부산주걱턱교정 키다리아저씨치과의 비수술 교정치료 사례
- 키다리아저씨치과

- 1월 13일
- 3분 분량

"미니스크류를 이용한 투명교정장치에 관한 논문"으로 2023년도 Angle orthodontist(미국의 교정학회지) SCI 저널에 제 1저자로 게재되었습니다.
항상 공부하고 노력하는 키다리아저씨치과가 되겠습니다.
안녕하세요.
오늘 부산주걱턱교정 소개해 드릴 환자분은 주걱턱으로 인해 반대교합인 분이었고, 유치 잔존 및 영구치 결손까지 있었던 환자분입니다.
나이 : 19세
총 치료기간 : 2년 5개월(총 29개월)
사용한 장치 : 자가결찰 세라믹(엠파워 클리어, Empower clear) + 미니스크류
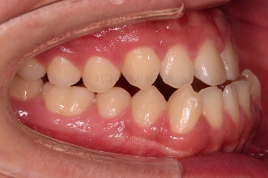
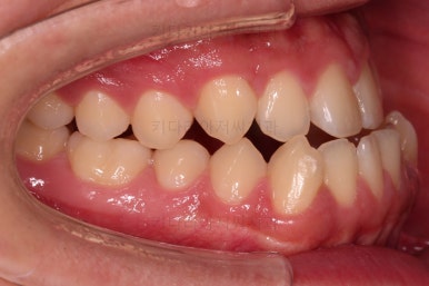
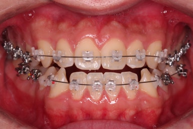
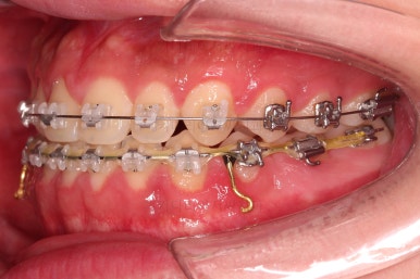
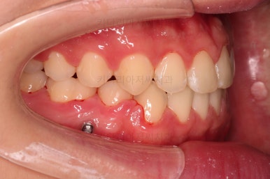
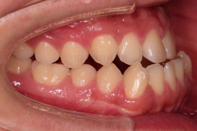
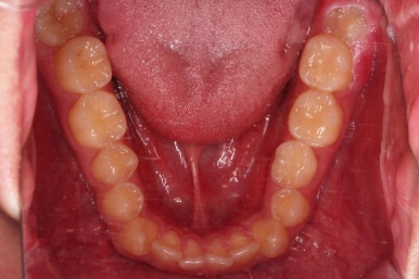
초진 시 입안의 모습입니다.
눈에 띄는 점은 아래앞니가 윗니 앞니보다 앞에 나와있는 점인데요.
이런 모습은 "반대교합"이라고 하며 앞니가 거꾸로 물린다고 표현합니다.
여러 가지 이유가 있겠으나 이번 환자분은 아래턱이 앞으로 크게 자라나온 주걱턱 때문에 생긴 반대교합이었습니다.
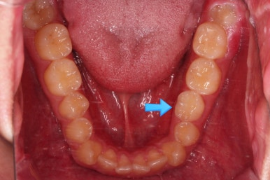
그리고 화살표를 보시면 유치가 아직까진 남아있었고, 유치 밑에는 영구치가 결손이 되어있는 상태였어요.
마찬가지로 초진 시 얼굴모습입니다.
아래턱이 앞으로 나와있어서 전형적인 주걱턱의 느낌을 주고요.
웃을 때 아랫니가 앞으로 나와있으니 미적으로도 좋지 못한 모습이었어요.
수술 vs 비수술
결국 턱뼈에서 부터 시작된 문제이기 때문엔, 근원적으로 개선하기 위해서는 턱뼈를 바로 잡는게 가장 이상적입니다.
즉, 양악수술/한악수술 등 턱뼈에 대한 수술을 통해 위치를 다시 잡아주는건데요.
아무리 비수술적 치료기술이 좋아졌다 하더라도 무든 수술 케이스를 비수술로 할 수 있는 건 아닙니다.
결국 치아는 뼈 안에서 움직이는 것이므로 뼈가 제한하는 범위를 넘어서는 위치까지 치아가 움직이지는 못하겠죠.
그래서 정말 심한 경우는 수술 아니면 개선이 안되는 경우가 많습니다.
