부산연산동청소년교정 키다리아저씨치과의 비발치 덧니 치아교정
- 키다리아저씨치과

- 2025년 3월 20일
- 3분 분량
안녕하세요
오늘 부산연산동청소년교정 키다리아저씨치과에서 소개해 드릴 환자분은 치아가 날 자리가 부족해서 들쑥날쑥 나온 청소년입니다.
나이 : 13세
총 치료기간 : 1년 10개월(총 22개월)
사용한 장치 : 메탈 브라켓 + 미니스크류
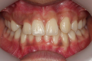
부산연산동청소년교정 키다리아저씨치과에 치아교정을 위해 처음 내원하셨을 당시의 얼굴 모습입니다. 환한 미소가 인상적이었고 항상 생글생글 잘 웃는 분이었어요.
옆모습 라인이나 입술을 다물었을 때의 모습은 좋았으나 웃거나 말할 때 아무래도 앞니가 삐뚤하고 덧니처럼 나와있어서 미적으로 좋지 못했습니다.
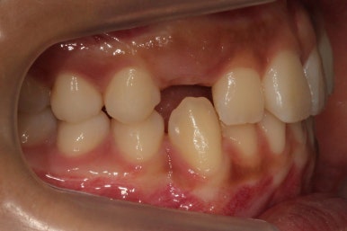
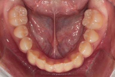
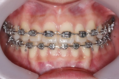
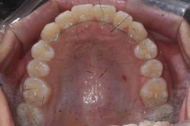
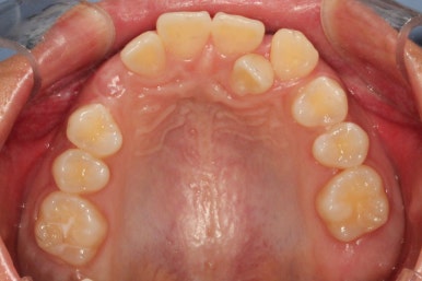
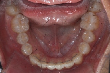
마찬가지로 부산연산동청소년교정 키다리아저씨치과에 처음 내원하셨을 당시의 입 안의 모습입니다.
윗니 앞니가 거의 2중으로 겹쳐 있을 정도로 매우 자리가 부족하고 삐뚤었습니다. 아직 나오지 않은 송곳니도 보이고 맨 뒤 영구치도 아직 나오지 않은 상태입니다.
이런 상태에서 흔히 많이 하시는 질문이 있습니다.
지금 교정해 주는게 맞나요?
대답은 그럴 수도 있고, 아닐 수도 있습니다.
일반적으로 치아교정의 적기라고 말한다면 영구치가 모두 나온 청소년기 입니다. 영구치가 모두 있기 때문에 교정장치를 다 부착할 수 있고, 청소년기때 하면 약간의 성장을 이용할 수 있고 성인에 비해 치아도 잘 움직이고 부작용도 거의 없습니다.
그러면 이번 학생의 경우는 영구치도 모두 나오지 않았는데 왜 시작했느냐?
특히 왼쪽 위닛들의 경우, 맨 뒤 치아가 나오기 전에 앞니쪽에 몰려있는 삐뚤한 치아들을 해소해 주면 영구치가 모두 나온 다음에 하는 것보다 훨씬 치료기간이나 방법의 수월성이 좋기 때문에 조기에 개입해서 치열을 정리해주면서 서서히 나머지 치아들이 자연스럽게 나오도록 유도해 주기로 했습니다.
따라서 일반적인 정답은 영구치가 모두 있는 청소년기가 교정치료의 최적기이지만 경우에 따라서는 조금 더 조기에 개입하면 훨씬 수월하게 끝나는 경우도 있다 입니다.
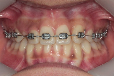
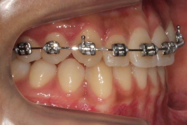
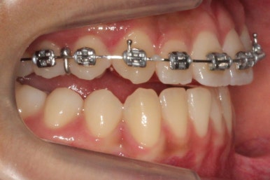
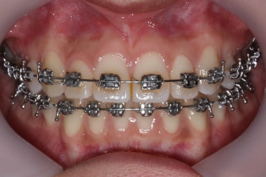
장치를 부착했습니다.
