부산안면비대칭 키다리아저씨치과의 양악수술 + 치아교정 동반 치료사례
- 키다리아저씨치과

- 2025년 11월 11일
- 3분 분량
안녕하세요.
오늘 부산안면비대칭 키다리아저씨치과에서 소개해 드릴 환자분은 얼굴의 비대칭으로 양악수술과 치아교정을 병행해서 받으신 환자분입니다.
나이 : 22세
총 치료기간 : 1년 9개월(총 21개월)
사용한 장치 : 자가결찰 메탈(엠파워 메탈, Empower metal) + 미니스크류 + 악궁확장장치
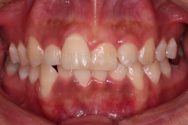
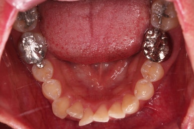
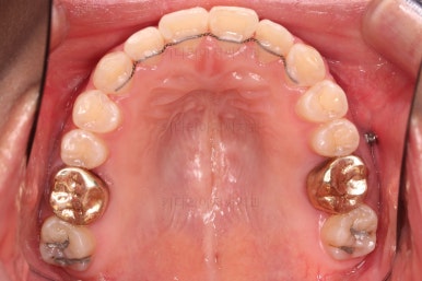
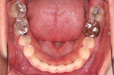
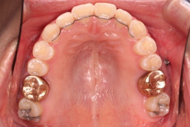
초진 시, 입 안의 모습이에요.
위아랫니가 삐뚤고 교합이 약간 맞지 않네요.
입 안만 보면 심플하게 교정하면 되겠다 싶지만, 문제는 다른 곳에 있었어요.
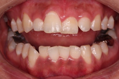
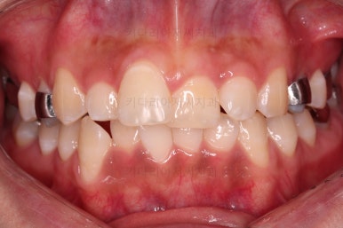
마찬가지로 초진 시 얼굴모습입니다.
아래턱이 좌측으로 굉장히 많이 틀어진 안면비대칭이 있는 상황이었어요.
턱뼈가 한 쪽으로 치우치다 보니 입술과 치열도 함께 기울었어요.

안면비대칭의 진단, 진짜 비대칭 vs 가짜 비대칭
진짜 비대칭과 가짜 비대칭을 구분하기 위해서 3차원 CT가 활용됩니다.
가짜 비대칭은 턱관절에서의 관절뼈 위치가 잘못된 경우, 치아교정을 통한 교합 개선이나 마사지 등을 통해 개선이 가능한데요.
진짜 비대칭은 턱관절에서의 관절뼈 위치도 정확한데 턱뼈 자체가 뒤틀어지거나 좌우 길이 차이가 나는 등 뼈 자체가 비대칭인 경우, 아무리 마사지나 자세교정이나 치아교정 등을 해도 뼈는 바뀌지 않아요.
간혹 진짜 비대칭인 경우인데도 다른 방식으로 접근하거나 다른 방식으로 개선이 되겠지 기대하시다가 문제가 해결이 안되거나 더 커져서 내원하시는 경우도 있어요.
정확한 진단이 필요합니다.
이번 환자분의 경우에도 안면비대칭을 치아교정만으로 개선할 수 있겠냐는 기대감으로 내원하셨지만 턱뼈 자체가 문제가 된 진짜 비대칭의 경우라서 교정을 통해서는 현재 상태에서 교합만을 맞추는 것이 목적이다라고 분명히 언급드리고 교정치료를 들어갔습니다.
부산안면비대칭 첫 단꼐로 악궁확장 장치를 했어요.
비대칭이 있어서 한 것도 아니고, 공간이 부족해서 한 것도 아니에요.
비발치로 하고자 해서 한 것도 아니에요.
단순히 위아래의 조화가 안맞을 때 하는 것이 악궁확장이며 이번 환자분도 위아래의 조화가 안맞아서 악궁확장장치를 사용했고, 그 근거는 CT 분석을 통해서 이루어져요.
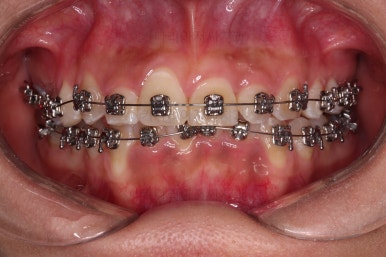
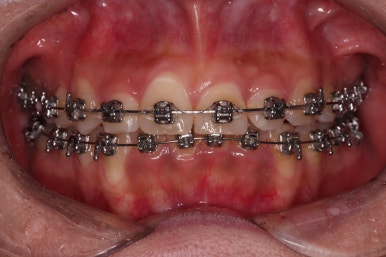
악궁확장 이후에 교정장치를 부착하고 치열을 가지런하게 해줘요.
이번에 사용한 장치는 엠파워 메탈이라고 하는 자가결찰 메탈 장치입니다.
거듭 말씀드렸지만 메탈이라고 다 옛날의 구식 장치가 아니에요.
"자가결찰" 인지 아닌지 여분가 훨씬 중요한데요.
"자가결찰" 메탈장치라면 치료효과가 좋은 "자가결찰"장치의 한 종류이므로 기능이 매우 좋은 장치랍니다.
장치 부착 이후의 느낌도 봐주시고요.
치열이 점점 가지런해지죠?
조금만 더 하면 마무리를 할 수 있겠네요.
이번 환자분처럼 부산안면비대칭 있으신 분들은 미묘하게 양쪽 어금니의 각도라던지 앞니의 기울기 등 약간의 비대칭 느낌을 남겨놔야 치료가 종료 돼요.
위아랫니의 중앙선도 100% 맞추는 건 힘들고요.
적당한 선에서 기능이 잘되게 끔만 하고 마무리를 하게 된답니다.
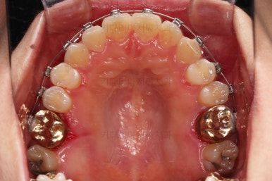
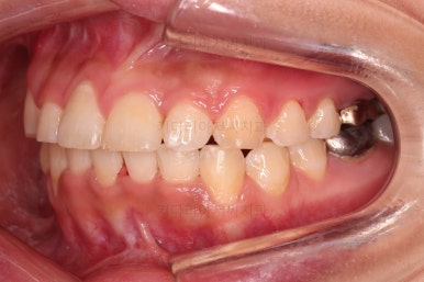
마무리 전 얼굴모습도 체크해주고요.
이 쯤에서 눈치 채신 분 있으실 겁니다.
제목에서는 분명 양악수술 + 치아교정 이었거든요. 근데 마무리?
키다리 : "조만간 치료를 종료할 수 있겠습니다."
환자분 : "드릴 말씀이 있는데요."
키다리 : "뭔가요?"
환자분 : "저 양악수술 할래요."
키다리 : "네???? 안됩니다!!!!"
안된다는 표현은 진짜 하면 안된다는 뜻이 아니고요.
양악수술을 전제로 한 치아교정과 치아교정으로만 끝내기 위한 교정 방향성과 방법이 완전히 달라요.
그래서 아예 처음부터 정하고 들어가는 것이 좋은데요.
환자분은 처음에는 교정으로만 가지런하게 하고 기능을 개선하겠다고 결심하셨으나, 치료 종료를 앞두니 아쉬우신가봐요.
어렵게 양악수술을 하기로 결정을 하셨어요.
경우에 따라서는 교정만을 위한 교정을 진행하다가 양악수술을 중간에 하는 경우, 오히려 왔던 길을 다시 되돌아가야해서 치료기간이 훨씬 많이 걸리기도 하는데요.
이번 환자분은 양악수술 후에 최대한 빨리 교정치료도 마무리 하고 싶어하셨어요.
(이미 양악수술 여부를 몰랐던 상황이었지만, 교정치료 종료에 대한 말씀을 들으셨던터라)

