부산어린이교정 키다리아저씨치과에서 시행한 앞니 반대교합 치료사례
- 키다리아저씨치과

- 11월 21일
- 2분 분량
Case 1. 전/후
Case 2. 전/후
안녕하세요.
오늘 부산어린이교정 키다리아저씨치과에서 소개해 드릴 환자분은 이전 포스팅들과 다르게 총 두 분을 동시에 소개해 드릴건데요.
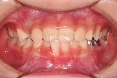
둘 다 소아 어린이환자로 앞니가 거꾸로 물려서 주걱턱이 의심되어 내원한 환자분이었습니다.
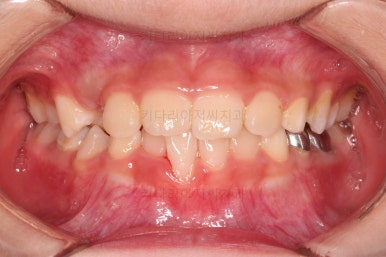
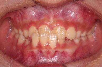
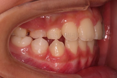
CASE 1.
나이 : 9세
총 치료기간 : 3개월
초진 시 얼굴사진인데요.
우선 중요한 건 진짜 주걱턱이냐 아니냐가 중요해요.
턱뼈의 부조화가 있다면 만 6세 ~ 10세 사이에 턱뼈에 대한 성장교정을 해주는 것이 좋아요.

수십가지 항목에 대한 분석을 통해서 골격적인 주걱턱(앵글씨 3급 부정교합)인지 아닌지 파악합니다.
이번 환자분은 다행히 뼈의 문제는 없는 것으로 판단이 되었는데요.
대신,
앞니가 거꾸로 물려있으면, 발견 즉시 개선해 주세요.
대문니라고 하죠. 맨 중간의 치아. 해당 치아가 아랫니보다 안쪽에 들어가 있다면 발견 즉시 조기에 개선해 주는 것이 좋은데요.
왜냐면 거꾸로 물린 상태로 오래 지내다보면 아래턱이 치아의 영향으로 앞으로 혹은 측면으로 자라면서 없던 주걱턱도 생기고, 없던 비대칭도 생길 수 있기 때문이죠.
그래서 이번 환자분도 뼈의 문제는 없지만 앞니가 거꾸로 물리는 건 개선해주자고 했죠.
이번 환자분은 중간 치료과정은 생략합니다.
워낙 치료기간이 짧기도 하거니와 타치과와는 차별화된 부산어린이교정 비법이 있기 때문에 공개하기가 아깝네요 ㅎㅎ
바로 전후 비교사진 올립니다.
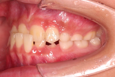
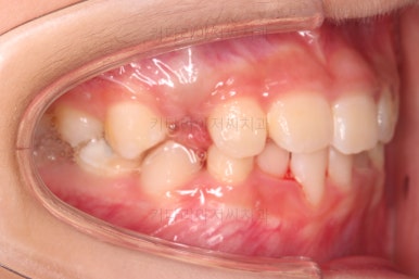
골격의 문제가 없었고 골격에 대한 치료가 아니었지만 얼굴 모습도 약간의변화가 있죠?
함몰감이 약간 있던 윗입술 부분이 볼륨감이 생기면서 자연스러운 아이얼굴 비율이 되었어요.
치열도 자연스럽게 예뻐졌네요.
3개월만에요😄
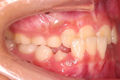
이 후에 프리올소라는 장치로 유지과정 중입니다.
치료를 프리올소로 한건 아니지만 장기적으로 재발의 요인이 몇 가지 관찰되어 유지장치 겸 해서 사용 중이죠.
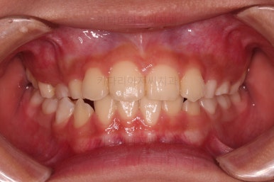
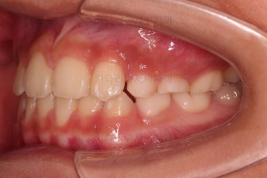
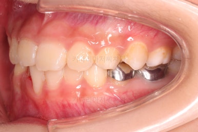
CASE 2.
나이 : 8세
총 치료기간 : 2주(2달 아님, 2주 맞음)
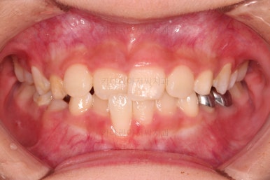
마찬가지로 얼굴모습 부터 분석해요.
골격에 문제가 있는 진짜 주걱턱은 아니라고 판단이 되었어요.
대신 앞니가 거꾸로 물려있어 웃는 모습부터 드러나는 치열의 모습까지 부자연스러운 모습인데요.
이번 환자분도 치료가 굉장히 빨리 끝났어요.
2주만에 해결!
장치도 굉장히 심플하고, 비용도 매우매우 저렴하답니다.
같은 문제를 고급 장치를 이용해서 비싸게 치료할 수도 있지만 목표치가 적당하다면 매우 좋은 치료라고 생각합니다.
바로 부산어린이교정 전후사진 비교해 볼게요.
단, 2주만에 문제시 되는 딱 한 개의 치아에만 포커스를 맞춰 해당 치아 반대교합만 개선해준 매우 훌륭한 치료였습니다.
이상 매우 간단한 장치로 매우 빠르게 반대교합을 치료한 부산어린이교정 두 명의 치료사례였습니다.
키다리아저씨치과에 오시는 길은 연제구 연산동 연산역 17번출구 바로 앞 건물 5, 6층입니다.
치과교정과 전문의(부산대 외래교수)가 상주하며 교정치료 합니다.
<위 사진은 환자분의 동의를 구한 후 공개하는 사진자료입니다. 사진은 과장이나 조작이 없는 원본사진입니다. 교정치료로 인한 부작용으로는 치근흡수, 충치, 치아변색, 실활 등이 있을 수 있으며, 치료 전후 사진은 의료법 제 23조, 제 56조에 의거하여 게재합니다. 개인의 상태에 따라 치료결과는 달라질 수 있으므로, 교정전문의와 상의를 요합니다.>























































































댓글