부산연산동청소년교정 이번에 사용한 장치는 금속장치입니다. 가장 옛날부터 사용되어온 장치이며 기능적으로는 아무 문제가 없으며 약간 미적으로 나쁘다는 점 이외에는 오히려 세라믹 장치에 비해 장점도 많은 장치입니다.
우선 윗니들이 해야 할 일들이 많기 때문에 윗니만 먼저 시작했습니다.
장치를 부착한 이후의 얼굴 모습입니다. 입술을 다물었을 때의 입매나 옆모습 라인은 거의 변화가 없습니다. 메탈장치의 장점이 부피가 가장 적다는 점인데 입매의 변화를 최소화 할 수 있습니다.
대신 웃거나 말할 때 아무래도 세라믹 보다는 더 많이 보일 수 있겠지요.
장치를 부차갛기 전과 장치를 부착한 이후의 옆모습 비교입니다.
거의 돌출감의 변화는 없습니다.
치아는 특히 청소년기 때 치아가 나올 자리만 있다면 알아서 잘 나오는 경우가 많습니다. 이번의 경우도 송곳니와 작은 앞니의 자리를 마련해주는 작업부터 먼저 했습니다.
매복, 특히 뼈속에 묻혀서 안나온다고 생각되는 경우도 자리만 마련해주면 잘 나오는 경우가 굉장히 많습니다.
오른쪽 송곳니는 가지런하게 잘 나왔고, 왼쪽 작은 앞니는 충분히 공간이 만들어져서 앞으로 당겨나오기 시작합니다.
여기서 문제가 생깁니다. 작은 앞니가 아래 앞니에 걸려있기 때문에 아무리 앞으로 당겨도 안나오는 순간이 오게 됩니다.
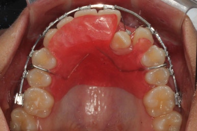
그래서 일부러 치아를 붕 띄워주는 방법이 필요한데, 이번의 경우는 생각보다 매우 많은 높이가 띄워져야 되서 ABP라는 장치를 이용했습니다.
입천장에 닿는 플라스틱 같은 장치인데 이 장치를 끼게 되면 왼쪽 사진처럼 치아들이 붕 뜨게 됩니다.
식사할 때 불편할 수 밖에 없고 아마도 이번의 경우 총 치료기간 중 가장 힘들어 했던 기간이 아니였을까 싶습니다.
어쨋거나 치아들을 붕 뜨게 만들어주면 작은 앞니가 앞으로 나오기 훨씬 수월해집니다.
드디어 거꾸로 물리던 작은 앞니가 앞으로 나왔습니다.
ABP라는 장치를 끼고 약 5개월이 걸렸네요.
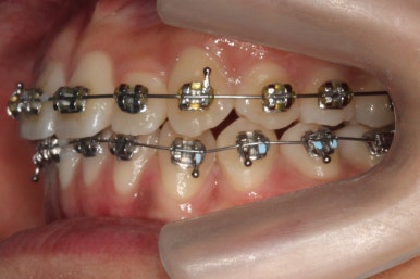
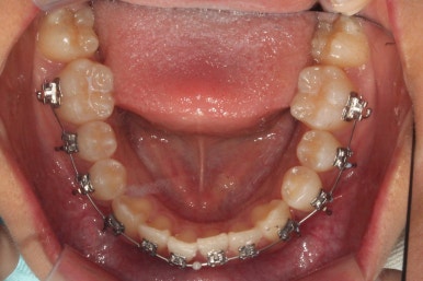
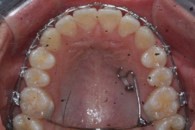
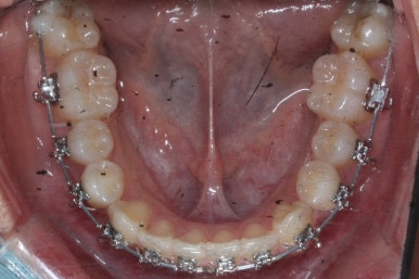
그 동안 맨 뒤 영구치도 잘 올라와서 아래쪽도 장치를 붙이고 가지런하게 하기 시작했습니다.
이제 어느 정도 가지런해졌고 맨 뒤 어금니도 약간의 정리를 더 해줍니다.
