부산재교정치과 키다리아저씨치과에서 시행한 타치과에서 이원하여 재교정한 치료사례(임플란트 + 교정 병행이 가능한 치과)
- 키다리아저씨치과

- 2025년 10월 27일
- 2분 분량
키다리아저씨치과는 치과교정과 전문의(부산대 외래교수)와 통합치의학과 전문의 원장님이 상주하며 협진하는 치과입니다. 부분교정에서부터 난이도 높은 교정진료는 교정과 원장님이 진료를 하며, 임플란트, 사랑니발치, 충치치료, 틀니 등 일반진료는 통합치의학과 전문의 원장님이 진료합니다.
교정과 일반진료의 협진으로 자기치아를 최대한 아끼고 오래 쓰는 방법을 고심하며 수준 높은 진료를 제공합니다.
안녕하세요.
오늘 부산재교정치과에서 소개해 드릴 환자분은 3년정도 타치과에서 교정치료 중이셨으나 교정치과를 옮기고 싶어하셨던 분이며 교정치료 후, 임플란트 치료까지 필요하셨던 환자분입니다.
나이 : 34세
총 치료기간 : (이전 치과에서 3년 정도) + (본원에서 임플란트 완료시까지) 2년 8개월(총 32개월)
사용한 장치 : 자가결찰 세라믹(클리피씨) + 미니스크류)
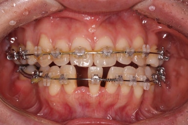
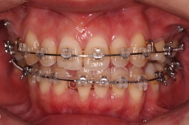
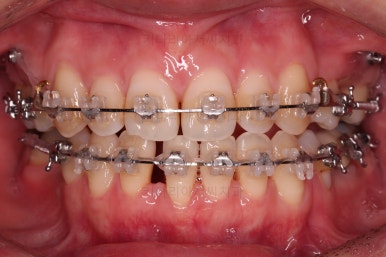
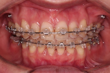
부산재교정치과 초진 시, 얼굴 모습이에요.
보시다시피 교정장치가 부착되어 있는 상태였죠.
앞니도 거꾸로 물리고 아랫니 사이에 틈도 있고요.
얼핏봐도 진행 중이지만 할게 많이 남았다는 걸 알 수 있었습니다.
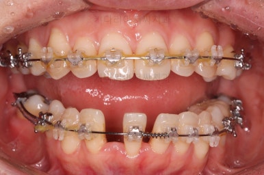
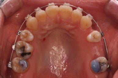
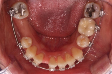
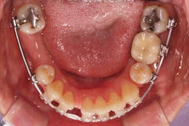
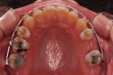
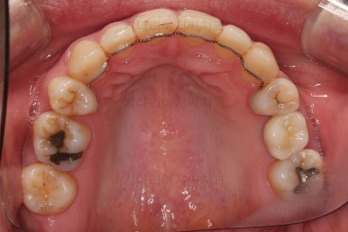
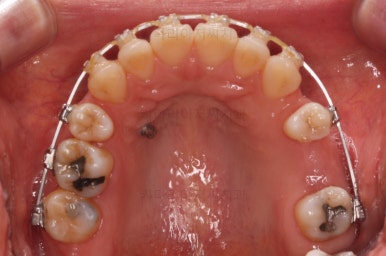
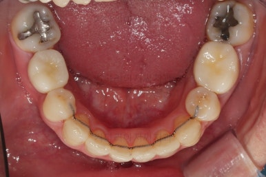
입 안의 모습입니다.
위 아래 어금니가 1개씩 없고, 추가적으로 작은 어금니는 교정적 이유로 발치가 되어있네요.
남아있는 틈새는 산발적으로 흩어져 있는 상황이었고요.
환자분 : "치과를 옮기고 싶어요."
키다리 : "진행 중이시라면 다니시던 치과가 상황을 잘 알거라서 계속 진행하시는게 낫지 않을까요?"
환자분 : "3년 정도 했는데 뭔가 이상한 느낌이 들어서요."
교정치료는 몇 년이 걸리는 치료이기 때문에 장기적인 플랜과 스토리를 가지고 치료를 하게 됩니다.
그래서 최초로 계획을 세운 선생님이 치료를 가장 잘 알 것이고, 다른 교정과 의사가 중간에 개입ㅇ하면 완전히 다른 스토리를 짜야되는 경우가 많아 총 칠기간 측면에서 더 길어지는 경우가 많아요.
하지만 진행 중인 치과를 옮기고 싶어하시는 대부분의 이유는 "소통의 문제" 때문인 경우가 많아요.
환자분이 이상하다고 느끼는 부분이 분명 있을 수 있어요.
왜 이렇게 되고 있고 앞으로 이렇게 한다라는 설명과 대화를 원하시는 경우가 대부분이에요.
이번 환자분도 그랬죠.
