부산주걱턱교정 키다리아저씨치과의 수술교정 사례
- 키다리아저씨치과

- 2025년 3월 12일
- 2분 분량
안녕하세요.
오늘 부산주걱턱교정 키다리아저씨치과에서 소개해 드릴 환자분은 주걱턱으로 인해 양악수술을 동반한 수술교정을 진행하셨던 분입니다.
나이 : 19세
총 교정기간 : 1년 4개월(총 16개월)
교정장치 : 자가결찰 메탈(엠파워 메탈)
위 사진들은 부산주걱턱교정 키다리아저씨치과에 처음 내원하셨을 당시의 얼굴모습입니다. 위턱이 작고, 아래턱이 커서 주걱턱인 얼굴모습입니다. 주걱턱일 경우 얼굴모습의 특징은
아래턱이 앞으로 나와 보입니다.
코주위 ~ 윗입술 주위가 꺼져보입니다.
입꼬리가 아래로 쳐져서 뒤집어진 U자 형태가 됩니다.
웃을 때 앞니 보다 어금니쪽이 더 아래로 쳐져보입니다.
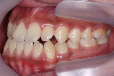
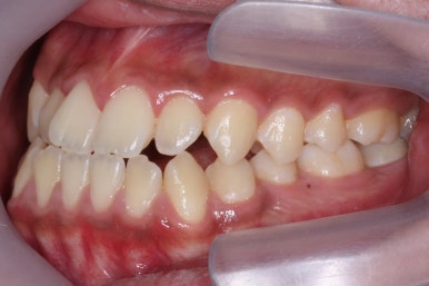
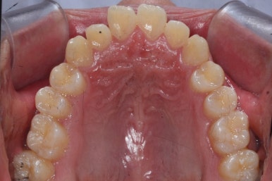
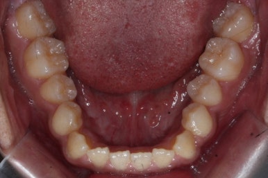
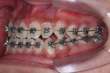
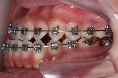
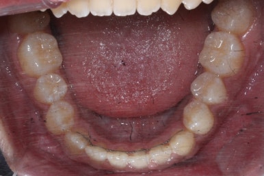
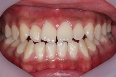
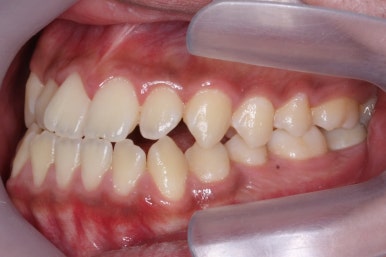
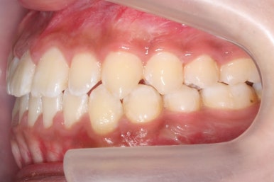
위 사진들은 부산주걱턱교정 키다리아저씨치과에 내원하셨을 당시의 입안 모습입니다.
입 안의 모습에서도 주걱턱의 특징으로는
하악이 앞으로 나와있습니다.
윗니는 뻐드러지고 아래 앞니는 뒤쪽으로 쓰러져 있습니다.
교합이 맞지 않습니다.
얼굴모습과 입 안의 못브을 종합했을 때, 양악수술을 통해 얼굴모습과 교합을 같이 개선하기로 했습니다.
수술 교정의 순서 : 수술 전 교정 -> 양악수술 -> 수술 후 교정
수술전 교정 : 양악수술을 하기에 최적의 환경을 만들어줍니다. 일반적으로 6개월 ~ 1년 가량 입니다.
양악수술 : 분석에 따라 아래턱만 하는 한 악수술을 하기도 하며, 수술 후 입원은 1주일, 일반적인 식사와 사회생활이 가능하기까지는 3~4주 가량이 걸립니다.(교정장치가 부착된 채로 수술을 진행하게 됩니다.)
수술 후 교정 : 수술 후 약 6주가 지난 뒤부터 교정치료를 하며, 수술 전에 할 수 없었던 디테일한 마무리를 합니다.
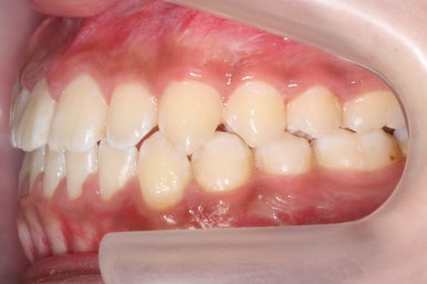
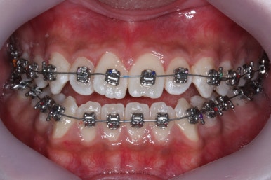
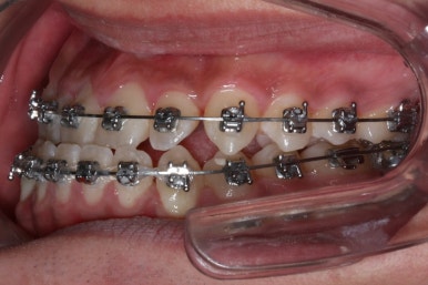
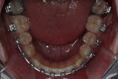
부산주걱턱교정 키다리아저씨치과에서 장치를 부착하였습니다.
