부산초등학생교정 키다리아저씨치과의 앵글씨 3급 주걱턱 부정교합 1차 성장교정 치료사례
- 키다리아저씨치과

- 2025년 9월 9일
- 3분 분량
안녕하세요.
오늘 소개해 드릴 환자분은 주걱턱을 고치고 싶어했던 초등학생 어린이였습니다.
나이 : 8세
총 치료기간 : 1년 1개월(총 13개월)
사용한 장치 : 페이스마스크(facemask) + 2X4 교정
초진 시 얼굴 사진이에요.
아래턱이 위턱보다 앞으로 튀어나온 전형적인 주걱턱의 모습인데요.
몇 가지 특징이 있어요.
주걱턱
아래턱이 위턱보다 튀어나와 보인다.
웃을 때도 아랫니 위주로 보인다.
입꼬리가 아래로 쳐져 뚱해 보인다.
얼굴(하관)이 길어보인다.
이번 환자분의 경우에도 이러한 특징을 모두 갖고 있는 초등학생이었어요.
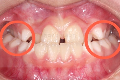
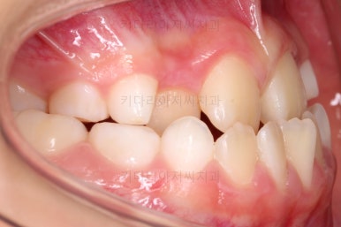
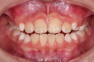
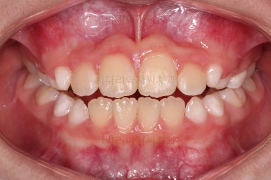
마찬가지로 초진 시 입안의 모습이에요.
아래 앞니가 윗니보다 앞에 있는 "반대교합" 즉, 거꾸로 물려있는 상황이었고요.
어금니 쪽을 보시면(왼쪽 위 사진) 윗니 어금니도 아래 어금니보다 안쪽으로 들어와 있는 "어금니 반대교합"도 있는 상황이었어요.
즉, 윗니가 있는 위턱뼈가 3차원적으로 작은 상황이었던거죠.
이렇게 아랫니들이 윗니보다 앞으로 나와있는 형태의 부정교합을 "앵글씨 3급" 부정교합이라고 합니다.
아이의 관심사는 우리와 다르다.
보호자분은 아이의 주걱턱, 앵글씨 3급 부정교합을 개선하고 싶어했던 반면 아이는 한창 외모에 관심을 가지기 시작할 나이인지 앞니가 삐뚤었던 부분을 가지런하게 하고 싶어했어요.
치료 계획 : 위턱 뼈를 앞뒤/양옆/수직적 3차원으로 크게 해주면서 앞니도 가지런하게 해준다.
이 장치가 페이스마스크에요.
얼굴에 끼는 장치이고 윗니에 부착된 장치와 고무줄로 연결이 돼요. 고무줄이 당겨주는 힘으로 위턱뼈가 성장하게 됩니다.
보호자분 : 이걸 어떻게 끼나요? ㅜㅜ 하루종일 해야 하나요?
키다리 : 아닙니다. 잘 때 위주로 하루 12시간 전후로 하면 됩니다.
보통은 장치 샘플을 보여드리면 얼굴 밖으로 보이는 장치에 대한 거부감이 먼저 드는게 사실인데요.
잘 때 위주로 12시간 전후로 하면 된다고 말씀 드리면 그나마 안심하십니다.
언제? 얼마나? (feat. 성장판 검사)

