부산앞니부분교정 키다리아저씨치과에서 시행한 과개교합 및 나비치아 부분교정 치료사례
- 키다리아저씨치과

- 4월 1일
- 3분 분량
"미니스크류를 이용한 투명교정장치에 관한 논문"으로 2023년도 Angle orthodontist(미국의 교정학회지) SCI 저널에 제 1저자로 게재되었습니다.
"2023년 대한치과 교정학회에서 표창장을 수여하였습니다."
"2023년 세계 구순구개열 학회에서 포스터 발표를 하였습니다."
항상 공부하고 노력하는 키다리아저씨치과가 되겠습니다.
안녕하세요.
오늘 부산앞니부분교정 키다리아저씨치과에서 소개해 드릴 환자분은 위아래 앞니가 삐뚤어 부분교정으로 개선하고자 하셨던 분입니다.
나이 : 27세
총 치료기간 : 1년 1개월(총 13개월)
사용한 장치 : 자가결찰 세라믹(엠파워 클리어, Empower clear) + 미니스크류
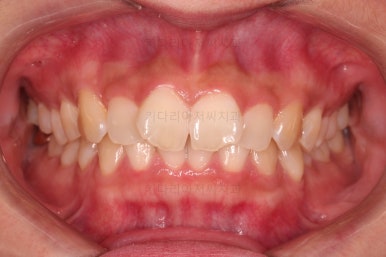
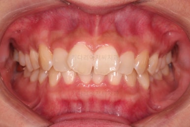
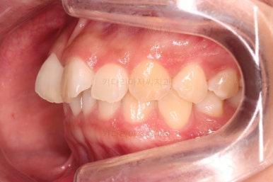
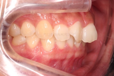
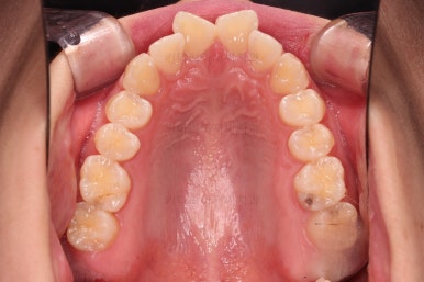
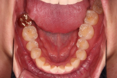
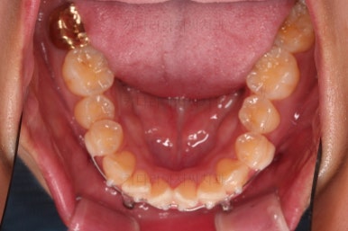
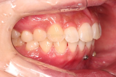
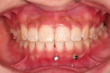
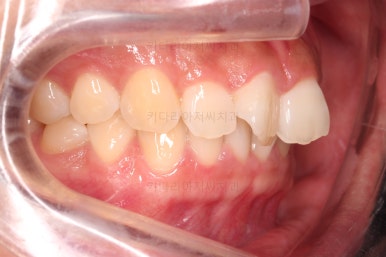
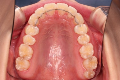
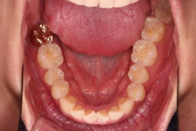
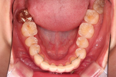
1. 초진
초진 시 입안의 모습입니다.
어금니 쪽은 약간 삐뚤긴 하지만 꼭 교정해야 할 정도는 아니고, 불편감 없이 비교적 잘 맞물리는 상태였습니다.
다만, 앞니ㅉㄱ이 공간이 부족해서 중간 치아들이 많이 회전되어있는데, 이를 환자분들의 표현에 따르면 "나비치아" 라고 부릅니다.
위아래 중간 앞니가 모두 나비치아처럼 되어있고요.
윗니가 아랫니보다 앞쪽으로 나와 있는 모습에 아래앞니가 윗니쪽으로 깊숙이 올라간 "과개교합" 양상을 보였습니다.
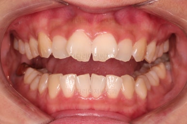
마찬가지로 초진 시 얼굴모습인데요.
옆라인은 편안하고 자연스러워 굳이 바꿔야될 필요는 없었습니다.
대신 입을 벌려 말하거나 웃을 때는 삐뚠 치열이 두드러져 미적으로 좋지 못한 상황이었습니다.
