부산인비절라인 키다리아저씨치과에서 시행한 치아교정에서 임플란트 치료사례
- 키다리아저씨치과

- 4일 전
- 4분 분량

"미니스크류를 이용한 투명교정장치에 관한 논문"으로 2023년도 Angle orthodontist(미국의 교정학회지) SCI 저널에 제 1저자로 게재되었습니다.
항상 공부하고 노력하는 키다리아저씨치과가 되겠습니다.
안녕하세요.
오늘 부산인비절라인 키다리아저씨치과에서 소개해 드릴 환자분은 결손치아가 있어 치열이 한 쪽으로 틀어지고 틈새가 많았으며 왜소치아, 유치잔존 등이 있었던 환자분의 교정치료 및 임플란트 치료사례입니다.
나이 : 29세
총 치료기간 : 2년 11개월(총 35개월, 임플란트 완료시까지)
사용한 장치 : 인비절라인(Invisalign) + 미니스크류
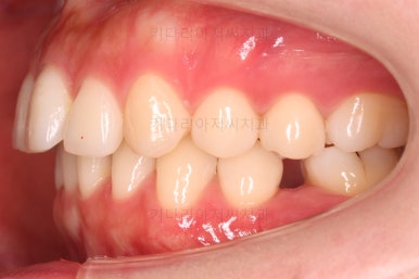
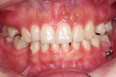
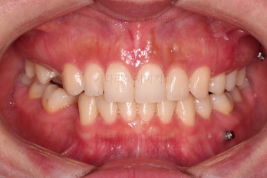
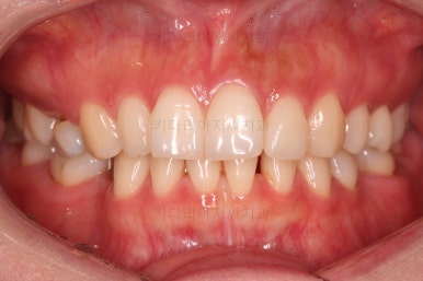
부산인비절라인 초진 시 얼굴모습 입니다.
언뜻 보면 치열도 가지런해 보이고 나쁘지 않죠?
대신 자세히 보면 윗니의 중앙이 얼굴기준 오른쪽으로 돌아가는 걸 볼 수 있습니다.
보통 중앙은 인중~윗입술 중앙을 연결하는 가상의 중앙선과 일치하면 가장 좋은데요.
이번 환자분은 어떤 이유에서인지 우측으로 매우 틀어져 있었어요.
입을 다물었을 때 약간 힘이 들어가는 것 제외 큰 문제는 없어보이고요.
뭐가 문제인지, 어떻게 개선해야 하는지 입 안을 봐야 정확할 것 같네요.
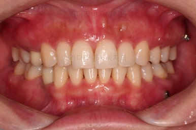
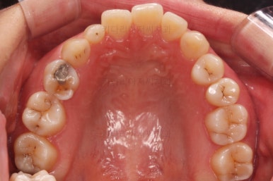
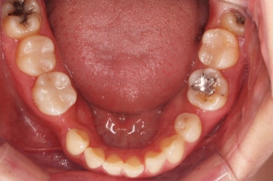
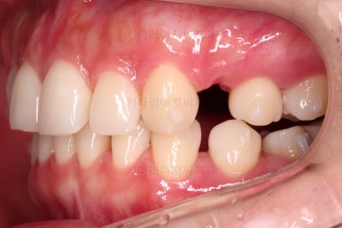
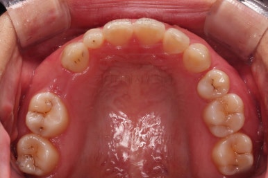
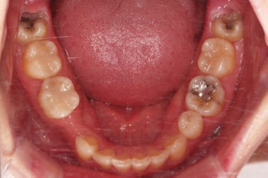
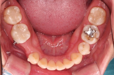
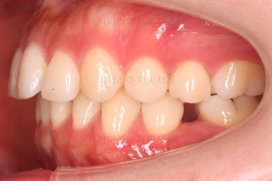
초진 시 입안의 모습인데요.
왜 그런지 비밀이 풀리는 것 같죠?
윗니는 한 쪽이 치아 2개가 결손이면서 유치가 하나 남아있고요.
아랫니는 한 쪽은 1개, 반대편은 2개 치아가 결손이었습니다.
도합 5개의 치아가 결손이었는데요.
결손 위치의 갯수가 위아래 좌우 다 달라서 중앙선이 맞을래야 맞을 수가 없는 상황이었죠.
결손치아 주위 치아들은 쓰러지고 비틀어져 있어서 장기적으로 좋지 못한 상황이었고요.
좀 더 디테일하게 윗니 작은 앞니 1개가 왜소치아라서 치아 크기도 맞지 않은 상황이었습니다.
결손치아 5개 = 임플란트 5개?
