부산재교정 키다리아저씨치과의 이원교정 치료사례
- 키다리아저씨치과

- 2025년 12월 18일
- 2분 분량

"미니스크류를 이용한 투명교정장치에 관한 논문"으로 2023년도 Angle orthodontist(미국의 교정학회지) SCI 저널에 제 1저자로 게재되었습니다.
항상 공부하고 노력하는 키다리아저씨치과가 되겠습니다.
안녕하세요.
오늘 부산재교정 키다리아저씨치과에서 소개해 드릴 환자분은 다른 치과에서 교정 중이셨던 분인데 애매한 상태에서 종료하자는 말씀을 듣고 마무리를 좀 더 잘 하고자 내원하셨던 분입니다.
나이 : 27세
총 치료기간 : 2년 11개월(총 23개월)
사용한 장치 : 자가결찰 세라믹(클리피씨) + 미니스크류
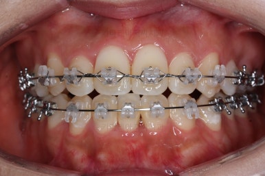
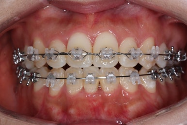
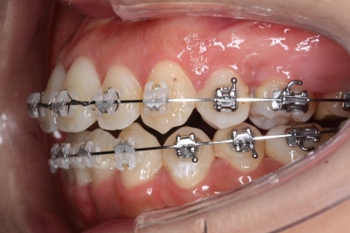
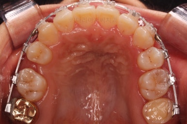
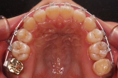
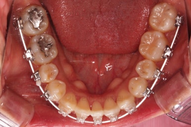
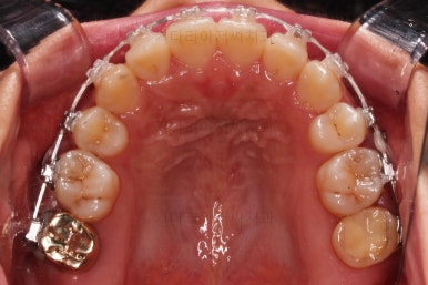
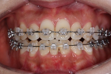
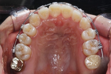
초진 시 입안의 모습입니다.
그냥 봐도 뭔가 애매함이 있죠?
중앙선이 맞지 않고, 교합이 떠보이는 양상이네요.
환자분 : 치과 옮기고 싶어요.
키다리 : 왜 그러시죠?
환자분 : 앞니 하나를 뽑았고 이제 마무리를 하자는데 뭔가 이상한거 같아서요.
키다리 : 아래 앞니는 잘 뽑는 치아는 아니긴한데, 어떤 이유로 뽑으셨나요?
환자분 : 모르겠어요.
사실 치과를 옮기고 싶다는 대부분의 환자분들은 '기존 치과와 잘 상의하고 대화하셔서 마무리를 하는게 가장 좋습니다.' 가 대부분의 답변입니다.
왜냐하면 치료를 하는 입장에서 치과를 옮기면 새로이 치료계획을 잡고 필요한 장치를 새로 셋팅하는 등 처음부터 다시 하는 기분으로 하게 되는데요.
이미 환자분은 몇년 진행하신 경우가 대부분이라 추가로 몇년 더 하셔야 된다는 말씀을 쿨하게 내뱉기가 쉽지많은 않기 때문입니다.
환자분도 물론 이점을 인지하고 계시지만 대화를 하다보면 오죽했으면 옮기겠다는 말씀을 하실까 하는 생각이 들 정도로 난처한 상황에 처해 계신 분들이 있습니다.
이번 환자분도 마찬가지였는데요.
여러 가지 답답함을 호소했으나 대화가 잘 안되었다는거죠.
물론 다양한 이유로 아래 앞니를 발치하고 아랫니 3개로 마무리를 하는 경우도 굉장히 많지만 이번 환자분의 경우에는 여러 가지 의미로 마무리가 썩 좋지는 않은 것 같다는 생각이 들었습니다.
추가로 2년 가량은 더 걸릴 수 있다는 점을 충분히 이해를 구하고 재교정을 진행하기로 했습니다.
초진 시 얼굴 모습입니다.
위아래 중앙선도 맞지 않지만 얼굴과 윗니의 중앙선도 맞지 않은 상태였어요.
돌출감도 있었고요.
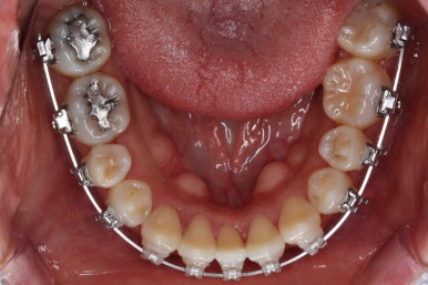
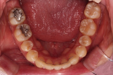
