부산소아교정 키다리아저씨치과의 어린이 주걱턱, 반대교합 치료사례
- 키다리아저씨치과

- 2025년 4월 15일
- 3분 분량
안녕하세요.
오늘 부산소아교정 키다리아저씨치과에서 소개해드릴 환자분은 앞니가 거꾸로 물리고, 얼굴 모습이 주걱턱 형태였던 어린이 환자였습니다.
나이 : 8세
총 치료기간 : 치료 10개월 + 유지 11개월
사용한 장치 : 페이스마스크(facemask) + 프랑켈 장치(FR III)
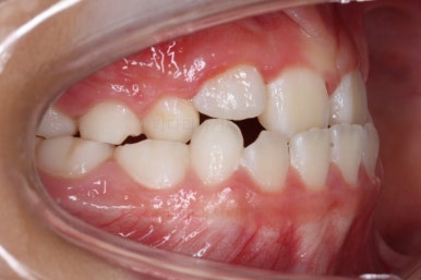
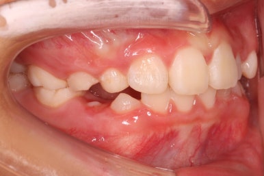
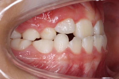
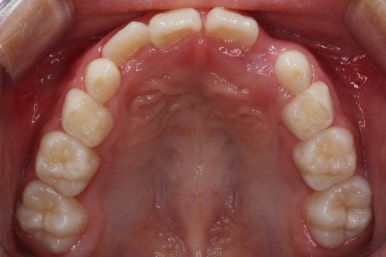
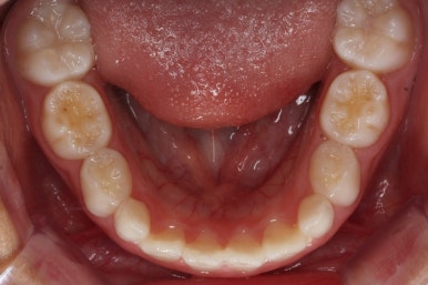
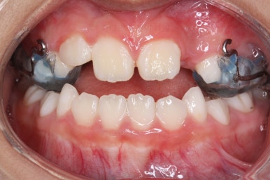
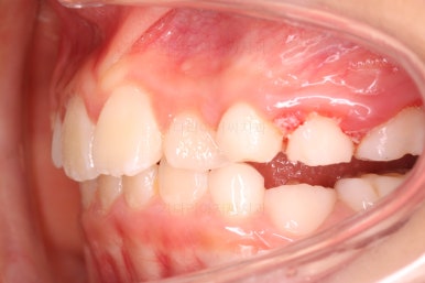
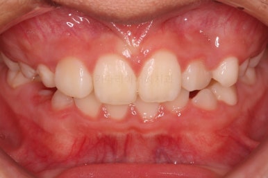
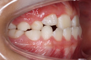
우선 처음 내원 하셨을 때의 입안의 상태를 보겠습니다.
아직 나이가 어리다 보니 곳곳에 유치가 남아 있었어요. 보통 이렇게 영구치가 다 나오지 않았을 경우, 보호자분들은 "치아교정"에 대해서는 전혀 생각해 보시지 않으셨을 수 있어요.
대신 어릴 때도 꼭 해야 하는 경우가 있습니다.
앞니가 거꾸로 물린다면 발견 즉시 개선해 주어야 한다!!
거꾸로 물린다는 건, 위 앞니가 아래 앞니보다 뒤로 들어가 있는 양상인데, 왜 발견 즉시 해줘야 하냐면 원래 성장하게 될 아래턱의 크기 보다 훨씬 더 크게 자라게 할 수 있기 때문입니다.
즉 이가 거꾸로 물리는 상황이 아래턱을 더 크게 만들어 주걱턱이 아닐 친구들도 주걱턱으로 만들 수 있다는 것이죠.
이번 환자분의 경우도 앞니가 거꾸로 물리는 상황이어서 치료가 필요한 상황이였습니다.
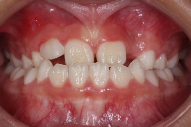
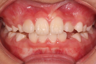
이번에 부산소아교정 키다리아저씨치과에 처음 오셨을 때의 얼굴 모습입니다.
입술을 다물었을 때의 하관이 약간 발달한 느낌을 주고, 코 주위의 얼굴 부분이 발육이 모자라 함몰 같이 느껴집니다.
