부산앞니벌어짐교정 키다리아저씨치과의 부분교정 치료사례
- 키다리아저씨치과

- 2025년 12월 22일
- 2분 분량

"미니스크류를 이용한 투명교정장치에 관한 논문"으로 2023년도 Angle orthodontist(미국의 교정학회지) SCI 저널에 제 1저자로 게재되었습니다.
항상 공부하고 노력하는 키다리아저씨치과가 되겠습니다.
안녕하세요.
오늘 부산앞니벌어짐교정 키다리아저씨치과에서 소개해 드릴 환자분은 치아 사이가 벌어져 부분교정으로 치료한 환자분입니다.
나이 : 16세
총 치료기간 : 4개월(4년 아님)
사용한 장치 : 자가결찰 세라믹(엠파워 클리어, Empower clear)
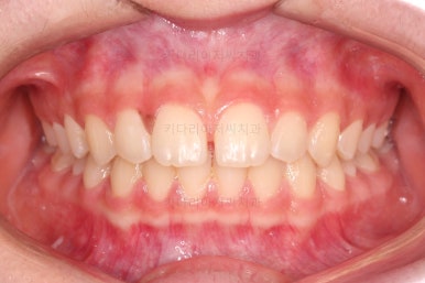
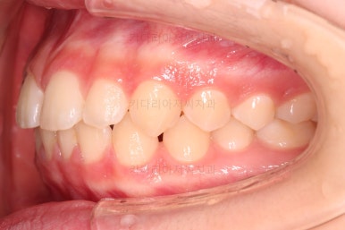
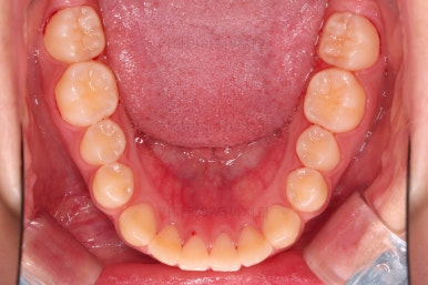
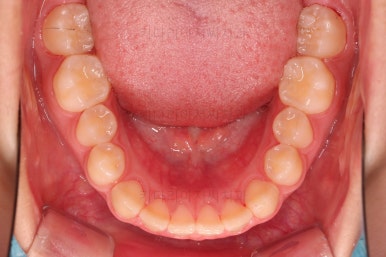
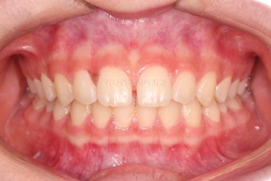
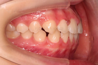
부산앞니벌어짐교정 초진 시 입안의 모습입니다.
치아가 가지런한 정도는 양호한데요.
군데군데 틈이 있네요.
윗니는 정중앙, 아랫니는 송곳니 뒤편에 조금씩 있어요.
우리나라는 특히 앞니 사이 정중앙이 틈새가 있으면 복이 나간다는 속설이 있어서 유달리 틈새를 개선하고 싶어하시는데요.
이번 환자분도 아래쪽이나 뒤쪽은 틈새가 있어도 괜찮은데 정중앙 틈새 만큼은 개선을 원하셨어요.
부산앞니벌어짐교정 초진 시 얼굴 모습입니다.
당연히 정중앙의 틈새가 눈에 띄고요.
옆라인에서 돌출감도 느껴지네요.
전체교정? 발치교정? 부분교정?
교정치료는 100점 만점 치료가 아닙니다.
목표를 얻으려면 다른 부분을 감안하거나 수용하거나 포기해야 될 부분도 생기기 마련이거든요.
그래서 환자분이 직접 원하는 목표를 정확히 타겟팅 하는 것이 주요하고 그 부분 이외에는 수용하거나 고쳐지지 않는 점을 분명히 하고 시작해야 만족도가 높아집니다.
이번 환자분도 원하시는 목표는오로지 정중앙의 틈새였습니다.
이런 점을 반영하지 않고 입이 나왔으니 전체교정, 입을 넣고자 발치교정 등등으로 일방통행식 목표를 세운다면 환자분의 니즈를 반영하지 못하는 것이겠죠.
오로지 정중앙의 틈새
심지어는 뒤쪽의 틈새는 괜찮으시답니다.
아래쪽 틈새도 괜찮으시답니다.
정중앙의 틈새를 모으다가 혹시나 뒤쪽으로 틈새가 생기더라도 그것도 괜찮으시답니다.
그러면 이번 치료의 답은 부분교정이겠지요.
그것도 윗니 앞니만 하는 부분교정.
대신에 조건을 붙입니다.
