부산인비절라인 키다리아저씨치과에서 시행한 비발치 덧니교정 + 주걱턱 치료사례
- 키다리아저씨치과

- 3월 11일
- 3분 분량
"미니스크류를 이용한 투명교정장치에 관한 논문"으로 2023년도 Angle orthodontist(미국의 교정학회지) SCI 저널에 제 1저자로 게재되었습니다.
"2023년 대한치과 교정학회에서 표창장을 수여하였습니다."
"2023년 세계 구순구개열 학회에서 포스터 발표를 하였습니다."
항상 공부하고 노력하는 키다리아저씨치과가 되겠습니다.
안녕하세요.
오늘 부산인비절라인 키다리아저씨치과에서 소개해 드릴 환자분은 덧니가 있었고 약간의 주걱턱 경향의 교합을 가진 환자분입니다.
나이 : 31세
총 치료기간 : 2년 9개월(총 33개월, 장치 제작기간 포함)
사용한 장치 : 인비절라인(투명교정장치, Invisalign) + 미니스크류
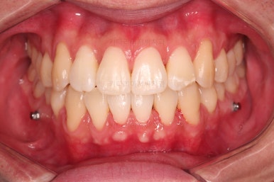
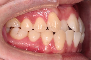
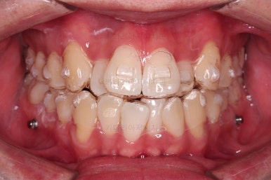
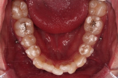
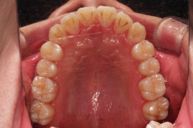
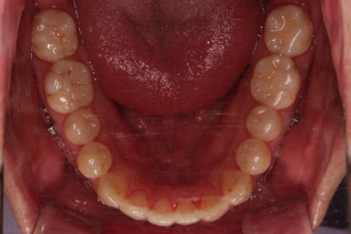
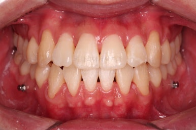
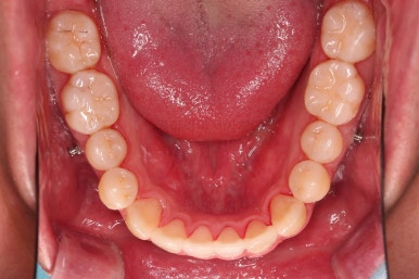
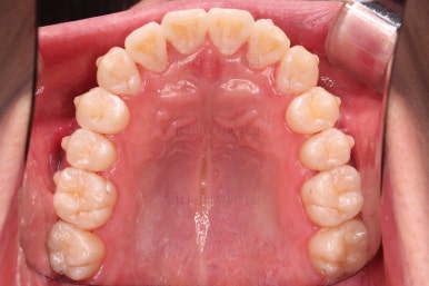
1. 초진
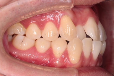
초진 시 입안의 모습입니다.
위아래 앞니쪽이 많이 삐뚤어 있고요.
측면에서 바라본 모습은 아랫니가 전반적으로 약간씩 앞으로 나와있어서 어금니~앞니까지 교합이 애매한 상황이었습니다.
약간의 주걱턱 경향을 가진 분이었습니다.
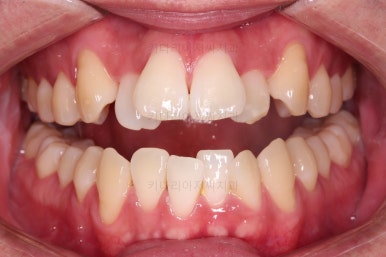
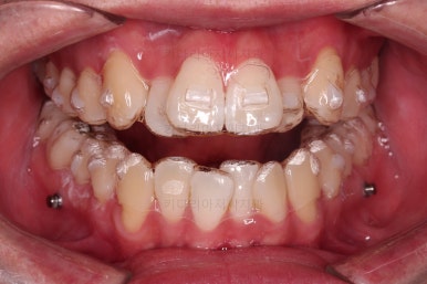
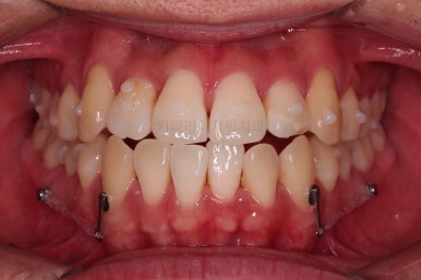
마찬가지로 초진 시 얼굴 모습인데요.
