이런 부분들을 말씀드리고 부산치과교정 원하시면 개선하기로 했어요.
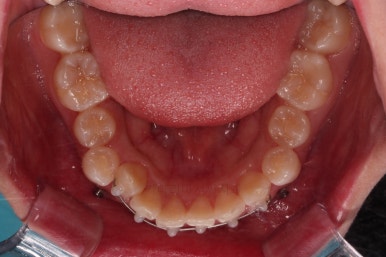
아랫니가 매우 가지런해 보이고 틈새도 거의 다 다물어져 가요.
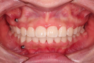
기울어 보이는 치열을 개선하기 위해서 윗니에도 미니스크류를 해서 당겨 올리는 방향으로 힘을 주고 있어요.
디테일한 부분을 좀 더 마무리하고 종료합니다.
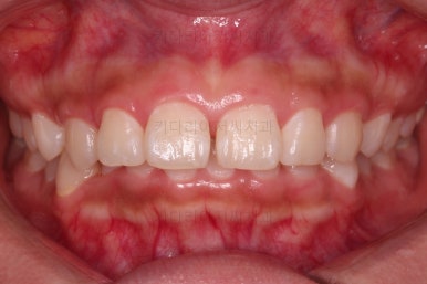
치아 배열, 과개교합, 치아 사이 틈새 모두 깔끔하게 개선되었네요.
부산치과교정 전후 비교 해보겠습니다.
중반 이후부터 개선하고자 했던 치열의 기울기 부부도 깔끔하게 좋아졌고요.
얼굴모습은 거의 변화 없이 잘 마무리 되었습니다.
1년 4개월이라는 비교적 짧은 기간안에 치료겨로가가 매우 만족스럽고요.
대신 앞으로는 특수한 유지장치를 사용하게 될 것인데, 유지 관리를 잘 해야겠죠.
이상 미니스크류를 사용하여 비발치로 과개교합과 벌어진 치아, 기울어짐, 교합 등을 개선한 부산치과교정 치료사례였습니다.
부산 연산동 교정치과 키다리아저씨치과에 오시는 길은 연제구 연산동 연산역 17번출구 바로 앞 건물 6층입니다.
치과교정과 전문의(부산대 외래교수)가 상주하며 교정치료 합니다.
<위 사진은 환자분의 동의를 구한 후 공개하는 사진자료입니다. 사진은 과장이나 조작이 없는 원본사진입니다. 교정치료로 인한 부작용으로는 치근흡수, 충치, 치아변색, 실활 등이 있을 수 있으며, 치료 전후 사진은 의료법 제 23조, 제 56조에 의거하여 게재합니다. 개인의 상태에 따라 치료결과는 달라질 수 있으므로, 교정전문의와 상의를 요합니다.>



























































































































댓글