부산인비절라인 키다리아저씨치과의 덧니교정 치료사례(인비절라인으로 발치교정도 가능할까?)
- 키다리아저씨치과

- 2025년 11월 25일
- 3분 분량
안녕하세요.
오늘 부산인비절라인 키다리아저씨치과에서 소개해 드릴 환자분은 덧니와 충치로 교정치료와 전반적인 치료를 원하셨던 분입니다.
나이 : 36세
총 치료기간 : 3년(총 36개월)
사용한 장치 : 인비절라인(Invisalign, 투명교정장치) + 미니스크류
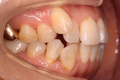
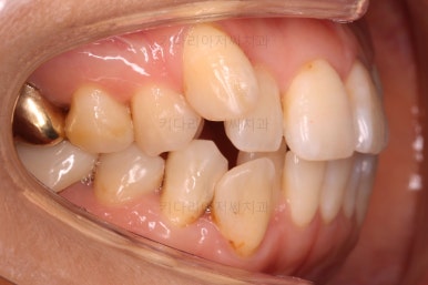
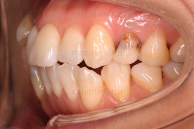
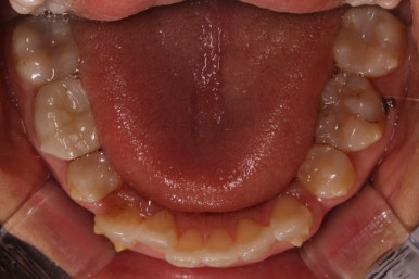
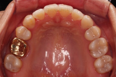
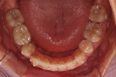
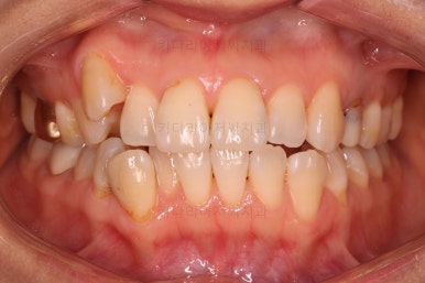
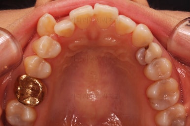
부산인비절라인 초진 시 입안의 모습입니다.
우선은 덧니가 눈에 띄고요.
군데군데 썩은 치아가 많이 보이네요.
특히 화살표로 표시된 치아는썩어서 반으로 쪼개져 있는 상태였어요.
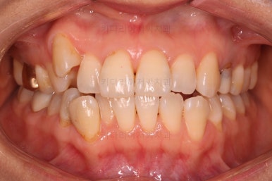
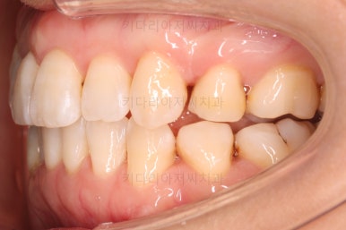
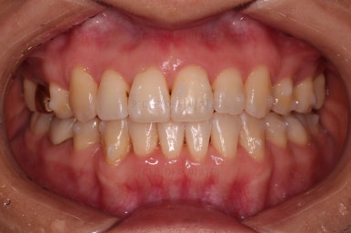
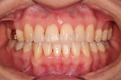
마찬가지로 부산인비절라인 초진 시 얼굴 모습인데요.
치료계획을 세울 때는 치열만 보는 것이 아니라 항상 얼굴 모습도 함께 고려를 해야 합니다.
적절한 앞니의 위치, 치열의 높낮이, 중앙선, 입술라인과 치열의 라인과의 조화 등 무수히 많은 요소들을 고려해서 발치를 할까, 말까 치열을 뒤로 당길까 말까, 앞니의 각도를 어떻게 할까 등등을 결정한답니다.
이번 환자분은 옆 라인에서 돌출감이 많이 보이지는 않는 분이어서 치열만 보면 비발치교정도 고려되는 환자분이였는데요.
부러진 치아도 있고, 추가적으로 충치치료를 해야 할 치아도 있어서 굳이 비발치를 고집하여 충치치료 갯수를 늘리고 추후 부러진 치아를 임플란트까지 해야 할 이유는 없었죠.
그래서 발치교정으로 넘어갔고요.
