부산앞니교정 키다리아저씨치과의 결혼식을 앞둔 예비시분 MTA 부분교정 치료사례
- 키다리아저씨치과

- 2025년 3월 24일
- 2분 분량
안녕하세요.
오늘 부산앞니교정 키다리아저씨치과에서 소개해 드릴 내용은 결혼을 앞두고 삐뚤어진 앞니를 빠른 시일 내에 바로잡고 싶어하셨던 분의 앞니 부분교정 치료사례 입니다.
나이 : 26세
총 교정기간 : 4개월 + 3개월
사용한 장치 : MTA(미니튜브) + 자가결찰 세라믹(클리피씨)
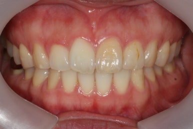
부산앞니교정 키다리아저씨치과에 처음 내원하셨을 당시의 얼굴 모습입니다.
약간의 돌출감 및 웃을 때 잇몸이 보이는 문제가 있었지만 개선을 원하시는 가장 큰 포인트는 삐뚤어진 앞니였습니다.
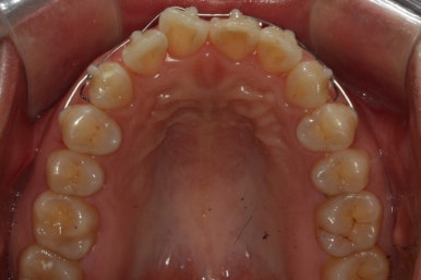
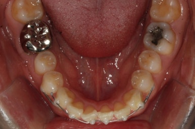
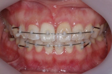
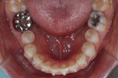
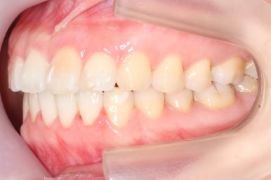
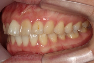
부산앞니교정 키다리아저씨치과에 처음 내원하셔쓸 당시의 입안 모습입니다.
앞니가 살짝 삐뚤어진 것을 볼 수 있고, 삐뚤어진 사이에서 약간의 틈새도 있었습니다.
예전에 치료 받으셨던 앞니 부분에 약간의 변색도 와서 미적으로 좋지 못한 상황이였습니다.
결혼식을 앞둔 예비신부의 앞니 부분교정
기타 약간의 문제점들이 있었지만 크게 신경 쓰지 않으셨고, 앞니만 바로 하고 싶어하셨기 때문에 부분교저으로 충분히 개선이 가능하리라 생각했습니다.
일반적으로 부분교정은 치료기간이 6개월 전후입니다.
문제는 결혼식이 4개월 밖에 남지 않은 상황이었고, 최대한 빠른 시일 내에 정리해 보기로 하였습니다.
이번에 사용한 장치는 미니튜브(MTA)장치였습니다. 일반적으로 사용되는 브라켓 장치에 비해 부피도 훨씬 작고, 철사 이외에는 눈에도 잘 띄지 않아 부분교정 케이스에 적합한 장치입니다.
다만 브라켓과는 다르게 복잡한 양상의 치아이동에는 적합하지 않기 때문에 전문가와 잘 상의하시어 장치 선택을 하셔야 합니다.
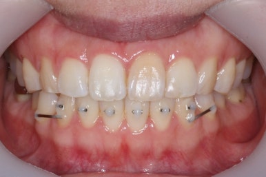
장치를 처음 부착하고 두 번째 조절을 했을 때의 사진입니다.
부분교정의 경우 치료기간을 앞당기기 위해 3주의 내원간격으로 하는 경우가 많은데, 이번의 경우는 결혼식까지 남은 시간이 너무 촉박하여 완벽히 치료를 끝내지 못할 가능성이 컸습니다.
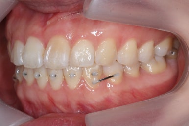
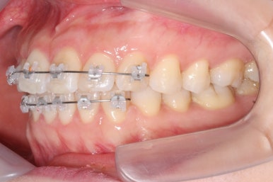
세 번째 조절입니다.
가지런한 정도는 매우 좋아졌고, 군데군데 틈새가 있어서 조여주고 있는 상황입니다.
이정도만 되어도 결혼식을 진행하시기에 어느 정도 만족도 있는 수준까지 왔다고 생각되어졌습니다.
결혼식이 다가왔습니다.
거의 마무리된 듯 싶지만 약간의 조절을 더 해드리고 싶었고 결혼식만 끝나고 바로 장치 재부착을 전제로 윗니들은 장치를 제거했습니다.
변색되었던 왼쪽 작은 앞니 부분도 변색을 제거해 드렸습니다.
치료한 지 4개월만에 큰 틀에서의 치료는 완료되었습니다.
