부산재교정 키다리아저씨치과에서 시행한 이원교정(feat. 영구치 결손)
- 키다리아저씨치과

- 2025년 10월 16일
- 3분 분량
키다리아저씨치과는 치과교정과 전문의(부산대 외래교수)와 통합치의학과 전문의 원장님이 상주하며 협진하는 치과입니다. 부분교정에서부터 난이도 높은 교정진료는 교정과 원장님이 진료를 하며, 임플란트, 사랑니발치, 충치치료, 틀니 등 일반진료는 통합치의학과 전문의 원장님이 진료합니다.
교정과 일반진료의 협진으로 자기치아를 최대한 아끼고 오래 쓰는 방법을 고심하며 수준 높은 진료를 제공합니다.
안녕하세요.
오늘 부산재교정 키다리아저씨치과에서 소개해 드릴 환자분은 1년여 교정치료를 받으시다가 기존 치과와의 대화 및 신뢰 문제로 치과를 옮기고 싶어하셨던 환자분입니다.
나이 : 20세
총 치료기간 : 2년 6개월(총 30개월)
사용한 장치 : 자가결찰 금속(엠파워 메탈, Empower metal) + 미니스크류
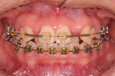
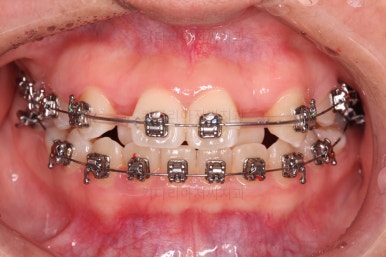
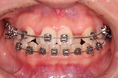
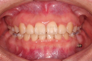
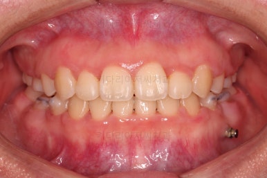
초진 때의 입안 모습입니다.
원래 다니던 치과에서 1년여 교정치료를 진행하신 상태였는데요.
몇 가지 이상한 점이 보이죠?
한 쪽만 발치가 되어있다.
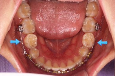
아랫니에 유치가 2개가 그대로 남아있다.(화살표)
몇몇 이아에는 장치가 부착되어 있지 않다.
치과의사는 저마다의 스토리를 가지고 교정치료를 하기 때문에 나름의 논리와 방법으로 치료를 하셨겠지만 문제는 환자분이 느끼는 소통의 부재, 신뢰 상실 등이었어요.
그래서 치과를 옮기고자 알아보고 계시던 와중에 저희 키다리아저씨치과를 찾아오시게 된거였죠.
마찬가지로 초진 시의 얼굴모습이에요.
삐뚤한 앞니로 인해 활짝 못 웃으시는 상태였고, 입을 다물었을 때 돌출감이 느껴졌어요.
지금까지의 치료계획은 상관 없이 제 나름의 치료계획을 환자분과 상의하여 결정하기로 했어요.
몇 가지 결정 포인트가 있었는데요.
돌출입을 느끼는가? 개선하고 싶은가?
유치는 쓸 때 까지 계속 써 볼 것인가? 장기적인 예후가 불분명하다면 뽑을 것인가?

