부산청소년교정치과 키다리아저씨치과에서 시행한 비발치 2급 부정교합 치료사례
- 키다리아저씨치과

- 3월 12일
- 3분 분량
"미니스크류를 이용한 투명교정장치에 관한 논문"으로 2023년도 Angle orthodontist(미국의 교정학회지) SCI 저널에 제 1저자로 게재되었습니다.
"2023년 대한치과 교정학회에서 표창장을 수여하였습니다."
"2023년 세계 구순구개열 학회에서 포스터 발표를 하였습니다."
항상 공부하고 노력하는 키다리아저씨치과가 되겠습니다.
안녕하세요.
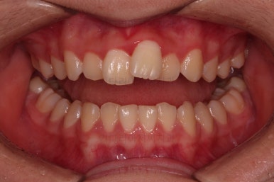
오늘 부산청소년교정치과 소개해 드릴 환자분은 앞니가 삐뚤어지고 부정교합이 있었던 청소년 환자분이었습니다.
나이 : 14세
총 치료기간 : 1년 11개월(총 23개월)
사용한 장치 : 자가결찰 메탈(엠파워 메탈, Empower metal) + 악궁확장장치
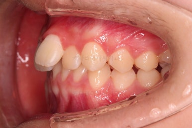
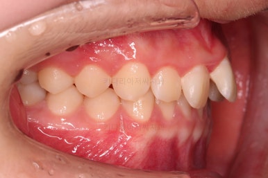
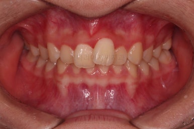
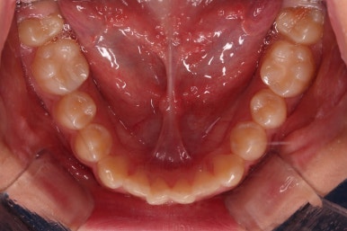
1. 초진
초진 시 입안의 모습입니다.
눈에 띄는 부분은 당연히 앞니가 삐뚤고, 앞니 하나가 앞으로 튀어나온 모습인데요.
자세히 관찰해 보면 다른 문제점들이 보입니다.
우선 위아래 앞니가 깊숙히 맞물려 있는 과개교합 양상인데요.
깊게 맞물려 있으면 기능적으로도 좋지 못하고 입술의 볼륨감에도 부정적이며 치아도 많이 마모가 되기 쉽습니다.
✅ 앵글씨 2급 부정교합
이번 환자분은 앵글씨 2급 부정교합이었는데요.
정상교합에 비해서 윗니가 상대적으로 앞에 아랫니가 상대적으로 뒤에 위치한 부정교합이 앵글씨 2급 부정교합입니다.
거꾸로 아랫니가 앞에 위치한 부정교합은 앵글씨 3급 부정교합입니다.
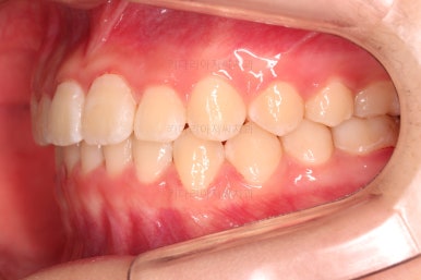
이번 환자분은 어금니가 위아래가 지그재그 서로 엇갈려 꽉 끼이는 교합이 아니라 1대1로 치아가 부딪혀 있는 상태였습니다.
이런 경우는 치아가 마모가 매우 잘되고 치아의 잇몸 근처 부분이 빨리 패여져 나가거나 잇몸 퇴축도 빨리 오게 됩니다. 물론 씹는 기능도 떨어지게 마련이고요.
마찬가지로 부산청소년교정치과 초진 시 얼굴모습입니다.
앵글씨 2급 부정교합인 만큼 얼굴모습에서도 해당 양상이 눈에 띄는데요.
아랫입술 ~ 아랫입술 하방의 오목한 부분이 매우 뒤로 들어가 보이네요.
물론 턱끝은 윤곽이 발달한 편이라 무턱의 느낌까지는 아니지만 아래턱이 확실히 작아서 뒤에 위치한 모습이었습니다.