옆라인이 많이 나쁘진 않았으나 굳이 아쉬움을 찾자면 아랫입술 부위가 앞으로 약간 나와있는 양상이어서 마치 아래턱 자체가 튀어 나온듯한 주걱턱 느낌을 묘하게 만들어내고 있는 상황이었습니다.
웃거나 말할 때 드러나는 치열이 심미적이지 못하고요.
입을 다물었을 때의 편안한 느낌은 나쁘지 않습니다.
2.. 치료계획
✅ 비발치 교정
이번 환자분은 비발치로 개선을 하기로 했는데요.
아무런 조치 없이 가지런하게 해버리면 삐뚤었던 치열이 앞으로 밀려나오면서 입이 튀어나오거나 앞니가 뻐드러지는 경우가 많습니다.
따라서 입이 튀어나오지 않도록 심지어는 약간 더 뒤로 넣을 수 있게끔 장치구성을 하기로 했습니다.
물론 발치교정을 해서 적극적으로 입을 넣는 치료를 할 수도 있었지만 환자분의 니즈와 공간분석, 호흡기/혀/입술 등의 기능적 요소까지 고려하여 비발치가 가장 적합하겠다는 결론을 내렸습니다.
✅ 인비절라인
이번 환자분은 인비절라인 장치를 선택하셨고요.
당연히 인비절라인을 선택하는 가장 중요한 이유는 심미성이며 두 번째는 양치나 관리의 수월함입니다.
인비절라인이 아니면 안되는 치료는 사실상 거의 없고, 각 장치마다의 장단점을 충분히 설명 드린 뒤, 선택하기게끔 하고 있습니다.
3. 치료경과
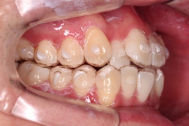
약 5주 가량의 주문제작·배송 기간이 소요되며 처음 장치를 드리고 착용한 모습입니다.
5주 가량의 기간동안 필요한 발치(사랑니 발치) 혹은 미니스크류 등은 미리 세팅하게 됩니다.
인비절라인 내면에 물을 묻혀 착용하게 되면 특유의 이질감이 덜하고 좀 더 코팅 되듯이 밀착되는 느낌이 드실겁니다.
부산인비절라인 장치를 사용한 직후의 얼굴모습인데요.
유심히 보면 어태치먼트라던지 투명장치의 두께와 표면성향이 주는 느낌때문에 이질감이 있긴 하지만 멀리서 얼핏 보면 잘 모를뿐더러 철사교정장치에는 비할 바 없이 매우 우수한 심미성을 보여줍니다.
또한 중요한 일이 있거나 대인관계시 장치를 잠깐 벗어놓고 있으면 되기 때문에 심미성은 더 좋아집니다.
얼굴모습은 약간 변하는데요.
인비절라인의 특성상 씹는 면을 덮고 있기 때문에 평소보다 치아가 약간 덜 다물어진 상황에서 입술만 다무는 느낌 때문에 얼굴모습도 약간 부자연스러워지긴 합니다.
하지만 큰 차이는 아니죠.
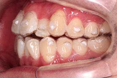
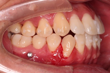
유심히 보시면 어금니쪽에서, 특히 아랫니 어금니쪽에 틈이 생기는 것을 확인하실 수 있을텐데요.
미니스크류와 인비절라인, 고무줄을 이용해서 어금니부터 한 칸 한 칸 뒤로 밀고 있습니다.
그래야만 약간의 주걱턱 교합을 제대로 맞출 수 있는건데요.
부산인비절라인 단독으로만 치료되는 경우도 있지만, 미니스크류를 병행하면 훨씬 우수한 결과를 만들어낼 수 있습니다.
점점 치열이 바르게 되어가고 있죠?
Q. 인비절라인은 어디서 하든 결과가 같을까요?
답은 당연히 NO 입니다.
치료하는 치과의사의 컨셉과 계획에 따라서 어태치먼트의 위치와 미니스크류의 여부, 그에 따라 치료결과가 매우 차이가 큽니다.
또한 인비절라인 매 단계마다 치아가 정확히 움직이지 않기 때문에 매 순간마다 예측치 모샇ㄴ 변수들을 컨트롤 해줘야 하는데요.