2. 치료계획
일반적으로 과개교합은 전체교정 케이스입니다.
왜냐하면 어금니에 비해 아래 앞니의 높이가 솟구쳐 있어서 높낮이를 어금니 기준으로 맞춰주려면 어금니까지 하는게 맞죠.
솟구친 아래 앞니만 내려주며 되지 않느냐? 하시지만 서로서로 엮어서 맞추는게 테크닉적으로 훨씬 수월하긴 합니다.
Q. 과개교합은 꼭 개선해줘야 되나요? 윗니만 그냥 부분교정하면 안되나요?
A. 물론 개선은 가능은 합니다. 다만, 교정 후에 유지철사라는 유지장치를 안쪽으로 부착해야 하는데 과개교합 상태로는 유지철사가 씹혀서 떨어집니다. 그러면 바로 치아는 틀어지기 시작하고요. 유지가 안되면 교정의 의미가 없는거겠죠.
Q. 과개교합을 고치는게 좋다는 건 이제 알겠는데, 꼭 전체교정을 해야 하나요?
A. 어금니에 비해 아래 앞니의 높이가 솟구쳐 있는 상태이므로 높낮이를 어금니 기준으로 맞춰주려면 어금니까지 교정하는게 맞죠. 솟구친 아래 앞니만 내려주면 되지 않느냐? 하시지만 서로서로 엮어서 테크닉적으로 훨씬 수월하긴 합니다.
그럼에도 환자분의 니즈는 부산앞니부분교정이었으므로 부분교정으로 해결하기로 했습니다.
고개교합 개선을 위해서 미니스크류를 적극적으로 활용하기로 했고요.
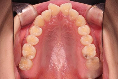
3. 치료경과
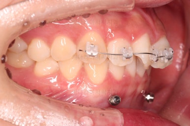
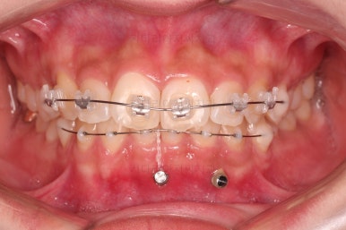
우선 윗니 앞니는 장치를 부착했고요.
아래 앞니는 장치 부착 이전에 아래로 앞니를 내려줄 미니스크류를 식립했습니다.
미니스크류가 단단하게 붙었을 시점에 아래 앞니도 장치를 부착하고요.
과개교합 개선을 위해서 미니스크류까지 힘을 줘서 아래 앞니를 내려줍니다.
이번 환자분이 사용한 장치는 엠파워 클리어라고 하는 자가결찰 세라믹 장치입니다.
일반적으로 클리피씨라고 많이 알고 계시는 장치가 "자가결찰 세라믹" 종류이며 여러 종류 중 엠파워 클리어도 있습니다.
제조사만 일본(클리피)이냐 미국(엠파워)이냐의 차이입니다.
아래 앞니는 브라켓보다는 훨씬 작은 미니튜브 장치를 사용했습니다.
과개교합의 경우 브라켓을 부착하게 되면 씹히게 되어 치료과정이 수월하지 못하기 때문이죠.
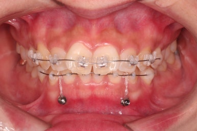
장치 부착 시점의 장치가 보이는 모습과 입매 변화 관찰해 주시고요.
중간중간 미니스크류가 빠지든, 위치적으로 좋은 곳을 선택하든 여러 이유로 미니스크류 재식립이 몇 번 있었고요.
부족한 공간은 치간삭제를 통해서 만들어 나갑니다.
부산앞니부분교정이라 얼굴모습 변화는 거의 없을 것으로 예상되지만, 중간중간 체크해 주고요.
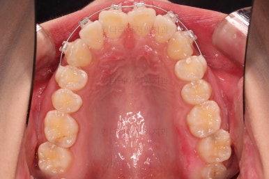
디테일을 위해서 윗니는 어금니에도 하나씩 장치를 더 부착했고, 아랫니는 바로 뒷 치아에도 장치를 부착했습니다.
과개교합 개선에 미니스크류까지 사용되었던 터라 매우 난이도가 높은(전체교정보다 훨씬 난이도가 높습니다.) 부산앞니부분교정이어서 1년여의 기간이 걸렸는데요.
