부산어린이교정 키다리아저씨치과에서 시행한 앵글씨 3급 부정교합의 프리올소 치료사례
- 키다리아저씨치과

- 3월 9일
- 2분 분량
"미니스크류를 이용한 투명교정장치에 관한 논문"으로 2023년도 Angle orthodontist(미국의 교정학회지) SCI 저널에 제 1저자로 게재되었습니다.
"2023년 대한치과 교정학회에서 표창장을 수여하였습니다."
"2023년 세계 구순구개열 학회에서 포스터 발표를 하였습니다."
항상 공부하고 노력하는 키다리아저씨치과가 되겠습니다.
안녕하세요.
오늘 부산어린이교정 키다리아저씨치과에서 소개해 드릴 환자분은 앞니가 거꾸로 물리는 앵글씨 3급 부정교합 환자분입니다.
나이 : 8세
총 치료기간 : 4개월
사용한 장치 : 프리올소
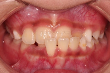
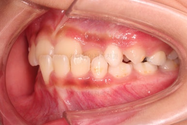
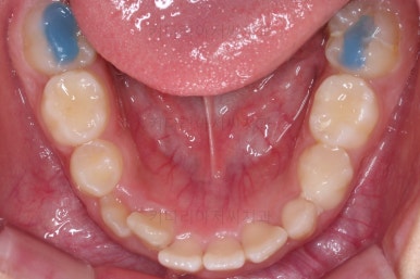
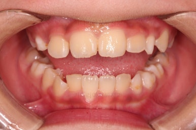
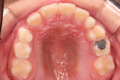
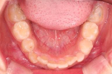
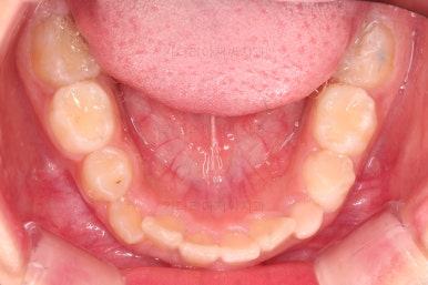
1. 초진
초진 시 입안의 모습입니다.
가장 눈에 띄는 건, 아랫니가 윗니보다 앞에 나와있는 부정교합인데요.
Q. 반대교합은 왜 개선해줘야 하는가?
반대교합은 성장기의 아동의 아래턱을 더 주걱턱으로 만들 수 있슨비다.
성장기 때의 아래턱은 내밀거나 틀어서 물면 그 방향으로 더 자라나는 경향이 있는데요. 앞니로 인해 아래턱이 더 밀리면서 더 심한 주걱턱이 될 수 있습니다.
아래 앞니는 윗니의 뒤쪽에서 힘을 받기 좋은 구조로 되어있는데, 앞쪽에서 튀어나가 있으면 마모나 잇몸 손상이 많이 올 수 있습니다.
Q. 언제 개선해줘야 하는가?
치료의 적기는 만으로 6~10세 상로 봅니다.
만 6세 이전에는 영구치가 아니기 때문에 너무 일찍 반대교합을 개선하더라도 영구치가 또 반대교합이 될 확률도 있을 뿐더러 너무 어린 나이는 반대교합이 성장에 악영향을 줄 정도는 아니기 때문에 좀 더 기다렸다가 해도 일반적으로는 괜찮습니다.
만으로 10살이 넘어가면 위턱뼈의 성장이 멈춘 상태이므로 주걱턱에 대한 성장치료가 사실상 매우 힘들어지기 때문에 10세 이전에는 해줘야 하죠.
정답은 "대문니 영구치가 거꾸로 물린다면 발견 즉시 치료해줘야 된다." 입니다.
부산어린이교정 초진 시 얼굴 모습인데요.
아랫 입술 부위가 앞으로 많이 나와 있어 주걱턱의 느낌을 주고요.
웃거나 말할 때 아래 앞니가 앞에 튀어나와 있어 심미적으로도 좋지 못하죠.
반대교합이 주로 좌측 앞니쪽에서 있다보니 해당 부위로 아래턱이 밀리면서 앞모습에서 비대칭도 보입니다.
2. 치료계획
다양한 분석을 통해서 턱의 크기까 진짜로 큰 주걱턱인지, 위치만 잘못되어 주걱턱의 위치가 있는지를 판단해 줍니다.
