부산연산동교정치과 키다리아저씨치과의 돌출입 + 과개교합 치료사례
- 키다리아저씨치과

- 2025년 9월 15일
- 3분 분량
안녕하세요.
오늘 부산연산동교정치과 키다리아저씨치과에서 소개해 드릴 환자분은 입이 돌출이 되었고 교합이 맞지 않아(과개교합 및 2급 부정교합) 교정치료를 원하셨던 환자분입니다.
나이 : 27세
총 치료기간 : 2년(총 24개월)
사용한 장치 : 자가결찰 세라믹(엠파워 클리어, Empower clear) + 미니스크류
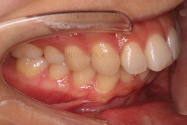
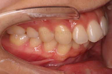
초진 시 얼굴모습입니다.
치아, 특히 윗니가 앞으로 튀어나와 웃거나 말할 때 강조되어 보이고 돌출되어 보여요.
당연히 치아가 나와있어서 입매도 튀어나와 보이죠.
거기다 입을 다물기가 힘들고 어색해서 입가~턱끝까지 항상 힘이 강하게 들어가 있어요.
이러한 입술의 부자연스러운 모습은 치열을 뒤로 넣어줘야 개선이 가능해요.
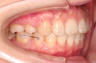
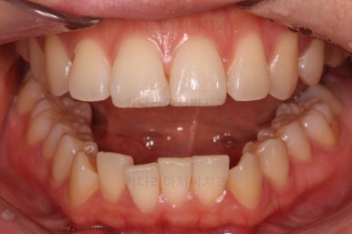
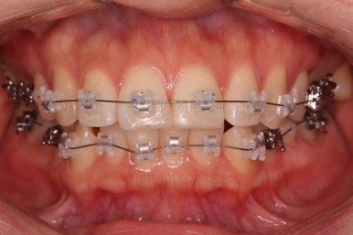
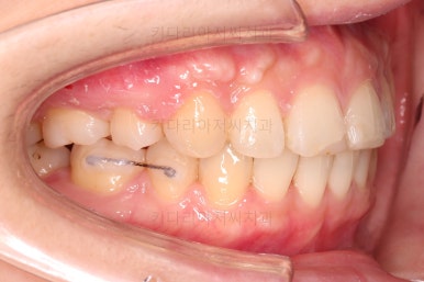
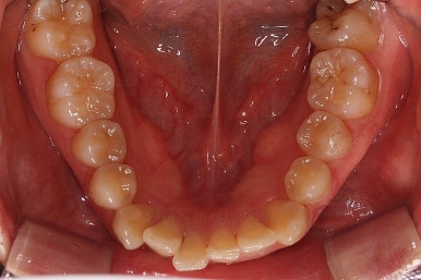
마찬가지로 부산연산동교정치과 초진 시 입안의 모습입니다.
눈에 띄는 것은 윗니 안쪽 치아 하나가 아예 입천장쪽으로 나서 매우 삐뚤어요.
저렇게 삼각혁으로 배치되어 있는 치아는 셋 중 하나는 꼭 썩어요.
셋 사이에 음식물이 잘 끼고 양치가 힘들기 때문이죠.
아래 앞니도 삐뚤한 편이었고 아래 앞니가 불쑥 위로 올라와 있어서 이를 악 다물면 위아래 앞니가 많이 겹치는 "과개교합" 패턴이 나타나요.
윗니가 전반적으로 아랫니보다 앞에 나와 있어서 2급 부정교합에 윗니만 튀어나온 양상이고 이 때문에 윗니 앞니가 다치고 부러졌따가 떼운 흔적이 보이네요.
발치교정
치료 목표는 치열을 가지런하게 + 입매를 자연스럽게 입니다.
입을 과도하게 넣을 필요는 없고 자연스럽게 다물어질 수 있게만 해도 느낌은 굉장히 달라져요.
그리고 삐뚤한 치열은 가지런하게 해줘야 돼요.
여러 가지 이유로 발치교정 즉, 가장 쓰임이 적은 작은 어금니 4개를(위아래좌우) 발치하고 그 공간을 활용하기로 했어요.
충치치료나 임플란트를 앞둔 분이라면 교정 상담을 꼭 받아보세요.
이번 환자분의 경우 발치 치아는 많이 썩은 치아 위주로 했어요.
만약 교정에 관심이 있는 환자분이 치아가 썩었다고 먼저 충치치료를 하신 상황이라면 충치치료를 한 치아를 뽑게 되는 상황이 생길 수 있어서 금전적, 시간적으로 매우 손해죠.
교정 검사를 먼저 진행해서 썩은 치아 위주로 발치할 치아를 먼저 정한다면 훨씬 나아요.
그리고 치아가 없는 경우라도 해당 공간을 교정적으로 활용하는 방법도 있기 때문에 무턱대고 이가 없으니 임플란트!는 별로 좋지 못하답니다.
게다가 부산연산동교정치과 키다리아저씨치과는 교정과 충치, 임플란트 치료를 각각의 전문의가 협진하고 있어서 여러 가지 장점이 많답니다.
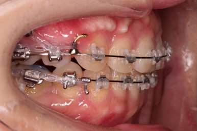
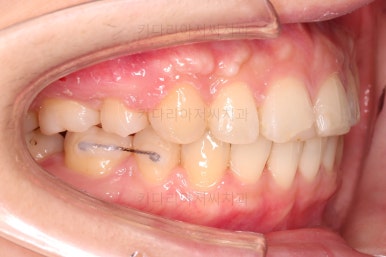
우선 장치를 부착해요.
환자분이 선택하신 장치는 엠파워 클리어라고 하는 자가결찰 세라믹 장치에요.
