부산소아교정 키다리아저씨치과의 앵글씨 2급 부정교합 치료사례(feat. 프리올소, 트윈블락, 2x4 교정)
- 키다리아저씨치과

- 3일 전
- 3분 분량

"미니스크류를 이용한 투명교정장치에 관한 논문"으로 2023년도 Angle orthodontist(미국의 교정학회지) SCI 저널에 제 1저자로 게재되었습니다.
항상 공부하고 노력하는 키다리아저씨치과가 되겠습니다.
안녕하세요.
오늘 부산소아교정 키다리아저씨치과에서 소개해 드릴 환자분은 앞니와 입이 튀어나와서 치료를 원하셨던 분입니다.
나이 : 9세
총 치료기간 : 2년 3개월(총 27개월)
사용한 장치 : 2x4 교정, 트윈블록(트윈블락, twin block), 프리올소
부산소아교정 초진 시 얼굴 모습입니다.
입이 튀어나와 보이고 입이 잘 다물어지지가 않습니다.
웃을 때 앞니가 유난히 강조되어 보입니다.
"우리 아이 입이 튀어나왔어요."
대부분 보호자분들은 입이 나왔다고 생각하며 자녀분을 데리고 오는데요.
좀 더 면밀한 분석이 필요합니다.
입이 나오고 들어가고는 결국 코나 턱끝 등 상대적인 위치 차이에 의해 보이는 모습인데요.
대부분 분석을 해보면 아래턱이 작아서 상대적으로 윗니가 앞에 있는 상황때문에 단순히 결과물인 앞니가 나온 상황에만 포커스가 맞춰져서 입을 집어넣고 싶다고 하시는 분들이 대부분입니다.
하지만 아래턱이 작아서 생긴 문제라면(앵글씨 2급 부정교합), 위턱-아래턱의 위치를 맞춰주는 과정을 통해야만 얼굴모습이 나아지게 됩니다.
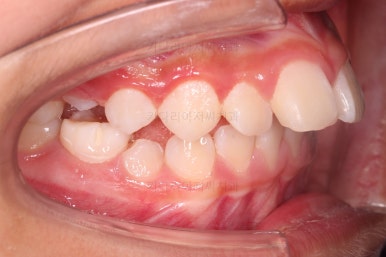
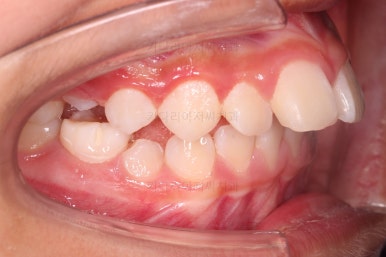
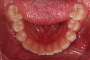
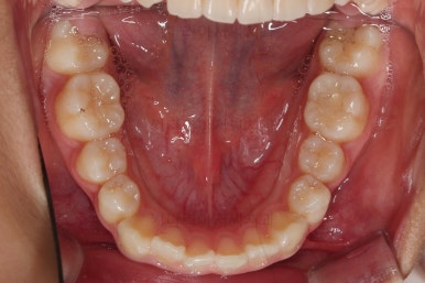
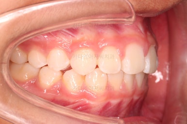
부산소아교정 초진 시 입안의 모습입니다.
윗니가 아랫니보다 많이 앞에 나와있고요.
심지어는 틈새가 벌어지기까지 했습니다.
윗니가 배열 되어있는 U자 형태(그릇 형태)가 아랫니보다 좁은 양상이고요.
이런 앵글씨 2급 부정교합에서는 아랫니가 윗니와 만나기 위해 솟구쳐서 과개교합(아래 앞니가 윗니 뒤쪽으로 깊숙히 올라가 있는 상태)이 나타나기까지 합니다.
언제 교정해줘야 하나요?
대체로 초등학교 4학년 정도를 기준으로 여학생들은 약간 일찍, 남학생들은 약간 늦게 해주는데요.
이런 앵글씨 2급 부정교합은 최대 성장기가 오기 1년쯤 전부터 시작해주는게 가장 효과적입니다.
다만, 아이들마다 뼈 나이가 다르므로 성장판 검사를 통해서 정확한 나이를 측정해 보고 치료를 들어가게 됩니다.
성장교정 안하면 어떤 문제가 생기나요?
당연히 아래턱을 정상 범주로 키워줄 수 있는 찬스는 없어지는거겠죠.
그리고 부정교합인 상태로 성장 후 교정을 하려면 매우 높은 확률로 발치교정을 해야 할 수 있지만, 우선 성장교정을 해주면 발치교정 확률을 매우 낮출 수 있다는 장점이 있습니다.
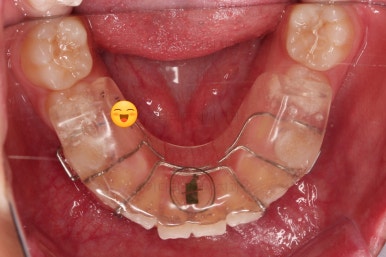
이번 치료를 위해 선택한 장치는 트윈블락(트윈블록, Twin block) 이라는 장치인데요.
위아래 뺐다꼈다하는 형태의 장치를 1년 ~ 1년 반 가량 껴주게 되면 아래턱의 성장이 이루어지며 교합이나 외모가 개선되는 장치입니다.
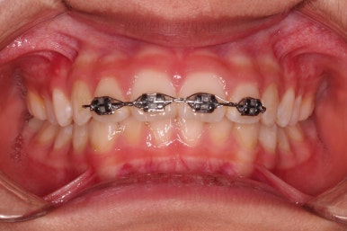
트윈블락 장치와 더불어 윗니 앞니는 가지런하게 하기 위해서 브라켓-철사 장치가 부분적으로 들어갔는데요.