이러한 점들 때문에 치과의사의 역량도 매우 중요합니다.
✅ 평균적으로 대략 3회 정도 장치를 제작하게 됩니다.
인비절라인은 프로그램에 따라 다르긴 하지만 전체교정의 경우 5년 이내 무제한의 장치를 제작해 줍니다.
1회의 제작(1개의 장치라는 말은 아니고, 수 십단계로 구성된 하나의 치료계획을 위한 장치 세트를 뜻합니다.) 만으로 치아가 정확히 움직이지 않는다는 것을 인비절라인 회사도 감안한다는 뜻이겠죠.
당연히 100% 계획대로 움직이지 않기 때문에 일종의 리터칭을 몇 번 더 해주게 됩니다.
그래서 치과의사의 역량이 중요하다는 것이며, 부산인비절라인 치과마다 결과가 매우 다르게 나타납니다.
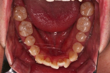
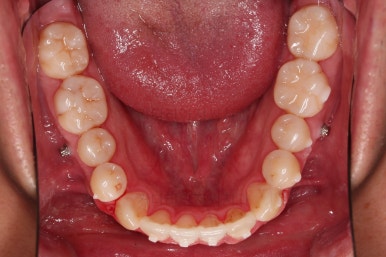
1회으 full set가 종료된 시점의 모습인데요.
어느 정도 가지런한 느낌은 만들어졌으나, 교합이라던지, 주걱턱 패턴은 아직 모자랍니다.
당연히 추가적인 set를 제작하게 됩니다.
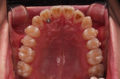
두 번째 set의 시작 시점입니다.
입매는 좀 더 개선되면 좋겠고요.
웃을 때 드러나는 치열은 지금도 나쁘지 않고 많이 좋아졌습니다.
윗니의 뻗침과 약간의 돌출감을 더 잡기 위해서 미니스크류를 지속적으로 활용해 주면서, 이번에는 위아래 어금니쪽을 모두 틈을 만들어 나갑니다.
두 번째 set 마무리 사진인데요.
첫 번째 set보다 훨씬 좋아졌으나 약간의 개선이 필요한 부분들이 보여 부산인비절라인 추가제작을 하기로 했습니다.
세 번째 set를 진행하고요.
디테일을 손보고 마무리 하게 됩니다.
4. 마무리
총 33개월이라는 기간이 걸렸는데요.
중간중간 장치 제작기간에서 소요되는 시간이 있다는 점, 치열을 뒤로 밀기 위해서 한 칸 한 칸씩 움직이므로 시간이 좀 더 걸린다는 점이 부산인비절라인의 특징입니다.
전후 비교해 보겠습니다.
교합부터 시작해서 가지런한 느낌까지 매우 좋아졌고요.
비발치였지만 입이 튀어 나오거나 앞니가 뻗치지도 않았습니다.
전반적으로 아랫 입술 부위도 조금 들어가면서 입매도 자연스러워졌고요.
미소도 좀 더 선호되는 양상의 미소로 바뀌었습니다.
전반적으로 만족스러운 치료결과였습니다.
이상 부산인비절라인과 미니스크류를 병행하여 비발치로 덧니와 주걱턱 교합을 개선한 치료사례였습니다.
부산 연산동 교정치과 키다리아저씨치과에 오시는 길은 연제구 연산동 연산역 17번출구 바로 앞 건물 6층입니다.
치과교정과 전문의(부산대 외래교수)가 상주하며 교정치료 합니다.
<위 사진은 환자분의 동의를 구한 후 공개하는 사진자료입니다. 사진은 과장이나 조작이 없는 원본사진입니다. 교정치료로 인한 부작용으로는 치근흡수, 충치, 치아변색, 실활 등이 있을 수 있으며, 치료 전후 사진은 의료법 제 23조, 제 56조에 의거하여 게재합니다. 개인의 상태에 따라 치료결과는 달라질 수 있으므로, 교정전문의와 상의를 요합니다.>





























































































































































댓글