부산연산동사랑니발치 하고 매복 어금니를 살려쓴 치료사례
- 키다리아저씨치과

- 2025년 8월 25일
- 2분 분량
안녕하세요.
오늘 소개해 드릴 환자분은 매복사랑니에 가로막혀서 어금니가 매복되어 기울어있던 환자분입니다.
나이 : 15세
총 치료기간 : 5개월
사용한 장치 : 미니스크류 + 부분교정
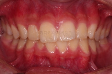
초진 때의 입 안의 모습이에요.
집 근처 치과에서 어금니가 나와야되는데 보이지 않는다는 말씀을 듣고 찾아오셨어요.
치열이 조금 삐뚤긴 하지만 교정치료는 크게 관심이 없었던 환자분이었어요.
밥 먹는 것도 크게 불편함이 없었고요.
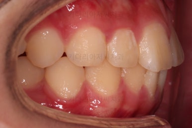
대신, 우측 아래 화살표를 보시면 나와야 될 어금니가 나오지 못하고 있는 상황이었어요.

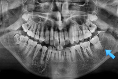
X-ray를 보면 사랑니가 어부바 하고 있어서 나와야 될 어금니가 짓눌려 있는 양상이었어요.
이 경우 방향을 잘못잡아서 바로 앞 어금니도 밀어버리거나 해를 가할 수 있는 상황이었어요.
사랑니가 잘못나는 바람에 사랑니 포함 치아 3개가 문제가 될 수 있는 상황이었어요.
얼굴모습은 양호했고요 웃을 때 드러나는 치열이 약간 삐뚤었지만 교정치료는 원하지 않으셨어요.
교정치료는 원하지 않으시는데 매복 어금니는 살리고 싶다면?
우선 사랑니는 발치하고, 해당 부위로 어금니를 끌어올리기로 했어요.
환자분이 원치 않으시는 교정장치는 부착하지 않으면서 말이죠.
미니스크류를 이용하고, 해당 치아에만 장치를 부착하는 부분교정을 하기로 했어요.

구멍이 뻥 뚫린게 보이실 거에요.
매복 사랑니를 발치한 자리인데요.
사랑니를 발치하며 앞쪽에 살려 써야하는 어금니에 작은 장치를 부착했어요.
어금니를 당겨줄 미니스크류도 사랑니를 발치하면서 식립해 주었어요.
사랑니 뽑은 자리가 매우 커 보이는데요.
보통은 3~6개월 지나면 뼈가 차오른답니다.
매복 치아였기 때문에 입 안에서는 장치도 거의 보이질 않죠.
해당 장치와 미니스크류 사이에 교정용 고무줄을 연결하여 지속적으로 당겨줍니다.
치료 끝!
전체적인 교정을 하지 않아끼 때문에, 완벽히 디테일을 맞추긴 힘들었지만 충분히 기능을 할 수 있게끔 위치를 바로잡아 주었어요.
총 치료기간은 단 5개월!
치료 전후 비교해 볼게요.
5개월이라는 매우 짧은 기간 안에 정확한 치료계획과 고난이도 테크닉으로 매복 사랑니도 발치하고 매복된 어금니도 바로 세워서 잘 사용할 수 있게끔 해드렸습니다.
이상 매복 사랑니를 발치하고 매복된 어금니를 살려쓴 부분교정 치료사례였습니다.
키다리아저씨치과에 오시는 길은 연제구 연산동 연산역 17번출구 바로 앞 건물 5, 6층입니다.
치과교정과 전문의(부산대 외래교수)와 통합치의학과 전문의(서울대학교 졸업) 2명이 상주하며 교정치료와 일반치과치료를 협진하여 진료합니다.
<위 사진은 환자분의 동의를 구한 후 공개하는 사진자료입니다. 사진은 과장이나 조작이 없는 원본사진입니다. 교정치료로 인한 부작용으로는 치근흡수, 충치, 치아변색, 실활 등이 있을 수 있으며, 치료 전후 사진은 의료법 제 23조, 제 56조에 의거하여 게재합니다. 개인의 상태에 따라 치료결과는 달라질 수 있으므로, 교정전문의와 상의를 요합니다.>







































댓글