부산연제구교정 키다리아저씨치과의 비발치 돌출, 무턱 치료사례
- 키다리아저씨치과

- 1월 16일
- 2분 분량

"미니스크류를 이용한 투명교정장치에 관한 논문"으로 2023년도 Angle orthodontist(미국의 교정학회지) SCI 저널에 제 1저자로 게재되었습니다.
항상 공부하고 노력하는 키다리아저씨치과가 되겠습니다.
안녕하세요.
오늘 부산연제구교정 키다리아저씨치과에서 소개해 드릴 환자분은 약간 삐뚠 치열, 돌출, 무턱 느낌 개선을 원하셨던 분입니다.
나이 : 22세
총 치료기간 : 2년 10개월(총 34개월)
사용한 장치 : 자가결찰 세라믹(엠파워 클리어, Empower clear) + 미니스크류
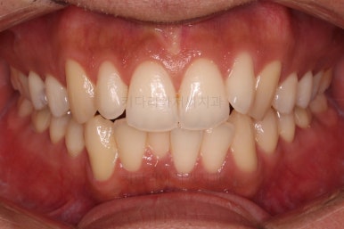
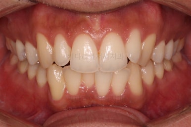
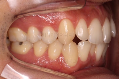
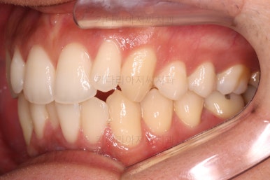
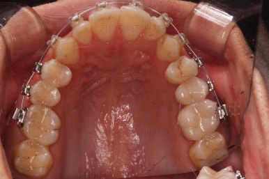
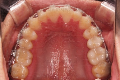
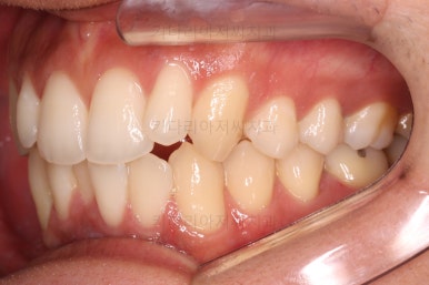
초진 시 입안의 모습입니다.
앞니가 약간 삐뚠 것 말고는 큰 문제는 없어보이네요.
부산연제구교정 초진 시 얼굴모습입니다.
웃을 때 약간 삐뚤어서 심미적으로 좋지 못한 점 제외하고는 치열에서의 문제는 크게 없는데요.
다만, 본인이 생각하기에 옆라인이 돌출/무턱이라 개선을 원하셨어요.
돌출 = 무턱?
입은 코나 턱끝의 위치에 상대적으로 영향을 많이 받기 때문에 아무래도 코가 낮거나 턱이 뒤로 들어가 있으면 입은 더 나와보이게 됩니다.
반대로 입이 나와있게 되면 코도 낮아보이고 턱도 더 뒤로 들어가 보이게 되죠.
또한 입이 나오면 입을 자연스럽게 다물 수 없어서 턱끝에 일명 "호두주름"이 들어가면서 턱이 더 무턱처럼 보이게 됩니다.
돌출=무턱은 아니지만 돌출은 턱을 더 작아 보이게 하고 턱이 작으면 입이 나와보이게 됩니다.
이번 환자분은 실제로 턱이 작기도 했고 입도 약간 나오기도 했습니다.
발치? 비발치?
돌출입에 무턱 느낌이면 꼭 발치를 해야 해결이 될까요?
그렇진 않습니다.
이번 환자분은 치아가 앞으로 나온 경향이 있지만 입을 편안하게 다물게 해드리면 "호두주름"이 없어지면서 무턱 느낌이 좋아지거든요.
그러면 호두주름은 어떻게 없애느냐?
치아를 뒤로 넣는 것도 방법이지만 코~턱끝까지 수직 길이를 조금이라도 줄여주면 입이 편안하게 다물어집니다.
조금 어려운 개념이라 많은 분들이 잘 이해를 못하시는 방법이긴 합니다.
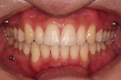
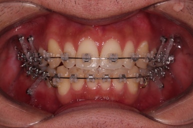
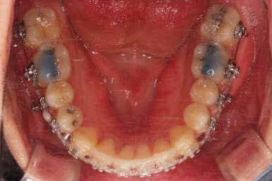
장치를 부착했습니다.