또한 과개교합으로 인해 아래 앞니가 아래 입술을 받쳐주지 못해서 움푹 꺼진 느낌까지 들고요.
✅ 비발치 교정
대부분 청소년기에 자녀를 데리고 오시는 보호자분들은 언제가 치료의 적기인지를 궁금해 하십니다.
정답은 치열이 어느 정도 자리잡은 청소년기가 치료의 적기입니다.
우선 유치가 남아있을 정도로 너무 어리면 치열교정을 하기에는 어리고요.
(물론 성장교정은 훨씬 어린 나이에 해야 합니다.)
성인이 되었다고 해서 치료 방법이 크게 달라지는 건 아닙니다.
하지만 치아도 더 빨리 움직이고 잇몸/뿌리 등의 부작용도 적고, 잇몸도 더 예쁘게 마무리 되고, 부정교합인 채로 오래 지냈을 때의 마모나 잇몸퇴축 등의 부작용도 적고요.
특히나 이번 환자분과 같이 비발치로 부정교합을 시도하는 경우도 청소년기 때가 확실히 더 잘 치료가 됩니다.
또한 부가적으로는 악궁확장장치 등의 추가 장치를 쓸 때도 성인들은 미니스크류를 이용해야 한다면 청소년기 때는 미니스크류가 없이 가능하게 됩니다.
✅ 악궁 확장
악궁확장 내용이 나올 때면 매번 말씀 드리는 내용이 있습니다.
치열이 삐뚤었다고 공간확보 목적으로 악궁확장을 하는 건 아니다.
아래와 위의 턱뼈의 크기 부조화가 있을 때 위턱을 넓혀주는 것이 악궁확장이며, 저희 부산청소년교정치과 키다리아저씨치과에서는 정교한 3차원 CT분석을 이용해서 골격의 크기를 비교해서 꼭 필요한 경우에 악궁확장을 해주게 됩니다.
당연히 확장을 하면 부가적으로 공간확보가 일정 부분 더 잘된다는 효과도 있지만 공간확보를 위해서 턱뼈의 크기가 조화로운데도 불구하고 악궁확장을 한다면 또 다른 좋지 못한 결과가 생길 수 있어서 매우 조심스러운 평가가 선행되어야 합니다.
이번 환자분은 악궁확장이 필요한 케이스였으며, 청소년이었기 때문에 별도의 미니스크류 없이 일반 확장장치를 이용했습니다.
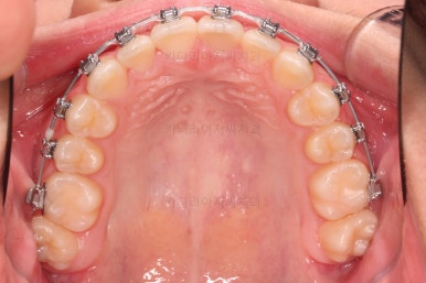
3. 치료경과
악궁확장부터 시행합니다.
확장이 잘 되어 앞니 사이에 틈새도 잘 벌어진 것이 확인되고요.
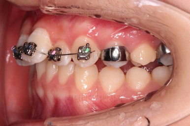
적절한 시기에 시차를 두고 순차적으로 브라켓을 부착합니다.
이번 환자분이 선택한 브라켓은 자가결찰 메탈의 한 종류인 엠파워 메탈 장치였습니다.
흔히들 아시는 클리피씨와 같은 자가결찰 타입이며, 성분만 금속성이라 눈에 좀 더 잘 띈다는 특징이 있지만 부피도 좀 더 작고 튼튼하며 좀 더 저렴한 장점이 있습니다.
장치 부착 직후의 눈에 보이는 모습과 옆라인의 변화 확인해 주시고요.
이번 환자분은 장치를 부착했다고 해서 옆라인이 거의 차이가 나지 않는 케이스였습니다.
적절한 시기에 아랫니도 장치를 구성하고요.
과개교합 및 앵글씨 2급 부정교합 개선을 도와주는 장치도 보조적으로 활용해 주었습니다.