당연히 수술로도, 비수술로도 개선이 가능한 경우는 가급적이면 비수술로 개선하고자 하는데요.
대신에 턱뼈는 움직이지 못하므로 외모 개선에 한계는 있을 수 밖에 없습니다.
이번 환자분은 비수술로도 교합을 맞출 수 있다고 판단되어 비수술로 진행하였습니다.
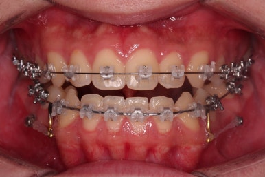
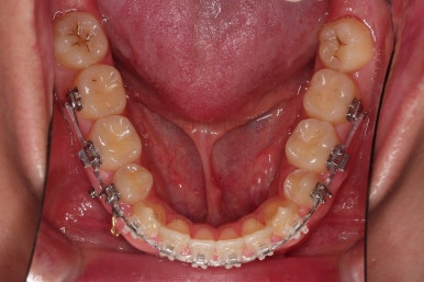
장치를 부착했습니다.
이번 환자분이 선택하신 장치는 엠파워 클리어라고 하는 자가결찰 세라믹 장치였습니다.
장치 부착 직후의 얼굴모습인데요.
장치가 보이는 느낌과 장치 때문에 입술이 약간 튀어나오는 느낌 등은 참고바랍니다.
이번 환자분은 아랫니를 윗니까지 뒤로 당겨줘야 했고, 그 양이 많았기 때문에 아랫니만 발치를 했는데요.
한 쪽은 마침 유치가 남아있어서 뽑았고, 반대편은 비슷한 위치의 작은 어금니를 발치했습니다.
유치는 해당 위치에 있어야 할 작은 어금니보다 크기가 크기 때문에 공간이 매우 많이 비어보이는데요.
다행히 위치적으로나 방법적으로나 나쁘지 않은 위치에 유치가 남아있어서 효율적으로 부산주걱턱교정 치료가 가능했습니다.
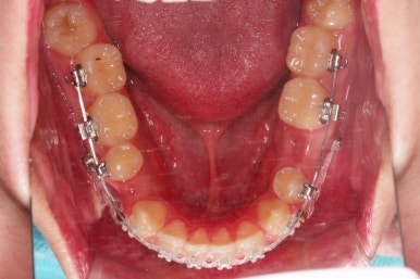
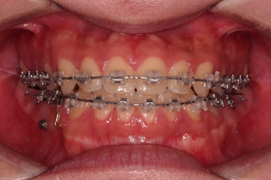
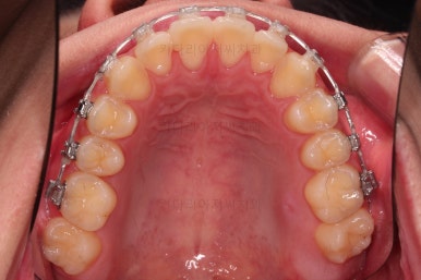
적절하게 가지런해졌다면 발치 공간으로 아래 앞니를 뒤로 당겨줍니다.
좌우 균형을 위해 미니스크류도 활용해 주고요.
아래쪽은 사랑니가 있었지만 발치하지 않았습니다.
왜냐하면 아랫니만 작은 어금니를 발치했기 때문에 갯수라던지 교합이라던지 사랑니가 일부 역할을 할 수 있었기 때문이죠.
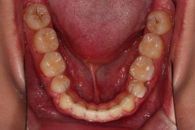
드디어 발치공간도 거의 다 다물어지고, 앞니도 넘어오고 교합도 양호해 보이고요.
이대로 끝낼까요?
아닙니다.
비수술 주걱턱교정에서 좀 더 신경 써주면 매우 얼굴모습에 좋은 포인트가 남아있죠.
환자분은 왜치료를 안끝내냐고 의아해 할 수도 있겠지만 조금 더 합니다.
그래야 더 예쁘게 마무리 되거든요.
그게 뭔지는 비밀입니다😀
당연히 지금 치료 종료해도 되나 아직 좀 더 해야됩니다.
환자분만 급하지 않다면 좀 더 진행합니다.