부산인비절라인 키다리아저씨치과 블로그를 꾸준히 보신 부늘은 아시겠지만 치아가 없다고 꼭 그 갯수대로 임플란트를 해야 하는 건 아닙니다.
얼굴모습, 교합, 치아배열 상태 등등 모든 점을 고려해서 이리 밀고 저리 밀어 임플란트 갯수를 최소화 하는데요.
이번 환자분도 임플란트 2개로 마무리 하기로 계획을 세웠습니다.
결손이 없는 부위에 추가적으로 발치 1개를 더 하고요.
나머지 부위는 적절하게 공간을 모은 뒤에 치아 갯수가 너무 부족한 부분만 선별적으로 임플란트를 하기로 했죠.
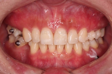
장치 부착 직후의 모습인데요.
장치가 어디있냐고요?
이번 환자분이 선택하신 장치는 인비절라인이라는 투명교정장치였기 때문에 치아에는 유심히 관찰해 보면 보이는 작은 치아색깔의 어태치먼트라는 버튼 이외에는 부착물이 없답니다.
저 상태로 투명교정장치를 빼고 끼면서 치아를 움직이게 됩니다.
필요한 발치, 급한 충치치료는 마무리된 상태이고요.
이번 환자분은 부산인비절라인 진행하기에 매우 까다로운 조건이었는데요.
왜 인비절라인으로 하기 힘든 케이스인가?
약간의 과개교합 형태입니다. 일반적으로 어금니 씹는 면까지 덮는 인비절라인의 특성상 앞니의 과개교합 개선이 쉽지만은 않거나 없던 과개교합이 생기기도 하는데요. 이번 환자분도 약간의 가과개교합 패턴이었습니다.
발치교정. 기술의 발달로 발치교정도 인비절라인으로 무난하게 진행되긴 하지만 여전히 비발치교정 보다는 신경 쓸 부분이 많은 건 사실입니다.
결손치아. 무려 5개나 치아가 없었던 상황이었고 2개 제외하고는 공간도 다 모아줘야 하는 상황에서 특히 어금니도 앞으로 당겨와야 되는 등 인비절라인이 아니더라도 난이도 자체가 높은 교정케이스입니다.
비대칭. 정중선이 저렇게 많이 벗어난 경우, 한 쪽으로 밀고 당기기를 해야 하는데 이 역시 미니스크류가 필수적으로 들어가야 할 만큼 난이도가 있는 케이스입니다.
하지만 환자분의 니즈를 바탕으로 인비절라인으로 진행하기로 했습니다.
유치 발치 공간은 1개 사이즈로만 남기고 줄여 나가기로 했어요.
아랫니도 1개 빈공간은 없애고, 2개 빈공간은 1개 사이즈로만 남기기로 했습니다.
추가 발치공간은 공간폐쇄를 해서 정중선을 개선하는데 이용했습니다.
애초에 입매가 나쁜 편이 아니었기 때문에 자칫하면 공간을 줄이는 과정에서 입이 너무 들어갈 수 있기 때문에 최대한 입매를 자주 체크해 줍니다.
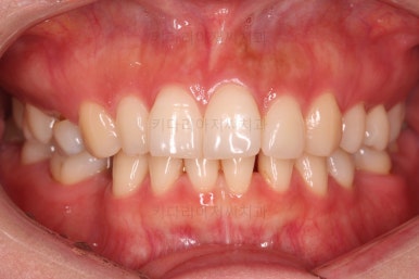
부산인비절라인 치료 시작 5개월만의 모습입니다.
일반적인 철사교정보다 인비절라인이 가지는 장점은 배열->공간폐쇄->마무리 로 단계별로 나뉘는 철사교정에 비해 이 세 단계를 동시에 진행할 수 있어서 치료기간에 이득이 되는 경우가 많다는 점인데요.
5개월만에 벌써 많은 부분이 개선되었네요.
공간폐쇄가 다 되었고, 치열도 매우 가지런해졌습니다.
첫번째 치료가 끝난 것인데요.
아직 모자란 부분들이 많습니다.
중앙선이 아직 기대에 못미치고요. 100% 공간이 정렬이 덜 되었습니다.
교합도 아직 부족하고요.
인비절라인은 첫번째->두번째->.... 치료를 거듭해서 결과물을 만들어내는데요.
몇 개월에 걸친 첫번째 치료를 끝내고 이어서 두번째 치료를 위해 새로 본 뜨고, 장치제작을 하게 됩니다.
매번의 치료를 위한 장치제작 기간은 약 5주가 소요가 되는데요.
이러한 장치 제작 기간이 치료 중간중간 들어가다 보니 총 치료기간은 철사교정과 비슷하거나 오히려 약간 더 걸리는 양상이긴 합니다.
두번째 치료를 시작합니다.
이번 치료의 목표는 공간을 좀 더 재분배하고요.
부족한 교합을 맞추고 정중선을 맞춰나가야 합니다.
