부산성인교정 키다리아저씨치과의 앞니 부분교정 치료 사례
- 키다리아저씨치과

- 2025년 2월 24일
- 2분 분량
안녕하세요.
오늘 부산성인교정 키다리아저씨치과에서 소개해 드릴 환자분은 앞니가 삐뚤어서 부분교정으로 개선을 한 분입니다.
나이 : 26세
총 교정기간 : 5개월
교정장치 : 자가결찰 세라믹(엠파워 클리어)
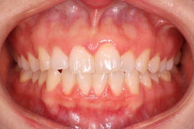
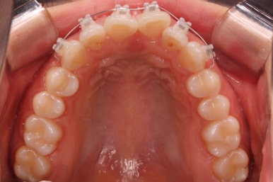
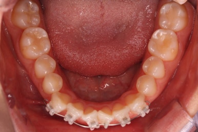
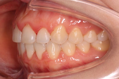
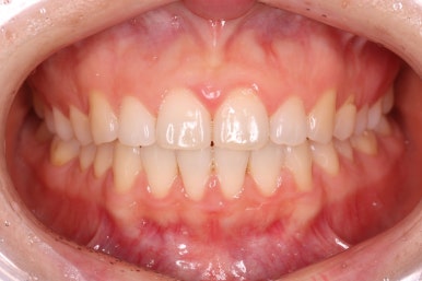
부산성인교정 키다리아저씨치과에 처음 내원하셨을 때의 입안 모습입니다.
위아래 앞니가 삐뚤한 상태이고 어금니쪽도 약간의 삐뚤함은 있지만 맞물림이 크게 나쁘진 않습니다.
이번 환자분의 경우 앞니만 부분교정을 하기로 했습니다.
부분교정의 경우, 모든 분이 가능한 것은 아니고 몇 가지 조건이 있습니다.
Q. 앞니 부분교정은 언제 가능할까요?
A : 어금니 맞물림이 양호하거나, 개선 필요성이 없을 때
A : 앞니 삐뚤한 정도가 심하지 않을 때
A : 축이 되는 송곳니의 위치가 양호할 때
즉, 모든 경우에 가능한 것은 아닙니다.
우선 어금니 맞물림이 좋지 못하다면 앞니만 가지런하게 해서는 교합이라는 기능적인 면의 개선을 기대하기가 힘듭니다.
또한 앞니가 많이 삐뚤다면 가지런하게 할 때 필요한 "공간"을 마련하기 힘들기 때문에 무리하게 부분교정을 시행하면 앞니가 많이 뻐드러지게 됩니다.
그리고 송곳니는 부분교정을 할 때의 기준점이 됩니다. 송곳니가 많이 삐뚤거나 기울어져 있거나 거꾸로 물려있는 등은 제대로 기준을 잡아주지 못하여 앞니를 가지런하게 하기 힘들게 됩니다.
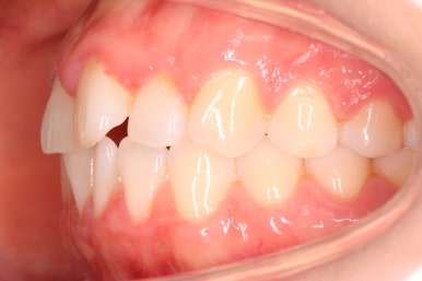
이번 부산성인교정에서 진행하는 환자분은 앞니가 부분교정을 하기에 적당한(?) 정도로 삐뚤어져 있었고, 송곳니 이후로는 가지런한 편이였습니다.
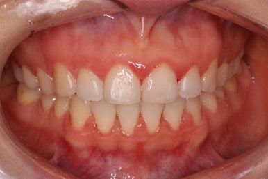
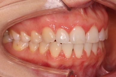
위 사진은 부산성인교정 키다리아저씨치과에 처음 오셨을 때의 당시 얼굴 모습입니다.
앞니가 삐뚤기 때문에 웃을 때 자연스럽지 못하고 드러나는 치아의 모습이 그리 예쁘지 못합니다.
다만, 얼굴뼈의 비율이라든지 입매는 매우 좋기 때문에 치료의 목표는 단순히 앞니만 가지런하게 하면되는 상황이였습니다.