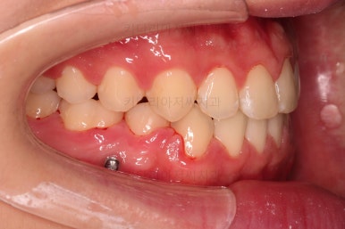
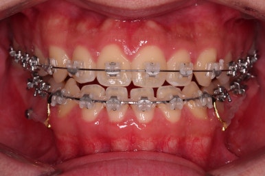
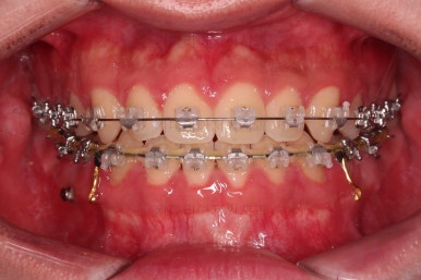
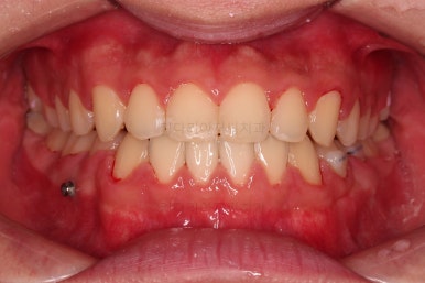
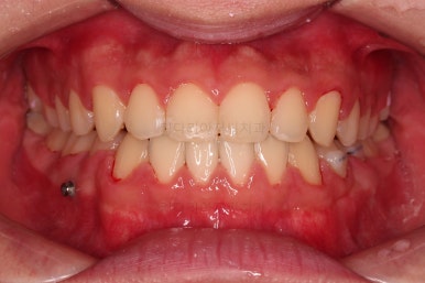
충분히 마무리 과정 후에 치료를 종료했습니다.
아랫니만 발치했으나 교합도 양호하고, 가지런한 느낌 좋고 반대교합도 완벽히 개선되었습니다.
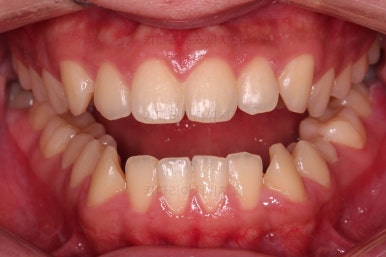
부산주걱턱교정 전후 비교해 보겠습니다.
교합, 얼굴모습, 웃는 모습, 옆모습, 반대교합 등 모든 점이 좋아졌습니다.
특히 옆모습이 눈에 띄는데요.
거의 수술한 것 아닌가 싶을 정도로 매우 좋아졌습니다.
옆모습만 다시 비교해 볼게요.
마무리를 생각보다 오래 신경써서 해줬는데요.
바로 옆모습 때문에 그렇습니다.
마치 수술한 것처럼 굉장히 예뻐졌죠?
환자분도 부산주걱턱교정 키다리아저씨치과도 매우 만족한 치료결과였습니다.
주걱턱인데 입을 집어 넣으면 턱이 더 튀어나와보이지 않나요?
굉장히 흔히 많이 하시는 질문인데요.
사진은 답변을 대신하겠습니다.
코밑 ~ 턱끝까지 적절한 S 곡선을 만들어주면 입이 들어가더라도 턱이 나와보이지 않고 오히려 예뻐보입니다.
이상 유치잔존, 영구치 결손, 반대교합, 주걱턱 환자분의 부산주걱턱교정 비수술 교정치료 사례였습니다.
부산 연산동 교정치과 키다리아저씨치과에 오시는 길은 연제구 연산동 연산역 17번출구 바로 앞 건물 6층입니다.
치과교정과 전문의(부산대 외래교수)가 상주하며 교정치료 합니다.
<위 사진은 환자분의 동의를 구한 후 공개하는 사진자료입니다. 사진은 과장이나 조작이 없는 원본사진입니다. 교정치료로 인한 부작용으로는 치근흡수, 충치, 치아변색, 실활 등이 있을 수 있으며, 치료 전후 사진은 의료법 제 23조, 제 56조에 의거하여 게재합니다. 개인의 상태에 따라 치료결과는 달라질 수 있으므로, 교정전문의와 상의를 요합니다.>







































































































































댓글