흔히들 클리피씨라고 많이 알고 계신 장치도 자가결찰 세라믹 장치의 한 종류에요.
제조사가 일본(클리피)이냐 미국(엠파워)이냐의 차이일 뿐이죠.
교정장치를 부착한 직후의 모습인데요.
눈에 보이는 장치의 모습과 입매의 변화를 참고해 주세요.
옆라인만 비교해보면요.
입매가 거의 변하지 않는 타입이세요.
교정장치 때문에 입이 많이 나올지, 안나올지는 사람마다 매우 달라서 말그대로 붙여봐야 아는 경우가 많습니다.
장치 부착 후에 순차적으로 4개의 치아를 발치해주고요.
치아를 뽑은 위치, 당겨야 할 정도가 달라 미니스크류를 몇 개 사용했어요.
미니스크류는 앞뒤조절, 높낮이 조절, 각도 조절, 안밖의 위치조절 등 난이도 높은 치료를 가능하게 해준답니다.
점점 치열이 가지런하게 되면서 발치한 자리도 조금씩 없어져가네요.
남는 자리는 입을 뒤로 넣는데 이용됩니다.
입이 얼마나 들어가고 있는지, 웃을 때 앞니 보이는 양, 중앙선 등 디테일한 부분들을 얼굴모습을 참고해서 평가를 해주고요.
당기는 방향 높이, 세기 등을 조절하면서 서서히 디테일을 맞춰갑니다.
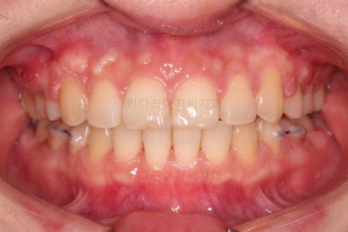
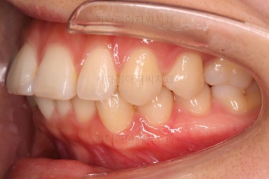
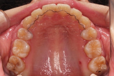
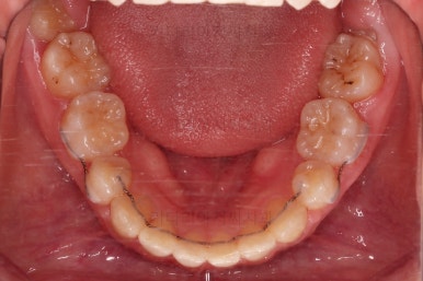
부산연산동교정치과 치료 종료 시의 모습이에요.
삐뚤한 치열도 가지런해졌고 2급 부정교합도 정상교합으로 맞춰졌어요.
튀어나와있던 앞니도 좋아졌고, 과개교합도 개선이 되었어요.
옆라인도 좋아졌고 입술을 다무는 느낌이 굉장히 편안해져서 입이 많이 들어간 건 아닌듯하지만 얼굴모습은 매우 좋아졌어요.
이처럼 얼굴모습을 좋아지게 하는건 입을 무작정 많이 넣는게 다가 아니에요.
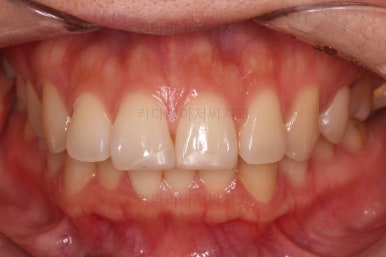
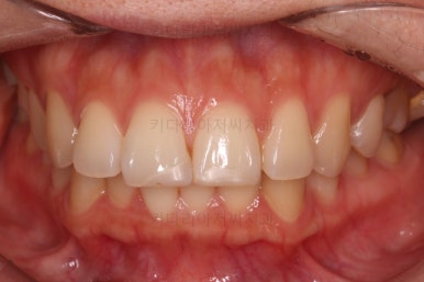
전후 사진을 비교해 보겠습니다.
전후 사진을 나란히 놓고 비교해 보면 굉장히 많이 좋아진 것을 볼 수 있으실거에요.
웃을 때의 치아의 위치를 보면 뒤로 들어간 것을 볼 수 있고, 이 영향으로 입매도 매우 예뻐졌고 편안해졌어요.
교합이나 치아배열의 모습도 좋아졌고요.
특히 관리가 힘들어 썩었던 치아도 충치치료 없이 발치교정할 수 있었고요.
남아있는 충치는 치료해야 되지만 교정치료는 잘 마무리 되었어요.
이상 발치교정을 통해 돌출입, 과개교합, 2급 부정교합을 개선한 부산연산동교정치과 사례였습니다.
키다리아저씨치과에 오시는 길은 연제구 연산동 연산역 17번출구 바로 앞 건물 5, 6층입니다.
치과교정과 전문의(부산대 외래교수)와 통합치의학과 전문의(서울대학교 졸업) 2명이 상주하며 교정치료와 일반치과치료를 협진하여 진료합니다.
<위 사진은 환자분의 동의를 구한 후 공개하는 사진자료입니다. 사진은 과장이나 조작이 없는 원본사진입니다. 교정치료로 인한 부작용으로는 치근흡수, 충치, 치아변색, 실활 등이 있을 수 있으며, 치료 전후 사진은 의료법 제 23조, 제 56조에 의거하여 게재합니다. 개인의 상태에 따라 치료결과는 달라질 수 있으므로, 교정전문의와 상의를 요합니다.>











































































































































댓글