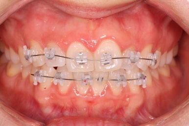
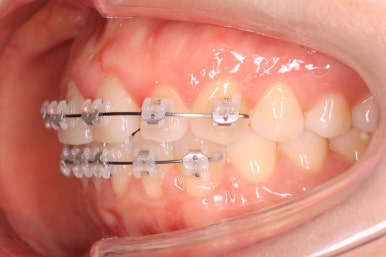
장치 붙인 모습입니다.
이번에 사용한 장치는 엠파워 클리어라는 자가결찰 세라믹 장치입니다.
철사를 잡아주는 뚜껑이 교정장치에 직접 달려있는 장치를 "자가결찰" 장치라고 하며, 만들어진 재질이 치아색과 비슷한 도자기(세라믹) 재질을 가지고 있기 때문에 "자가결찰 세라믹"이라고 합니다.
대표적인 장치는 클리피씨, 데이몬클리어, 엠파워클리어 등이 있고, 흔히 많이 아시는 클리피씨(일본제품)와 엠파워클리어(미국제품)는 같은 컨셉의 장치가 되겠습니다.
부분교정에 적합한 더 부피가 작은 장치인 MTA장치도 있습니다.
변화가 매우 빠르게 나타나고 있습니다.
흔히 많이 하시는 오해 중 하나가, 부분교정을 하면 빨리 끝나고 전체교정을 하면 늦게 끝난다는 것인데요.
Q. 부분교정이 빨리 끝나는 이유는?
A : 부분교정을 할 수 있는 (적합한) 경우 자체가 애초에 전체교정 보다 간단히 개선을 할 수 있는 경우이기 때문과 전체교정 보다 개선을 하고자 하는 목표 자체가 작기 때문입니다.
부산성인교정 키다리아저씨치과에서 시행한 이번 환자분의 부분교정도 총 기간이 5개월 밖에 걸리지 않은 이유도 위와 같은 이유라고 보시면 됩니다.
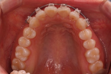
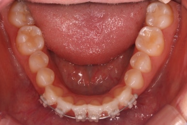
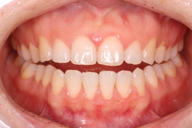
벌써 마무리 사진입니다.
교정장치로 인해 그리고 치아가 많이 움직인 부위는 잇몸의 염증이 약간 있는 상태이긴 하지만 목표로 했던 앞니를 가지런하게 하는 것은 매우 만족스럽게 끝났습니다.
물론 위아래 앞니에는 보이지 않도록 안쪽에 유지장치를 부착하고 마무리를 했습니다.
치료 전도 얼굴의 비율이나 입매가 양호하기 때문에 얼굴모습을 바꾸는 것이 불필요했던 상황이였고 따라서 치료 후에도 거의 또같은 것을 알 수 있습니다.
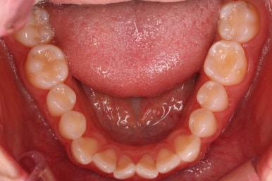
부산성인교정을 시행한 앞니 부분교정의 입안 모습 전후입니다.
5개월 만에 매우 가지런해진 모습입니다.
이상 부산성인교정 시행한 앞니 부분교정 사례였습니다.
키다리아저씨치과에 오시는 길은 연산역 17번출구 바로 앞 건물 5, 6층입니다.
치과교정과 전문의(부산대 외래교수)와 치과보철과/통합치의학과 전문의(부산대 외래교수) 2명이 상주하며 교정치료와 일반치과치료를 협진하여 진료합니다.
<위 사진은 환자분의 동의를 구한 후 공개하는 사진자료입니다. 사진은 과장이나 조작이 없는 원본사진입니다. 교정치료로 인한 부작용으로는 치근흡수, 충치, 치아변색, 실활 등이 있을 수 있으며, 치료 전후 사진은 의료법 제 23조, 제 56조에 의거하여 게재합니다. 개인의 상태에 따라 치료결과는 달라질 수 있으므로, 교정전문의와 상의를 요합니다.>







































































































댓글