뭔가 이상하다라는 것을 느꼈지만 불안감을 기존치과에서 해소하지 못했던거죠.
부산재교정치과 치료계획은 심플했어요.
공간을 적절히 모으고, 필요한 곳은 임플란트를 하며 교합을 맞춘다.
필요한 부위는 새롭게 장치를 부착하고, 쓸 수 없는 장치는 새 장치로 교체해 줬어요.
거꾸로 물려있던 앞니는 최대한 빨리 개선해 주었고요.
무리하게 힘을 받고 있던 아래 앞니는 최소한 힘을 받도록 장치 셋팅을 다시 했어요.
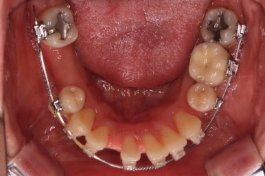
적절한 위치에 미니임플란트를 하여 밀고 당기고 교합을 맞추기 용이한 방향으로 치아를 움직여줘요.
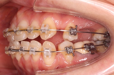
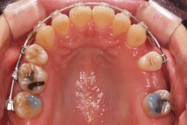
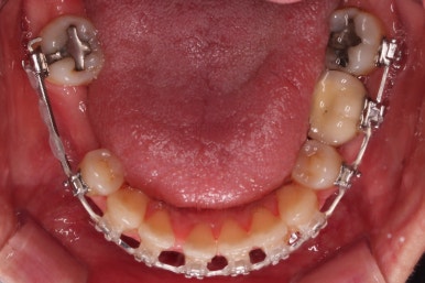
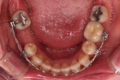
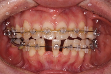
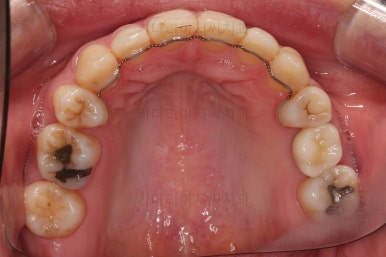
벌써 틈새가 어느 정도 정렬이 되는게 느껴지시죠?
저희 부산재교정치과로 이원하신ㄴ지 10개월만의 모습이네요.
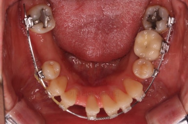
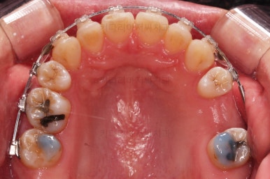
임플란트가 식립될 부위를 제외하고는 모든 틈을 모아주고요.
가능한 위아래 중앙선도 맞춰줍니다.
임플란트 공간이 적절하게 마련이 되었다면 임플란트 식립을 하고요.
최종적인 보철이 올라가게 되면 교정치료도 종료하게 됩니다.
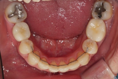
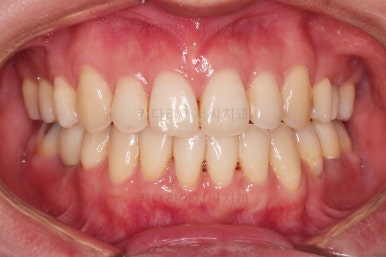
부산재교정치과 치료 종료 시, 모습인데요.
임플란트도 깔끔하게 완성이 되었고, 교합부터 치열의 느낌까지 매우 좋아졌네요.
전후사진을 비교해 볼게요.
전후가 정말 드라마틱하네요.
총 교정기간이 5~6년에 달할 정도로 치과를 옮겨 치료를 받으시느라 고생을 하셨는데요.
그래도 깔끔하게 마무리 되어 뿌듯했던 치료였습니다.
이상 부산재교정치과 교정 중이던 환자분이 치과를 이원하시어 재교정했던 치료사례로 교정치료 후, 임플란트까지 함께 진행했떤 환자분이었습니다.
키다리아저씨치과에 오시는 길은 연제구 연산동 연산역 17번출구 바로 앞 건물 5, 6층입니다.
치과교정과 전문의(부산대 외래교수)와 통합치의학과 전문의(서울대학교 졸업) 2명이 상주하며 교정치료와 일반치과치료를 협진하여 진료합니다.
<위 사진은 환자분의 동의를 구한 후 공개하는 사진자료입니다. 사진은 과장이나 조작이 없는 원본사진입니다. 교정치료로 인한 부작용으로는 치근흡수, 충치, 치아변색, 실활 등이 있을 수 있으며, 치료 전후 사진은 의료법 제 23조, 제 56조에 의거하여 게재합니다. 개인의 상태에 따라 치료결과는 달라질 수 있으므로, 교정전문의와 상의를 요합니다.>

















































































































댓글