부산청소년치아교정 키다리아저씨치과의 덧니교정 치료사례
- 키다리아저씨치과

- 2025년 12월 17일
- 2분 분량

"미니스크류를 이용한 투명교정장치에 관한 논문"으로 2023년도 Angle orthodontist(미국의 교정학회지) SCI 저널에 제 1저자로 게재되었습니다.
항상 공부하고 노력하는 키다리아저씨치과가 되겠습니다.
안녕하세요.
오늘 부산청소년치아교정 키다리아저씨치과에서 소개해 드릴 환자분은 덧니와 약간의 돌출입을 개선하고자 하셨던 분입니다.
나이 : 17세
총 치료기간 : 2년 2개월(총 26개월)
사용한 장치 : 자가결찰 세라믹(데이몬 클리어, Damon clear) + 미니스크류
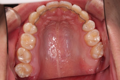
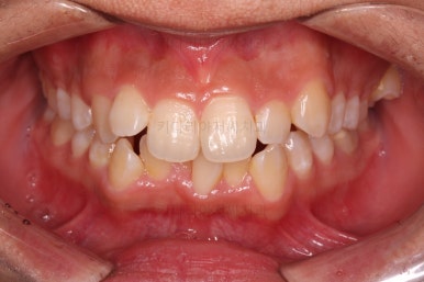
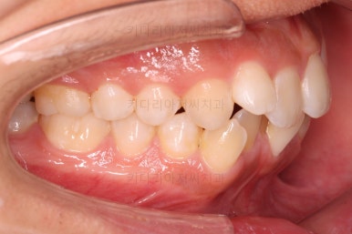
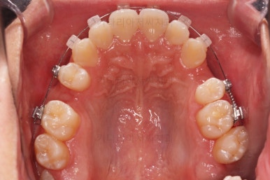
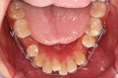
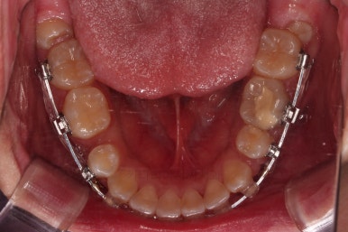
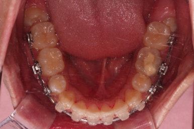
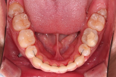
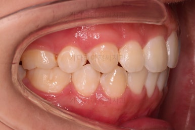
초진 시 입안의 모습입니다.
앞니가 많이 삐뚤고, 송곳니가 부각되어 덧니처럼 보이네요.
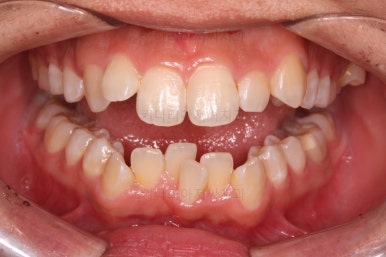
초진 시 얼굴모습입니다.
약간의 돌출감이 보이고, 특히 입술 다물기가 힘드네요.
입이 나오고 들어가고는 정상 범주는 있으나 주관적인 판단이 매우 중요한데요.
이렇게 입을 다물기가 힘들어 입술 주위/턱끝에 힘이 들어가는 상황은 개선이 필요한 돌출로 판단해도 됩니다.
발치교정
돌출 + 입다물기 힘듬 + 삐뚤한 치아, 모든 걸 개선하기 위해서는 발치교정이 필요했습니다.
물론 발치 없이도 개선하는 경우도 있지만 몇 가지 중 일부는 아쉬움이 남는 경우가 많습니다.
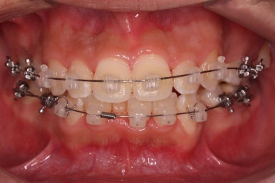
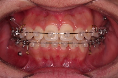
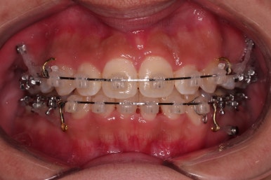
장치를 처음 부착한 모습입니다.
이번 환자분이 선택하신 장치는 데이몬 클리어라고 하는 자가결찰 세라믹 장치인데요.
흔히들 아시는 클리피씨 장치 등등에 비해 현존하는 브라켓 중에 가장 심미적인 장치입니다.
장치를 부착한 직후의 얼굴모습 입니다.
장치의 느낌이나 입술이 더 나오는 느낌 등 참고바랍니다.
적절한 시기에 발치를 하고요.
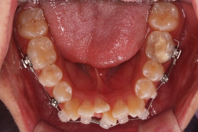
순차적으로 장치를 붙여가며 치아를 가지런하게 합니다.
교정 시 꼭 필요한 사랑니 미리 발치해주고요.
