부산옥니교정 키다리아저씨치과에서 치아가 결손인 환자분의 과개교합, 옥니 치료사례
- 키다리아저씨치과

- 2025년 9월 30일
- 2분 분량
키다리아저씨치과는 치과교정과 전문의(부산대 외래교수)와 통합치의학과 전문의 원장님이 상주하며 협진하는 치과입니다. 부분교정에서부터 난이도 높은 교정진료는 교정과 원장님이 진료를 하며, 임플란트, 사랑니발치, 충치치료, 틀니 등 일반진료는 통합치의학과 전문의 원장님이 진료합니다.
교정과 일반진료의 협진으로 자기치아를 최대한 아끼고 오래 쓰는 방법을 고심하며 수준 높은 진료를 제공합니다.
안녕하세요.
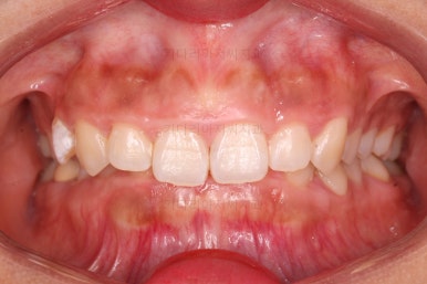
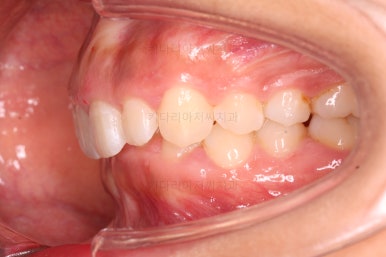
오늘 소개해 드릴 환자분은 아래 앞니가 하나 없는 결손치아, 그로 인해서 윗니 앞니가 뒤로 굽어 들어오는 "옥니", 그로 인해 위아래 앞니가 많이 겹치는 과개교합 및 잇몸웃음(거미스마일)이 나타나는 복합적인 문제가 있는 분이셨습니다.
나이 : 21세
총 치료기간 : 2년 9개월(총 33개월)
사용한 장치 : 자가결찰 메탈 + 세라믹 복합(엠파워 메탈, Empower metal + 세라믹) + 미니스크류
초진 시 얼굴모습이에요.
아무래도 옥니로 인해서 웃거나 말할 때 앞니가 어두워보이고 잇몸이 많아 보이시네요.
옆라인에서 입은 튀어나온 느낌은 없지만 턱끝만 살짝 볼륨감이 있는 편이었어요.
그렇다고 주걱턱은 아닙니다.
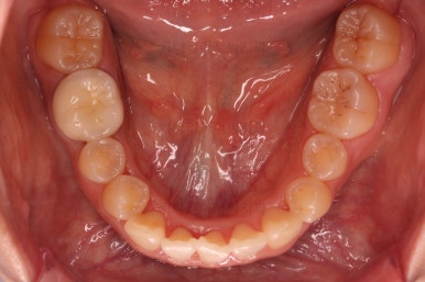
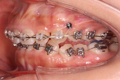
문제의 시작은 바로 아래 앞니였어요.
맨 아래 오른쪽 사진에 화살표를 보시면 앞니가 4개여야 하는데 3개 밖에 없네요.
결손치아는 임플란트? No!!
특히 아래 앞니는 1개 혹은 2개가 없는 결손치아인 환자분이 상당히 많습니다.
치아가 없으면? = 임플란트! 라고 생각하실 수 있는데 치아교정을 통해서 다양한 방법을 사용할 수 있습니다.
아래 앞니 3개인 채로 마무리를 하기도 하고 4개처럼 보이게끔 마무리를 하기도 합니다.
이번 환자분의 경우는 치아 크기와 비율, 교합 등을 전반적으로 고려해서 아래 앞니가 마치 4개인 것처럼 마무리를 하기로 했습니다.
뒤쪽 치아를 차례차례 끌고 당겨와서 앞니를 대신하는거죠.
물론 기간은 많이 걸리나 현재로서는 가장 합리적인 방법으로 판단했습니다.
우선 윗니부터 가지런하게 해줍니다.
앞니쪽에는 미니스크류를 식립했는데요.
과개교합 개선, 교합 개선, 거미스마일(잇몸웃음) 개선 등 여러 가지 목적을 동시에 달성할 수 있어요.
윗니가 어느 정도 가지런해지면 아랫니도 장치가 들어갑니다.
과개교합이 어느 정도 개선이 되어서 아래 앞니가 서서히 보이기 시작하네요.