대신 입이 약간은 들어가되 많이는 들어가면 안되는 매우 난이도 높은 치료가 진행이 되었습니다.
많이 삐뚤지 않은 치열에서 발치교정을 하면 자칫 잘못하면 합죽한 입매, 옥니 등이 되기 쉽기 때문이죠.
이번 환자분이 선택하신 장치는 인비절라인인데요.
투명교정장치 중에 가장 정확도가 높고 기술력이 앞서있는 장치입니다.
그만큼 고가의 장치이긴 하지만 심미적으로 뛰어나고 양치하기도 편하여 최근 많이 찾고 계신 장치입니다.
중요한 일이 있을 때는 잠깐 빼두시면 감쪽같고, 교정한다고 입이 더 튀어나오거나 하는 일도 없기 때문에 심미적으로는 설측교정만큼이나 뛰어난 장치에요.
설측교정 vs 인비절라인
환자분은 처음에는 설측교정을 원하시어 내원하셨어요.
결국 심미성 때문이었는데요.
여러 가지 장단점을 설명드리고, 충분히 고민하신 후 인비절라인으로 택하셨어요.
인비절라인으로 결정하셨던 가장 큰 이유는 환자분께서는 포항에서 저희 치과를 찾아주신 분인데 집이 멀다보니 아무래도 내원 간격 맞추는 어려움이 예상되었어요.
특히나 설측교정은 불편감이나 장치 적응에 상당히 어려움이 있으신 분들이 많아 초반에 혹은 수시로 치과에 조절 받고 가시는 경우가 많거든요.
이러한 점을 고려해서 최종적으로는 인비절라인으로 택하셨던거죠.
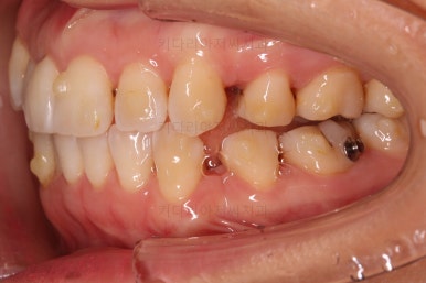
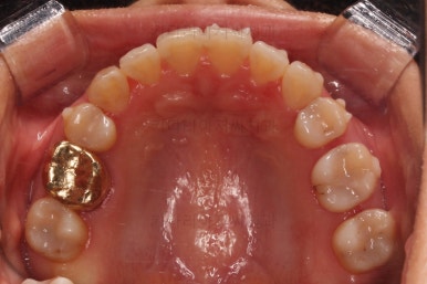
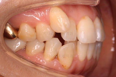
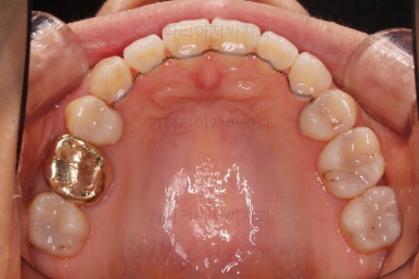
인비절라인 장치가 들어가기 전에 모든 발치가 되었고, 당장 급한 충치치료가 완료되었어요.
여전히 충치가 있어보이긴 하지만 지켜보면서 필요하면 치료를 하기로 했었고요.
유심히 보시면 보이실텐데 각 치아에 볼록볼록한 무언가가 부착이 되어있죠.
어태치먼트라고 하는데요.
인비절라인이 치아를 잘 움직여주게끔 하는 손잡이 역할을 하는 거랍니다.
따라서 투명교정장치라고해서 치아에 전혀 아무것도 부착되지 않는건 아니랍니다.
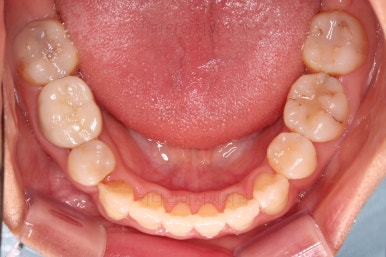
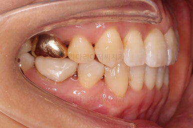
발치 공간을 줄이고 교합을 맞추고 치열이 많이 가지런해졌ㅇ요.
사실은 이 사진은 첫 번째 단계의 치료가 끝난 상황의 모습인데요.
보통 인비절라인은 첫 번째 계획에서 치료가 깔끔하게 종료되는 경우가 거의 없어요.