이번 부산연제구교정 환자분이 선택한 장치는 엠파워 클리어라고 하는 자가결찰 세라믹 장치입니다.
최대한 빠른 시일 내에 치열을 가지런하게 해주고 미니스크류를 많이 식립하게 됩니다.
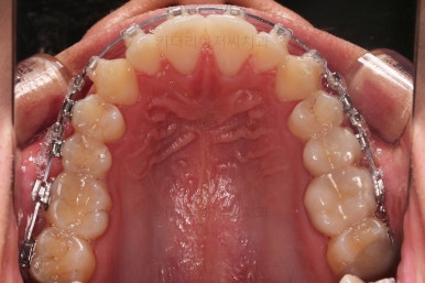
치료시작 6개월 정도 시점의 모습인데, 이정도만 해도 교정이 잘 된 듯 하지만 이제 시작입니다.
얼굴 모습 개선을 위해 해야 될 점들이 많습니다.
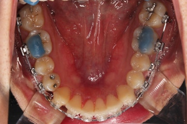
미니스크류도 일반적인 위치가 아니라 전반적인 치열의 높낮이를 조절하기에 용이한 위치에 갯수도 매우 많이 식립하게 됩니다.
한참을 셋팅한 방향으로 치열을 당겨줍니다.
중간평가를 자주 하게 됩니다.
입을 다물었을 때 턱끝이 점점 자연스러워지는 느낌이네요. 윗입술 부위가 둥글게 돌출되어 보이던 느낌도 점점 좋아지고 있고요.
아직은 환자분이 개선을 더 원하기 때문에 현재의 방식으로 더 진행하기로 했습니다.
계속 진행합니다.
또 다시 얼굴모습을 평가하고 환자분과 개선할 점에 대해 의견을 나눕니다.
옆모습은 상당히 만족하고 계셨고, 웃을 때의 치열의 중앙선을 좀 더 맞추고 싶어하셨습니다.
여러 가지를 더 원하시는 만큼 개선한 뒤 부산연제구교정 치료를 마무리하기로 했습니다.
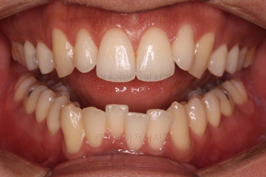
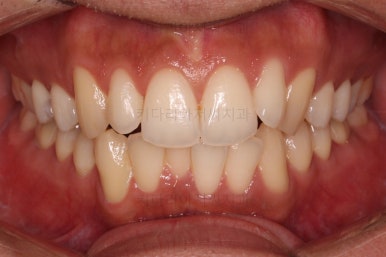
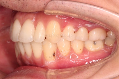
전후 비교해 보겠습니다.
교합이나 가지런한 느낌 매우 좋아졌고요.
특히 옆 라인에서도 둥글었던 윗입술도 오목한 곡선이 생기면서 돌출감이 좋아졌고 턱끝의 윤곽도 생기면서 무턱 느낌도 좋아졌습니다.
윗니의 위치를 보면 처음은 아랫입술에 가려질 정도로 아래로 내려와 있었는데 치료 후에는 앞니가 보이는 정도로 위치 조절이 잘 되었네요.
발치 없이도 문제점과 개선방향을 잘 셋팅한다면 이렇게 좋은 결과를 만들어낼 수 있답니다.
이상 미니스크류를 이용해 비발치로 무턱과 돌출입을 개선한 부산연제구교정 치료사례였습니다.
부산 연산동 교정치과 키다리아저씨치과에 오시는 길은 연제구 연산동 연산역 17번출구 바로 앞 건물 6층입니다.
치과교정과 전문의(부산대 외래교수)가 상주하며 교정치료 합니다.
<위 사진은 환자분의 동의를 구한 후 공개하는 사진자료입니다. 사진은 과장이나 조작이 없는 원본사진입니다. 교정치료로 인한 부작용으로는 치근흡수, 충치, 치아변색, 실활 등이 있을 수 있으며, 치료 전후 사진은 의료법 제 23조, 제 56조에 의거하여 게재합니다. 개인의 상태에 따라 치료결과는 달라질 수 있으므로, 교정전문의와 상의를 요합니다.>



























































































































댓글