이 쯤 되면 이대로 마무리를 더 하고 장치를 제거할 지 말지 의논하게 되는데 기왕 교정치료 하는 김에 화살표처럼 약간 중앙선이 어긋난 것도 바로 잡아주기로 했습니다.
저 정도의 중앙선의 어긋남은 큰 문제가 안되는 정상범주이지만 위쪽, 오른쪽 사진을 보시면 한 쪽편의 교합이 전반적으로 밀려있는(앞니를 삐뚤게 만든 원인이 된) 양상이어서, 어떻게 보면 중앙선 보다는 교합개선을 위해서 추가 교정치료를 하기로 했습니다.
왼쪽과 오른쪽의 교합의 느낌이 다른 것을 볼 수 있을 것입니다.
우측 사진이 뭔가 더 성긴 느낌이 들지요. 이런 교합의 차이가 정면에서 중앙선의 차이로 나타나게 되는 것입니다.
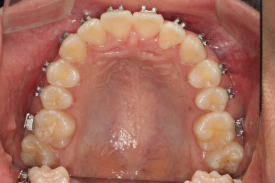
교합개선 및 중앙선을 맞추기 위해서 입천장에 마이크로 임플란트(미니스크류)를 식립하고 왼쪽 위 치열들을 통째로 뒤로 밀어주기 시작합니다.
교합이 성긴 느낌이 많이 좋아지고 있는 것이 확인되네요.
중앙선도 많이 좋아졌고, 교합도 점점 더 좋아지고 있습니다.
조금만 더 하고 마무리 하기로 했습니다.
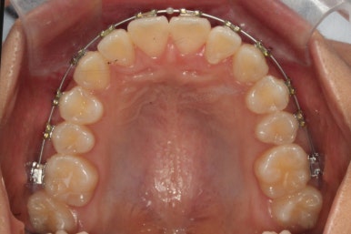
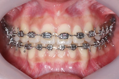
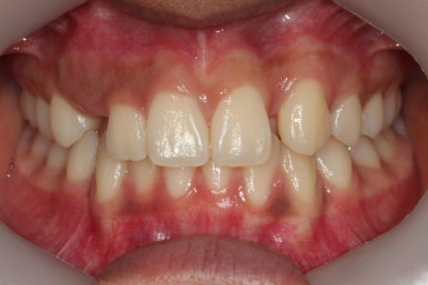
부산연산동청소년교정 키다리아저씨치과에서 치료한 이번 사례의 치료 종료시의 모습입니다.
중앙선도 잘 맞고, 치열도 가지런하고 교합도 괜찮네요.
치료 종료시의 얼굴 모습입니다.
미소는 여전히 환하고 대신 치열이 가지런해져서 훨씬 미적으로 개선되었습니다.
비발치 교정이었지만 마이크로 임플란트를 이용했기 때문에 입이 더 돌출되거나 하지 않았습니다.
전후 비교해 보겠습니다.
비발치 교정치료였지만 돌출감이 더 생기지 않고 마무리 되었고, 환한 미소가 더 예뻐졌네요.
이상 부산연산동청소년교정 키다리아저씨치과에서 치료한 비발치 덧니 치아교정 치료사례였습니다.
키다리아저씨치과에 오시는 길은 연산역 17번출구 바로 앞 건물 5, 6층입니다.
치과교정과 전문의(부산대 외래교수)와 치과보철과/통합치의학과 전문의(부산대 외래교수) 2명이 상주하며 교정치료와 일반치과치료를 협진하여 진료합니다.
<위 사진은 환자분의 동의를 구한 후 공개하는 사진자료입니다. 사진은 과장이나 조작이 없는 원본사진입니다. 교정치료로 인한 부작용으로는 치근흡수, 충치, 치아변색, 실활 등이 있을 수 있으며, 치료 전후 사진은 의료법 제 23조, 제 56조에 의거하여 게재합니다. 개인의 상태에 따라 치료결과는 달라질 수 있으므로, 교정전문의와 상의를 요합니다.>






































































































































































댓글