이번에 사용된 장치는 자가결찰 메탈이며 가장 부피도 작고 튼튼하고 여러 장점이 있습니다.
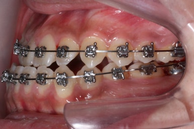
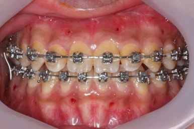
점점 수술전 교정이 진행되는 모습입니다.
각각의 위턱과 아래턱뼈 제위치에 맞게 윗니는 뒤로, 아랫니는 앞으로 내어주게 됩니다. 수술직전까지는 어떻게 보면 교합은 점점 나빠진다고 볼 수 있씁니다.
이 과정에서 힘들어 하시는 분들이 많으신데요. 점점 교합이 서로 멀어질수록 수술은 예쁘게 잘 된답니다.
수술 후 3주가 지난 시점의 모습입니다.
점점 자연스러워지네요. 웃거나 말할 때의 표정도 아직은 어색하기는 하지만 점점 자연스러워집니다. 서서히 입 벌리는 연습, 일반적인 식사를 하는 연습을 하게 됩니다.
변화된 뼈에 맞게 주위의 피부들도 적응이 잘 되도록 마사지와 표정연습을 잘 하셔야 합니다.
수술 후 2주차의 모습입니다.
붓기가 서서히 빠지고 점점 자연스러워지는 양상입니다. 아직 수술 후 교정치료는 진행하지 않고 있으며 구강외과의 수술 후 관리만 받게됩니다.
수술 후 3주가 지난 시점의 모습입니다.
점점 자연스러워지네요. 웃거나 말할 때의 표정도 아직은 어색하기는 하지만 점점 자연스러워집니다. 서서히 입을 벌리는 연습, 일반적인 식사를 하는 연습을 하게 됩니다.
변화된 뼈에 맞게 주위의 피부들도 적응이 잘 되도록 마사지와 표정연습을 잘 하셔야 합니다.
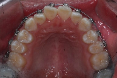
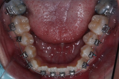
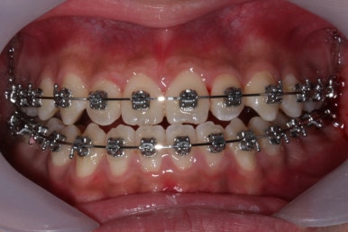
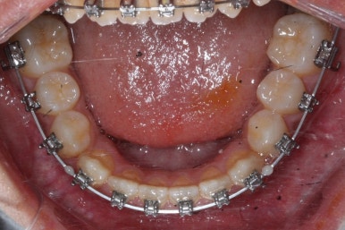
수술 후 6주가 지나고, 수술 후 교정과정에 들어갑니다.
수술 전 교정과정이 이미 많이 진행 되었기 때문에 디테일한 맞물림과 치아배열 정리만 해주면 치료를 종료할 수 있겠습니다.
수술 후 3개월이 지난 시점의 얼굴 모습입니다.
일반적으로 붓기나 얼굴 표정의 어색함 등은 수술 후 3주 정도면 많이 좋아지지만 3개월정도 때 까지는 자연스럽게 조금씩 변한다고 보시면 되겠습니다.
이제 조금만 더 치열을 정리하면 치료 종료할 수 있겠습니다.
치료 종료 후의 모습입니다.
부산주걱턱교정 키다리아저씨치과에서 이번 환자분 치료에 걸린 총 기간은 1년 4개월이였고, 수술 전 교정 10개월과 수술, 수술 후 교정은 4개월 가량이 걸렸습니다.
주걱턱 경향이 사라졌고, 그에 따라 입술 형태나 웃는 모습, 교합 등등 모든 면에서 개선되었습니다.
전후사진을 비교해 보겠습니다.
양악수술을 통해서 얼굴 모습이 미적으로 많이 개선되었습니다.
뒤집어진 U자형의 입술도 개선되었고, 웃을 때 어금니가 내려와 있던 모습도 많이 개선되었습니다.
이상 부산주걱턱교정 수술교정 키다리아저씨치과에서 시행한 치료사례였습니다.
키다리아저씨치과에 오시는 길은 연산역 17번출구 바로 앞 건물 5, 6층입니다.
치과교정과 전문의(부산대 외래교수)와 치과보철과/통합치의학과 전문의(부산대 외래교수) 2명이 상주하며 교정치료와 일반치과치료를 협진하여 진료합니다.
<위 사진은 환자분의 동의를 구한 후 공개하는 사진자료입니다. 사진은 과장이나 조작이 없는 원본사진입니다. 교정치료로 인한 부작용으로는 치근흡수, 충치, 치아변색, 실활 등이 있을 수 있으며, 치료 전후 사진은 의료법 제 23조, 제 56조에 의거하여 게재합니다. 개인의 상태에 따라 치료결과는 달라질 수 있으므로, 교정전문의와 상의를 요합니다.>













































































































































댓글