전체적으로 옆모습이 오목한 양상입니다.
주걱턱 양상으로 판단될 경우, 총 3가지 방법으로 치료가 진행됩니다. 즉 주걱턱의 심한 정도에 따라서 치료방법을 정해주는데요.
1. 골격 관계가 심할 때 : 페이스마스크(facemask)
2. 골격 관계까 그리 심하지 않을 때 : 프랑켈 장치(FR III), 프리올소 등의 마우스피스 같은 장치
3. 골격 관계는 정상이나 치아만 거꾸로 물릴 때 : 치열교정
즉, 뼈의 발육 정도를 정확히 판단하는 것이 중요합니다.
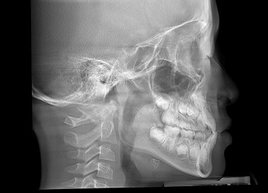
옆모습 X-ray가 매우 중요합니다.
위-아래턱의 뼈 크기, 비율 등을 정확히 계측해서 뼈의 성장 양상을 정확히 파악해야 됩니다.
이번 환자분은 뼈 자체가 주걱턱 양상이어서 뼈를 성장 시켜주는 페이스마스크를 사용하기로 했습니다.
그렇다면 어린이 주걱턱 교정의 최적기는?
치료 최적기 : 만 6세 ~ 10세 사이
이 시기보다 이르거나 늦으면 뼈의 반응이 효과적이지 못하여 치료가 제대로 되기 힘들어요.
간혹 초등학교 고학년 때 주걱턱 상담을 받으러 오시는 분들이 있는데 안타깝지만 뼈성장을 적극적으로 조절해주기는 힘들다고 말씀을 드립니다.
그렇다면 뼈 나이는 어떻게 판단하느냐?

손의 X-ray 사진을 찍으면 뼈의 실제 나이를 알 수 있습니다. 이번 환자분의 뼈 나이는 7.5세 가량이었고, 주걱턱 성장교정의 최적의 시기에 들어와 있었어요.
이렇게 손의 뼈로 판단하는 것을 "성장판 검사"라고 표현합니다. 실제 나이와 뼈나이가 얼마나 차이나는지, 해당 뼈나이에서 내 키와 몸무게는 몇 %에 속하는지 등이 궁금해서 성장판 검사만 받으시는 분도 있으세요.
어린이 주걱턱의 경우 호흡기에 문제가 있는 경우가 굉장히 많습니다.
얼굴 모습을 다시 보시면 입술이 희고 부르튼 양상이죠? 코로 호흡이 잘 안되어 입을 늘 벌리고 숨을 쉬는 경우 입술이 저런 양상입니다. 입술 자체도 건조해질 뿐만 아니라 건조해져서 입술을 자꾸 빠는 습관도 생길 수 있기 때문입니다.
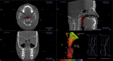
부산소아교정 키다리아저씨치과에서는 우측 사진처럼 호흡기의 구조를 세심히 판단하고 들어가요.
(호흡기 구조까지 알려주는 치과는 아마 거의 없을거에요.)
이번 환자분의 경우 콧속(비강)이 매우 좁아 구조적으로 코로 호흡하기가 힘든 상황입니다.
호흡이 잘 안되면 연쇄적으로 턱뼈의 성장에 영향을 줘요. 특히 윗니-코주위까지의 위턱뼈를 3차원적으로(앞뒤-좌우) 좁아지게 만듭니다.
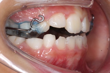
치료를 시작하였습니다.
얼굴 바깥쪽에 마스크를 쓰고, 입 안에 부착된 장치와 고무줄로 연결시켜주면 위턱뼈가 서서히 성장하게 됩니다.
처음 이 장치를 보여드리면 거부감이 굉장히 심합니다. 그래도 하루 12~14시간 끼면 되기 때문에 밤에 집에 있을 때만 착용하면 됩니다.
입안의 장치는 고무줄을 페이스마스크로 걸어주는 매개체 역할도 하고 3차원으로 좁아진 위턱뼈를 양옆으로 넓혀주는 기능도 해요.
이제부터는 위턱뼈를 앞으로 꺼내주고, 양옆으로 넓혀줄 거에요.
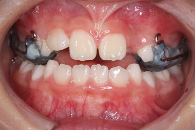
치료 시작 3개월째의 모습입니다.