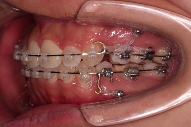
가지런하게 하는 단계를 거친 뒤,당기기 과정에 들어가는데요.
이 과정에서 입이 들어가는 양, 중앙선, 기울기, 앞니 각도 등등 많은 것을 신경써서 당기기를 해주는데요.
이 때 필요한 것이 미니스크류 입니다.
예전과는 다르게 미니스크류를 이용해서 좀 더 정교하고 고난이도의 치료가 가능해지게 된거죠.
입이 들어가는 양, 중앗너, 입 다물었을 때의 편안한 느낌 등 체크를 해주고요.
환자분들이 느끼기에는 단순하게 고무줄만 교체하는 것 같지만 부산청소년치아교정 많은 것을 신경써야 하는 단계입니다.
다양한 위치/방향/방법으로 치열을 개선해 나갑니다.
환자부니 원하시는 포인트, 디테일을 정리하면서 마무리를 해줍니다.
아무래도 고등학생이다 보니 내원간격을 잘 못지키기도 하고, 한동안 못오기도 해서 총 치료기간이 훨씬 적게 걸렸어야 했는데 많이 걸린 편이긴 했습니다.(2년 2개월)
그래도 충분히 원하시는 부분과 필요한 부분을 부산청소년치아교정 통해 잘 마무리 했습니다.
추가적인 사랑니 발치 및 충치치료 등을 더 하고 치료를 종료했습니다.
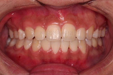
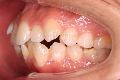
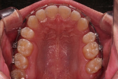
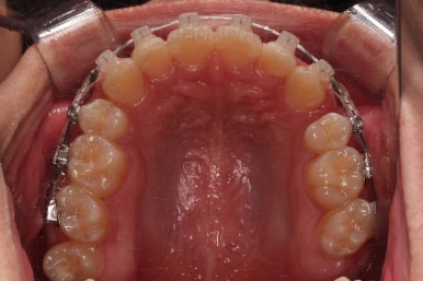
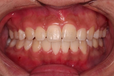
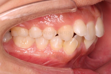
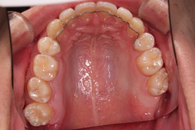
종료 시의 사진들을 전후 비교해 보겠습니다.
입매가 좋아졌고 입을 다무는 편안함도 좋아졌으며 치열이 가지런해졌으며 웃을 때 보이는 치열의 느낌도 좋고 교합도 잘 마무리 되었네요.
지켜봐도 되는 충치는 지켜보기로 여지를 남기고 필요한 충치치료도 마무리를 했습니다.
이상 부산청소년치아교정 키다리아저씨치과에서 시행한 덧니, 돌출입 개선 사례였습니다.
부산 연산동 교정치과 키다리아저씨치과에 오시는 길은 연제구 연산동 연산역 17번출구 바로 앞 건물 6층입니다.
치과교정과 전문의(부산대 외래교수)가 상주하며 교정치료 합니다.
<위 사진은 환자분의 동의를 구한 후 공개하는 사진자료입니다. 사진은 과장이나 조작이 없는 원본사진입니다. 교정치료로 인한 부작용으로는 치근흡수, 충치, 치아변색, 실활 등이 있을 수 있으며, 치료 전후 사진은 의료법 제 23조, 제 56조에 의거하여 게재합니다. 개인의 상태에 따라 치료결과는 달라질 수 있으므로, 교정전문의와 상의를 요합니다.>























































































































댓글