아래턱이 성장하기 위해서 너무 삐뚠 윗니 앞니는 아래턱이 앞으로 나오는 걸 방해하기 때문에 부분적으로 부착형 장치를 쓸 수 밖에 없는 상황이었습니다.
윗니에 들어가는 장치는 악궁확장 기능도 들어가 있어서 위턱을 넓히며 아래턱을 앞으로 내어주는 3차원적인 조절이 가능했습니다.
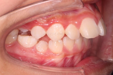
점점 얼굴 모습이나 치열의 느낌이 달라지고 있고요.
아래턱이 앞으로 나와주면서 부정교합이 점점 개선되어가는 양상입니다.
어금니 맞물림 등 전반적으로 매우 좋아졌습니다.
대신 트윈블락은 위아래 어금니를 서로 정교하게 잡아주는 역할을 하지는 않기 때문에 약간 맞물림이 엉성하게 마무리 될 수 있어서 2차교정(치열교정)으로 자연스럽게 넘어가는 경우가 많습니다.
하지만 이번 환자분은 맞물림은 약간 엉성하긴 하지만 2차교정까지는 선택 사항일 정도로 치열 등 나쁘지 않은 모습이었는데요.
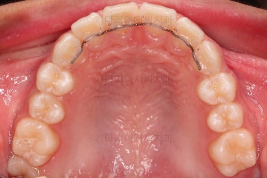
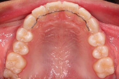
그래서 부산소아교정 대신 선택한 옵션이 유지장치 겸 약간의 교합 안정을 목적으로 프링로소를 사용하기로 했습니다.
운동선수 마우스피스 같이 생긴 트윈블락 보다는 훨씬 말랑한 재질이며 착용시간도 더 짧은 장치입니다.
그러면 트윈블락 보다 더 좋은거 아니냐? 생각하실 수 있지만 약간 적용할 수 있는 케이스가 다르기 때문에 전문가와 상의를 통한 신중한 판단이 중요합니다.
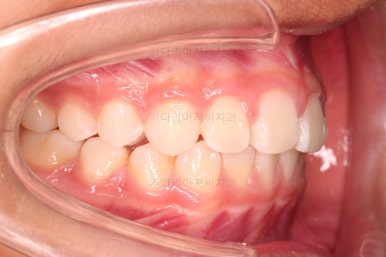
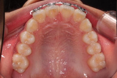
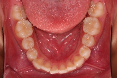
부산소아교정 마무리 사진입니다.
프리올소로 유지과정까지 총 2년 3개월 가량 걸렸고요.
이정도 마무리면 굳이 2차교정까지 안해도 되겠죠?
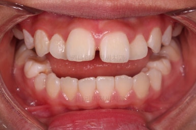
전후 비교해 볼게요.
웃을 때 보이는 느낌도 많이 좋아졌고요.
옆모습을 보면 턱끝의 윤곽도 살아났고요.
옆에서 웃는 모습을 보면 윗니도 들어간 모습이 보이죠.
물론 아직 약간의 돌출감이 있긴하지만 아이 기준으로는 나쁘지 않고, 특유의 두툼한 입술을 가진 환자분이라면 무조건 입이 많이 들어간다고 답은 아닙니다.
정교한 조절은 안했지만 치열이나 교합/맞물림 등 매우 좋아졌습니다.
이상 트윈블락, 2x4 교정, 프리올소를 이용해 앵글씨 2급 부정교합을 치료한 1차교정 성장교정 치료사례였습니다.
부산 연산동 교정치과 키다리아저씨치과에 오시는 길은 연제구 연산동 연산역 17번출구 바로 앞 건물 6층입니다.
치과교정과 전문의(부산대 외래교수)가 상주하며 교정치료 합니다.
<위 사진은 환자분의 동의를 구한 후 공개하는 사진자료입니다. 사진은 과장이나 조작이 없는 원본사진입니다. 교정치료로 인한 부작용으로는 치근흡수, 충치, 치아변색, 실활 등이 있을 수 있으며, 치료 전후 사진은 의료법 제 23조, 제 56조에 의거하여 게재합니다. 개인의 상태에 따라 치료결과는 달라질 수 있으므로, 교정전문의와 상의를 요합니다.>

































































































































댓글