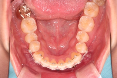
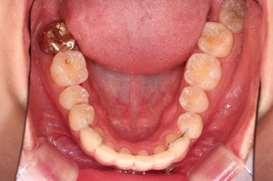
기왕(부분교정임을 감안했을 때) 오래 걸린거 좀 더 완성도를 높이고자 아래 앞니는 설측교정까지 부착했습니다.
역시 미니튜브 장치를 이용했고, 아래 앞니 안쪽에다가 장치를 부착해서 아주 미세한 배열을 맞춰드렸습니다.
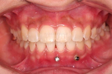
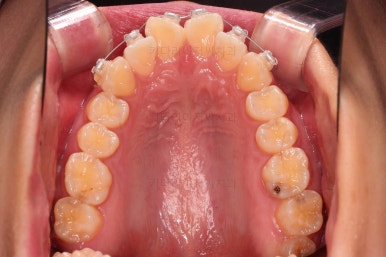
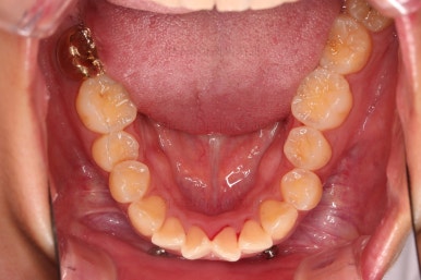
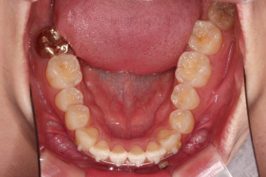
4. 마무리
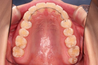
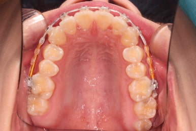
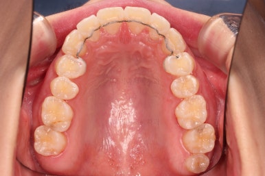
다시 틀어지지 말라고, 철사형 유지장치를 부착했고요.
과개교합이 재발되지 말라고 특수한 형태의 유지장치를 추가로 만들어드렸습니다.
부분교정치고는 비교적 긴 기간이었고(13개월), 중간에 타지역으로 발령나는 바람에 내원도 힘드셨지만, 약속도 매우 잘 지켜주셨고 협조도 좋아 잘 마무리 되었습니다.
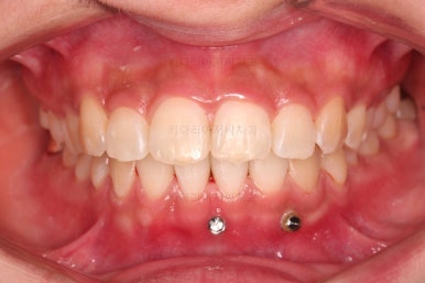
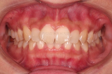
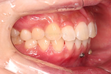
부산앞니부분교정 전후 비교해 볼게요.
배열, 과개교합, 튀어나온 앞니, 심지어 약간의 입매개선까지.
난이도 높은 부분교정이 잘 마무리 되었습니다.
이상 미니스크류를 이용해 과개교합을 개선하면서 나비치아를 부산앞니부분교정으로 개선한 치료사례였습니다.
부산 연산동 교정치과 키다리아저씨치과에 오시는 길은 연제구 연산동 연산역 17번출구 바로 앞 건물 6층입니다.
치과교정과 전문의(부산대 외래교수)가 상주하며 교정치료 합니다.
<위 사진은 환자분의 동의를 구한 후 공개하는 사진자료입니다. 사진은 과장이나 조작이 없는 원본사진입니다. 교정치료로 인한 부작용으로는 치근흡수, 충치, 치아변색, 실활 등이 있을 수 있으며, 치료 전후 사진은 의료법 제 23조, 제 56조에 의거하여 게재합니다. 개인의 상태에 따라 치료결과는 달라질 수 있으므로, 교정전문의와 상의를 요합니다.>









































































































































댓글