부산왜소치교정 키다리아저씨치과의 작은치아, 과개교합, 덧니교정
- 키다리아저씨치과

- 2025년 4월 1일
- 3분 분량
안녕하세요.
오늘 부산왜소치교정 키다리아저씨치과에서 소개해 드릴 분은 작은치아, 과개교합, 덧니를 가진 환자분입니다.
나이 : 14세
총 치료기간 : 1년 11개월(총 23개월)
사용한 장치 : 자가결찰 메탈(엠파워 메탈)
부산왜소치교정 키다리아저씨치과에 처음 내원하셨을 당시의 얼굴 모습입니다.
옆모습을 보면 약간의 돌출감이 느껴지고, 입술 다무는 느낌이 약간 부자연스럽습니다. 웃을 때 드러나는 앞니의 크기가 조화롭지 못한 느낌도 듭니다.
얼굴 모습만 봐서는 그렇게 크게 개선할 사항이 많지 않아 보입니다.
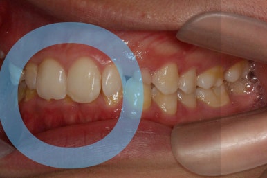
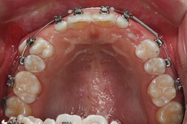
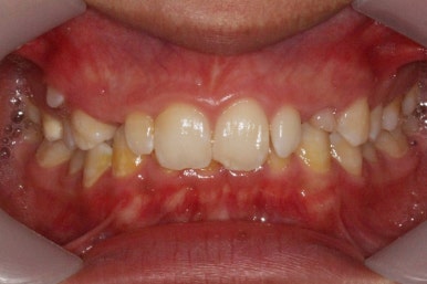
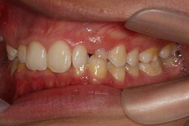
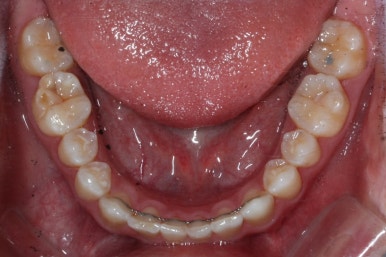
부산왜소치교정 키다리아저씨치과에 처음 내원하셨을 당시의 입 안 모습입니다.
여러 가지 문제점들이 보이는데요.
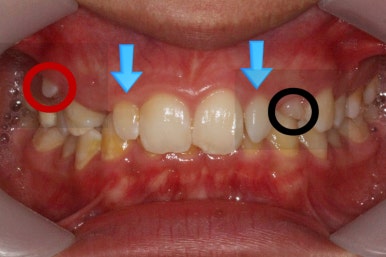
왼쪽 사진을 보시면
- 화살표 : 작은 앞니 크기가 작은 상태입니다. 원래 대문니(가운데 치아)와 작은 앞니(바로 옆치아)간에는 황금비율로 가져야 될 크기비율이 있는데, 작은 앞니가 지나치게 작은 형태입니다. 이를 "왜소치"라고 하는데 특히 작은 앞니 위치에 왜소치가 많이 나타납니다.
- 빨간 동그라미 : 송곳니가 덧니로 나오고 있습니다. 제 위치를 못찾고 두쪽 치아 위로 어부바 하는 형태로 나오고 있네요.
- 검정 동그라미 : 유치가 남아있고, 영구치 송곳니가 나오지 못한 형태입니다.
오른쪽 위 사진을 보시면
- "과개교합" 혹은 "딥바이트(deep bite)"라고 표현하는 형태인데요. 동그라미 안을 보시면 윗니 앞니와 아래 앞니가 너무 많이 겹쳐서 아래 앞니가 보이지 않는 상태입니다. 씹는 효율이나 치아에 가해지는 힘이 적절하지 않게 됩니다.
기타 어금니 맞물림과 치열 등등 문제점들이 있습니다.
오늘은 왜소치 즉, 작은 치아 교정에 초점을 맞출 예정입니다.
왜소치의 교정치료는?
작은 크기를 키워서 치료합니다. 즉 적절한 비율로 만들어서 개선하는데 주로 라미네이트 올세라믹 등의 보철, 레진과 같은 떼우는 치료로 크기를 키워줍니다.
작은 크기를 그대로 활용합니다. 이 경우는 위-아래 치아 사이즈의 합의 비율을 적절하게 맞춰줘야 합니다.
부산왜소치교정 키다리아저씨치과에서는 이번 사례에서 2번, 즉 크기를 키워주는 치료 없이 현재 크기 그대로 이용하면서 마무리를 했습니다.
여러 가지 고려사항들이 많은데, 가장 중요한 것은 결국 치아는 윗니-아랫니의 맞물림이 중요하므로 윗니-아랫니 사이의 치아 크기의 총 합의 비율을 적절하게 맞춰주면 됩니다.
남아있던 유치를 뽑고 윗니부터 가지런하게 합ㄴ디ㅏ.
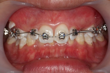
이번에 사용한 장치는 금속 자가결찰 자치인데, 금속이라 튼튼하고 부피도 작고 양치도 훨씬 펴합니다. 거기다 저렴하기까지 합니다.
저는 보통 장치를 설명 드릴 때, 여러 장치의 장단점을 설명드리고 기호에 따라 선택하게끔 하시는데 만약 저한테 장치선택의 권한을 100% 주신다면 저는 금속장치를 권해드립니다.
튼튼하고 부피도 작아 이물감도 적고 양치하기도 수월하고 게다가 저렴하고.. 솔직히 세라믹 장치를 붙이더라도 덜보인다 뿐이지 뻔히 교정치료를 하는지는 누구나 아릭 때문에 메탈 장치도 보기에 나쁘지 않다고 설명드립니다.