윗니는 좌측 작은 어금니가 한 개 모자랐고 아랫니는 앞니 하나가 모자라네요.
그런데 앞니는 아랫니가 1개 모자란 채로 교합이 맞춰져서 윗니가 하나 부족한 채로 애매한 상태였어요.
추가 발치
매우 고민이 많이 되었던 부분인데요.
이제와서야 추가로 발치를 한다는 건 기간이 기본 2년 가까이 소모된다는 뜻이라 매우 조심스러울 수 밖에 없었어요.
그래도 많은 점들을 개선하기 위해서는 어쩔 수 없는 선택이긴 했습니다.
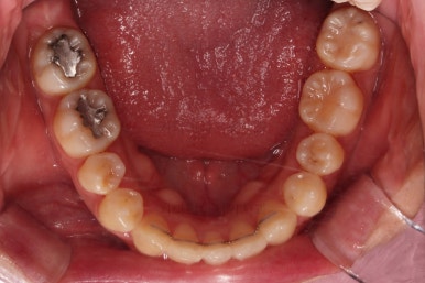
윗니만 추가적으로 발치를 1개 더 했어요.
아랫니는 최대한 추가 발치 없이 후방의 송곳니를 당겨와서 앞니 역할을 하게 했습니다.(총 4개 앞니처럼)
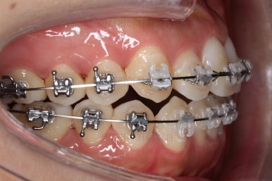
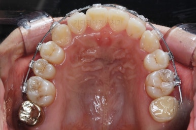
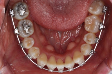
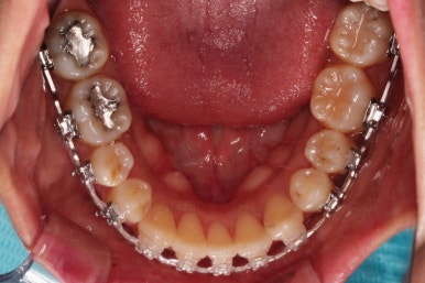
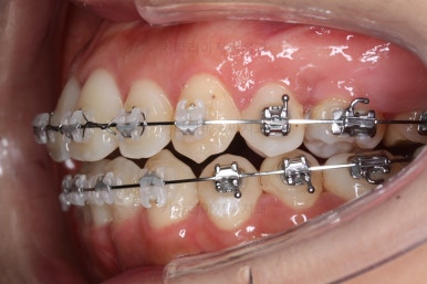
부분적으로 장치 셋팅을 다시 해줬고요.
중간중간 얼굴모습 체크해 주고요.
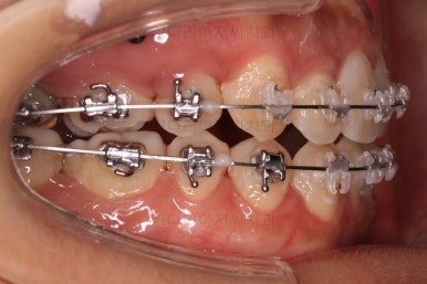
밀고 당기기를 위해서 미니스크류를 셋팅했고요.
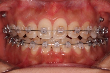
교합과 중앙선 및 디테일을 맞춰 나갑니다.
부산재교정 이니만큼 원하는 부분을 최대한 수용하여 개선하고 마무리를 합니다.
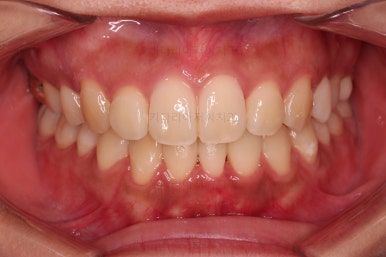
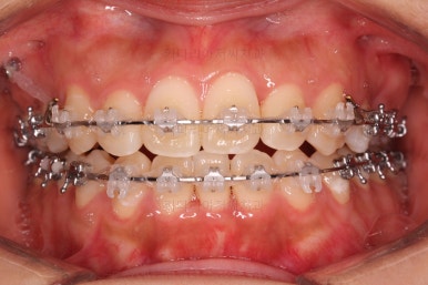
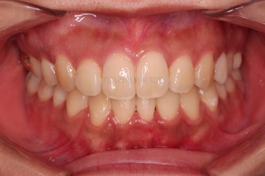
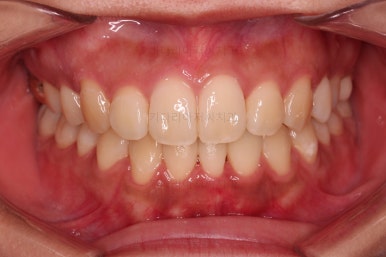
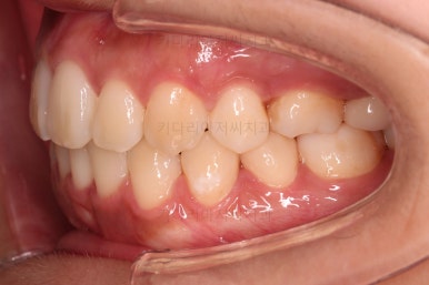
중앙선, 교합, 앞니 맞물림 등 모든 것이 좋아졌네요.
이제 부산재교정 전후 비교를 해볼게요.
교합, 정중선 모두 좋아졌고요.
입도 약간 더 들어가면서 예쁜 옆라인이 되었네요.
웃을 때 한 쪽으로 쏠려있던 중앙도 개선되어 예뻐졌고, 치아 높낮이도 조절하여 웃을 때 보이는 앞니의 길이도 매우 예븐 정도로 조절이 되었습니다.
이상 아래 앞니를 뽑고 교합과 정중선, 돌출감이 애매했던 환자분이 부산재교정 치료했던 사례였습니다.
부산 연산동 교정치과 키다리아저씨치과에 오시는 길은 연제구 연산동 연산역 17번출구 바로 앞 건물 6층입니다.
치과교정과 전문의(부산대 외래교수)가 상주하며 교정치료 합니다.
<위 사진은 환자분의 동의를 구한 후 공개하는 사진자료입니다. 사진은 과장이나 조작이 없는 원본사진입니다. 교정치료로 인한 부작용으로는 치근흡수, 충치, 치아변색, 실활 등이 있을 수 있으며, 치료 전후 사진은 의료법 제 23조, 제 56조에 의거하여 게재합니다. 개인의 상태에 따라 치료결과는 달라질 수 있으므로, 교정전문의와 상의를 요합니다.>

















































































































댓글