디테일이나 추가적인 마무리를 위해서 거듭 장치를 제작하게 되는데요.
5년까지는 무제한으로 장치 제작이 가능합니다.
인비절라인은 5년까지는 치료계획을 변경하든, 추가하든 계속 장치를 만들어줘요.
보통 치료계획은 수십단계의 세부 장치로 구성이 되는데요.
이런 계획을 거듭해 나가는거죠.
첫 번째 계획(1, 2, 3, ..... 단계 장치) -> 두 번째 계획(1, 2, 3, .... 단계 장치) -> 세 번째 -> 네 번째 -> ...
만족할만한 결과가 나올 때까지 미흡한 부분을 보완해 나간답니다.
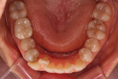
첫 번째 계획에서 미흡했던 부분을 두 번째 단계에서 보완했어요.
미세한 틈새, 들떠있는 교합 등 개선을 하였지만 이번에는 중앙선 부분이 아쉬웠어요.
이 정도에서 만족하시는 분들도 있지만 추가적으로 더 진행하기로 했땁니다.
이번 환자분은 충치치료된 치아들이 많아 좌우 치아 크기가 일치하지 않죠.
그래서 100% 중앙선을 맞추기는 힘들어요.
그래도 가능한 수준까지는 맞춰보기로 했답니다.
얼굴모습도 확인해주고요.
목표한대로 입을 조금은 넣되 많이는 넣지말자는 부산인비절라인 치료계획대로 얼굴모습은 만족스럽네요.
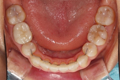
세 번째 치료계획에서 다시 틈새가 생긴걸 볼 수 있죠?
이는 어금니부터 한 칸씩 뒤로 뒤로 조금씩 밀면서 중앙선과 교합을 맞춰나가는 중이에요.
이 때 미니스크류도 사용이 병행된답니다.
인비절라인으로 발치교정이 가능한가요?
예전에는 투명교정장치로는 발치교정이 힘들었어요.
발치된 치아의 주위 치아들이 쓰러지고 비틀어지고 부작용이 많았는데요.
최근의 인비절라인은 장치 재질과 어태치먼트 그리고 효율적인 움직임 구성으로 발치교정도 깔끔하게 가능하답니다.
마지막에 약간의 틈새가 잡히지 않아 애를 먹었지만 여러 가지 방법을 통해 마무리를 잘 할 수 있었어요.
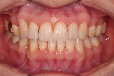
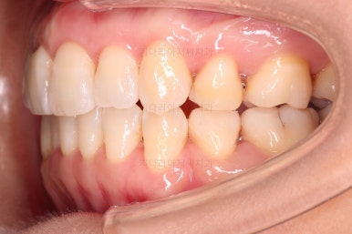
부산인비절라인 전후 비교를 해볼게요.
덧니가 개선되어 웃는 모습이 참 예뻐지셨어요.
입매도 너무 많이도 너무 적게도 안들어가고 좋은 라인으로 만들어드렸고요.
충치치료된 치아들의 크기 문제로 중앙선을 100% 맞추지는 못했지만 매우 만족스러운 수준이었습니다.
이상 발치교정을 부산인비절라인으로 깔끔하게 시행했던 치료사례였습니다.
키다리아저씨치과에 오시는 길은 연제구 연산동 연산역 17번출구 바로 앞 건물 5, 6층입니다.
치과교정과 전문의(부산대 외래교수)가 상주하며 교정치료 합니다.
<위 사진은 환자분의 동의를 구한 후 공개하는 사진자료입니다. 사진은 과장이나 조작이 없는 원본사진입니다. 교정치료로 인한 부작용으로는 치근흡수, 충치, 치아변색, 실활 등이 있을 수 있으며, 치료 전후 사진은 의료법 제 23조, 제 56조에 의거하여 게재합니다. 개인의 상태에 따라 치료결과는 달라질 수 있으므로, 교정전문의와 상의를 요합니다.>



































































































































댓글