이 때 부터 문제가 생겼습니다. 결혼식 후에 바로 오시기로 했는데 연락두절....
한참 뒤에 연락이 닿았는데 이사를 다른 지역으로 가시게 되어 그동안 못오셨고, 결혼 후에 보기로 했었는데 아이엄마가 되어서 나타나셨습니다.
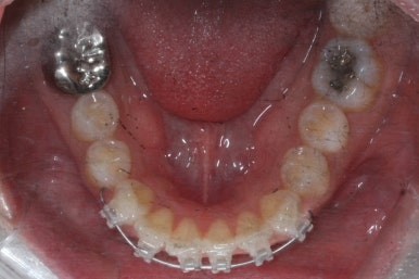
그리하여 부산앞니교정 키다리아저씨치과에서 장치를 재부착하고 일종의 재교정을 들어갔습니다.
유지장치를 하지 않은 상태였기 때문에 원래대로 앞니가 되돌아간 것을 볼 수 있습니다.
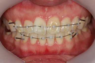
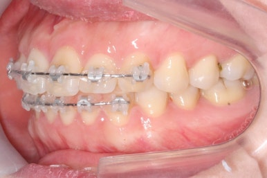
이번에는 약간 다른 양상으로 조절을 하기 위해서 MTA 장치 말고 일반 브라켓을 붙이기로 하였습니다.
이번에 사용한 장치는 클리피씨라고 하는 세라믹 자가결찰 장치였습니다.
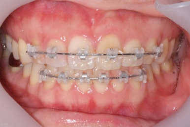
우여곡절 끝에 어찌어찌 마무리를 하게 되었습니다.
두 번째 교정에서 걸린 시간은 총 3개월이었습니다.
첫 번째 교정기간 4개월과 합하면 총 7개월이 걸렸는데 중간에 치아가 다시 삐뚤어지는 바람에 조금 많이 걸리긴 했습니다.
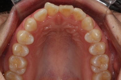
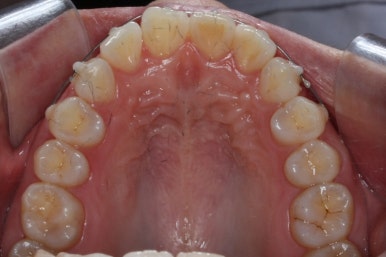
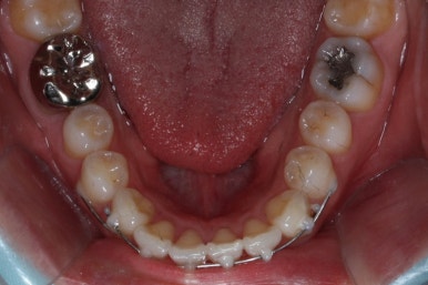
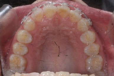
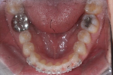
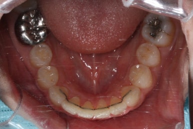
어쨌든, 앞니는 가지런하게 마무리가 잘 되었고, 앞니 안쪽에는 유지철사를 부착하고 치료를 종료하였습니다.
얼굴 모습을 보시겠습니다.
부산앞니교정 이다보니 얼굴모습은 전후가 그리 차이가 나진 않습니다.
부산앞니교정 키다리아저씨치과에서 시행한 이번 MTA 부분교정의 전후 비교입니다.
위아래 앞니가 가지런해졌고, 작은 앞니의 얼룩무늬도 없어졌네요.
이상 부산앞니교정 키다리아저씨치과에서 결혼을 앞둔 예비신부를 MTA, 클리피씨 장치를 이용하여 부분교정을 한 치료사례였습니다.
키다리아저씨치과에 오시는 길은 연산역 17번출구 바로 앞 건물 5, 6층입니다.
치과교정과 전문의(부산대 외래교수)와 치과보철과/통합치의학과 전문의(부산대 외래교수) 2명이 상주하며 교정치료와 일반치과치료를 협진하여 진료합니다.
<위 사진은 환자분의 동의를 구한 후 공개하는 사진자료입니다. 사진은 과장이나 조작이 없는 원본사진입니다. 교정치료로 인한 부작용으로는 치근흡수, 충치, 치아변색, 실활 등이 있을 수 있으며, 치료 전후 사진은 의료법 제 23조, 제 56조에 의거하여 게재합니다. 개인의 상태에 따라 치료결과는 달라질 수 있으므로, 교정전문의와 상의를 요합니다.>






































































































댓글