가지런한 느낌은 좋아졌고, 과개교합도 깔끔하게 개선이 되었습니다.
이제부터는 부정교합을 개선하면서 위아래 어금니 맞물림을 개선해 나갑니다.
성인이었다면 미니스크류 혹은 발치가 필요한 상황이었을 것이나 아직 청소년기이고 약간의 성장여력을 활용할 수 있는 상황이었으므로 미니스크류나 발치 없이 개선해 나가보기로 했습니다.
이 시기의 얼굴모습도 확인해 주고요.
교합이 개선됨에 따라 자연스럽게 중앙선도 좋아지고 있는 부분이 눈에 띄고요.
부정교합이 정말 많이 좋아졌습니다.
좀 더 디테일을 맞추고 치료를 종료하기로 했습니다.
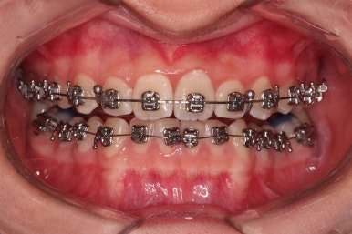
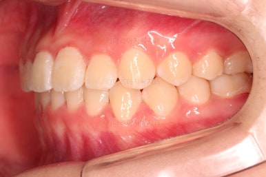
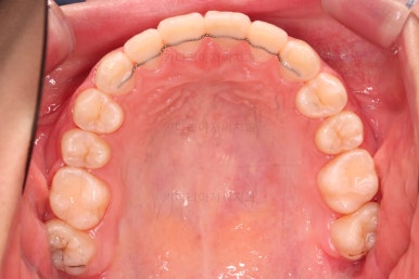
4. 마무리
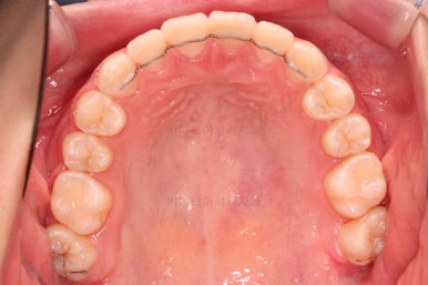
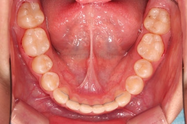
종료 때의 사진입니다.
가지런하고, 교합도 좋으며 과개교합이나 앵글씨 2급 부정교합 부분도 완벽히 좋아졌습니다.
자연스럽게 중앙선도 매우 좋아졌고요.
이제 전후 비교를 해보겠습니다.
웃는 모습도 매우 좋아졌고요.
옆 라인에서도 아랫입술 부분만 푹 꺼져보이던 양상에서 윗입술 ~ 아랫입술의 라인이 조화를 이루면서 매우 좋아진 모습입니다.
이상 삐뚤어진 치아와 부정교합을 가진 청소년 환자분을 발치나 미니스크류 없이 개선한 부산청소년교정치과 치료사례였습니다.
부산 연산동 교정치과 키다리아저씨치과에 오시는 길은 연제구 연산동 연산역 17번출구 바로 앞 건물 6층입니다.
치과교정과 전문의(부산대 외래교수)가 상주하며 교정치료 합니다.
<위 사진은 환자분의 동의를 구한 후 공개하는 사진자료입니다. 사진은 과장이나 조작이 없는 원본사진입니다. 교정치료로 인한 부작용으로는 치근흡수, 충치, 치아변색, 실활 등이 있을 수 있으며, 치료 전후 사진은 의료법 제 23조, 제 56조에 의거하여 게재합니다. 개인의 상태에 따라 치료결과는 달라질 수 있으므로, 교정전문의와 상의를 요합니다.>

















































































































































댓글