저희 키다리아저씨치과에서는 Greulich-Pyle법을 이용해서 성장판 검사를 하고 있습니다.
(아마 이 방법으로 분석하는 치과는 저희 치과가 유일할 것입니다. ^^)
주걱턱 성장교정(1차교정)은 적절한 골든타임이 있어요. 바로 만으로 6~10세 사이에 해주게 돼요.
너무 늦으면 위턱의 성장이 멈춰 성장치료 자체가 안되며, 너무 이르면 반응이 별로 없고, 협조를 기대하기 힘들어요.
이 시기가 바로 초등학교 저학년 나이인데요.
초등학생 자녀를 가지신 보호자분들은 초등학교 저학년 시기를 놓치시면 안됩니다.
그리고 보통 총 치료기간은 1년 내외로 걸리는 경우가 대부분이고 빠른 친구는 6개월 ~ 1년 사이에 치료가 완료되기도 한답니다.
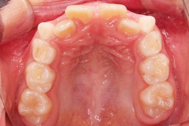
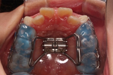
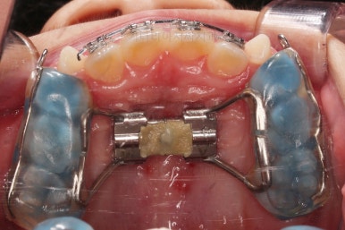
입 안에는 이런 장치가 들어가요.
착탈식은 아니고 부착형입니다.
앞니를 일부러 붕 띄워주며 위턱의 가로폭을 확장시켜주는 악궁확장장치도 부착이 되었어요.
어떻게 식사를 하냐며 걱정하시는 보호자분들이 계시지만 씹는 면을 편평하게 아랫니와 맞춰주었기 때문에 기존의 부정교합인 상태보다 오히려 식사가 잘 될 수 있으니 염려 안하셔도 됩니다.
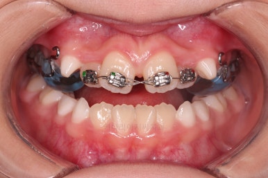
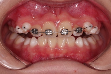
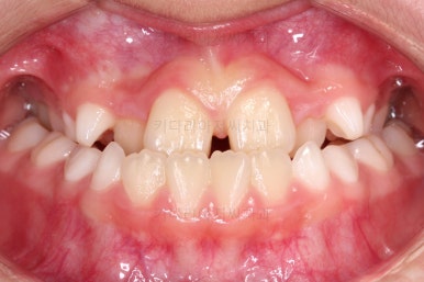
위턱뼈가 가로로 넓어지니 앞니 사이에도 공간이 많이 생겼네요.
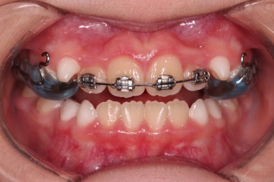
부분적으로 교정장치를 부착해서 당사자가 제일 고치고 싶어햇던 앞니 부분을 가지런하게 하기 시작했어요.
위턱뼈가 앞으로도 점점 나와서 처음 보다는 반대교합 경향이 개선되고 있는게 보이네요.
앞니도 굉장히 가지런해졌고요.
반대교합 경항도 거의 없어졌어요.
이러한 성장교정 장치는 주로 스스로 뼜다꼇다 해야되는 방식이 많다보니 잘 껴주는 아이들은 효과가 좋고 잘 못끼는 아이들은 효과가 떨어져요.
이번 어린이의 경우, 스스로의 동기부여도 좋았기 때문에 치료 경과가 양호했어요.
얼굴모습도 중간평가 해주고요.
벌써 처음보다 많이 좋아진게 느껴지죠?
충분히 위턱의 성장이 완료되어 페이스마스크 치료는 종료하고 앞니 부분만 좀 더 가지런하게 해주기로 했어요.
치료 종료!
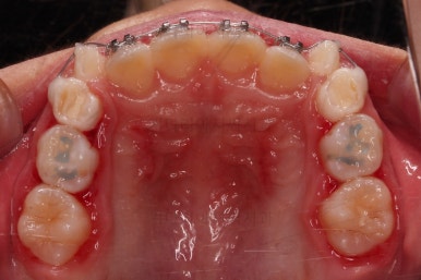
총 13개월 걸려서 부산초등학생교정 위턱의 3차원적 성장과 앞니 가지런함을 다 이뤘어요.
앞니의 반대교합 뿐만 아니라 어금니 반대교합도 개선되었네요.
얼굴모습이에요.
주걱턱 느낌 완벽하게 개선되었고 입꼬리의 느낌, 도톰한 옆라인, 웃을 때 윗니가 보이는 모습까지 치료가 매우 잘 되었어요.
부산초등학생교정 전후 비교를 해보겠습니다.
부산초등학생교정 전후 모습을 보면 말 그대로 드라마틱한 변화네요.
특히 웃을 때 아랫니가 툭 튀어나와서 아랫니 위주로 보이던 미소가 완벽히 개선되어서 웃는 모습이 참 예뻐졌어요.
보호자분이 원하던 주걱턱도 개선되었고 초등학생 어린이 본인이 원하던 앞니 가지런함도 매우 좋아졌어요.
골든타임을 놓치지 않고 적절한 교정방법으로 좋은 협조도를 가지고 치료하니 매우 좋은 치료가 되었어요.
이상 부산초등학생교정 페이스마스크를 이용하여 어린이 주걱턱, 앵글씨 3급 부정교합을 교정한 성장치료/성장교정/1차교정 치료사례였습니다.
키다리아저씨치과에 오시는 길은 연제구 연산동 연산역 17번출구 바로 앞 건물 5, 6층입니다.
치과교정과 전문의(부산대 외래교수)와 통합치의학과 전문의(서울대학교 졸업) 2명이 상주하며 교정치료와 일반치과치료를 협진하여 진료합니다.
<위 사진은 환자분의 동의를 구한 후 공개하는 사진자료입니다. 사진은 과장이나 조작이 없는 원본사진입니다. 교정치료로 인한 부작용으로는 치근흡수, 충치, 치아변색, 실활 등이 있을 수 있으며, 치료 전후 사진은 의료법 제 23조, 제 56조에 의거하여 게재합니다. 개인의 상태에 따라 치료결과는 달라질 수 있으므로, 교정전문의와 상의를 요합니다.>



































































































































댓글