부산청소년교정 키다리아저씨치과에서 시행한 비발치 덧니교정 (feat. 악궁확장 장치)
- 키다리아저씨치과

- 2025년 9월 17일
- 3분 분량
키다리아저씨치과는 치과교정과 전문의(부산대 외래교수)와 통합치의학과 전문의 원장님이 상주하며 협진하는 치과입니다. 부분교정에서부터 난이도 높은 교정진료는 교정과 원장님이 진료를 하며, 임플란트, 사랑니발치, 충치치료, 틀니 등 일반진료는 통합치의학과 전문의 원장님이 진료합니다.
교정과 일반진료의 협진으로 자기치아를 최대한 아끼고 오래 쓰는 방법을 고심하며 수준 높은 진료를 제공합니다.
안녕하세요.
오늘 부산청소년교정 키다리아저씨치과에서 소개해 드릴 환자분은 청소년기 남자학생으로 삐뚤한 앞니와 덧니를 개선하고 싶어서 내원한 환자분입니다.
나이 : 13세
총 치료기간 : 1년 1개월(총 13개월)
사용한 장치 : 자가결찰 금속(엠파워 메탈, Empower metal) + 악궁확장장치(RPE)
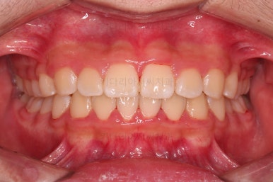
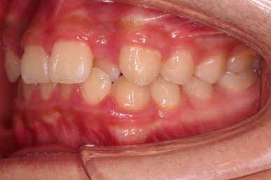
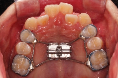
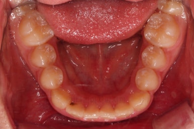
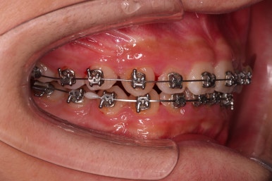
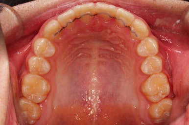
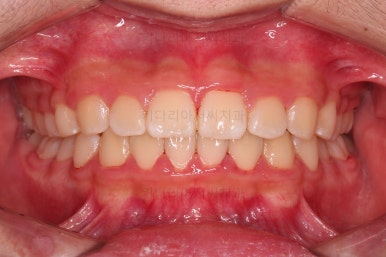
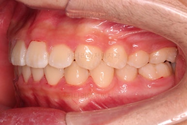
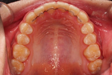
초진 시 입안의 모습입니다.
앞에서 보면 윗니 송곳니가 덧니처럼 보이지만 사실상 덧니 옆에 있는 작은 앞니가 안으로 쏙 들어가면서 상대적으로 튀어나와 보이는 상황이었어요.
왜 송곳니가 덧니가 잘 되나요?
윗니 송곳니는 일반적으로 영구치들 중 가장 늦게나는 치아 중 하나에요.
즉, 송곳니 뒤쪽/앞쪽 영구치가 자리를 잡은 후에 나오는 경향이 있는데요.
이 때 자리가 넉넉하다면 가지런하게 나오고요.
자리가 부족하다면 송곳니가 볼록하게 덧니처럼 나오거나 옆에 있는 가장 약한 치아를 앞이든, 뒤든 밀어내면서 자리를 잡게 돼요.
그래서 윗니 송곳니가 덧니가 잘 된답니다.
덧니는 꼭 발치교정을 해야 하나요?
결국 덧니는 자리가 부족해서 생기는 문제인데요.
필요한 자리의 크기에 따라 현재 입매(돌출)에 따라 발치가 필요하기도 하고, 발치 없이 가능하기도 하답니다.
초진 시 얼굴 모습입니다.
약간의 입술 돌출감이 있어보이지만 심하지 않고 특히 13세인 나이를 감안했을 때 추후 코의 높이 턱의 외형에서 약간의 변화 가능성도 있기 때문에 성인 기준으로 돌출을 평가하면 안되는 상황이었어요.
해당 연령대 남자 청소년들 특징이긴 하지만 웃을 때 활짝 못웃으며 그나마 웃어도 치열이 예뻐보이지 않는 상황이었어요.
악궁확장장치

