부산옥니교정 키다리아저씨치과에서 시행한 옥니, 덧니, 왜소치 치료사례(feat. 바른이 봉사회)
- 키다리아저씨치과

- 3월 5일
- 2분 분량
"미니스크류를 이용한 투명교정장치에 관한 논문"으로 2023년도 Angle orthodontist(미국의 교정학회지) SCI 저널에 제 1저자로 게재되었습니다.
"2023년 대한치과 교정학회에서 표창장을 수여하였습니다."
"2023년 세계 구순구개열 학회에서 포스터 발표를 하였습니다."
항상 공부하고 노력하는 키다리아저씨치과가 되겠습니다.
안녕하세요.
오늘 부산옥니교정 키다리아저씨치과에서 소개해 드릴 환자분은 덧니와 옥니로 치열을 고르게 하고 싶어하셨던 분입니다.
나이 : 17세
총 치료기간 : 2년 1개월(총 25개월)
사용한 장치 : 자가결찰 세라믹(엠파워 클리어, Empower clear)
1. 초진
초진 시 얼굴모습입니다.
입을 다문 모습에서 입이 튀어나오거나 부자연스러운 느낌은 별로 없죠.
다만, 웃거나 말할 때 드러나는 치열이 삐뚤어서 미적으로 좋지 못한 모습인데요.
이 부분이 환자분의 고민이었습니다.
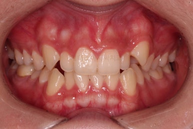
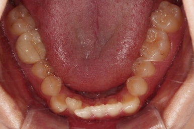
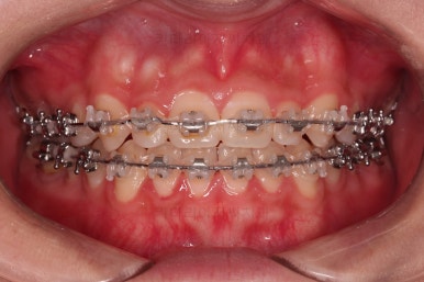
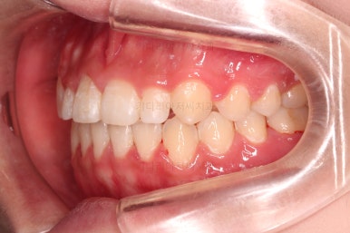
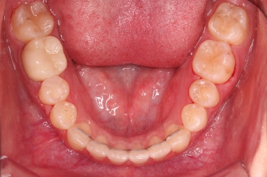
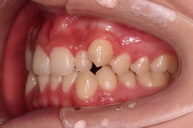
마찬가지로 초진 시 입안의 모습인데요.
위아래 앞니가 삐뚤고, 송곳니는 덧니처럼 불룩 튀어나가 있네요.
위아래 앞니는 안으로 굽어 들어와 있는 옥니(뻐드렁니 반대) 양상이었고요.
그리고 마무리 때 디테일에 문제가 생길 수 있는 부분인데, 윗니 대문니(가장 중간 치아)와 송곳니 사이의 치아를 작은 앞니라고 하는데요.
이 작은 앞니가 가져야 될 크기보다 더 작은 양상이었습니다.
이런 치아를 왜소치라교 표현합니다.
왜소치의 경우는 왜 문제가 되느냐?
윗니가 아랫니를 뚜껑처럼 덮어주려면 아랫니와 적절한 크기 비율이 필요한데요.
윗니 하나가 작게 되면 충분히 덮는 관계를 맞춰주지 못하거나 윗니 사이에 틈이 생겨버리는 일도 있어서 교정 마지막애 애를 먹는 경우가 많기 때문이죠.
2. 치료계획
앞니 각도 회복과 치아배열
이번 부산옥니교정 환자분은 치열이 삐뚤긴 했지만, 발치라던지 통째로 밀어넣는 등의 치료가 필요할 만큼 많이 삐뚠 것은 아니었기 때문에 최대한 현재 상태에서 심플하게 가지런하게 하는데 초점을 맞추었습니다.
그리고 옥니의 경우는 시각적으로도 그렇지만 기능적이나 치아의 수명에도 문제가 되는 경우가 많기 때문에 정상적인 앞니 각도로 회복시켜주는게 필요했습니다.
3. 바른이 봉사회
이번 환자분은 키다리아저씨치과에서 1년에 1명씩 봉사활동 하고 있는 바른이 봉사회에서 선정된 학생인데요.
멀리 울산에서 내원하는 고등학생이라 내원의 힘든 점이 많았을텐데도 불구하고 성실하고 착하게 치료에 임해주었습니다.
여담으로 교정이 끝날 무렵은 대학교 진학소식도 알려와 더 반가웠는데요.
아주 성실히 공부도 잘 하여 부산대학교에 입하나는 쾌거를 이루어 키다리아저씨치과도 다 뿌듯했답니다.
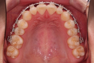
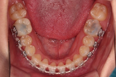
4. 치료경과
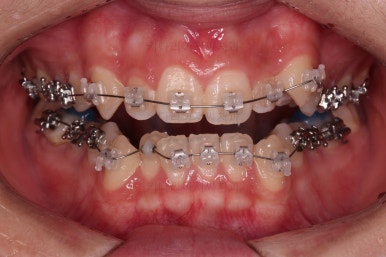
처음 장치를 부착한 모습인데요.
