부산성인교정 키다리아저씨치과의 벌어지고 튀어나온 치열교정(feat. 치주교정, 중년교정)
- 키다리아저씨치과

- 2025년 10월 21일
- 2분 분량
키다리아저씨치과는 치과교정과 전문의(부산대 외래교수)와 통합치의학과 전문의 원장님이 상주하며 협진하는 치과입니다. 부분교정에서부터 난이도 높은 교정진료는 교정과 원장님이 진료를 하며, 임플란트, 사랑니발치, 충치치료, 틀니 등 일반진료는 통합치의학과 전문의 원장님이 진료합니다.
교정과 일반진료의 협진으로 자기치아를 최대한 아끼고 오래 쓰는 방법을 고심하며 수준 높은 진료를 제공합니다.
안녕하세요.
오늘 부산성인교정 키다리아저씨치과에서 소개해 드릴 환자분은 51세 중년의 환자분이셨는데 점점 치아 사이가 벌어지고 이가 튀어나온다고 고치고 싶어하셨던 분입니다.
나이 : 51세
총 치료기간 : 1년 6개월(총 18개월)
사용한 장치 : 자가결찰 금속(엠파워 메탈, Empower metal) + 미니스크류
초진 시, 얼굴 모습이에요.
약간의 돌출입이긴 하지만 연령을 생각했을 때 심하진 않았고요.
대신 웃거나 말할 때 보이는 치열이 삐뚤하고 앞니가 튀어나와 보이는 양상이네요.
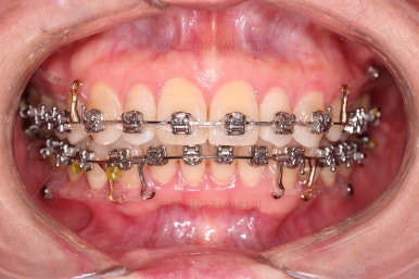
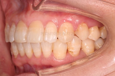
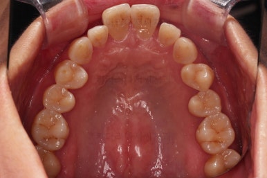
초진 시, 입안의 모습이에요.
"최근 들어 점점 틀어지고, 점점 튀어나오고, 점점 사이가 벌어져요."
성장이 끝난 성인들은 해가 갈수록 특히 아래앞니가 삐뚤어지는 것은 자연스러운데요.
이번 환자분의 말씀대로 최근에 변하가 심하게 나타난 경우는 원인이 딱 하나에요.
잇몸(치주)
흔히 풍치라고 하죠.
전반적인 잇몸이 나빠진다 -> 어금니가 씹는 힘에 버텨주지 못하고 앞으로 쓰러진다. -> 앞니가 강하게 부딪히며 아래앞니가 윗니를 앞으로 쳐낸다. -> 돌출입이 생기고, 앞니 사이 틈새가 생긴다.
앞니가 튀어나오고 틈새가 생기는 것이 결과이긴 하지만 원인은 어금니쪽 잇몸에서부터 찾아야해요.
치료과정 : 잇몸치료 -> 교정치료 -> 잇몸관리
결국 부산성인교정 원인이 잇몸이였기 때문에 교정 후에도 잇몸관리가 제대로 되지 않으면 또 다시 이런일이 반복되요.
전반적인 잇몸치료를 통해 잇몸 건강을 회복한 뒤, 교정치료를 시작해요.
부산성인교정 키다리아저씨치과에는 통합치의학과 전문의 원장님이 있습니다.
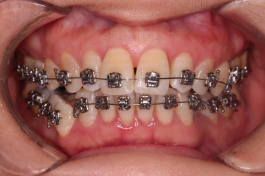
이번에 사용하신 장치는 엠파워 메탈이라고 하는 자가결찰 금속 장치인데요.
금속 재료를 시각적으로 신경쓰지 않으셔꼬 메탈장치가 세라믹에 비해 양치라던지 잇몸에 그래도 약간의 장점이 있어서 추천되기도 했어요.
앞니 사이의 틈을 줄이고, 앞니를 뒤로 넣기 위해서는 어금니 -> 아래 앞니 -> 윗니 앞니 순서대로 문제가 해결되어야 합니다.
윗니 앞니가 제일 보기 싫더라도 가장 늦게 개선되는 부분인거죠.
발치 vs 비발치
이번 환자분은 당연하게도 비발치 교정입니다.
단순히 많이 삐뚤고, 입이 튀어나왔다고 무조건 발치교정이 아니에요.
연령 및 그에 따른 적절한 입매 고려
치아가 삐뚠 정도
입을 넣기 위해 사용하는 방법
잇몸이 좋지 못하므로 발치교정이 적절한가에 대한 판단
이번 환자분은 부산성인교정 비발치로 개선하기로 했답니다.