윗니가 점점 앞으로 나오는게 보이실거에요. 사실은 치아가 나오는 것이 아니라 치아가 담겨있는 위턱뼈가 통째로 앞으로 나온 것입니다.
좀 더 하면 마무리를 할 수 있을 것 같네요.
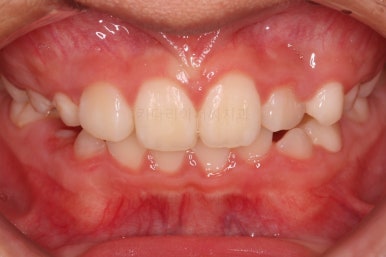
치료 시작 10개월만에 거꾸로 물리는건 개선이 되었습니다.
페이스마스크 치료는 종료했습니다.
이제 주걱턱 느낌은 없죠?
코 주위도 도톰하게 볼륨감이 생긴 것을 볼 수 있습니다.
치료를 종료해도 무방하지만 이번 환자분의 경우는 호흡무넺에서 기인한 위턱뼈의 3차원적 쪼그라들까 걱정이 되어 유지장치를 추가로 하기로 했습니다.
결과도 유지시켜주며, 향후에도 위턱뼈의 성장을 원만히 도와줄 수 있도록 말이죠.
유지장치로 사용한 장치는 프랑켈 장치에요. FR III이라고도 하죠.
유지단계 4개월째의 모습입니다.
거꾸로 물리는 반대교합이 재발되지 않고 자리를 잘 잡고 있습니다.
위턱뼈가 넓어지다보니 처음에는 삐뚤었던 앞니도 자연스레 자리를 잡아가고 있습니다.
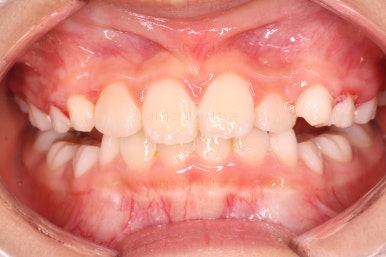
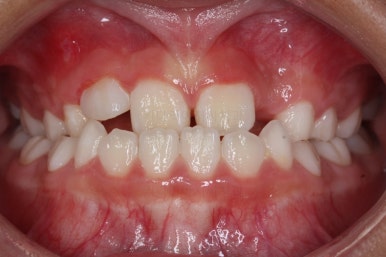
유지단계 11개월 경화 후의 모습입니다. 유지상태는 상당히 좋네요.
이제 유지장치도 종료하기로 하고, 앞으로는 주기적으로 아래턱이 자라나지 않는 지를 체크하게 될거에요.
치료 종료 시의 얼굴모습입니다.
주걱턱 느낌 전혀 없고 코주위-윗입술 부위의 함몰감도 좋아졌고 오목하던 옆모습도 여느 아이들처럼 도톰하게 되었어요.
웃는 모습도 매우 예뻐졌습니다.
전후 비교를 해볼게요.
부산소아교정 키다리아저씨치과에서 치료를 한 이번 사례를 비교해 보면 왼쪽이 치료 전, 오른쪽이 치료 후 사진입니다.
이렇게 비교해 보니 변화가 더 눈에 띄실거에요.
이상 페이스마스크와 프랑켈장치를 이용하여 주걱턱 및 반대교합을 개선한 부산소아교정 키다리아저씨치과의 치료사례였습니다.
키다리아저씨치과에 오시는 길은 연산역 17번출구 바로 앞 건물 5, 6층입니다.
치과교정과 전문의(부산대 외래교수)와 치과보철과/통합치의학과 전문의(부산대 외래교수) 2명이 상주하며 교정치료와 일반치과치료를 협진하여 진료합니다.
<위 사진은 환자분의 동의를 구한 후 공개하는 사진자료입니다. 사진은 과장이나 조작이 없는 원본사진입니다. 교정치료로 인한 부작용으로는 치근흡수, 충치, 치아변색, 실활 등이 있을 수 있으며, 치료 전후 사진은 의료법 제 23조, 제 56조에 의거하여 게재합니다. 개인의 상태에 따라 치료결과는 달라질 수 있으므로, 교정전문의와 상의를 요합니다.>


































































































































댓글