이번 환자분이 부산옥니교정에 사용한 장치는 엠파워 클리어라고 하는 자가결찰 세라믹 장치였습니다.
철사를 잡아주는 캡(결찰)이 브라켓에 달려있어 스스로 묶고 풀고가 가능한(자가) 세라믹 재질의 장치라는 뜻인데요.
대표적으로는 엠파워 클리어, 클리피씨 등이 있습니다.
교정장치 부착 직후의 얼굴모습도 참고바랍니다.
이번 환자분은 장치를 부착해도 입매가 거의 안나오는 환자분이었고요.
장치 부착 직후 얼마나 입이 튀어나오는지는 사람마다 정말 차이가 커서 직접 해봐야 아는 경우가 대부분이라고 할 수 있습니다.
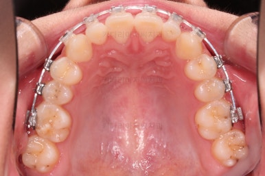
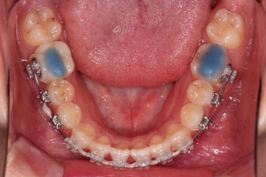
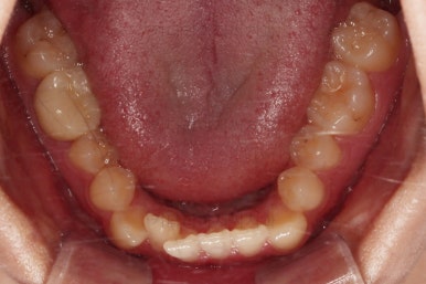
가벼운 철사에서 두꺼운 철사로 주기적으로 바꿔감에 따라 치열이 점점 가지런해지고 있습니다.
현재 모습도 나쁘지 않지만 좀 더 디테일을 맞춰주기 위해서 고무줄도 끼고, 왜소치 때문에 생기는 사이즈 부조화문제로 정중선이 안맞는 점은 일정 부분 수용하면서도 최대한 맞춰보기로 했습니다.
좀 더 디테일을 맞춰주고요.
얼굴모습도 확인하고, 얼굴에서의 치열의 조화도 최종 확인하고 서서히 부산옥니교정 마무리를 합니다.
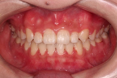
5. 마무리
유지장치를 잘 부착하고요.
왜소치가 있어서 중앙선과 교합을 맞추는데 약간의 애로사항이 있었지만 최대한 잘 마무리를 하였습니다.
앞니 각도, 가지런한 느낌, 덧니 등 모든 점이 다 개선되었네요.
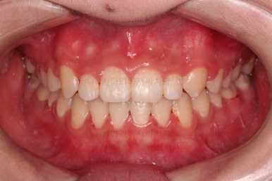
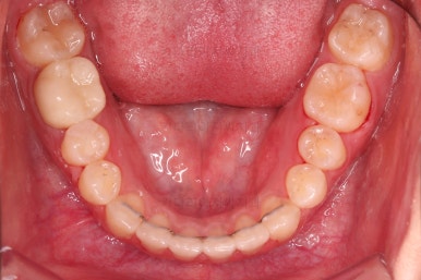
부산옥니교정 전후를 비교해 볼게요.
입안의 모습에서도 모든게 다 좋아졌고요.
웃는 모습과도 매우 조화롭게 치열이 가지런해졌네요.
앞니 각도가 개선되면서 웃을 때 보이는 치열도 가득차 보이고 환해보이고요.
다물었을 때의 옆모습도 약간 오목하던 입매가 볼륨감이 생기면서 훨씬 예뻐졌습니다.
교정도 잘 끝나고 대학교 진학도 잘 되고 여러모로 뿌듯한 부산옥니교정 치료였습니다.
이상 옥니, 덧니, 왜소치가 있었던 환자분의 교정 치료사례였습니다.
부산 연산동 교정치과 키다리아저씨치과에 오시는 길은 연제구 연산동 연산역 17번출구 바로 앞 건물 6층입니다.
치과교정과 전문의(부산대 외래교수)가 상주하며 교정치료 합니다.
<위 사진은 환자분의 동의를 구한 후 공개하는 사진자료입니다. 사진은 과장이나 조작이 없는 원본사진입니다. 교정치료로 인한 부작용으로는 치근흡수, 충치, 치아변색, 실활 등이 있을 수 있으며, 치료 전후 사진은 의료법 제 23조, 제 56조에 의거하여 게재합니다. 개인의 상태에 따라 치료결과는 달라질 수 있으므로, 교정전문의와 상의를 요합니다.>





























































































































댓글