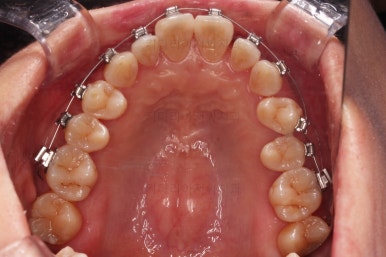
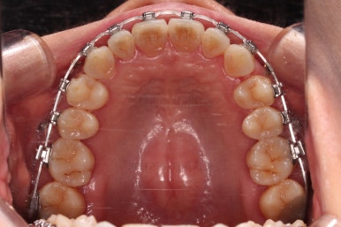
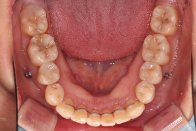
비발치 치료에서 핵심되는 장치가 미니스크류에요.
위 사진에서도 어금니쪽 잇몸 부위를 보시면 아주 작은 금속성 나사머리가 보이실건데요. 나사로 단단히 지탱해주고 치열을 뒤로 당겨주는 원리죠.
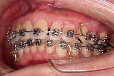
중간중간 얼굴모습도 확인을 해주고요.
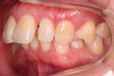
치료의 막바지인데도 불구하고 아직 앞니쪽에 틈이 보이죠?
틈새는 가장 마지막에 모이게 될거에요.
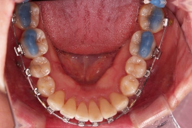
디테일을 조절하고 교합을 더 맞추고 원하시는만큼 입을 더 넣고 부산성인교정 마무리를 하기로 했어요.
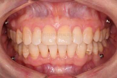
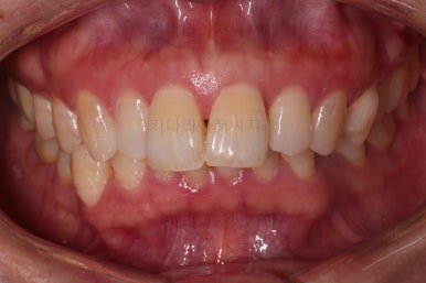
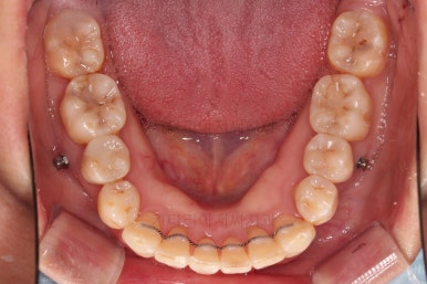
마무리 사진이에요.
치열이 매우 가지런해졌고, 틈도 없고, 앞니의 뻗친 느낌도 사라졌네요.
교합도 좋고요.
부산성인교정 전후사진을 비교해 볼게요.
교정 막바지에 사적으로 힘드신 일이 겹쳐서 살이 많이 빠져 안타깝긴 했는데요.
어쨌든 입매도 적절한 수준에서 뒤로 살짝 들어갔고요.
웃거나 말할 때 드러나는 치열의 느낌도 좋네요.
삐뚤고 솟구쳐 있던 치열도 가지런하게 되었고, 틈새도 다물어졌으며 뻗쳐 있던 느낌도 개선이 되었어요.
18개월의 기간동안 부산성인교정 많은 점들이 개선되 만족스러운 치료결과였어요.
이상 미니스크류를 이용한 비발치 치주교정, 부산성인교정, 중년교정 치료사례였습니다.
키다리아저씨치과에 오시는 길은 연제구 연산동 연산역 17번출구 바로 앞 건물 5, 6층입니다.
치과교정과 전문의(부산대 외래교수)와 통합치의학과 전문의(서울대학교 졸업) 2명이 상주하며 교정치료와 일반치과치료를 협진하여 진료합니다.
<위 사진은 환자분의 동의를 구한 후 공개하는 사진자료입니다. 사진은 과장이나 조작이 없는 원본사진입니다. 교정치료로 인한 부작용으로는 치근흡수, 충치, 치아변색, 실활 등이 있을 수 있으며, 치료 전후 사진은 의료법 제 23조, 제 56조에 의거하여 게재합니다. 개인의 상태에 따라 치료결과는 달라질 수 있으므로, 교정전문의와 상의를 요합니다.>























































































































댓글