아래쪽이 틈이 있는만큼 위쪽도 어딘가 틈이 있어야 위아래가 조화롭다.
정중앙의 틈을 모으면 송곳니 뒤쪽으로 틈이 생길텐데 괜찮으시겠냐? 라는 질문에 Yes 라고 하셨기 때문에 부분교정으로 진행하였습니다.
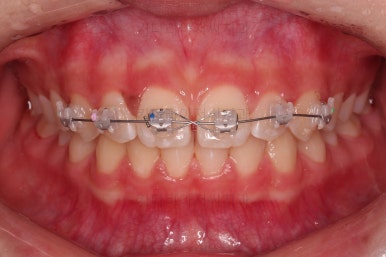
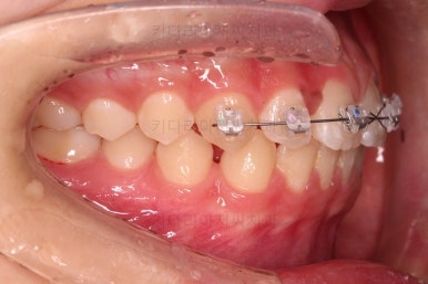
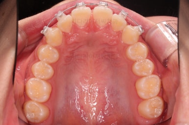
아랫니는 그대로 두고, 윗니 앞니만 장치를 부착했습니다.
이번에 사용한 장치는 엠파워 클리어라고 하는 자가결찰 세라믹 장치인데요.
흔히들 아시는 클리피씨와 같은 종류의 장치입니다.
철사를 잡아주는(결찰) 뚜껑이 브라켓에 달려있는(자가) 세라믹 성분의 브라켓인데요. 클리피씨는 일본회사제품, 엠파워 클리어라는 미국회사제품이라는 차이가 있지 같은 컨셉의 장치라고 보시면 됩니다.
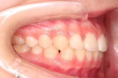
장치 부착 직후의 얼굴 모습입니다.
장치로 인해 입이 거의 안나오는 타입의 환자분인데요.
보이는 느낌 등 참고 바랍니다.
이번 포스팅은 중간 과정없이 바로 종료사진이네요.
4개월 밖에 안걸린 치료라 과정이랄 것도 없습니다.
앞니를 쪼운다 -> 송곳니 뒤쪽으로 틈새가 옮겨갈텐데 수용한다.
이게 끝이거든요.
그래도 환자분은 만족하세요.
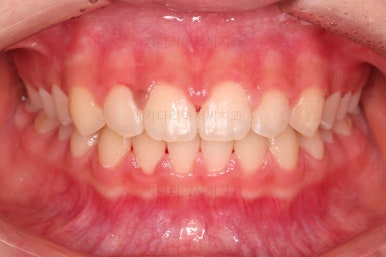
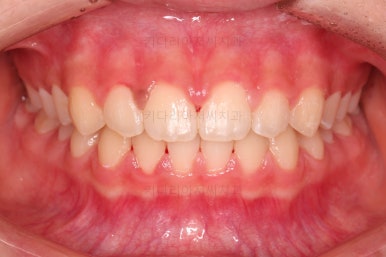
부산앞니벌어짐교정 전후 비교를 해볼게요.
단, 4개월 만에 가장 적게 장치를 부착하여 환자분이 원하시는 바를 100% 달성했습니다.
만약 제가 "입이 나왔네, 뭐하네" 하면서 더 넓은 버위의 치료를 권했다면, 기간도 훨씬 많이 걸리면서 환자분과는 동상이몽의 상태가 되는거죠.
매우 만족스러운 치료였습니다.
이상 부분교정을 통해 부산앞니벌어짐교정 교정한 치료 사례였습니다.
부산 연산동 교정치과 키다리아저씨치과에 오시는 길은 연제구 연산동 연산역 17번출구 바로 앞 건물 6층입니다.
치과교정과 전문의(부산대 외래교수)가 상주하며 교정치료 합니다.
<위 사진은 환자분의 동의를 구한 후 공개하는 사진자료입니다. 사진은 과장이나 조작이 없는 원본사진입니다. 교정치료로 인한 부작용으로는 치근흡수, 충치, 치아변색, 실활 등이 있을 수 있으며, 치료 전후 사진은 의료법 제 23조, 제 56조에 의거하여 게재합니다. 개인의 상태에 따라 치료결과는 달라질 수 있으므로, 교정전문의와 상의를 요합니다.>



















































































댓글