부산앞니교정 키다리아저씨치과에서 시행한 치아사이 틈새, 뻐드러진 토끼치아 교정(feat. 손가락 빨기)
- 키다리아저씨치과

- 2025년 10월 14일
- 2분 분량
키다리아저씨치과는 치과교정과 전문의(부산대 외래교수)와 통합치의학과 전문의 원장님이 상주하며 협진하는 치과입니다. 부분교정에서부터 난이도 높은 교정진료는 교정과 원장님이 진료를 하며, 임플란트, 사랑니발치, 충치치료, 틀니 등 일반진료는 통합치의학과 전문의 원장님이 진료합니다.
교정과 일반진료의 협진으로 자기치아를 최대한 아끼고 오래 쓰는 방법을 고심하며 수준 높은 진료를 제공합니다.
안녕하세요.
오늘 부산앞니교정 키다리아저씨치과에서 소개해 드릴 환자분은 앞니 사이에 틈이 벌어지고, 앞니가 뻐드러져 있었던 환자분입니다.
나이 : 23세
총 치료기간 : 1년 1개월(총 13개월)
사용한 장치 : 자가결찰 세라믹(엠파워 클리어, Empower clear) + 미니스크류
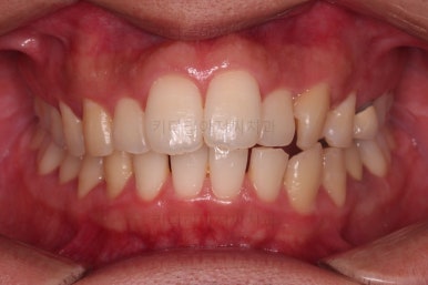
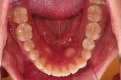
초진 시 입안의 모습입니다.
부정교합이 있고요.
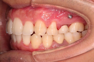
옆쪽에서 보면 치아와 치아가 1:1로 부딪히는데(화살표 표시) 좋지 못한 교합입니다.
윗니와 아랫니가 앞뒤로 지그재그 서로서로 껴있어야 좋은 교합인데 전반적으로 윗니가 앞으로 밀려있는 양상의 교합이에요.
장기적으로 치아, 잇몸 건강에 좋지 못하답니다.
또한 눈에 띄는 모습은 앞니가 튀어나오고, 사이사이 틈새가 보인다는 점이에요.
원인은?
치열이 삐뚤어지거나 튀어나오거나 틈새가 있거나.... 모든 현상에는 원인이 있답니다.
이번 환자분의 원인은 무었이였을까요?
원인을 제대로 파악하지 못한다면 그 원인이 또 다시 문제가 되어 교정치료 후에 재발이 굉장히 잘 되게 됩니다.
호흡기, 습관

이번 환자분의 원인은 크게 두 가지로 추측이 가능했어요.
하나는 호흡기, 코로 숨이 들어가서 폐까지 도달하는 중간중간 길목이 좁다면 자연스런 코 호흡이 불가능해집니다. 입으로 숨을 쉬는 분들이 구강구조가 튀어나오고 틈새도 벌어지는 일이 흔해요.
왜그럴까요?
어떻게 차단해야 할까요?
비밀입니다ㅎㅎ
여기다 쓰기에는 이야기가 길어지니 궁금하신 분들은 부산앞니교정 키다리아저씨치과로 내원 부탁합니다😀
두 번째 원인은 습관.
이번 환자분은 손가락을 빠는 습관이 있었는데요. 심지어는 성인이 되어서도 무의식 중에 손가락을 빨았다고 합니다.
이런 구강습관은 심리적 요인도 매우 크기 때문에 이런 부분을 상담과 대화를 통해서 풀어나가고 필요하면 특정 장치를 보조적으로 사용하기도 합니다.
마찬가지로 초진 시 얼굴 모습입니다.
많이 심하진 않지만 돌출된 치열로 인해 약간의 입매 돌츨 느낌도 있네요.
웃거나 말할 때 드러나는 치열이 고르지 못하고 치아가 튀어나와 보이네요.
치료 목표는 치열을 바로잡고 교합을 바로잡고, 입매를 살짝 넣어줄 목적의 비발치교정 입니다.
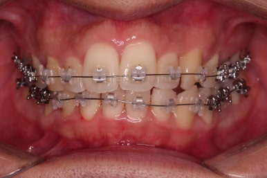
장치를 부착한 사진입니다.
이번 환자분이 부산앞니교정 선택하신 장치는 엠파워 클리어라고 하는 자가결찰(스스로 철사를 묶어주는 뚜껑이 달린) 세라믹 재질의 장치였어요.
흔히 클리피씨라고 알려진 종류의 장치인데요.
클리피는 일본장치, 엠파워는 미국장치, 제조사만 다를 뿐이고 큰 틀에서는 유사한 장치에요.
장치를 부착하고 철사를 주기적으로 바꿔주면서 치아를 가지런하게 해요.
장치를 부착한 직후의 모습입니다.
세라믹이라 비교적 밟아보이고 입술을 다물었을 때는 장치의 볼륨감으로 인해 약간은 입술이 더 불편해진 모습이에요.
가지런하게 하고 틈새를 모으며 교합을 맞추기 위해서(위아래 치아가 서로 지그재그로 껴들어가게 하기 위해) 윗니들을 뒤로 뒤로 당겨줘요.
이 때 사용되는 장치가 미니스크류인데요.
다양한 위치와 방향으로 치아를 움직여줄 수 있답니다.
같은 방식으로 지속적으로 반복치료하여 치료를 종료하였어요.
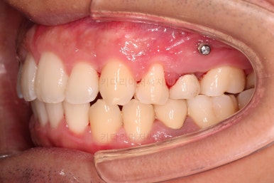
치열이 매우 가지런해졌고 틈새도 없어졌으며 교합도 잘 맞아졌어요.
사이가 다시 벌어지거나 틀어지지 말라고 치아 안쪽면으로 부착형 철사 유지장치를 붙이고 마무리를 했어요.
부산앞니교정 전후사진을 비교해 볼게요.
치열이 가지런해지고 틈새가 없어졌으며 윗니가 뒤로 들어가니 얼굴 모습도 좋아졌네요.
웃는 모습도 자연스럽고 예쁘고 입술을 다물었을 때도 살짝 들어가면서 훨씬 좋아졌어요.
물론 교정기간 동안 손가락을 빠는 습관도 완벽히 개선하셨다고 하니 매우 다행이었어요.
이상 부산앞니교정 키다리아저씨치과에서 비발치교정으로 치아사이 틈새, 뻐드러진 앞니, 돌출입을 치료한 사례였습니다.
키다리아저씨치과에 오시는 길은 연제구 연산동 연산역 17번출구 바로 앞 건물 5, 6층입니다.
치과교정과 전문의(부산대 외래교수)와 통합치의학과 전문의(서울대학교 졸업) 2명이 상주하며 교정치료와 일반치과치료를 협진하여 진료합니다.
<위 사진은 환자분의 동의를 구한 후 공개하는 사진자료입니다. 사진은 과장이나 조작이 없는 원본사진입니다. 교정치료로 인한 부작용으로는 치근흡수, 충치, 치아변색, 실활 등이 있을 수 있으며, 치료 전후 사진은 의료법 제 23조, 제 56조에 의거하여 게재합니다. 개인의 상태에 따라 치료결과는 달라질 수 있으므로, 교정전문의와 상의를 요합니다.>







































































































댓글