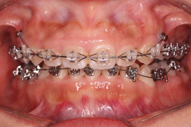
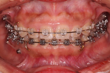
이번 부산옥니교정 환자분이 선택하신 장치는 엠파워인데 윗니는 덜 보이는 세라믹, 아랫니는 메탈입니다.
같은 엠파워 장치이기 때문에 이렇게 섞어 써도 문제가 전혀 없는데요.
흔히 아시는 클리피씨로 하자면 윗니는 클리피씨 + 아랫니는 클리피엠(M)인 셈이죠.
윗니는 세람기으로 해서 심미성을 강조하고 아랫니는 좀 더 부피가 작고 강하여 과개교합 교정에 유리하며 저렴하기도 한 메탈로 했습니다.
물론 장치선택은 환자분 취향대로 선택하시면 돼요.
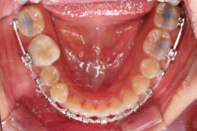
장치 부착 직후의 모습입니다.
웃을 때도 주로 윗니만 보이기 때문에 아랫니는 메탈로 해도 큰 문제 없어보이네요.
과개교합은 거의 개선이 되었고요.
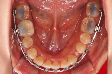
이제는 아래 앞니가 3개이기 때문에 생기는 중앙선의 문제, 치아 갯수의 문제를 맞춰나가기로 했습니다.
계획은 오른쪽 아래 송곳니 ~ 어금니 모든 치열을 앞쪽으로 밀어줘 아래 앞니를 마치 4개인 것처럼 만드는 것입니다.
위쪽은 미니스크류 위치를 바꿔줘 교합을 맞춰주고요.
아래쪽은 마찬가지로 미니스크류를 비대칭으로 식립해서 어금니를 당겨줍니다.
계속 당겨줍니다.
위아래 치열의 중앙이 서서히 맞아지는 느낌이 드시나요?
계속 당겨줍니다.
조금만 더 하면 되겠네요.
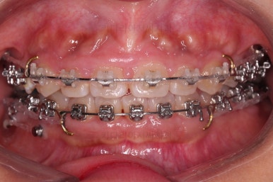
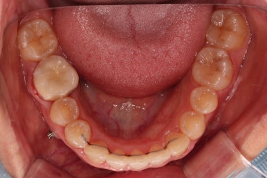
중앙선을 맞추고 교합도 잘 맞추고 마무리를 합니다.
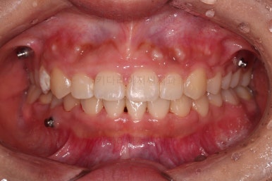
얼굴모습 포함 전후사진을 비교해 보겠습니다.
부산옥니교정 통해 많은 점이 개선이 되었네요.
과개교합 개선
웃는 모습에서 잇몸웃음(거미스마일) 개선
교합 개선
아래 앞니가 3개였으나 정중선이 맞아보이게 마무리
옥니 개선
웃는 모습 개선
물론 난이도가 매우 높은 치료라 기간은 비교적 오래 걸린 편인데요.(총 33개월)
키다리아저씨치과도 환자분도 매우 만족스러운 치료였습니다.
이상 미니스크류를 이용하여 결손치아, 옥니, 거미스마일, 잇몸웃음, 2급 부정교합을 부산옥니교정 개선한 치료사례였습니다.
키다리아저씨치과에 오시는 길은 연제구 연산동 연산역 17번출구 바로 앞 건물 5, 6층입니다.
치과교정과 전문의(부산대 외래교수)와 통합치의학과 전문의(서울대학교 졸업) 2명이 상주하며 교정치료와 일반치과치료를 협진하여 진료합니다.
<위 사진은 환자분의 동의를 구한 후 공개하는 사진자료입니다. 사진은 과장이나 조작이 없는 원본사진입니다. 교정치료로 인한 부작용으로는 치근흡수, 충치, 치아변색, 실활 등이 있을 수 있으며, 치료 전후 사진은 의료법 제 23조, 제 56조에 의거하여 게재합니다. 개인의 상태에 따라 치료결과는 달라질 수 있으므로, 교정전문의와 상의를 요합니다.>










































































































































댓글