만약 진짜 안보이고 싶다하시면 차라리 설측교정(콤비교정) 혹은 인비절라인(투명교정)을 추천드립니다.
여튼 이번 환자분은 메탈장치를 사용했습니다.
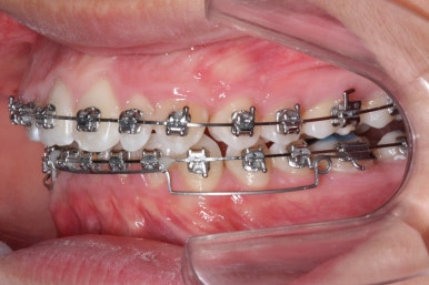
윗니만 계속 가지런히 합니다.
윗니가 어느 정도 가지런해지면 아랫니도 장치를 붙입니다.
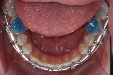
과개교합의 특성상 장치가 떨어질 수 있기 때문에 어금니에 "바이트 레진"이라고 하는 파란색 임시 접착물을 부착해줍니다. 불편해 보이지만 생각보다 잘 적응을 하십니다.
부산왜소치교정 키다리아저씨치과에서는 본격적으로 과개교합에 대한 치료를 들어갑니다.
과개교합은 매우 고난이도 치료기술이 요구됩니다.
과개교합 치료 방법
윗니 앞니를 들어올린다.
아래 앞니를 밑으로 내린다.
어금니를 솟구쳐 오르게 만든다.
1~3의 방법을 적절히 섞어 사용한다.
과개교합 교정시에는 긴 얼굴, 짧은 얼굴 등의 얼굴의 형태에 따라서도 테크닉이 달라져야 합니다. 매우 철저한 분석과 적절한 기술이 조화되어야 합니다.
이번 환자분은 2, 3의 방법을 섞어 사용했습니다.
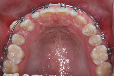
과개교합도 많이 개선되어가는 양상이며, 왜소치의 크기를 키우지 않았음에도 적절히 조화 되어가는 것을 볼 수 있습니다.
어금니의 맞물림도 조절해 주고, 혹시나 모를 틈새도 다시 조여줍니다.
적절한 마무리를 더 거치고 치료를 마치게 됩니다.
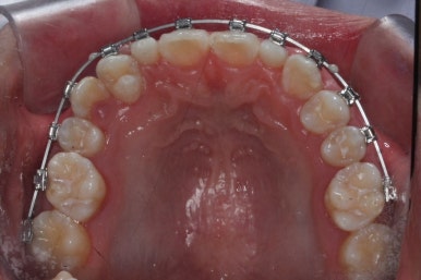
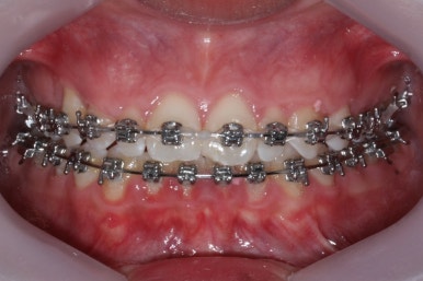
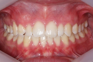
치료를 마쳤을 대의 모습입니다.
입 안에서 보이던 모든 문제점들을 개선했습니다.
왜소치아이지만 사이즈를 바꾸지 않고 그대로 활용했고(크게 어색하지 않네요) 덧니도 바로 내려오게 했으며 못나오던 송곳니도 나오게 했고 과개교합도 깔끔하게 개선했으며 치아 맞물림도 좋게 만들었습니다.
기간은 총 1년 11개월 (23개월) 걸렸네요.
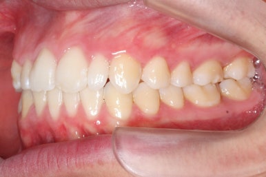
전후 비교해보겠습니다.
부산왜소치교정 키다리아저씨치과에서 치료한 이번 사례의 개선사항들이 눈에 확 들어오실겁니다.
앞니를 뒤로 밀어넣거나 한 것이 없기 때문에 입매의 큰 차이는 없겠지만 맨 아래 두 사진에서 보시면 묘하게 입술라인이 바뀐 것을 보실 수 있을 것입니다.
보통 과개교합인 분들은 아랫입술 바로 밑이 푹 들어가는경향이 있는데, 과개교합이 개선되면 이 형태도 개선되어 입술라인이 매우 자연스러워집니다.(단, 성인에서는 이 형태가 잘은 바뀌지 않습니다.)
이상 부산왜소치교정 키다리아저씨치과에서 시행한 왜소치아, 덧니, 과개교합 개선사례였습니다.
키다리아저씨치과에 오시는 길은 연산역 17번출구 바로 앞 건물 5, 6층입니다.
치과교정과 전문의(부산대 외래교수)와 치과보철과/통합치의학과 전문의(부산대 외래교수) 2명이 상주하며 교정치료와 일반치과치료를 협진하여 진료합니다.
<위 사진은 환자분의 동의를 구한 후 공개하는 사진자료입니다. 사진은 과장이나 조작이 없는 원본사진입니다. 교정치료로 인한 부작용으로는 치근흡수, 충치, 치아변색, 실활 등이 있을 수 있으며, 치료 전후 사진은 의료법 제 23조, 제 56조에 의거하여 게재합니다. 개인의 상태에 따라 치료결과는 달라질 수 있으므로, 교정전문의와 상의를 요합니다.>

















































































































댓글