악궁확장장치는 언제 할까요?
치아가 많이 삐뚤어서 공간을 확보해줘야 할 때? 아닙니다.
악궁이라는 건 윗니와 아랫니가 배열이 되어있는 말발굽 형태의 틀을 말하는데요.
확장이 가능한 건 윗니의 악궁이랍니다.
(아랫니는 뼈 자체를 넓혀주는 악궁확장이라는 개념이 없어요.)
따라서 위쪽 악궁과 아래쪽 악궁의 크기가 조화롭지 못할 때(위쪽 악궁이 아래쪽에 비해 좁을 때) 악궁확장을 시행해요.
단순히 윗니가 많이 삐뚠데, 비발치로 하고 싶다고 악궁확장을 한다? 큰일날 말씀입니다.
부산청소년교정 키다리아저씨치과에서는 악궁확장이 필요한지 아닌지 3차원 CT영상을 통해 많은 수치들을 측정하고 정말 필요할 때만 시행하고 있어요.
이번 환자분의 경우도 단순히 윗니가 많이 삐뚤어서라기보다 윗니 악궁이 많이 좁아서 악궁확장을 시행했어요.
악궁확장을 하게 되면 "공간"이 어느 정도 확보되는 효과도 있어서 비발치 치료 가능성이 높아지는거죠.
입천장에 보이는 장치가 악궁확장 장치입니다.
성인들의 경우 악궁확장장치에 미니스크류까지 하는 MARPE라고 하는 장치를 쓰기도 하는데, 이것도 기준이 있어요.
성인이라고 모두 미니스크류를 동반한 악궁확장장치를 해야하는 건 아닌거죠.
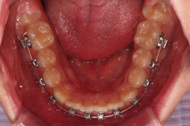
악궁확장이 충분히 진행 된 뒤에 교정장치를 부착하여 치아배열을 시작해요.
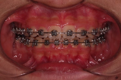
이번에 사용한 장치는 엠파워 메탈이라고 하는 자가결찰 금속 장치에요.
세라믹에 비해 눈에 많이 띈다는 단점이 있지만 상대적으로 부피가 작고 강도가 강하며 구강위생에도 조금 더 유리한 장점이 많답니다.
장치 부착 전후 옆모습입니다.
이번 환자분은 장치로 인해서 입이 거의 나오지 않는 편이에요.
장치 때문에 입이 나오는 정도는 사람마다 매우 달라서 말그대로 붙여봐야 안답니다.
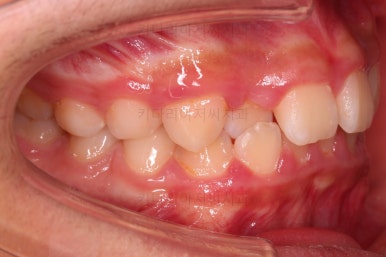
악궁확장 이 후 3개월만의 사진이에요.
3개월 동안 입천장의 악궁확장장치를 유지목적으로 부착해 놓았다가 제거하면서 치열을 가지런하게 하는 단계인데요.
위아래 틀(악궁)의 크기가 조화롭다 보니 교정치료는 일사천리로 진행이 돼요.
얼굴모습을 적극적으로 바꿀 목적은 아니었지만 얼굴모습도 중간중간 확인해 주고요.
교합이라던지 디테일을 조금 더 손 본 후에 마무리를 하게 됩니다.
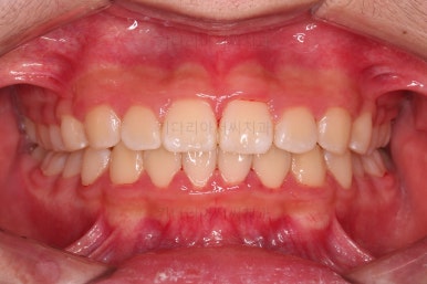
총 13개월 걸려서 치료가 끝났는데, 굉장히 깔끔하게 치료가 마무리 되었네요.
전후 모습을 비교해 보겠습니다.
1년 1개월이라는 비교적 짧은 기간 안에 정확한 분석을 통한 악궁확장장치의 효율적 사용으로 덧니와 삐뚤한 치열을 매우 잘 개선할 수 있었어요.
이상 악궁확장장치를 이용해 비발치로 덧니 및 삐뚤한 치아를 교정치료한 사례였습니다.
키다리아저씨치과에 오시는 길은 연제구 연산동 연산역 17번출구 바로 앞 건물 5, 6층입니다.
치과교정과 전문의(부산대 외래교수)와 통합치의학과 전문의(서울대학교 졸업) 2명이 상주하며 교정치료와 일반치과치료를 협진하여 진료합니다.
<위 사진은 환자분의 동의를 구한 후 공개하는 사진자료입니다. 사진은 과장이나 조작이 없는 원본사진입니다. 교정치료로 인한 부작용으로는 치근흡수, 충치, 치아변색, 실활 등이 있을 수 있으며, 치료 전후 사진은 의료법 제 23조, 제 56조에 의거하여 게재합니다. 개인의 상태에 따라 치료결과는 달라질 수 있으므로, 교정전문의와 상의를 요합니다.>































































































































댓글