면밀한 분석으로 수술을 할 구강외과와 소통을 하게 됩니다.
심미성, 기능성을 바탕으로 수술 양을 정하고 수술에 임하게 됩니다.
수술 후에 오셨어요.
적절한 교정치료로 수술 후 교합을 맞추는 과정을 거쳐야 했고요.
원래 비대칭에 대한 양악수술은 100% 개선을 목표로 하면 안좋아요.
수술도 사람 손으로 하는 부분이고, 특히 뼈는 모양을 맞춰도 뼈를 덮고 있는 근육, 피부, 지방 등 말랑한 살은 잘랐다가 붙이는 길이 조절이 힘들기 때문에 비대칭이 약간 남아보일 수 있어요.
이번 환자분은 비대칭 개선이 굉장히 잘된 편이었고요.
적절한 마무리 후에 부산안면비대칭 교정치료도 종료하게 됩니다.
중앙선에는 비대칭이 남았죠?
애초에 수술을 전제로한 교정치료를 시작했었다면 충분히 더 개선될 수 있는 부분이었는데요.
중간에 치료 방향을 바꾸었던터라 중앙선까지는 맞추기 힘들다는 점을 환자분도 인지하시고 들어가셨어요.
그래도 기능적으로 문제 없었고, 가지런한 느낌 좋아서 부담 없이 마무리를 할 수 있었습니다.
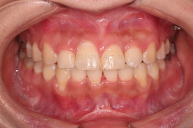
부산안면비대칭 전후사진 비교해 볼게요.
잇몸의 높이가 들쭉날쭉한 부분은 교정으로 개선되기 힘든 부분이라 원하시면 잇몸을 잘라내는 잇몸성형을 추천드렸고요.
중앙선에의 아쉬운 점을 제외하고는 비대칭부터 시작해서 가지런한 느낌, 교합 등 모두 잘 개선되었어요.
이상 양악수술과 치아교정을 동반하여 안면비대칭을 치료한 사례였습니다.
키다리아저씨치과에 오시는 길은 연제구 연산동 연산역 17번출구 바로 앞 건물 5, 6층입니다.
치과교정과 전문의(부산대 외래교수)가 상주하며 교정치료 합니다.
<위 사진은 환자분의 동의를 구한 후 공개하는 사진자료입니다. 사진은 과장이나 조작이 없는 원본사진입니다. 교정치료로 인한 부작용으로는 치근흡수, 충치, 치아변색, 실활 등이 있을 수 있으며, 치료 전후 사진은 의료법 제 23조, 제 56조에 의거하여 게재합니다. 개인의 상태에 따라 치료결과는 달라질 수 있으므로, 교정전문의와 상의를 요합니다.>


























































































































댓글