우선 X-ray를 확인해 봤을 때, 아랫니 유치는 상태가 나쁘지 않아 그냥 쓰려면 한동안 계속 쓸 수는 있겠으나 영구치만큼 오래 쓸 수 있다는 보장이 없었고요.
해당 위치의 원래 영구치보다 크기가 커서 교합을 맞추는데 있어서도 문제가 있었어요.
그리고 무엇보다도 환자분이 입을 좀 넣고 싶어 하셨기 때문에 발치교정을 고려해야 하는 상황에서 당연히 유치를 뽑는게 가장 합리적인 선택이었죠.
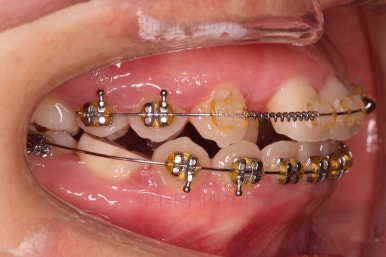
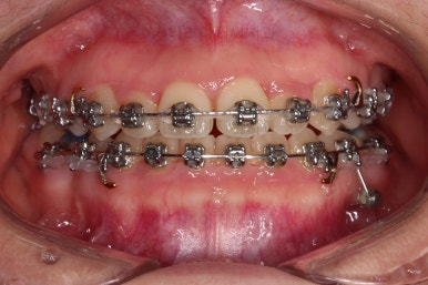
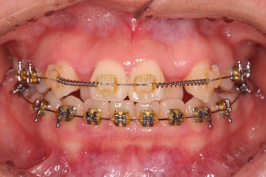
우선 장치를 저희 키다리아저씨치과에서 사용하는 장치로 바꿔 부착을 했어요.
세라믹에서 메탈로 안좋아진 것 아닌가요?
왼쪽이 처음 내원하셨을 당시의 입안 모습이고요. 오른쪽이 장치를 바꿔 부착한 이 후의 모습이에요.
세라믹에서 메탈로 다운그레이드 된 것처럼 보이죠?
사실은 훨씬 좋아진 장치랍니다.
유심히 보시면 왼쪽은 철사를 장치와 연결시키기 위해서 노란색 고무줄로 일일이 묶어줘야 하는 타입인데 비해, 오른쪽은 철사를 묶는 고무줄이 안보이죠?
바로 "자가결찰장치"라고 해서 브라켓에 일일이 뚜껑이 달려 있어서 철사를 장치 스스로가 직접 잡아주는 타입이에요.
그래서 메탈이라고 다 예전장치가 아니라는거죠.
메탈이라고 모두 예전 장치가 아니고 세라믹이라고 모두 최신 장치가 아닙니다.
자가결찰이 예전 장치에 비해 장점이 훨씬 많아서 아무리 세라믹이라고 한들 자가결찰 메탈이 훨씬 좋은 장치에요.
자가결찰 중에서도 재료가 메탈이 있고, 세라믹도 있어요.
(자가결찰 메탈, 자가결찰 세라믹 등)
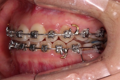
딱 한 개의 치아만 발치되어 있었는데 추가적으로 균형을 맞추기 위해 반대편 치아도 발치를 하고 아랫니 유치도 뽑았어요.
유치 어금니는 크기가 매우 크기 때문에 빈자리 만큼 모두 앞니를 뒤로 당기면 입이 너무 들어가게 된답니다.
따라서 얼마나 효과적인 방법으로 적절한 양만큼 어금니를 앞으로 당겨올 것인가가 이번 치료의 핵심이었어요.
입이 너무 들어가지 않게 중간중간 얼굴모습을 수시로 확인해 주고요.
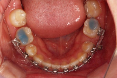
미니스크류가 등장했네요.
아랫니는 아무 생각 없이 당기기 해주면 앞니가 너무 들어가 입이 합죽해질 수 있으니 앞니가 들어가는 양을 조절하기 위해서 미니스크류를 사용해주어요.
적절한 시기부터는 어금니만 100% 앞으로 당겨와야 했기 때문이죠.
비슷한 방법으로 계속 당기기를 해줍니다.
이 과정이 매우 어렵고 시간도 많이 걸려요.
보통 유치 어금니를 뽑고 어금니만 거의 대부분 앞으로 당겨와야 하는 상황에서는 3년 혹은 그 이상도 보셔야 한다고 말씀 드리는 편이에요.
특히 이번 환자분은 저희 치과에 내원을 하기 전에 이미 1년 정도 교정치료를 하신 상태라 이원해서 치료를 하는 키다리아저씨치과의 입장에서도 마음이 조금 조급해지긴 했어요.
유치 발치와 어금니를 당겨오는 과정을 키다리아저씨치과에 내원하신 이후로 진행했기 때문이죠.
치아의 중앙선과 입매도 수시로 체크해 주고요.
적절하게 마무리를 하기로 했답니다.
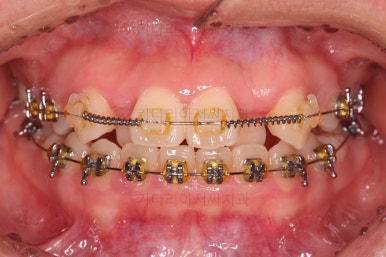
이원교정을 하신지 총 30개월 만에 남아있던 유치 자리가 잘 다물어졌고요.
이 뽑은 자리도 잘 메워졌고, 앞니도 가지런해졌어요.
위아래 치아 갯수도 동일하게 교합도 잘 맞췄고요.
예상보다 빠른 기간 안에 매우 만족스러운 치료였어요.
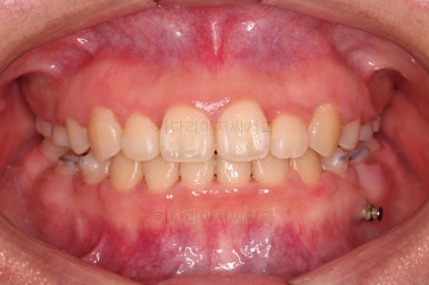
부산재교정 전후사진을 비교해 볼게요.
치열의 모습이 참 좋아졌고, 입매도 본인이 원하는 수준까지 좋아졌어요.
처음부터 환자분과 맞는 치과를 잘 선택하셨다면 덜 고생을 하셨을텐데, 그래도 매우 만족스러운 부산재교정 치료결과였어요.
이상 영구치 결손 및 유치 잔존 환자분이 타치과에서 교정치료를 하던 중 이원하여 부산재교정 했던 치료사례였습니다.
키다리아저씨치과에 오시는 길은 연제구 연산동 연산역 17번출구 바로 앞 건물 5, 6층입니다.
치과교정과 전문의(부산대 외래교수)와 통합치의학과 전문의(서울대학교 졸업) 2명이 상주하며 교정치료와 일반치과치료를 협진하여 진료합니다.
<위 사진은 환자분의 동의를 구한 후 공개하는 사진자료입니다. 사진은 과장이나 조작이 없는 원본사진입니다. 교정치료로 인한 부작용으로는 치근흡수, 충치, 치아변색, 실활 등이 있을 수 있으며, 치료 전후 사진은 의료법 제 23조, 제 56조에 의거하여 게재합니다. 개인의 상태에 따라 치료결과는 달라질 수 있으므로, 교정전문의와 상의를 요합니다.>





































































































































댓글