프리올소
이번 부산어린이교정 환자분의 경우는 프리올소로 치료를 하기로 했는데요.
몇 가지 프리올소에 대한 적응 중이 있습니다.
모든 반대교합 케이스에서 가능한 것이 아니기 때문에 치과교정과 전문의와의 상의가 필요합니다.
위아래 앞니의 각도, 위턱 아래턱의 비율/위치, 폭, 습관, 입술/혀 운동, 호흡기능 등 모든 점을 고려하여 장치를 결정하게 됩니다.
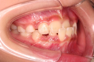
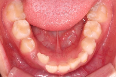
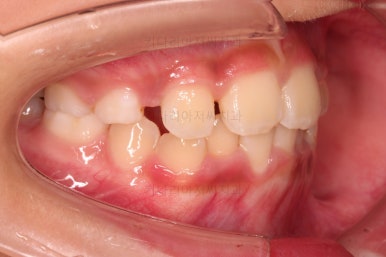
3. 치료경과
프리올소 착용 사진인데요.
윗니 아랫니를 전반적으로 감싸주고, 잇몸 부위도 일정 부분 커버하게 됩니다.
안쪽에서 혀를 위치시키는 부분이 있어서 혀가 아래 앞니를 밀지 못하도록 잡아줍니다.
해당 장치를 착용하고 입술을 꼭 다물어주는 훈련을 병행해야 장기적인 안정성이 좋아집니다.
착용하는 시간은 잘 때 + 자기전 혹은 낮에 1~2시간 가량 추가사용입니다.
가볍게 깨물어주는 동작이 도움이 되고, 코로 호흡이 잘 안되는 아이는 사용이 힘들 수 있습니다.
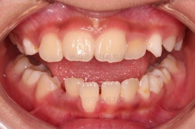
치료 한 달 째 사진인데요.
벌써 반대교합이 많이 좋아지고 있습니다.
턱의 위치도 좋아지고, 많이 :삐뚤었던 앞니도 일정 부분 위치가 좋아지고 있습니다.
4. 마무리
무려 4개월 만에 부산어린이교정 치료가 종료되었습니다.
앞니의 교합이 매우 안정적이여서 치료를 끝냈고요.
물론 프리올소는 유지단계으 장치로 바꾸어 계속 사용하게 됩니다.
반대교합을 만들었던 습관이나 위치들이 반대교합을 재발되게 만드는 경우가 있기 때문에 좀 더 장치의 사용이 필요합니다.
전후 비교해 보겠습니다.
반대교합이 완벽히 개선되면서 주걱턱으로 보였던 얼굴형태도 완벽히 개선되었고요.
한 쪽으로 치우치던 아래턱의 위치도 돌아오면서 비대칭이 개선되었습니다.
심지어는 위아래 앞니가 삐뚤었던 부분도 일정 부분 좋아졌습니다.
반대교합으로 인해 아래 앞니 잇몸 퇴축이 있었던 부분은 되돌아오지는 않는 점이 아쉽습니다.
따라서 반대교합은 빨리 부산어린이교정 통해 개선해 주면 좋은 것이죠.
이상 프리올소를 이용해서 앵글씨 3급 부정교합을 개선한 치료사례였습니다.
부산 연산동 교정치과 키다리아저씨치과에 오시는 길은 연제구 연산동 연산역 17번출구 바로 앞 건물 6층입니다.
치과교정과 전문의(부산대 외래교수)가 상주하며 교정치료 합니다.
<위 사진은 환자분의 동의를 구한 후 공개하는 사진자료입니다. 사진은 과장이나 조작이 없는 원본사진입니다. 교정치료로 인한 부작용으로는 치근흡수, 충치, 치아변색, 실활 등이 있을 수 있으며, 치료 전후 사진은 의료법 제 23조, 제 56조에 의거하여 게재합니다. 개인의 상태에 따라 치료결과는 달라질 수 있으므로, 교정전문의와 상의를 요합니다.>















































































































댓글