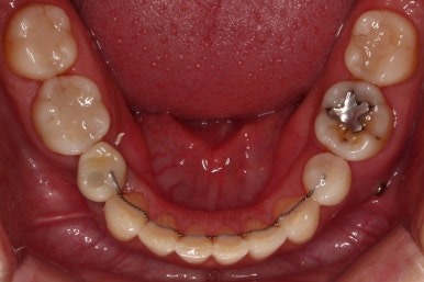
미니스크류는 필수로 사용되고요.
장치 착용 모습인데요.
교정 중임에도 불구하고 거의 눈에 띄지 않는다는 압도적인 장점이 있죠.
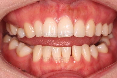
공간, 교합, 중앙선 모두 매우 좋아지고 있습니다.
윗니 한 쪽만 왜소치여서 100% 중앙선을 못맞추는 건 환자분 본인도 잘 아시는데요.
그래도 할 수 있는데까지 해보기로 했습니다.
역시 얼굴모습을 자주 확인해 주고요.
중앙선도 처음보다 매우 좋아진 양상입니다.
옆모습도 큰 변화없이 양호하게 진행중이고요.
디테일을 위해서 세번째 치료까지 진행이 되었고요.
안되는 부분과 추가 개선 기능 부분 등을 논의 후에 서서히 종료를 논의 합니다.
이번 환자분은 교정치료 종료 후에도 임플란트도 2개 진행해야 되기 때문에 적절하게 치료시간 분배를 잘 했어야 했는데요.
임플란트 보철까지 잘 세팅이 된 후 마무리 하게 되었습니다.
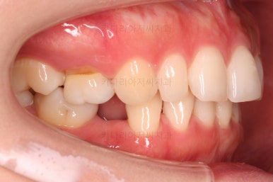
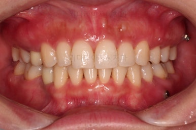
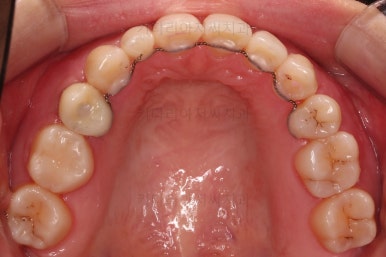
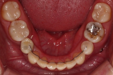
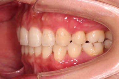
임플란트까지 잘 들어간 후 마무리 했고요.
결손공간 없이 상하좌우 모두 같은 갯수의 치아로 치료가 잘 종료되었습니다.
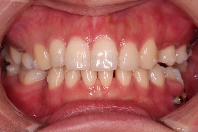
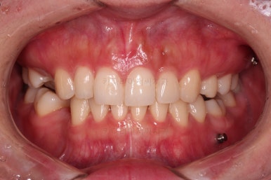
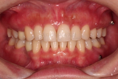
부산인비절라인 전후 비교해 볼게요.
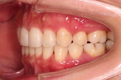
가장 신경쓰였던 부분이 입매가 양호한 상태에서, 추가 발치에 결손공간까지 폐쇄 해야 하는 상황이어서 입이 더 들어가지나 않을까 하는 점이었는데요.
매우 세심한 컨트롤로 입매는 매우 양호하게 잘 마무리가 되었습니다.
당연히 빈공간에 대한 처리도 잘 되었고요.
얼굴에 대한 중앙선도 잘 마무리 되었습니다.
만약 이 상황에서 좀 더 예쁘게 하고 싶다면 왜소치아를 크기를 키운다면 중앙선의 앞니의 느낌이든 좀더 나아질 수 있었을텐데, 이 부분은 필수가 아니니깐요.
어쨌든 모든 부분에서 인비절라인으로 잘 마무리가 된 환자분이었습니다.
이상 결손치아가 5개 있었고, 비대칭, 유치잔존 환자분을 부산인비절라인으로 교정치료 후 임플란트 2개로 마무리를 한 치료사례였습니다.
부산 연산동 교정치과 키다리아저씨치과에 오시는 길은 연제구 연산동 연산역 17번출구 바로 앞 건물 6층입니다.
치과교정과 전문의(부산대 외래교수)가 상주하며 교정치료 합니다.
<위 사진은 환자분의 동의를 구한 후 공개하는 사진자료입니다. 사진은 과장이나 조작이 없는 원본사진입니다. 교정치료로 인한 부작용으로는 치근흡수, 충치, 치아변색, 실활 등이 있을 수 있으며, 치료 전후 사진은 의료법 제 23조, 제 56조에 의거하여 게재합니다. 개인의 상태에 따라 치료결과는 달라질 수 있으므로, 교정전문의와 상의를 요합니다.>



















































































































































댓글